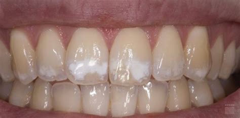
El blanqueamiento dental es un tratamiento estético popular para lograr una sonrisa más brillante. Sin embargo, algunas personas notan la aparición de manchas blancas en los dientes después del procedimiento. ¿Te han aparecido manchas blancas en los dientes? ¿Te preocupa el aspecto de tu sonrisa y quieres saber si representan algún problema para la salud de tu boca? A continuación, exploraremos las causas y los tratamientos para las manchas blancas en los dientes después del blanqueamiento.

¿Qué son las Manchas Blancas en los Dientes?
Las manchas blancas en los dientes son zonas del esmalte dental con pérdida de mineralización. Esto significa que el esmalte, la capa externa dura que protege el diente, ha perdido contenido mineral en ese punto, volviéndose más poroso. Al ser más poroso, refleja la luz de forma diferente y se ve de color blanco opaco o tiza, en contraste con el resto del diente.
En la mayoría de los casos, las manchas blancas no duelen ni causan un problema inmediato, pero pueden indicar un desequilibrio en el diente. A veces son solo un tema estético, pero otras son una señal temprana de problema dental, como una caries incipiente.
Es importante no confundir estas manchas blancas intrínsecas del esmalte con las manchas superficiales amarillas o marrones causadas por café, té, tabaco u otros alimentos. Las manchas oscuras externas se eliminan con limpiezas profesionales o blanqueamientos convencionales.
Causas de las Manchas Blancas
Las manchas blancas en los dientes son un problema estético que puede indicar también algún problema en la salud de tu boca. A continuación destacamos las diferentes causas que dan lugar a estas decoloraciones dentales:
1. Deshidratación del Esmalte
Durante el proceso de blanqueamiento, el esmalte puede sufrir una deshidratación temporal, lo que da lugar a la aparición de manchas blancas. En la mayoría de los casos, las manchas blancas están relacionadas con la deshidratación del esmalte.
2. Fluorosis o Hipocalcificación
Los dientes con antecedentes de fluorosis o hipocalcificación están predispuestos a presentar manchas blancas. La hipoplasia del esmalte es un trastorno que afecta a la capa externa de los dientes durante su formación, antes de su erupción.
3. Porosidad del Esmalte
La porosidad natural del esmalte puede variar de una persona a otra e incluso en distintas zonas del mismo diente.
4. Mala Higiene Dental
El motivo principal se relaciona con una mala higiene dental. Con la ortodoncia es más frecuente la acumulación de placa bacteriana. Si no se limpian correctamente dientes, encías y lengua, estas bacterias pueden dar lugar a caries, que en su etapa inicial pueden provocar la descalcificación del esmalte dental.
5. Caries Incipiente
La aparición de caries se relaciona con diferentes factores, entre ellos una alimentación rica en azúcares y una higiene oral deficiente. Esta situación produce una acumulación de placa bacteriana que termina dando lugar a la caries dental.
6. Enfermedad Celíaca
La intolerancia digestiva al gluten puede provocar daños en el esmalte dental a consecuencia de la mala asimilación del calcio.
7. Exceso de Flúor
El flúor es una sustancia con propiedades beneficiosas para la salud oral. Esto es más grave en edades tempranas, en el periodo de desarrollo de los dientes, hasta los 8 años de edad de manera aproximada. La fluorosis ocurre por ingerir demasiado flúor de pequeño: por ejemplo, tragar pasta de dientes fluorada frecuentemente, tomar suplementos de flúor sin necesitarlos, o vivir en zonas con agua potable excesivamente fluorada.

Tratamientos para las Manchas Blancas
Este tipo de manchas dentales no desaparecen de manera espontánea. Esto sucede porque no son un problema de pigmentación, sino un cambio en la estructura del esmalte desgaste en el esmalte. Afortunadamente, existen varios tratamientos para reducir o eliminar las manchas blancas en los dientes:
1. Remineralización del Esmalte
Rehidratar el esmalte asegurando una producción adecuada de saliva puede ayudar. Los tratamientos profesionales de remineralización del esmalte pueden restaurar el equilibrio mineral de los dientes, reduciendo así la visibilidad de las manchas blancas. Si se trata de una hipoplasia del esmalte, el dentista puede aplicar fluoruro en los dientes afectados para estimular su desarrollo y prevenir la caries.
2. Microabrasión Dental
Esta técnica estética se basa en pulir la capa superficial del esmalte pigmentado mediante productos específicos. Esta técnica estética es genial cuando tenemos manchas blancas superficiales en el esmalte (típico en fluorosis leve o alguna hipoplasia localizada). Consiste en pulir una capa muy fina del esmalte superficial para literalmente “desbastar” la mancha.
3. Infiltración de Resina (ICON)
La infiltración de caries es considerada un tratamiento no invasivo. Se trata de aplicar un producto de resina muy líquida sobre la mancha blanca (previamente preparamos el esmalte con un gel ácido para abrir sus poros) y dejar que la resina penetre en el esmalte poroso. Luego la resina se endurece con luz.
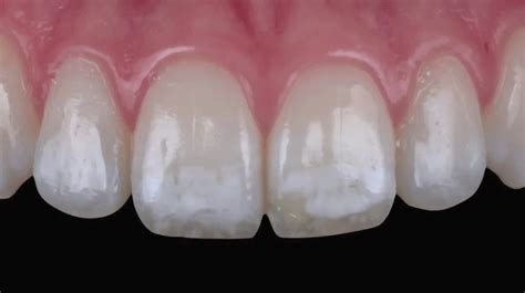
4. Blanqueamiento Dental
El blanqueamiento dental es el tratamiento estético adecuado para las manchas leves y superficiales. Si las manchas blancas son generalizadas o muy leves, a veces un blanqueamiento dental convencional ayuda a unificar el color. ¿Por qué? Porque aclara el resto del diente acercándolo al tono de la mancha blanca, con lo cual disminuye el contraste.
5. Carillas Dentales
Las carillas dentales son unas láminas finas que se adhieren al diente para mejorar su aspecto. Esta es la solución definitiva para manchas blancas muy resistentes o extensas. Carillas de porcelana: finas láminas de cerámica que se pegan en la cara visible del diente, tapando por completo las manchas. Requieren desgastar mínimamente el diente y tomar moldes.
6. Resina Compuesta o Composite
Para pacientes con pocas manchas por hipoplasia es recomendable la aplicación de resina compuesta o composite. Con este material se rellena la caries y el esmalte faltante. Carillas de composite o resina: en vez de porcelana de laboratorio, utilizamos resinas compuestas aplicadas directamente en clínica para recubrir la zona blanca. Es como hacer un “empaste estético” sobre la mancha.
Aquí tienes una tabla comparativa de los tratamientos:
| Tratamiento | Descripción | Indicación |
|---|---|---|
| Remineralización | Aplicación de flúor para fortalecer el esmalte | Manchas leves por desmineralización |
| Microabrasión | Pulido superficial del esmalte | Manchas superficiales en fluorosis leve |
| Infiltración de Resina (ICON) | Resina líquida que penetra en el esmalte poroso | Manchas de caries incipiente post-ortodoncia |
| Blanqueamiento Dental | Aclara el tono general del diente | Manchas leves y generalizadas |
| Carillas Dentales | Láminas de porcelana o composite que cubren el diente | Manchas extensas y resistentes |
| Resina Compuesta | Relleno con composite para cubrir el esmalte faltante | Pocas manchas por hipoplasia |
Prevención de las Manchas Blancas
Además del tratamiento, es fundamental prevenir la aparición de nuevas manchas blancas:
- Mejora la limpieza bucodental diaria: cepíllate los dientes después de cada comida y usa el hilo dental antes de acostarte.
- Sigue una dieta equilibrada: opta por una alimentación variada y nutritiva. Ten en cuenta que los alimentos que más dañan el esmalte son los azúcares y los ácidos.
- Hidratación adecuada: bebe agua regularmente para mantener tu boca limpia.
- Cuida tu higiene bucal: cepíllate los dientes después de cada comida con un cepillo suave y utiliza hilo dental para eliminar restos de alimentos que puedan manchar tus dientes.
- Evita cambios bruscos de temperatura: sobre todo si sientes malestar por sensibilidad.
Con estos cuidados después del blanqueamiento dental, no solo prolongarás los resultados, sino que también mantendrás una sonrisa sana y espectacular.
La mejor manera de blanquear los dientes
La recuperación tras un blanqueamiento dental es rápida. Es esencial que sigas las indicaciones de tu dentista durante este periodo, ya que es cuando los dientes son más susceptibles a mancharse. Si sientes molestias más allá de este tiempo o notas algo inusual, consulta con tu dentista.

Recuerda que es importante conocer qué está causando las manchas en tus dientes para poder afinar al máximo tu tratamiento y asegurar unos resultados duraderos y altamente estéticos. Así que, no lo dudes y pide cita para una valoración de tu blanqueamiento dental.
tags: #manchas #blancas #por #blanqueamiento #dental