La hipoplasia maxilar y el prognatismo son condiciones que pueden afectar tanto la estética facial como la función masticatoria. En este artículo, exploraremos en detalle qué son estas condiciones, sus causas, los métodos de diagnóstico y los tratamientos disponibles para corregirlas y mejorar la calidad de vida.

¿Qué es la Hipoplasia Maxilar?
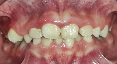
La hipoplasia maxilar, también conocida como subdesarrollo del maxilar superior, es una condición caracterizada por un desarrollo insuficiente del hueso maxilar superior. Este subdesarrollo puede causar problemas tanto de alineación dental como de apariencia facial. Las personas con esta afección suelen presentar:
- Una mandíbula que sobresale en comparación con la parte superior del rostro.
- Problemas para masticar o hablar adecuadamente.
- Mordida cruzada o problemas de alineación dental.
Este problema no solo afecta la estética facial, sino que también puede tener un impacto funcional en la vida diaria.
Causas de la hipoplasia maxilar
Existen varias causas posibles para la hipoplasia maxilar, entre las que se incluyen:
- Factores genéticos: La herencia juega un papel importante en el desarrollo de esta condición.
- Malformaciones congénitas: Algunas personas nacen con esta anomalía debido a problemas durante el desarrollo embrionario.
- Traumatismos faciales: Los golpes o lesiones graves en la cara durante la infancia pueden causar un mal desarrollo del maxilar superior.
- Problemas respiratorios: Condiciones como la respiración bucal crónica o el uso prolongado del chupete pueden influir negativamente en el crecimiento del maxilar superior.
¿Cómo saber si sufres de hipoplasia maxilar?
Detectar esta condición es crucial para tomar las medidas adecuadas a tiempo. Algunos de los signos más evidentes de la hipoplasia maxilar incluyen:
- Apariencia facial desproporcionada: Mandíbula inferior más prominente que la superior.
- Mordida cruzada o abierta: La alineación de los dientes no es correcta.
- Problemas respiratorios: Dificultades para respirar por la nariz.
- Dolor en la articulación temporomandibular (ATM): Dolor al masticar o al mover la mandíbula.
Si sospechas que puedes tener hipoplasia maxilar, es importante que consultes con un especialista. Un diagnóstico temprano puede facilitar el tratamiento.
Diagnóstico de la hipoplasia maxilar
El diagnóstico de esta afección suele realizarse a través de:
- Examen clínico: El especialista revisará tu estructura facial y dental.
- Radiografías o escáneres 3D: Para obtener una imagen más precisa del maxilar superior.
- Modelos de estudio: En algunos casos, se crean modelos de la boca para estudiar la mordida y la alineación dental.
Tratamientos para la hipoplasia maxilar
Afortunadamente, existen diferentes opciones de tratamiento para la hipoplasia maxilar, adaptadas a las necesidades específicas de cada paciente. Las más comunes incluyen:
- Ortodoncia: En casos leves, el uso de aparatos ortodónticos puede corregir la posición de los dientes y mejorar la alineación de la mandíbula.
- Cirugía ortognática: En situaciones más complejas, puede ser necesaria una cirugía para reposicionar el maxilar superior.
- Rellenos faciales o injertos óseos: Estos tratamientos estéticos pueden mejorar la apariencia facial y corregir desproporciones sin la necesidad de cirugía ortognática.
- Expansión maxilar: Para algunos pacientes jóvenes, se puede realizar una expansión del maxilar superior con dispositivos ortopédicos, evitando así una cirugía en el futuro.
Beneficios de tratar la hipoplasia maxilar
Al corregirla, los pacientes experimentan mejoras notables en:
- Estética facial: La corrección de las proporciones faciales puede tener un impacto positivo en la autoestima.
- Función masticatoria: Mejoras en la mordida y la capacidad de masticar de forma adecuada.
- Calidad de vida: La corrección de la respiración y la alineación dental mejora la salud general.
El momento ideal para tratar un problema de desarrollo maxilar
El tratamiento para la hipoplasia maxilar puede realizarse a cualquier edad, aunque existen momentos clave en el desarrollo donde puede ser más efectivo:
- Infancia y adolescencia: Durante el crecimiento, los tratamientos ortopédicos son más efectivos, ya que el hueso maxilar está en desarrollo.
- Edad adulta: Aunque es más complicado corregir la hipoplasia en adultos, existen opciones quirúrgicas efectivas que pueden mejorar tanto la funcionalidad como la estética facial.
Independientemente de la edad, es esencial acudir a una consulta con un especialista para evaluar las opciones de tratamiento disponibles.
¿Qué es el Prognatismo?
El prognatismo es una condición dental que se caracteriza por la protrusión del maxilar inferior (mandíbula) en relación con el maxilar superior (mandíbula superior). Esta desproporción en la posición de los huesos maxilares genera una alteración en la oclusión dental, lo que significa que los dientes no encajan correctamente al morder.
El prognatismo es una condición caracterizada por la prominencia del maxilar superior o la mandíbula. Esto puede dar lugar a una serie de características faciales distintivas, como:
- Mordida Clase III: los dientes inferiores sobresalen notablemente por delante de los dientes superiores.
- Perfil facial: el mentón suele ser prominente y la zona del labio inferior puede verse hundida.
- Dificultades masticatorias: masticar puede ser un proceso incómodo e ineficiente.
- Problemas de habla: la pronunciación de algunos sonidos puede verse afectada.
- Impacto estético: el prognatismo puede afectar negativamente la autoestima y la imagen personal.
- Problemas de respiración: en casos severos, el prognatismo puede obstruir las vías respiratorias y provocar problemas de respiración.

Tipos de prognatismo
Existen tres tipos principales de prognatismo, que se diferencian por la causa subyacente de la desproporción entre los maxilares:
- Prognatismo mandibular: Es el tipo más común de prognatismo. Se caracteriza por un crecimiento excesivo del maxilar inferior en relación con el maxilar superior. Las causas del prognatismo mandibular pueden ser genéticas o ambientales, como la falta de espacio en la mandíbula durante el desarrollo dental.
- Prognatismo maxilar: En este tipo de prognatismo, el maxilar superior está retraído en comparación con el maxilar inferior. Las causas del prognatismo maxilar suelen ser genéticas, pero también pueden estar relacionadas con hábitos inadecuados durante la infancia, como chupar el dedo o empujar la lengua contra los dientes.
- Prognatismo bimaxilar: Es el tipo de prognatismo menos frecuente. Se caracteriza por una alteración en la posición de ambos maxilares: el maxilar inferior está protuido y el maxilar superior está retraído. Las causas del prognatismo bimaxilar suelen ser genéticas.
Diagnóstico del prognatismo
El diagnóstico del prognatismo se realiza mediante un examen odontológico completo, que incluye:
- Evaluación clínica: El dentista examinará la boca, los dientes y la oclusión dental.
- Radiografías: Las radiografías dentales y faciales permiten visualizar la posición de los huesos maxilares y la estructura dental.
- Modelos de estudio: Se pueden realizar modelos de yeso de la boca para analizar en detalle la oclusión dental.
¿Cuáles son las causas del prognatismo?
Las causas del prognatismo son diversas y pueden ser genética, ambientales o una combinación de ambas. A continuación, se detallan las principales causas:
- Factores genéticos: La predisposición al prognatismo puede ser hereditaria. Si uno o ambos padres tienen prognatismo, existe una mayor probabilidad de que sus hijos también lo padezcan. Ciertos genes específicos se han asociado con un mayor riesgo de desarrollar prognatismo.
- Crecimiento mandibular excesivo: Un desarrollo desproporcionado del maxilar inferior en relación con el maxilar superior puede ocasionar prognatismo. Las causas de este crecimiento excesivo pueden ser genéticas o ambientales.
- Deficiencia del maxilar superior: Un maxilar superior poco desarrollado en comparación con el maxilar inferior puede generar la apariencia de prognatismo. Las causas de esta deficiencia pueden ser genéticas o estar relacionadas con factores ambientales, como la presencia de quistes o tumores en el maxilar superior.
- Hábitos inadecuados: Chupar el dedo, empujar la lengua contra los dientes o respirar por la boca durante la infancia pueden contribuir al desarrollo del prognatismo. Estos hábitos pueden alterar el crecimiento normal de los huesos maxilares y generar una mordida prominente.
¿Cuáles son las consecuencias del prognatismo?
Las consecuencias del prognatismo mandibular pueden incluir diversos problemas que afectan tanto la salud bucodental como la calidad de vida de quienes lo padecen:
- Problemas estéticos.
- Dolores de cabeza.
- Molestias en la masticación.
- Sobrecargas en la articulación temporomandibular (ATM) y dolores de mandíbula.
- Problemas de dicción.
- Contactos no deseados entre las piezas dentales.
Tratamientos para el prognatismo
Existen diversos tratamientos disponibles para corregir el prognatismo y restaurar el equilibrio en la sonrisa y el rostro. El tratamiento específico dependerá de la severidad de la condición, la edad del paciente y las causas subyacentes.
- Ortodoncia: La ortodoncia es un tratamiento común para el prognatismo leve a moderado. Se utilizan brackets o alineadores transparentes para reubicar los dientes y corregir la mordida. En algunos casos, la ortodoncia se puede combinar con otros tratamientos, como la cirugía ortognática.
- Cirugía ortognática: La cirugía ortognática es un procedimiento quirúrgico que reubica los huesos maxilares. Se suele recomendar en casos severos de prognatismo o cuando la ortodoncia por sí sola no es suficiente. La cirugía ortognática puede mejorar significativamente la función masticatoria, la estética facial y la respiración.
- Terapia miofuncional: La terapia miofuncional se enfoca en fortalecer los músculos faciales y mejorar la postura de la lengua. Puede ser un complemento útil a la ortodoncia o la cirugía ortognática, especialmente en pacientes con hábitos inadecuados como empujar la lengua contra los dientes.
- Apnea del sueño: En algunos casos severos de prognatismo, la condición puede obstruir las vías respiratorias y causar apnea del sueño. Si se presenta apnea del sueño, se puede requerir un tratamiento adicional, como un dispositivo de avance mandibular (DAM) o la cirugía de las vías respiratorias.
Mandíbula Retraída (Retrognatia)
En el mundo de la odontología, enfrentar condiciones como la mandíbula retraída, también conocida como retrognatia, representa un desafío tanto para los profesionales como para los pacientes. Cada sonrisa es única y refleja la esencia de quien la porta. Sin embargo, ciertos problemas dentales pueden afectar nuestra confianza y bienestar.
¿Qué es la mandíbula retraída o retrognatia?
La mandíbula retraída, médicamente denominada retrognatia, ocurre cuando la mandíbula inferior está más atrás de lo normal con respecto a la superior. Como resultado, puede afectar la apariencia facial y provocar problemas funcionales, como dificultad para masticar o respirar.
Además, esta condición puede generar una mordida incorrecta y, en algunos casos, contribuir a la apnea del sueño. Por ello, el tratamiento varía según la gravedad del caso, desde ortodoncia hasta cirugía ortognática en situaciones más severas.
Es importante detectar la mandíbula retraída a tiempo para evitar complicaciones futuras. Si se trata en la infancia, existen mayores posibilidades de corregirla con ortodoncia funcional. En adultos, los tratamientos pueden requerir procedimientos más avanzados.
Causas de la mandíbula retraída
La mandíbula retraída o retrognatia puede tener diversas causas. En algunos casos, está presente desde el nacimiento, mientras que en otros, se desarrolla con el tiempo. A continuación, te explicamos los factores más comunes:
- Factores genéticos: La retrognatia puede ser hereditaria. Si uno o ambos padres tienen la mandíbula retraída, es probable que sus hijos también la desarrollen.
- Malformaciones congénitas: Algunas personas nacen con una mandíbula inferior subdesarrollada, lo que afecta la estructura facial y la función masticatoria desde una edad temprana.
- Hábitos en la infancia: El uso prolongado del chupete o chuparse el dedo puede interferir en el crecimiento normal de la mandíbula, llevándola a una posición más retraída. Por ello, es recomendable corregir estos hábitos a tiempo.
- Traumatismos o golpes: Las lesiones en la mandíbula pueden alterar su crecimiento y posición. Si un niño sufre un golpe fuerte en la cara, esto puede influir en el desarrollo mandibular a largo plazo.
- Desarrollo óseo anormal: En algunos casos, la mandíbula inferior no crece a la misma velocidad que la superior. Como consecuencia, se genera una desproporción que afecta la armonía facial y la mordida.
- Trastornos del crecimiento: Algunas condiciones médicas afectan el desarrollo óseo del rostro, provocando retrognatia y otros problemas maxilofaciales. Entre ellas, se incluyen ciertos síndromes congénitos que alteran el tamaño de la mandíbula.
Detectar la causa de la mandíbula retraída es clave para elegir el tratamiento más adecuado y evitar que el problema empeore con el tiempo.
Tratamientos y soluciones para la mandíbula retraída o retrognatia
Existen diferentes opciones para tratar la mandíbula retraída. La elección del tratamiento depende de la gravedad del caso y la edad del paciente. A continuación, te explicamos las principales soluciones:
- Ortodoncia correctiva: En casos leves o moderados, el uso de brackets o alineadores transparentes puede mejorar la alineación de los dientes y ayudar a corregir la posición mandibular. Además, en niños y adolescentes, se pueden utilizar dispositivos funcionales que estimulan el crecimiento de la mandíbula inferior, evitando la necesidad de cirugía en el futuro.
- Cirugía ortognática: Para casos más avanzados, la cirugía ortognática es la mejor opción. Este procedimiento, realizado por cirujanos maxilofaciales, reposiciona la mandíbula para mejorar la estética y la función masticatoria. Antes de la cirugía, el paciente suele necesitar un tratamiento de ortodoncia para preparar la mordida. Después de la operación, se requiere un tiempo de recuperación y seguimiento por parte del especialista.
- Implantes dentales y restauraciones estéticas: Cuando la retrognatia se asocia con la pérdida de dientes o alteraciones en la mordida, los implantes dentales, carillas o prótesis pueden ayudar a mejorar la estética y la funcionalidad.
Cada tratamiento se adapta a las necesidades del paciente. Por esta razón, es importante acudir a una clínica especializada para obtener un diagnóstico personalizado.
Pérdida de Hueso Maxilar
¿Sabías que la pérdida de hueso en los maxilares es una de las principales consecuencias de no reemplazar un diente perdido? Este proceso, también conocido como atrofia ósea o maxilar, sucede comúnmente tras la pérdida de uno o varios dientes, ya que el hueso alveolar necesita la presión y relajación generada por la masticación para mantenerse sano.
El hueso del maxilar necesita estímulos para mantenerse fuerte. Si hay presión mal distribuida o sin función, se reabsorbe. Pero si hay fuerzas controladas y funcionales (como al masticar con un diente o implante bien colocado), el hueso se conserva e incluso puede regenerarse.
El maxilar forma una parte fundamental del rostro, estructura los rasgos faciales y es necesaria para masticar y hablar correctamente. Los dientes y los huesos cambian su estructura a medida que envejecemos. Se trata de un proceso adaptativo que elimina y repone hueso según sea necesario.
Es importante tener en cuenta que el hueso alveolar se conserva gracias a la presión y el estímulo que se genera al masticar los alimentos con los dientes.
Causas de la pérdida de hueso maxilar
- Pérdida dental no reemplazada: La falta de reemplazo de un diente perdido es uno de los principales factores que contribuye a la atrofia ósea.
- Enfermedad periodontal: La periodontitis es una infección de las encías que afecta el hueso que sostiene los dientes.
- Falta de higiene bucal adecuada: Una higiene bucal deficiente favorece la acumulación de placa bacteriana, lo que puede resultar en enfermedades de las encías y pérdida ósea.
- Fumar: El tabaco es uno de los factores de riesgo más importantes en la pérdida ósea.
- Genética: En algunos casos, la predisposición genética juega un papel importante en la pérdida de hueso.
La reabsorción ósea en la mandíbula es más rápida en comparación con el maxilar superior, lo que puede dificultar la colocación de implantes dentales.
Tratamientos para la pérdida de hueso maxilar
Como hemos explicado anteriormente, la atrofia del hueso maxilar ya no tiene por qué ser un impedimento para la colocación de implantes dentales. Aquí hay algunas soluciones:
- Injertos óseos: Son una de las soluciones más tradicionales para tratar la atrofia maxilar.
- Implantes cigomáticos: Son una alternativa ideal cuando no es posible realizar un injerto óseo en el maxilar superior.
- Implantes pterigoideos: Son una buena opción en casos de atrofia severa en la parte posterior del maxilar superior.
- Implantes subperiósticos: Son adecuados para pacientes que tienen una atrofia ósea extrema y no son candidatos para otras soluciones, como injertos óseos o implantes convencionales.
- Implantes angulados: Son una solución innovadora para pacientes con una cantidad limitada de hueso. Esta solución es ideal para pacientes que han perdido todos los dientes y presentan una atrofia ósea moderada, ya que permite restaurar la función y la estética de la boca sin la necesidad de realizar injertos óseos.
Con estos procedimientos, los pacientes pueden recuperar la capacidad de comer, sonreír, hablar con confianza y mejorar su aspecto.
Duración y molestias de los tratamientos
A continuación, se presenta una tabla con la duración y las molestias asociadas a los diferentes tratamientos mencionados:
| Tratamiento | Duración | Molestias |
|---|---|---|
| Ortodoncia (brackets tradicionales o Invisalign) | 12-24 meses | Cierta incomodidad o presión en los dientes, especialmente durante los primeros días tras el ajuste. |
| Expansión maxilar | 6-12 meses (en pacientes jóvenes) | Sensación de presión y malestar en la zona de los dientes y el paladar. |
| Cirugía ortognática | Planificación ortodóntica previa (12-18 meses), cirugía (unas pocas horas) | Dolor e hinchazón en los días posteriores al procedimiento. |
CAMBIÓ su CARA por completo - CIRUGÍA ORTOGNÁTICA
tags: #maxilar #poco #desarrollado