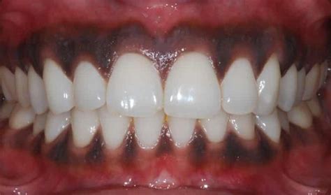
Las encías son el tejido mucoso que rodea la cavidad oral y que abarca todos los dientes. El aspecto de la encía debe ser de un color rosa pálido y de una textura gelatinosa. Su función es cubrir las raíces de los dientes y protegerlos. Si detectas que ese rosa se ha oscurecido o está acompañado de manchas negras es importante que un profesional estudie qué puede estar ocurriendo.

¿Qué es la melanosis gingival?
La melanosis gingival o encías negras es un trastorno de pigmentación que afecta a la estética de la sonrisa, a pesar de no traer consigo patologías graves para la salud de quien lo sufre. La melanosis gingival es una alteración provocada por una acumulación excesiva de melanina en las encías. La melanina que está presente en la piel y nos protege del sol en ocasiones está también presente en las encías y puede darles un aspecto oscuro. Aunque no supone un problema de salud, sí que lo es estético, pero tiene fácil solución.
Pese a afectar solo a factores estéticos, es aconsejable acudir a la consulta de un profesional periodoncista en el momento que aparece una mancha negra en la encía o esta se oscurece. Las tinciones oscuras en las encías comúnmente están relacionadas con enfermedades bucodentales por lo que es importante descartar cualquier posible enfermedad periodontal.
Causas de las manchas marrones en las encías
Los motivos por los que puede surgir una mancha negra en la encía pueden ser varios, como por ejemplo un consumo reiterado de ciertos medicamentos que afecten al sistema endocrino del paciente. Aunque no es lo habitual, la melanosis gingival puede ser también un signo de lesión periodontal o incluso de algunas enfermedades más graves como el cáncer oral. Las manchas negras en las encías pueden aparecer como consecuencia de haber sufrido un trauma en la zona. Pues como cualquier otra parte del cuerpo, el tejido gingival se puede lesionar.
Algunas de las causas por las que podría aparecer una mancha negra en la encía, son las siguientes:
- Aumento de secreción de melanina: Como explicábamos, una mancha negra en la encía suele estar causada por un aumento de secreción de la melanina, conocido como melanoplaquia. Es común que esta afección sea de naturaleza hereditaria y no implique una enfermedad periodontal, pero no hay manera de prevenir su aparición. Sin embargo, sí que se puede solucionar mediante diversos tratamientos de periodoncia.
- Tabaquismo: Otra causa de la melanosis gingival es el depósito de sustancias tóxicas del tabaco. En estos casos, las tinciones oscuras suelen manifestarse en el sector anterior (delantero) de la encía. La nicotina puede ser responsable de generar alguna mancha negra en la encía con ausencia de brillo. En este caso, lo mejor es dejar de fumar o, al menos, reducir la cantidad de cigarros que se fuman diariamente.
- Amalgama: Asimismo, una mancha negra en la encía también puede estar causada por el contacto con restauraciones de amalgama. La amalgama de plata es un material metálico que, si se filtra desde el diente hasta la encía, puede causar manchas oscuras. Estas están fabricadas con metal y al entrar en continua fricción con la encía pueden generar la melanosis gingival. Este hecho tampoco significa que exista un problema de salud, sino que es únicamente estético.
- Enfermedades periodontales: Las enfermedades periodontales (gingivitis y periodontitis) son otra de las principales causas de encías oscuras. Las enfermedades periodontales (gingivitis y periodontitis) afectan directamente al tejido de las encías. Ante la presencia del agente infeccioso, la encía reacciona, entre otras cosas, inflamándose y sangrando. Lo habitual es que estas se inflamen y enrojezcan, pero hay casos en los que la acumulación de sarro y placa bacteriana acaba causando que la encía se vuelva oscura. Para tratar una encía oscura por una enfermedad periodontal hay que eliminar primero la infección y después realizar los tratamientos especializados para eliminar las manchas negras u oscuras.
- Ciertos medicamentos: Algunos medicamentos como los anticonceptivos y algunos antibióticos presentan en sus efectos secundarios la melanosis gingival. Hay algunos fármacos que también causan encías oscuras. Pueden hacer modificaciones en la mucosa oral, causando manchas negras en las encías.
- Tratamientos dentales: Por último, también existe la posibilidad de que las tinciones oscuras de las encías se deban a un tratamiento periodontal. Durante el postoperatorio de algunos tratamientos dentales como el injerto de encía puede generarse una necrosis en la zona. Esto consiste en que la cantidad de sangre que fluye por ese tejido es mínima. Por tanto, el tejido corporal muere temporalmente haciendo que la encía se oscurezca. Es algo de lo que no hay que preocuparse, es muy común y desaparece en cuestión de días. Sin embargo, en estos casos, el cambio de color es temporal, ya que se va mitigando a medida que pasan los días.
⚫️¿Qué son estas MANCHAS NEGRAS en las ENCÍAS? - Melanosis gingival
Tratamientos para eliminar las manchas marrones en las encías
Existe un gran abanico de opciones para eliminar una mancha negra en la encía, pero el principal es el tratamiento periodontal de microcirugía gingival, que se realiza con el láser de er-Yag. ¿Qué solución tienen las encías negras? ¿Cómo funciona este tratamiento? El láser actúa en el exterior de la encía, en la última capa epitelial, que es donde se encuentra el exceso de melanocitos que producen la coloración, y consigue aclarar las encías en varios tonos.
A continuación mencionamos posibilidades para mejorar el aspecto de las encías oscuras:
- Despigmentación quirúrgica: La despigmentación quirúrgica es una pequeña cirugía plástica periodontal. Sirve para eliminar el tejido epitelial. Este tratamiento se puede realizar con electrobisturí o con láser. En general, ambas técnicas son muy sencillas y rápidas. Sin embargo, el láser presenta una serie de ventajas para el paciente: reduce el sangrado y acelera la cicatrización.
- Microabrasión: Otro de los tratamientos para solucionar las encías negras u oscuras es la microabrasión. Tanto la microabrasión como la despigmentación quirúrgica son tratamientos indicados para la melanosis gingival o para las encías oscuras debido al consumo de determinados fármacos. La microabrasión es otro tratamiento bucodental que se utiliza para pulir cuidadosamente cualquier tipo de mancha negra en la encía hasta borrarla. A través de esta técnica, el dentista es capaz de eliminar la melanosis gingival y devolver al paciente su color de encía natural.
- Raspado: Con el raspado, se elimina la placa bacteriana y el sarro que han dado lugar a la periodontitis.
Si tienes una mancha negra en la encía que te preocupa, podemos ayudarte a eliminar la melanosis gingival. La despigmentación de encías es un procedimiento eficaz que debe realizado por un profesional dental. Recuerda que cada caso es único, por lo que te recomendamos acudir a cualquiera de nuestras clínicas dentales para valorar tu caso de manera gratuita y obtener un diagnóstico y tratamiento personalizado.
Prevención de las manchas en las encías
En una gran cantidad de casos, las encías oscuras o negras no se pueden prevenir, ya que están causadas por razones genéticas. En el caso de las encías oscuras por malos hábitos, como ocurre con otro tipo de deterioros, el mejor tratamiento será la prevención. El tratamiento periodontal actúa prestando especial atención al estado de los dientes y los huesos maxilares, que son los principales afectados por la periodontitis. Solo tratando este oscurecimiento desde el origen, conseguiremos aclarar las encías y evitar daños mayores.
Algunas recomendaciones para la prevención:
- Consultar los efectos secundarios de los medicamentos: de esa manera, sabrás de antemano si pueden causar un perjuicio estético en tu boca. Y, en caso de que así sea, tendrás la oportunidad de preguntar al médico si existe otra opción.
- Mantener una buena higiene dental es esencial para prevenir manchas y enfermedades. Asegúrate de cepillarte los dientes y encías al menos dos veces al día, usar hilo dental y realizar enjuagues bucales recomendados por tu dentista.
En general, las encías negras o muy oscuras no suponen un problema para la salud oral de la persona. Sin embargo, como hemos mencionado, algunas personas piensan que son antiestéticas. Sin embargo, las encías moradas o rojas sí que pueden advertir la existencia de un problema de salud: gingivitis o periodontitis. En estos casos, es preferible acudir al odontólogo cuanto antes.