La radiología dental es una técnica diagnóstica esencial que utiliza rayos X para obtener imágenes detalladas de los dientes, las mandíbulas y las estructuras circundantes. Su principal objetivo es detectar problemas como caries, infecciones y anomalías óseas que no son visibles a simple vista. En la práctica odontológica moderna, este método se ha convertido en una herramienta indispensable, permitiendo a los odontólogos ver lo que a simple vista es imposible detectar.
Con el avance tecnológico, la radiografía digital se ha introducido, ofreciendo imágenes de alta resolución con una exposición a la radiación considerablemente menor. Gracias a estas imágenes, los dentistas pueden detectar problemas en una etapa temprana, identificar caries ocultas, evaluar la salud de los tejidos óseos y determinar la ubicación ideal para implantes. Además, facilita la planificación de tratamientos ortodónticos y la supervisión de intervenciones complejas.

En radiología dental, la seguridad es primordial. Se siguen normativas y protocolos estrictos para minimizar la exposición a la radiación. Para garantizar la seguridad tanto del paciente como del personal, se aplican varias medidas prácticas. Por ejemplo, se recomienda a los pacientes utilizar delantales plomados y gafas de protección durante el procedimiento.
Tipos de Radiografías Dentales
Las radiografías dentales se clasifican en dos grandes grupos: intraorales y extraorales. Las radiografías intraorales son aquellas en las que la película o el sensor se coloca dentro de la boca. Son las más comunes y detalladas, proporcionando una visión precisa de los dientes y las estructuras adyacentes.
Radiografías Intraorales
- Radiografías periapicales: Muestran el diente completo, desde la corona hasta la raíz, y el hueso circundante.
- Radiografías interproximales o de aleta de mordida (bitewing): Permiten observar las coronas de los dientes superiores e inferiores en una misma imagen, enfocándose en las áreas de contacto entre dientes.
- Radiografía Oclusal: Muestran una vista amplia del maxilar o la mandíbula, lo que facilita la observación de dientes en desarrollo, fracturas o cuerpos extraños.

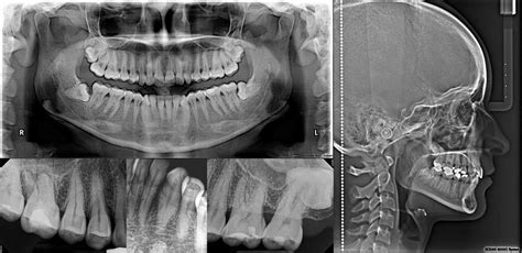
¿Qué se ve en una radiografía panorámica? ¿Cómo puedo entenderla? 🦷 - Odontología Láser.
Radiografías Extraorales
Las radiografías extraorales son técnicas de diagnóstico por imagen en odontología en las que el sensor o película radiográfica se coloca fuera de la boca del paciente. Es fundamental para los análisis cefalométricos que determinan la posición y alineación de los dientes, así como la relación entre los maxilares y el cráneo.
Equipamiento y Materiales Necesarios
Para obtener radiografías de calidad, además de las películas o sensores, es fundamental contar con el equipamiento adecuado y los materiales complementarios. A continuación, se describen los elementos clave que garantizan una toma de imágenes radiográficas eficaz, segura y precisa.
- Máquina de Rayos X Dental: Es el equipo principal que emite los rayos X necesarios para crear las imágenes.
- Delantales de Plomo: Son utilizados por el paciente para proteger las áreas no irradiadas, como la zona abdominal, del impacto de los rayos X. Están hechos de plomo o materiales equivalentes que bloquean eficazmente la radiación.
- Protectores de Tiroides: Son dispositivos de protección que se colocan alrededor del cuello del paciente para proteger la tiroides, una glándula particularmente sensible a la radiación.
- Posicionadores de radiografía: Son dispositivos utilizados para colocar y mantener la película o el sensor en la posición correcta dentro de la boca del paciente. Los posicionadores ayudan a garantizar que las imágenes sean precisas y reproducibles, reduciendo la necesidad de repetir las radiografías debido a errores de posicionamiento.
- Procesador de imágenes: En el caso de las radiografías digitales, un procesador de imágenes es necesario para visualizar y analizar las radiografías en una computadora.
- Revelado (en sistemas analógicos): Liquido revelador para el proceso de radiografías analógicas.
Radiología Dental Portátil
Los equipos radiográficos dentales portátiles (ERDP) son dispositivos transportables e inalámbricos cuyo uso se ha masificado. Se diferencian de los equipos radiográficos fijos en que tienen una batería recargable y un blindaje externo de retrodispersión. Además, el miliamperaje es menor en ERDP, por lo que los tiempos de exposición son mayores.
La forma de uso del ERDP para disminuir el riesgo de exposición a radiaciones ionizantes del operador es sostenerlo a la distancia de un antebrazo del cuerpo manteniendo la emisión del rayo central paralela al piso. La amplia variedad de ERDP y su distinta forma de uso, implica un potencial mayor riesgo de exposición a radiación al operador.

Recomendaciones para el uso correcto de ERDP
- Usar angulación vertical de 0° en relación con el piso para el correcto funcionamiento del disco de acrílico plomado de retrodispersión.
- El operador usó como elementos de protección personal blindados (EPPB): delantal, collar tiroideo, guantes y lentes.
- Para mayor protección, es recomendable que el operador use protecciones adicionales como guantes plomados, delantal plomado y collar tiroideo.
Tabla 1. Dosis efectiva anual según angulación vertical y carga de trabajo
| Angulación Vertical | Carga de Trabajo (mAmin/semana) | Dosis Efectiva Anual (mSv) |
|---|---|---|
| Correcta | 5 | 0.9 |
| Incorrecta | 10 | 1.7 |
| Incorrecta | 20 | 3.5 |
Es importante considerar que el blindaje externo de retrodispersión determina un área de protección al operador de tamaño suficiente para que el cuerpo completo del operador quede protegido. Esta área de protección puede variar en forma y tamaño según la estatura del operador y el largo del brazo del operador.
Avances en Radiología Dental
La radiología dental ha avanzado significativamente en las últimas décadas, gracias a la adopción de tecnologías innovadoras que han transformado la obtención, procesamiento y análisis de imágenes. Destacan los sistemas digitales, que permiten obtener imágenes de alta resolución al instante, y las técnicas tridimensionales como la tomografía computarizada de haz cónico, que brindan una visión completa de las estructuras orales y maxilofaciales.
La integración de software especializado y herramientas de inteligencia artificial ha facilitado la detección automática de patologías y una planificación más precisa de tratamientos complejos, como implantes y ortodoncia.