¿Has oído hablar alguna vez de los dientes podridos? Esta es una expresión coloquial que se utiliza para describir uno de los problemas más antiestéticos, molestos e incluso peligrosos para nuestras piezas dentales. En este artículo, te explicamos los peligros de una dentadura podrida y cuáles son los tratamientos para devolverle la salud bucodental.
Los dientes podridos son, simplemente, piezas dentales que sufren caries severas. Estos dientes han sufrido un daño muy grave, habitualmente a consecuencia de las bacterias de la boca. Fruto de este deterioro, los dientes se descomponen y erosionan. En los casos más graves, las piezas dentales pueden perder parte de su estructura y adquirir un color negro o grisáceo.

Diferencia entre Caries y Dientes Podridos
La principal diferencia entre un diente con caries y uno podrido, es que en este último las bacterias causaron un daño severo tanto en la parte interna como externa de la pieza dental.
Causas de los Dientes Podridos
Cuando no se soluciona a tiempo un problema de caries, los dientes empiezan a pudrirse ya hablemos de personas adultas o de niños. Por ello, cuando estamos en presencia de un diente podrido, es como consecuencia de que las bacterias han invadido y dañado plenamente toda la superficie dental, y por razones obvias, la estética dental se ve afectada.
El principal valedor de que tengamos este problema en nuestros dientes son las caries (y estas se producen al ingerir alimentos con grandes cantidades de azúcar, y no tener la higiene adecuada como cepillarse las tres veces al día). Si no se actúa de forma precoz, las bacterias llegarán hasta la pulpa, que aúna los tejidos nerviosos y vasos sanguíneos del diente, provocando una infección o pulpitis.

Aunque las caries no tratadas pueden llegar a causar que los dientes se pudran, no le sucede a todas las piezas con esta enfermedad, ya que esto puede suceder por otros motivos.
Factores que Contribuyen a la Pudrición Dental:
- Falta de cepillado: Una higiene bucodental inadecuada o inexistente permite que la placa bacteriana se acumule y se endurezca, convirtiéndose en sarro.
- Caries: La caries es una lesión que desmineraliza el esmalte dental.
- Exceso de azúcares y carbohidratos: Este tipo de alimentos favorecen la producción de ácidos en la cavidad oral.
- Boca seca: La saliva ayuda a barrer y retirar las bacterias de la boca. Por ello, una menor producción de saliva permite que las bacterias se multipliquen con mayor velocidad.
- Reflujo gastroesofágico: El hecho de que los ácidos del estómago vuelvan al esófago y la boca también puede causar dientes podridos.
- Factores genéticos: Las personas que tienen tendencia a sufrir de caries por causas genéticas, también pueden ser propensas a tener dientes podridos causados por caries no tratadas.
- Otras causas: El uso de cigarrillos o productos del tabaco altera la microbiota intestinal, debido a los efectos de la nicotina. Este proceso provoca un aumento de la placa bacteriana, así como contribuye a la formación de caries y a la aparición de otras enfermedades bucales.
- Enfermedades subyacentes: Enfermedades como la xerostomía o boca seca también pueden provocar que se pudran los dientes, puesto que la producción de saliva ayuda a crear un equilibrio en la boca y actúa en contra de las bacterias que producen la placa dental y que daña los dientes. También los pacientes con diabetes tienen mayor riesgo de tener caries, y con ello de tener dientes podridos.
Tus Dientes Cuando Tienes Caries | Casi Creativo
Síntomas de los Dientes Podridos
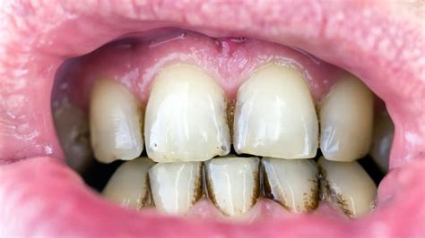
Los dientes podridos se caracterizan por volverse sensibles y débiles. Además, en la parte exterior pueden presentar signos visibles como decoloración, grietas o agujeros. La sensibilidad dental, el dolor de dientes, dolor al ingerir alimentos fríos o calientes, son algunos de los síntomas de padecer una caries avanzada.
- Manchas negras en la superficie dental.
- Fractura en los dientes.
- Halitosis.
- Al momento de ingerir alimentos, se tiene sensibilidad al frio y al calor.
- Dolor dental. El dolor en las muelas puede llegar a ser muy intenso.
- Sensibilidad al frío, calor, dulce y ácido.
- Mal aliento y mal sabor en la boca.
- Cambios en el color y la estructura del diente. Pueden aparecer manchas de color marrón, negro, amarillo o blanco en los dientes.
- Inflamación de las encías, abscesos o sangrado.
- Problemas para masticar los alimentos, que a su vez causan problemas digestivos y de nutrición.
Diagnóstico de los Dientes Podridos
El tratamiento dependerá del alcance de la caries.
Exámenes Dentales
El dentista hace un chequeo físico de la parte interna de la boca para verificar el estado de salud bucal del paciente. Podrá detectar los signos de un diente podrido, tales como manchas, agujeros, grietas o sensibilidad dental.
Uso de Rayos X
Las radiografías o imágenes son métodos que también se pueden utilizar para completar un diagnóstico de dientes podridos. A través de los rayos X se puede observar el estado de los dientes.
Tratamientos para los Dientes Podridos
El tratamiento de los dientes podridos dependerá de la gravedad y la extensión de los daños. Existen varios tipos de tratamientos para curar esta patología, todo dependerá de que tan avanzado este la descomposición del mismo.
- Empaste: Es el tratamiento más utilizado cuando la caries solo ha afectado a la capa externa del diente y, en consecuencia, no ha alcanzado el nervio. Si no ha llegado a afectar a la pulpa, se elimina el tejido afectado y se aplica un empaste de composite.
- Endodoncia: Si la caries ha llegado hasta la pulpa del diente (capa interna en la que se encuentran los nervios y vasos sanguíneos), será necesario recurrir a una endodoncia. Mediante este procedimiento, se retira la pulpa dañada, se limpian y desinfectan los conductos radiculares y se rellenan con un material biocompatible.
- Corona: Cuando el daño es muy extenso, resulta necesario colocar una corona tras realizar la endodoncia. Este procedimiento se utiliza si el diente ha perdido volumen en su estructura, para ello suele colocarse una funda protectora. En caso de ser una muela, se realizará una reconstrucción de la misma siempre y cuando, como decimos, la caries no haya llegado a la raíz dental. Esto, se acompañaría de una funda o corona, si la pieza ha sufrido la pérdida de excesivo volumen.
- Extracción: En los casos más graves, cuando la pieza dental tiene dañada gran parte de su estructura, resulta necesario extraer el diente podrido. Asimismo, esta opción solo debe aplicarse en caso que el diente no tenga salvación alguna, y su estructura se encuentra muy afectada. Una vez extraído, se valorará cuál es la opción de reemplazo más adecuada.

Prevención de los Dientes Podridos
En cuanto a la prevención de los dientes podridos, teniendo en cuenta que se trata de un problema causado por un estado avanzado de caries, lo mejor es mantener una buena higiene oral diaria. Prevenir los dientes podridos es más fácil y menos costoso que tratarlos.
- Higiene oral: Este es el primer paso para reducir las bacterias que tienden a acumularse en la boca. Tener una rutina de higiene bucal adecuada es esencial para el cuidado de la salud bucal. Es necesario que laves tus dientes tres veces al día (especialmente, por la noche, tras la cena), durante unos cuatro minutos cada vez. Cepillarse al menos dos veces al día, durante dos minutos con un cepillo de dientes adecuado y pasta con flúor es la manera correcta de evitar dientes podridos. Recuerda complementar con hilo dental y enjuague bucal una vez al día. El flúor contribuye a fortalecer el esmalte de los dientes, lo que dificulta la acción nociva de las caries. Para tener una higiene aún más completa, puedes usar también cepillos interproximales y un irrigador bucal.
- Hábitos de vida: En general, para prevenir los dientes podridos resulta aconsejable tener un estilo de vida saludable. Reduce los alimentos con azúcar. El azúcar no es un buen nutriente para ti, pero sí alimenta muy bien a las bacterias que crean la placa bacteriana y los ácidos que dañan tu dentadura.
- Dieta saludable Es importante reducir el consumo de alimentos altos en azúcares que contribuyen al aumento de bacterias que dañan los dientes. También incluye en tu dieta diaria alimentos que aporten flúor para fortalecer tus dientes.
- Visitas regulares al dentista Los controles regulares con el dentista son indispensables para cuidar la salud bucal. El odontólogo puede detectar a tiempo problemas antes de que se conviertan en una condición grave. Atacar cualquier afección puede evitar complicaciones o necesidad de un tratamiento más complejo y costoso. Solo llevando un control rutinario del estado de tu boca, tu odontólogo de confianza podrá detectar todo tipo de problemas en su fase inicial, aumentando así las posibilidades de éxito en su posterior tratamiento.

Consecuencias de no Tratar los Dientes Podridos
- Dolor crónico: El dolor de un diente podrido no tratado puede volverse muy intenso, en especial al momento de comer o ingerir bebidas calientes o frías.
- Infecciones graves: Los dientes podridos pueden tener una infección grave en el interior que afecta la pulpa y raíz del diente, incluso las encías y provocar enfermedades periodontales. La infección producida puede llegar a la pulpa del diente, causando mucho dolor y menoscabando nuestra capacidad para comer. La caries puede provocar infecciones en los tejidos que se encuentran alrededor del diente y causar abscesos dentales (bolsas de pus) que pueden llegar a ser muy dolorosos.
- Pérdida de dientes: Los dientes podridos pueden necesitar ser extraídos cuando el dentista considera que los tratamientos disponibles ya no lograrán un efecto positivo.
- Repercusiones estéticas: Los dientes podridos pueden presentar grandes surcos y adquirir una apariencia negra, grisácea o descolorida.
Recuerda que mantener una buena salud oral no solo previene los dientes podridos, sino que también influye en la salud general de nuestro organismo. Por ello, si sospechas que puedes tener cualquier lesión en los dientes o la boca es fundamental que acudas a una clínica dental. Como siempre, te aconsejamos no esperes a que el problema de los dientes podridos vaya a más y acudas a tu dentista al notar el menor síntoma.