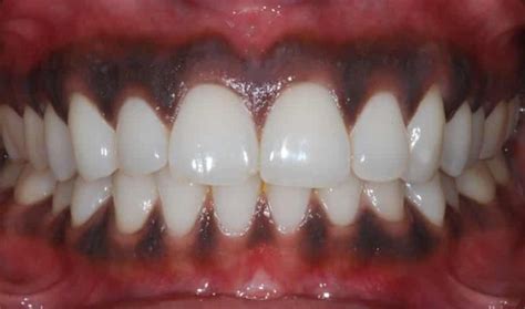
La melanina, presente en la piel para protegerla del sol, a veces aparece en las encías, oscureciéndolas. Aunque no es un problema de salud, puede afectar la estética, pero tiene solución.
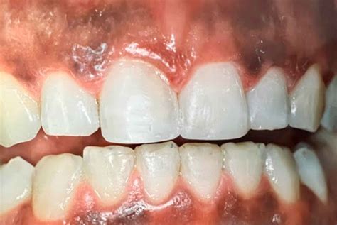
El color ideal de la encía es rosa pálido con textura gelatinosa, cubriendo y protegiendo las raíces dentales. Si este rosa se oscurece o presenta manchas negras, es crucial consultar a un profesional para investigar la causa.

¿Qué es la Melanosis Gingival?
La melanosis gingival, o encías negras, es un trastorno de pigmentación que afecta la estética de la sonrisa sin causar graves problemas de salud.
A pesar de afectar solo a factores estéticos, es aconsejable acudir a la consulta de un profesional periodoncista en el momento que aparece una mancha negra en la encía o esta se oscurece.
Las tinciones oscuras en las encías comúnmente están relacionadas con enfermedades bucodentales por lo que es importante descartar cualquier posible enfermedad periodontal.
Encías Negras: Causas y Soluciones | Sonríe con Confianza
Causas de la Aparición de Manchas Negras en las Encías
Los motivos por los que puede surgir una mancha negra en la encía pueden ser varios, como por ejemplo un consumo reiterado de ciertos medicamentos que afecten al sistema endocrino del paciente. Aunque no es lo habitual, la melanosis gingival puede ser también un signo de lesión periodontal o incluso de algunas enfermedades más graves como el cáncer oral.
Algunas de las causas por las que podría aparecer una mancha negra en la encía, son las siguientes:
Aumento de Secreción de Melanina
Una mancha negra en la encía suele estar causada por un aumento de secreción de la melanina, conocido como melanoplaquia. Es común que esta afección sea de naturaleza hereditaria y no implique una enfermedad periodontal, pero no hay manera de prevenir su aparición. Sin embargo, sí que se puede solucionar mediante diversos tratamientos de periodoncia.
Tabaquismo
Otra causa de la melanosis gingival es el depósito de sustancias tóxicas del tabaco. La nicotina puede ser responsable de generar alguna mancha negra en la encía con ausencia de brillo. En este caso, lo mejor es dejar de fumar o, al menos, reducir la cantidad de cigarros que se fuman diariamente.
Amalgama
Asimismo, una mancha negra en la encía también puede estar causada por el contacto con restauraciones de amalgama. Estas están fabricadas con metal y al entrar en continua fricción con la encía pueden generar la melanosis gingival. Este hecho tampoco significa que exista un problema de salud, sino que es únicamente estético.
Enfermedades Periodontales
Las enfermedades periodontales (gingivitis y periodontitis) afectan directamente al tejido de las encías. Lo habitual es que estas se inflamen y enrojezcan, pero hay casos en los que la acumulación de sarro y placa bacteriana acaba causando que la encía se vuelva oscura. Para tratar una encía oscura por una enfermedad periodontal hay que eliminar primero la infección y después realizar los tratamientos especializados para eliminar las manchas negras u oscuras.
Ciertos Medicamentos
Algunos medicamentos como los anticonceptivos y algunos antibióticos presentan en sus efectos secundarios la melanosis gingival. Pueden hacer modificaciones en la mucosa oral, causando manchas negras en las encías.
Tratamientos Dentales
Durante el postoperatorio de algunos tratamientos dentales como el injerto de encía puede generarse una necrosis en la zona. Esto consiste en que la cantidad de sangre que fluye por ese tejido es mínima. Por tanto, el tejido corporal muere temporalmente haciendo que la encía se oscurezca.
Es algo de lo que no hay que preocuparse, es muy común y desaparece en cuestión de días.

Diagnóstico Diferencial de Lesiones Pigmentadas en la Mucosa Oral
La cavidad oral está recubierta por una membrana mucosa, que aunque con apariencia similar, tiene diferencias manifiestas histológicas y macroscópicas según la localización. El grado de queratinización epitelial modifica la coloración, de forma que a mayor cantidad de queratina reproduce un color más blanco. Los acúmulos de melanina reflejan una mucosa más oscura. Un epitelio más fino transparenta zonas más profundas de la mucosa, con un color más rojo.
Por otra parte, hay que distinguir discromías benignas (melanoplaquia, melanosis del fumador, mácula oral melanótica) de las malignas o tumorales (nevus y melanoma). Estas últimas son lesiones oscuras solitarias, crónicas, de crecimiento rápido y con cambios en su superficie. Son las que siempre hay que diferenciar y eliminar lo antes posible, a la mínima sospecha, antes de que sufran cambios.
Melanoplaquia
Todas las personas, excepto los albinos, tenemos un grado distinguible de pigmentación melánica por piel y mucosas, distribución que está bajo control genético. La mayoría de los individuos de piel clara tienen una coloración relativamente uniforme en toda la cavidad oral, las personas más morenas, en especial las de raza negra, suelen presentar máculas melanóticas pigmentadas de diversa configuración y tamaño en la mucosa oral, en especial en las encías. Se denominan melanoplaquia. Son pigmentaciones múltiples o generalizadas, asintomáticas, que se intensifican con la edad. Se han publicado casos similares en mujeres que están tomando anticonceptivos orales de tipo combinado (ricos en estrógenos).
Melanosis del Fumador
El tabaquismo es otra causa fundamental de pigmentación melánica oral, tanto a individuos de raza blanca como de otras razas. Diversos agentes del humo del tabaco parecen estimular a los melanocitos para producir melanina. Aparecen máculas de color marrón, gris o negro en la mucosa oral, sobre todo en encía. La encía labial inferior es una zona habitual.
Mácula Oral Melanótica
No se maligniza, su única importancia es el diagnóstico diferencial con nevus y melanoma que se obtiene mediante biopsia excisional.
Nevus Oral
Normalmente pigmentado (85 por ciento de las ocasiones) de gris a negro, pasando por marrón claro y azul.
- Nevus intradérmico o intramucoso: las células névicas se localizan en la lámina propia, no contactan con la membrana basal.
- Nevus de la unión: las células névicas se localizan en la capa basal epitelial justo por encima de la unión dermo-epidérmica.
- Nevus compuesto: las células névicas se encuentran a ambos lados de la membrana basal, lámina propia y capa basal epitelial.
- Nevus azul: se denomina así porque las células névicas se localizan en zonas profundas del tejido conjuntivo.
La forma más frecuente es el nevus intramucoso (60-70 por ciento de los casos) seguido por el nevus azul (20 por ciento). Los compuestos son los que más se malignizan.
Aunque pueden aparecer en cualquier lugar de la mucosa oral, la localización más frecuente es el paladar duro y a continuación mucosa bucal y encía.
El 15 por ciento de los nevus son no pigmentados. Más frecuente en mujeres (2:1) entre los 20 y 40 años de edad.
Melanoma Oral
Es el tumor maligno de células névicas, siendo una neoplasia cutánea de frecuencia creciente y raro en la boca (0,2 al 8 por ciento de todos los melanomas). Es la mancha oscura solitaria de la boca de la que deben diferenciarse todas las demás lesiones.
De muy mal pronóstico (entre el 5,2 al 20 por ciento a los 5 años) y con una vida media de supervivencia de 18 meses. Más frecuente entre varones, entre los 40 y los 70 años de edad.
La pigmentación va desde un color rosado normal de mucosa (amelanótico) a negro, pasando por marrón y azul. Es firme a la palpación, aunque menos que el carcinoma de células escamosas. Puede ulcerarse pero no presenta bordes evertidos. Suele estar rodeado por un borde eritematoso que representa una reacción inflamatoria del tejido circundante.
El melanoma tiene un patrón de crecimiento horizontal hasta que se hace vertical, alcanzando planos profundos fijándose a ellos y dando lugar a metástasis.
La velocidad de crecimiento horizontal y luego vertical, depende del tipo clínico, siendo superior en las formas exofíticas, donde es vertical casi desde el principio (peor pronóstico).
Las metástasis son por vía hematógena y linfática (hay una clara relación entre grosor del tumor y las metástasis cervicales).
De todas formas, la mejor terapia para estas lesiones es el diagnóstico precoz, la eliminación de toda lesión oscura solitaria que ofrezca dudas su diagnóstico y antes de que sufra cambios.
¿Cómo Eliminar una Mancha Negra en la Encía?
Existe un gran abanico de opciones para eliminar una mancha negra en la encía, pero el principal es el tratamiento periodontal de microcirugía gingival, que se realiza con el láser de er-Yag. Se basa en eliminar el tejido oscurecido de la encía a través de la emisión de una luz a una longitud de onda de 2940 nanómetros que estimula la regeneración de la mucosa sin causarle el menor daño. Este tratamiento mínimamente invasivo es la solución más cómoda, indolora, eficaz y segura para el paciente, consiguiendo grandes resultados.
La microabrasión es otro tratamiento bucodental que se utiliza para pulir cuidadosamente cualquier tipo de mancha negra en la encía hasta borrarla. A través de esta técnica, el dentista es capaz de eliminar la melanosis gingival y devolver al paciente su color de encía natural.
Otro tratamiento muy útil para acabar con la preocupación que provoca la melanosis gingival es la despigmentación con bisturí. Esta técnica es una de las más efectivas para eliminar una mancha negra en la encía, pero es cierto que su cicatrización conlleva más tiempo al tratarse de un método quirúrgico.

Tratamientos Personalizados para Manchas Negras en Encías
Una vez que hemos determinado la causa de la mancha negra en la encía, desarrollamos un plan de tratamiento personalizado para abordar el problema de raíz.
Eliminación de Tatuajes de Amalgama
Para manchas causadas por partículas de amalgama, podemos realizar un procedimiento para eliminar estas partículas de las encías.
Cirugía Menor
En casos más graves, como un nevus melanocítico sospechoso o melanoma oral, podemos realizar una cirugía menor para extirpar la mancha y enviar una muestra para biopsia.
Síndrome de Laugier-Hunziker (SLH)
El síndrome de Laugier-Hunziker (SLH) es un trastorno benigno no hereditario, caracterizado por la presencia de múltiples máculas de color café oscuro a negro en mucosa bucal y labios, frecuentemente asociadas con melanoniquia longitudinal en ausencia de enfermedad sistémica.
La importancia clínica de esta condición radica en la necesidad de diferenciarla de otras enfermedades que presentan un cuadro clínico similar, las cuales pueden asociarse a compromiso sistémico diverso e incluso al desarrollo ulterior de neoplasias malignas.
Características Clínicas del SLH
- Presencia de un número variable de máculas pigmentadas de color café oscuro a negro, asintomáticas, solitarias o confluentes, comúnmente lenticulares y a veces lineales.
- Las zonas afectadas con mayor frecuencia incluyen la mucosa de carrillos, bermellones y piel de labios, pero también se pueden observar en encías, lengua, comisuras, faringe, esófago, nariz, conjuntiva, córnea, vulva, pene y dedos.
- Es frecuente la asociación a melanoniquia longitudinal, la cual se encuentra hasta en un 60% de los casos.
Diagnóstico Diferencial del SLH
Entre los diagnósticos diferenciales de esta entidad se incluye principalmente al síndrome de Peutz-Jeghers (SPJ), la enfermedad de Addison, el melanoma, el síndrome de LAMB o el complejo de Carney (léntigos en piel y mucosa bucal, mixomas auriculares y mucocutáneos, y múltiples nevos azules), síndrome de LEOPARD (léntigos, anormalidades electrocardiográficas, hipertelorismo ocular, estenosis pulmonar, anormalidades de genitales, retraso del crecimiento y sordera), entre otras entidades, por lo que es necesario realizar un examen detallado para diferenciarlo de estas.
Tratamiento del SLH
En los casos confirmados de SLH, el tratamiento se considera meramente cosmético. Las opciones disponibles incluyen el láser de neodimio, itrio, aluminio y granate y Alexandrita Q-switched. También se han reportado resultados efectivos con el tratamiento con criocirugía.
Es importante indicar medidas de protección solar en estos pacientes, especialmente si recibieron alguno de los tratamientos mencionados.
| Característica | Melanosis Gingival | SLH | Melanoma Oral |
|---|---|---|---|
| Causas | Aumento de melanina, tabaquismo, amalgamas, medicamentos, enfermedades periodontales | Desconocida, benigna | Maligno, crecimiento rápido |
| Apariencia | Manchas negras o marrones en encías | Múltiples máculas oscuras en boca, labios y a veces uñas | Mancha oscura solitaria con cambios en tamaño y forma |
| Riesgo | Generalmente estético, descartar enfermedades | Benigno, seguimiento para descartar malignidad | Alto riesgo, metástasis |
| Tratamiento | Microcirugía, microabrasión, despigmentación | Cosmético (láser, criocirugía) | Extirpación quirúrgica, terapia adicional |
Prevención y Cuidado Bucal
La prevención es clave para mantener una buena salud bucal y evitar la aparición de manchas negras en las encías. Una higiene bucal adecuada es fundamental para prevenir una amplia gama de problemas dentales, incluidas las manchas negras en las encías.
tags: #macula #melanotica #encia