¿Has notado que alguno de tus dientes cambia de color, se rompe con facilidad o te causa dolor constante? Estos pueden ser signos de lo que comúnmente se conoce como dientes podridos. Aunque suene alarmante, es una realidad más frecuente de lo que parece, y puede tener consecuencias graves si no se trata a tiempo.
En este artículo te explicamos qué son exactamente los dientes podridos, por qué aparecen, cómo prevenirlos y qué soluciones existen hoy en día gracias a la odontología moderna.
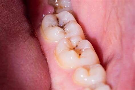
Tus Dientes Cuando Tienes Caries | Casi Creativo
¿Qué son los dientes podridos?
El término "dientes podridos" hace referencia a dientes gravemente deteriorados, generalmente por caries no tratadas, infecciones o enfermedades periodontales avanzadas. Estos dientes pueden presentar un color oscuro, estar fracturados, tener cavidades profundas o incluso mostrar destrucción total de la corona dental.
Aunque suene alarmante, lo cierto es que muchas personas sufren esta situación sin saberlo o sin darle la importancia que merece. Ignorar los signos de alerta puede derivar en la pérdida del diente o en problemas más graves a nivel sistémico.
Es importante destacar que ante un caso de diente podrido se aconseja visitar al dentista de inmediato.

Diferencia entre caries y dientes podridos
La principal diferencia entre un diente con caries y uno podrido, es que en este último las bacterias causaron un daño severo tanto en la parte interna como externa de la pieza dental.
Causas más frecuentes de los dientes podridos
Hay varios factores que pueden provocar la aparición de dientes podridos, y en la mayoría de los casos, son evitables:
- Higiene bucodental deficiente: No cepillarse adecuadamente o saltarse el uso de hilo dental favorece la acumulación de placa bacteriana y caries. Al no tener una adecuada rutina de higiene dental, las bacterias, al unirse con la saliva y restos de comida que no son eliminadas por el cepillado o el hilo dental, provocan la aparición de la placa dental. Esta se acumula en los dientes y encías causando daños en la parte interior o exterior del diente.
- Consumo frecuente de azúcares: Los alimentos y bebidas azucaradas alimentan a las bacterias que producen ácidos destructivos para el esmalte dental. Los dulces, zumos, refrescos y bollos industriales contienen grandes cantidades de azúcar. Estas sustancias alimentan a las bacterias en la boca, acelerando la descomposición dental.
- Caries no tratadas: Una pequeña caries puede evolucionar en cuestión de meses y destruir completamente el diente si no se trata a tiempo. Las caries serán las causantes del deterioro. Sin embargo, detrás de ellas existe otro sin fin de motivos que incentivan al desarrollo de las caries.
- Bruxismo: El rechinar constante desgasta el esmalte y puede dejar al diente vulnerable a infecciones.
- Boca seca: La falta de saliva, que actúa como defensa natural, puede acelerar la descomposición de los tejidos dentales. La saliva ayuda a barrer y retirar las bacterias de la boca. Por ello, una menor producción de saliva permite que las bacterias se multipliquen con mayor velocidad.
- Fumar o consumir alcohol en exceso: Ambos hábitos deterioran las encías y debilitan la estructura dental, favoreciendo la aparición de dientes podridos. El uso de cigarrillos o productos del tabaco altera la microbiota intestinal, debido a los efectos de la nicotina. Este proceso, que ocurre internamente en el cuerpo, provoca un aumento de la placa bacteriana, así como contribuye a la formación de caries y a la aparición de otras enfermedades bucales.
- Factores genéticos: Las personas que tienen tendencia a sufrir de caries por causas genéticas, también pueden ser propensas a tener dientes podridos causados por caries no tratadas.
- Reflujo gastroesofágico: El hecho de que los ácidos del estómago vuelvan al esófago y la boca también puede causar dientes podridos.
- Desgaste del esmalte: Cuando el esmalte se desgasta, las bacterias y la placa atacan la dentina más suave que se encuentra en el interior del diente.
- Dormir con el biberón: El «síndrome del biberón» ocurre cuando los niños duermen con el biberón en la boca, especialmente si contiene leche, zumos o bebidas azucaradas.
¿Cómo saber si tienes dientes podridos?
Algunos síntomas pueden alertarte de que algo no va bien:
- Dolor constante o punzante en un diente. El dolor en las muelas puede llegar a ser muy intenso.
- Sensibilidad extrema al frío, calor o alimentos dulces. Sensibilidad al frío, calor, dulce y ácido.
- Mal aliento persistente, incluso con higiene adecuada. Mal aliento y mal sabor en la boca.
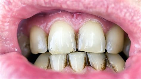
- Cambios en el color del diente (amarillo oscuro, marrón o negro). Pueden aparecer manchas de color marrón, negro, amarillo o blanco en los dientes.
- Inflamación de encías o aparición de abscesos. Inflamación de las encías, abscesos o sangrado.
- Fragmentos del diente que se desprenden con facilidad.
- Problemas para masticar los alimentos, que a su vez causan problemas digestivos y de nutrición.
Si reconoces alguno de estos signos, es fundamental acudir cuanto antes al dentista.

¿Qué consecuencias tienen los dientes podridos?
Dejar pasar el tiempo sin tratar un diente podrido puede provocar:
- Dolor crónico: La infección puede afectar el nervio dental, provocando molestias severas. El dolor de un diente podrido no tratado puede volverse muy intenso, en especial al momento de comer o ingerir bebidas calientes o frías.
- Pérdida del diente: Si no se actúa a tiempo, la estructura se debilita tanto que no se puede conservar. Los dientes podridos pueden necesitar ser extraídos cuando el dentista considera que los tratamientos disponibles ya no lograrán un efecto positivo.
- Infecciones graves: Un diente podrido puede dar lugar a abscesos o incluso infecciones que se diseminan por el organismo. Los dientes podridos pueden tener una infección grave en el interior que afecta la pulpa y raíz del diente, incluso las encías y provocar enfermedades periodontales.
- Problemas de masticación: La falta de dientes funcionales altera la forma de comer y puede desencadenar problemas digestivos.
- Impacto estético y emocional: Los dientes podridos pueden afectar la confianza y limitar las relaciones personales y profesionales. Repercusiones estéticas: los dientes podridos pueden presentar grandes surcos y adquirir una apariencia negra, grisácea o descolorida.
Tratamientos para dientes podridos
El tratamiento recomendado para dientes podridos va a depender del grado del daño que tenga el diente afectado. El nivel de dificultad y la inversión que habrá que hacer para reparar un diente dañado va a depender mucho de lo grave que sea ese daño.
Las opciones incluyen:
- Empastes o reconstrucciones dentales: Cuando el daño no es muy avanzado, eliminamos la caries y reconstruimos el diente con resina compuesta de alta estética. Esta solución es rápida y mínimamente invasiva. En los pacientes en los que el daño no ha llegado hasta el centro del diente, un empaste dental es la solución duradera dependiendo del material de fabricación. Se elimina la parte dañada de la pieza y se rellena con resina, devolviendo al diente su funcionalidad y estética.
- Incrustaciones y coronas: Si el daño es muy grande, en lugar de usar resinas, se colocan incrustaciones dentales para restaurar el diente. Por otro lado, cuando el diente podrido ha cambiado su forma o su tamaño por causa del daño, el dentista puede sugerir fundas dentales para proteger el diente y devolverle la estética. Cuando el diente está muy debilitado, pero aún puede salvarse, colocamos una corona de porcelana para restaurar su forma, funcionalidad y estética. Este procedimiento se utiliza si el diente ha perdido volumen en su estructura, para ello suele colocarse una funda protectora.
- Endodoncia: Si la caries ha llegado al nervio dental, es necesario realizar una endodoncia (tratamiento de conductos). En este procedimiento limpiamos el interior del diente y lo sellamos para evitar infecciones futuras. Luego se reconstruye o se protege con una corona. Con este procedimiento se desinfecta el interior de un diente cuando la pulpa o la raíz ha sido afectada por una caries, con lo cual se elimina del interior los tejidos dañados y el diente se recupera. Si la caries ha llegado hasta la pulpa del diente (capa interna en la que se encuentran los nervios y vasos sanguíneos), será necesario recurrir a una endodoncia. Mediante este procedimiento, se retira la pulpa dañada, se limpian y desinfectan los conductos radiculares y se rellenan con un material biocompatible.
- Extracción y sustitución: En casos en los que el diente está completamente destruido, debemos extraerlo. Posteriormente, podemos reponerlo con un implante dental o un puente, devolviendo al paciente la capacidad de masticar con normalidad y una sonrisa sana. Una exodoncia es la opción cuando el daño del diente es irreparable, y el dentista considera que no hay un tratamiento que pueda salvarlo. Asimismo, esta opción solo debe aplicarse en caso que el diente no tenga salvación alguna, y su estructura se encuentra muy afectada. Luego de extraer la pieza desde la raíz, el paciente puede optar por una prótesis o un implante dental para ocupar el espacio. Si son varias las piezas dentales que se han podrido, tal vez sea más fácil recurrir a una prótesis removible completa en vez de realizar varios implantes dentales.
Habrá ocasiones en los que el diente podrido ya será irrecuperable.
Prevención: la mejor forma de evitar dientes podridos
El mejor tratamiento para los dientes podridos es, sin duda, la prevención.
Te recomendamos:
- Cepillarte tres veces al día con pasta fluorada. Es necesario que laves tus dientes tres veces al día (especialmente, por la noche, tras la cena), durante unos cuatro minutos cada vez. Cepillarse al menos dos veces al día, durante dos minutos con un cepillo de dientes adecuado y pasta con flúor es la manera correcta de evitar dientes podridos.
- Usar hilo dental a diario. Sabemos que la placa dental es difícil de eliminar en tu totalidad, ya que se deposita también en lugares de difícil acceso.
- Usar colutorios o enjuagues bucales. Los colutorios o enjuagues bucales también ayudan a eliminar más placa en lugares inaccesibles de la boca. Recuerda complementar con hilo dental y enjuague bucal una vez al día.
- Evitar el exceso de azúcares y bebidas ácidas. El azúcar no es un buen nutriente para ti, pero sí alimenta muy bien a las bacterias que crean la placa bacteriana y los ácidos que dañan tu dentadura. Es importante reducir el consumo de alimentos altos en azúcares que contribuyen al aumento de bacterias que dañan los dientes.
- Acudir al dentista cada 6 meses para revisiones y limpiezas profesionales. Solo llevando un control rutinario del estado de tu boca, tu odontólogo de confianza podrá detectar todo tipo de problemas en su fase inicial, aumentando así las posibilidades de éxito en su posterior tratamiento. Los controles regulares con el dentista son indispensables para cuidar la salud bucal. El odontólogo puede detectar a tiempo problemas antes de que se conviertan en una condición grave. Atacar cualquier afección puede evitar complicaciones o necesidad de un tratamiento más complejo y costoso.
- Dieta saludable. También incluye en tu dieta diaria alimentos que aporten flúor para fortalecer tus dientes.
Recuerda que mantener una buena salud oral no solo previene los dientes podridos, sino que también influye en la salud general de nuestro organismo.