La melanina, presente en la piel para protegernos del sol, a veces también se encuentra en las encías, dándoles un aspecto oscuro. Este fenómeno, conocido como melanosis gingival, puede ser un problema estético aunque no represente un riesgo para la salud. A continuación, exploraremos las causas de este oscurecimiento y los tratamientos disponibles.
¿Cómo se quitan las manchas oscuras de la encía? te decimos cómo. | Peeling Gingival
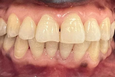
El aspecto ideal de una encía sana es de un color rosa pálido y textura gelatinosa, cubriendo y protegiendo las raíces de los dientes. Si notas que este color se ha oscurecido o presenta manchas negras, es crucial consultar a un profesional para determinar la causa. En este artículo, abordaremos las causas, los diferentes colores de las encías y los tratamientos disponibles para eliminar las manchas negras en las encías.
¿Qué es la Melanosis Gingival?
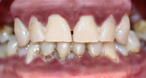
La melanosis gingival, también conocida como encías negras, es un trastorno de pigmentación que afecta la estética de la sonrisa, aunque generalmente no implica patologías graves para la salud. A pesar de afectar principalmente factores estéticos, es aconsejable consultar a un periodoncista al notar una mancha negra o un oscurecimiento en las encías.
Es importante descartar enfermedades bucodentales, ya que las tinciones oscuras en las encías comúnmente están relacionadas con problemas periodontales.

Causas de la Aparición de Manchas Negras en las Encías
Los motivos por los cuales puede surgir una mancha negra en la encía pueden ser varios, como por ejemplo un consumo reiterado de ciertos medicamentos que afecten al sistema endocrino del paciente. Aunque no es lo habitual, la melanosis gingival puede ser también un signo de lesión periodontal o incluso de algunas enfermedades más graves como el cáncer oral.
Algunas de las causas por las que podría aparecer una mancha negra en la encía, son las siguientes:
- Aumento de secreción de melanina: Una mancha negra en la encía suele estar causada por un aumento de secreción de la melanina, conocido como melanoplaquia. Es común que esta afección sea de naturaleza hereditaria y no implique una enfermedad periodontal, pero no hay manera de prevenir su aparición. Sin embargo, sí que se puede solucionar mediante diversos tratamientos de periodoncia.
- Tabaquismo: La nicotina puede ser responsable de generar alguna mancha negra en la encía con ausencia de brillo. La nicotina puede ser responsable de generar alguna mancha negra en la encía con ausencia de brillo. La nicotina puede ser responsable de generar alguna mancha negra en la encía con ausencia de brillo. En este caso, lo mejor es dejar de fumar o, al menos, reducir la cantidad de cigarros que se fuman diariamente.
- Amalgama: Una mancha negra en la encía también puede estar causada por el contacto con restauraciones de amalgama. Estas están fabricadas con metal y al entrar en continua fricción con la encía pueden generar la melanosis gingival. Este hecho tampoco significa que exista un problema de salud, sino que es únicamente estético.
- Enfermedades periodontales: Hay casos en los que la acumulación de sarro y placa bacteriana acaba causando que la encía se vuelva oscura. Para tratar una encía oscura por una enfermedad periodontal hay que eliminar primero la infección y después realizar los tratamientos especializados para eliminar las manchas negras u oscuras.
- Ciertos medicamentos: Algunos medicamentos como los anticonceptivos y algunos antibióticos presentan en sus efectos secundarios la melanosis gingival. Pueden hacer modificaciones en la mucosa oral, causando manchas negras en las encías.
- Tratamientos dentales: Durante el postoperatorio de algunos tratamientos dentales como el injerto de encía puede generarse una necrosis en la zona. Esto consiste en que la cantidad de sangre que fluye por ese tejido es mínima. Por tanto, el tejido corporal muere temporalmente haciendo que la encía se oscurezca. Es algo de lo que no hay que preocuparse, es muy común y desaparece en cuestión de días.
Diferentes Colores de las Encías y sus Significados
El color de las encías puede variar y cada tonalidad puede indicar diferentes condiciones:
- Encías rosa pálido o encía rosada: Las encías de color rosa pálido nos indican que todo va bien y que la encía está sana y cuidada.
- Encías color café o tostado: si tu piel es naturalmente de tono oscuro, tu encía también será más oscura.
- Encías rojas: las encías enrojecidas, con o sin inflamación, suelen ser síntoma de alguna infección.
- Encías blancas o blanquecinas: pueden tener varios orígenes, como la acumulación de placa bacteriana, la presencia de hongos o de una infección viral.
Las encías oscuras, como decimos, pueden estar provocadas por diferentes causas. Generalmente, se vuelven oscuras cuando hay un aumento de melanocitos, conocido en nuestro campo como melanosis gingival. La melanina de la piel, presente también en el pelo o los ojos, también lo está está presente en las encías y determina su color. En ocasiones, se produce una acumulación anormal de melanina que puede darles ese aspecto oscuro.
Por lo tanto, las encías oscuras, en algunos casos, pueden significar algo y, en muchos otros, ser algo completamente natural, por lo que, en principio, no debes preocuparte. Lo que sí recomendamos es, que si notas una alteración rápida o severa en el color de tus encías, no lo dejes pasar y acudas a tu dentista habitual.

¿Cómo Eliminar una Mancha Negra en la Encía?
Existen varias opciones para eliminar las manchas negras en las encías, dependiendo de la causa y la gravedad de la pigmentación.
- Tratamiento Periodontal de Microcirugía Gingival con Láser Er-Yag: Se basa en eliminar el tejido oscurecido de la encía a través de la emisión de una luz a una longitud de onda de 2940 nanómetros que estimula la regeneración de la mucosa sin causarle el menor daño. Este tratamiento mínimamente invasivo es la solución más cómoda, indolora, eficaz y segura para el paciente, consiguiendo grandes resultados.
- Microabrasión: Se utiliza para pulir cuidadosamente cualquier tipo de mancha negra en la encía hasta borrarla. A través de esta técnica, el dentista es capaz de eliminar la melanosis gingival y devolver al paciente su color de encía natural.
- Despigmentación con Bisturí: Es una de las técnicas más efectivas para eliminar una mancha negra en la encía, pero su cicatrización conlleva más tiempo al tratarse de un método quirúrgico.
Otros Tratamientos y Soluciones
El láser actúa en el exterior de la encía, en la última capa epitelial, donde se encuentra el exceso de melanocitos que producen la coloración, y consigue aclarar las encías en varios tonos. En el caso de las encías oscuras por malos hábitos, como ocurre con otro tipo de deterioros, el mejor tratamiento será la prevención. El tratamiento periodontal actúa prestando especial atención al estado de los dientes y los huesos maxilares, que son los principales afectados por la periodontitis. Solo tratando este oscurecimiento desde el origen, conseguiremos aclarar las encías y evitar daños mayores. Aunque, también hemos de decir, que una de las consecuencias de la periodontitis es, precisamente, el oscurecimiento gingival.
Una vez que hemos determinado la causa de la mancha negra en la encía, desarrollamos un plan de tratamiento personalizado para abordar el problema de raíz.
Para manchas causadas por partículas de amalgama, podemos realizar un procedimiento para eliminar estas partículas de las encías. En casos más graves, como un nevus melanocítico sospechoso o melanoma oral, podemos realizar una cirugía menor para extirpar la mancha y enviar una muestra para biopsia.
Prevención de la Melanoplaquia
Mantener una buena higiene bucal es esencial para prevenir la melanoplaquia. Esto incluye cepillarse los dientes al menos dos veces al día, usar hilo dental y enjuague bucal. Visitar al dentista regularmente es crucial para detectar cambios en la coloración de las encías y recibir tratamiento oportuno si es necesario.
Modificar ciertos hábitos y estilos de vida puede tener un impacto significativo en la salud bucodental. El tabaquismo es un factor de riesgo asociado con la pigmentación de las encías.
Tabla Resumen de Causas y Tratamientos
| Causa | Descripción | Tratamiento |
|---|---|---|
| Aumento de Melanina (Melanoplaquia) | Acumulación de melanocitos en las encías. | Microcirugía gingival con láser, microabrasión. |
| Tabaquismo | Depósito de sustancias tóxicas del tabaco. | Dejar de fumar, tratamiento periodontal. |
| Amalgama | Contacto con restauraciones de amalgama. | Eliminación de partículas de amalgama. |
| Enfermedades Periodontales | Inflamación y acumulación de sarro. | Eliminación de infección, raspado y alisado radicular. |
| Medicamentos | Efectos secundarios de ciertos fármacos. | Consultar alternativas con el médico. |
| Tratamientos Dentales | Necrosis post-injerto de encía. | Generalmente desaparece con el tiempo. |
El color de nuestras encías al igual que el color de nuestros dientes puede afectar a la estética de nuestra sonrisa. La melanosis gingival o unas encías negras puede indicar una alteración en nuestra salud buco-dental. Y aunque normalmente este no reviste de gravedad, se deberá considerar y controlar en la clínica dental en Barcelona o Madrid de Propdental.