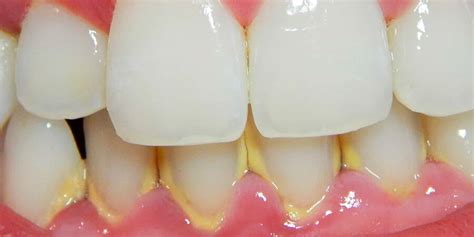
El sarro, también denominado cálculo dental, no es otra cosa que la consecuencia de una limpieza dental escasa. Sobre la superficie de los dientes, y también entre éstos, se van depositando continuamente bacterias orales y restos de comida que forman la placa. Si no se realiza correctamente una higiene bucodental exhaustiva, una vez se forme el sarro, este puede provocar patologías bucales como la gingivitis o la aparición de caries.
A continuación, te ofrecemos una guía completa para mantener tu salud oral en óptimas condiciones y evitar la acumulación de sarro.
¿Por Qué Aparece el Sarro?
El principal motivo de la aparición de sarro en los dientes es una mala higiene oral y se suele acumular principalmente en las zonas donde más nos cuesta acceder con el cepillo de dientes. No obstante, en muchos casos nos conformamos con una técnica superficial y demasiado rápida, lo que permite que la placa se acumule y por consecuente, se calcifique.
Uno de los factores que favorecen la aparición de sarro es el pH de la saliva, que varía de una persona a otra. En los casos en los que el pH es más elevado, es decir, presenta menos ácido, se forma más sarro. Sin embargo, algunos hábitos que sí se pueden evitar como el consumo de bebidas alcohólicas, café, determinados medicamentos y algunos enjuagues, también ayudan a la acumulación de placa. Todo esto sin mencionar el hábito tabáquico.

La Importancia de una Buena Higiene Bucodental
Mantener una higiene bucodental exhaustiva es esencial para poder tener una buena salud oral. Sabremos que las encías están saludables cuando el tejido gingival presente un color rosado y nunca sangren cuando se cepillen los dientes. El sangrado de las mismas puede ser un claro síntoma de acumulación de placa que está irritando las encías. Si esta capa dura que inflama y enrojece las encías no se elimina, puede derivar en una enfermedad periodontal.
Es muy importante cepillarse los dientes después de cada comida: a veces pasamos por alto la importancia de cepillarnos los dientes después de cada comida, pero puede ser un gran paso para mantener nuestra boca libre de bacterias. Tras ingerir alimentos, se debe eliminar la placa dental con el fin de evitar la aparición de sarro y posibles efectos de esto como las caries o las enfermedades gingivales. Con tan solo un cepillado entre dos y tres minutos se puede prevenir. Hay que tener en cuenta que los cepillados más imprescindibles del día son el de después del desayuno y de antes de dormir. Es fundamental cepillar todas las superficies de los dientes, además de la lengua y el paladar para eliminar bacterias.

También hay que tener en cuenta cambiar de cepillo de dientes con regularidad: lo ideal es cambiar el cepillo de dientes cada tres meses si este es manual. En el caso de tener cepillo eléctrico, lo que haremos es sustituir el cabezal. Este cambio se debe a que los cepillos van deformándose conforme los vamos usando y la limpieza deja de ser tan eficaz al no retirar toda la placa por el deterioro de las cerdas. Como añadido, también conviene cambiarlo si hemos pasado algún virus o infección porque pueden quedar bacterias en el cepillo.
Utensilios Interdentales: Un Complemento Esencial
Por ello, es recomendable el uso de otros utensilios de limpieza bucodental como el hilo dental o los cepillos interdentales.
La importancia del uso de utensilios interdentales: según los datos del Consejo, solo el 34% de los españoles se limpia entre los dientes diariamente. Solo el cepillado dental con pasta no es suficiente. Los datos muestran que los cepillos interdentales eliminan mayor cantidad de placa bacteriana que la seda dental. No obstante, úsalos siempre y cuando haya suficiente espacio entre las piezas dentales. Si no es tu caso, usa mejor hilo o seda dental.


Hábitos a Evitar
Evita el consumo de alcohol y alimentos altos en azúcar: es muy importante que la dieta sea sana. Hay que evitar algunos hábitos como el consumo de alcohol o azúcar.
Tratamiento Profesional del Sarro
Una vez el cálculo dental está formado, se deberá acudir a la ayuda de un profesional. En la mayoría de los casos, simplemente basta con una limpieza, también llamada profilaxis o tartrectomía, que se realiza con un aparato de ultrasonidos y agua, lo que hará que se desintegre el sarro.

Aunque, como hemos explicado, el sarro no puede evitarse completamente, sí que puede minimizarse.
Revisiones Periódicas
Revisiones periódicas bianuales: una forma de prevención de cálculo dental pueden ser las revisiones periódicas al dentista.
| Hábito | Frecuencia | Beneficio |
|---|---|---|
| Cepillado dental | Después de cada comida (mínimo 2 veces al día) | Elimina la placa y previene la formación de sarro |
| Uso de hilo dental o cepillos interdentales | Diariamente | Limpia entre los dientes donde el cepillo no llega |
| Cambio de cepillo de dientes | Cada 3 meses | Mantiene la eficacia del cepillo |
| Revisiones dentales | Cada 6 meses | Detección temprana y prevención de problemas dentales |
Uso correcto de la seda dental
tags: #manuel #supervivientes #dientes