El prognatismo, del griego "pro" (hacia adelante) y "gnathos" (mandíbula), es una deformidad dentofacial de causas variadas, aunque con un gran componente genético. Esta malformación se describe por la presencia de una discrepancia anteroposterior entre la mandíbula y el maxilar superior, esto es, ambas estructuras óseas se encuentran desalineadas entre sí.
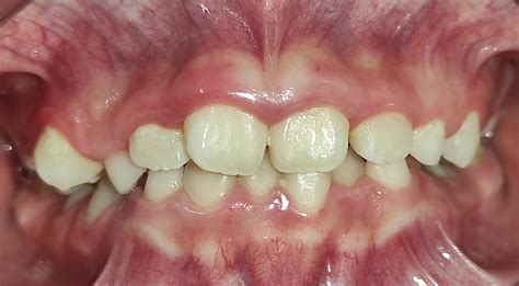
En los casos de prognatismo mandibular, la mandíbula está desarrollada por exceso en relación con el maxilar y el arco dentario inferior se extiende hacia adelante más allá del superior, causando una maloclusión de Clase III, también conocida como underbite.
La maloclusión esquelética de clase III con una mandíbula prognática es una de las deformidades maxilofaciales más graves, aunque es importante subrayar que ésta se considera un trastorno únicamente si afecta la masticación, el habla o la función social debido a un gran desequilibrio estético.

Causas del Prognatismo o Clase III y cómo detectarlo
El prognatismo está considerado una malformación de causas eminentemente genéticas, aunque su etiología no deja de ser multifactorial. Así, una combinación de herencia y ambiente puede potenciar o disminuir la maloclusión. Entre los factores ambientales que intervienen, podemos mencionar hábitos orales, hipertrofia de amígdalas o de adenoides, pérdida prematura de piezas dentales temporales, alteraciones endocrinas, etc. Según estos factores, la malformación se manifiesta de distintas formas:
- Cuando el hueso de la mandíbula presenta un crecimiento anormal por exceso (hiperplasia mandibular) respecto del maxilar, conocido como clase III esquelética.
- Cuando la mandíbula prominente se debe a un problema dental, es decir, cuando los dientes se encuentran desalineados entre sí.
- Cuando el paciente presenta un exceso de mentón puede presentar un aspecto prognata, aunque estrictamente hablando no se trate de una Clase III.
La forma más precisa de determinar cualquier tipo de prognatismo es mediante un análisis cefalométrico, ya que éste incluye evaluaciones de la base esquelética, ángulos del plano oclusal, altura facial, evaluación de tejidos blandos y angulación dental anterior. Gracias a ello, se pueden llevar a cabo cálculos y evaluaciones que permiten determinar objetivamente las relaciones dentales y esqueléticas y determinar un plan de tratamiento.
Además de lo anterior, el cirujano maxilofacial debe realizar un análisis de tejidos blandos, evaluando el ángulo nasolabial, la relación de la porción de tejido blando del mentón con la nariz y la relación entre los labios superior e inferior.
El Pseudo-Prognatismo, o Hipoplasia Maxilar
El pseudoprognatismo, hipoplasia maxilar, o falso prognatismo, es una malformación ósea en la que la mandíbula superior está subdesarollada. En la mayoría de los casos se trata de una anomalía del desarrollo, aunque también puede ser causada por factores externos, como extracciones dentales mal planificadas o falta de dientes. En los pacientes con paladar hendido se trata de una afección congénita.
En la mayoría de los casos de pseudoprognatismo, el maxilar está subdesarrollado no sólo en el plano anteroposterior, sino que también presenta deficiencias en el plano vertical o transversal, dando una apariencia hundida al tercio medio del rostro del paciente, y haciendo que la mandíbula inferior sobresalga y parezca muy grande, aunque en realidad tenga un tamaño normal. Esta malformación se corrige con una cirugía ortognática monomaxilar, normalmente de avance maxilar.
Por otro lado, algunos pacientes pueden presentar ambas malformaciones: tanto prognatismo mandibular como hipoplasia maxilar; en estos casos, el menor desarrollo de la mandíbula superior propicia un mecanismo de compensación en la mandíbula inferior, por lo que ambas estructuras óseas deben corregirse a la vez con una cirugía ortognática bimaxilar.

Cirugía ortognática bimaxilar. Caso # 77: Inés - Clase 2, Mordida abierta, hipoplasia mandibular
Tratamiento del Prognatismo Mandibular
La modificación del crecimiento facial mediante ortopedia dentofacial puede ser un método eficaz para resolver las discrepancias esqueléticas de la mandíbula Clase III en niños en crecimiento. Si el prognatismo se diagnostica en la edad adulta, y dependiendo del sitio en donde se presenta, hay distintas opciones de tratamiento:
- Para una clase III que es únicamente dental, el tratamiento indicado es la ortodoncia, aunque es importante mencionar que una mordida cruzada funcional conservada en el tiempo puede transformarse en esqueletal, de ahí la importancia de un tratamiento precoz.
- Para un mentón sobredesarollado (un prognatismo aparente pero no real), el tratamiento consiste en una mentoplastia o cirugía de reducción del mentón.
Cuando el mismo paciente presenta prognatismo mandibular e hipoplasia maxilar, el tratamiento indicado es una cirugía ortognática bimaxilar. En esta intervención quirúrgica, el maxilar puede moverse en tres dimensiones para compensar sus deficiencias y segmentarse si presenta deficiencia transversal.
La mandíbula, a su vez, puede adelantarse o retraerse para encontrar al maxilar en su posición ideal según la necesidad del paciente. En estos casos normalmente se requiere también una mentoplastia para lograr un mejor balance estético de la máscara facial. Cuando el defecto del maxilar superior es muy pronunciado existiendo una compresión severa, es necesario realizar en primer lugar un procedimiento de expansión del paladar (SARPE), para corregir el problema transversal y posteriormente corregir el problema anteroposterior con una cirugía ortognática.
La razón de que la cirugía correctiva se realice con mucha mayor frecuencia en ambas mandíbulas en lugar de una sola es estética en la mayoría de los casos. Según el plano estético de referencia diseñado y publicado por el Dr. Hernández Alfaro, para lograr un correcto equilibrio en las facciones del paciente, tanto el maxilar como la mandíbula deben estar por delante de una línea vertical que inicia en la base de la nariz y es perpendicular al suelo.
Por otro lado, es necesario tener en cuenta que existen factores de riesgo asociados a un retroceso mandibular, ya que este movimiento óseo conlleva un estrechamiento de las vías aéreas, pudiendo llegar a causar trastornos del sueño y apnea del sueño.
Es importante mencionar que en la gran mayoría de los casos quirúrgicos de prognatismo mandibular o clase III es necesario llevar a cabo un tratamiento ortodóncico previo y posterior a la intervención. En una primera etapa prequirúrgica se recurre a la ortodoncia para preparar al paciente para la cirugía a la hora de reubicar los maxilares en la posición planeada.
La etapa de ortodoncia postquirúrgica tiene el objetivo de mantener la nueva relación de ambos maxilares lograda con la cirugía, así como ajustar los detalles oclusales. Este tipo de tratamientos requiere la colaboración estrecha del ortodoncista y del cirujano maxilofacial, que deben coordinarse desde el inicio en los aspectos de diagnóstico y tratamiento. Asimismo, el paciente debe estar plenamente informado por los dos especialistas antes de empezar el tratamiento.
¿Por qué tratar el Prognatismo Mandibular o Clase III?
La característica común que define tanto un maxilar inferior prominente, como un maxilar superior retruído, es que en ambos casos el paciente presenta una maloclusión dental de Clase III, es decir, los dientes inferiores están delante de los dientes superiores, una condición que trasmite cierta dureza y agresividad a los rasgos faciales de los pacientes con este tipo de problema.
La solución del prognatismo mandibular o clase III resuelve problemas funcionales, como la dificultad para masticar o morder, dolor en la articulación temporomandibular (ATM), e incluso mejora la dicción del paciente (que en muchos casos presentan ceceo).
Además, tras la intervención también se consigue una gran mejoría estética: los rasgos faciales se vuelven más suaves, finos y armónicos entre sí, eliminando las trabas psicológicas que supone tener una deformidad facial.

tags: #maloclusion #clase #3 #tratamiento