La hipoplasia maxilar, o pseudoprognatismo, es una malformación ósea en la que el maxilar superior está subdesarrollado, dando al rostro un aspecto prognata (de mandíbula saliente) aparente pero que en muchos casos no es real, de ahí que se le conozca como “falso prognatismo”. En una gran parte de los casos de pseudoprognatismo, el maxilar está subdesarrollado no sólo en el plano anteroposterior, sino que también presenta deficiencias en el plano vertical o transversal, dando una apariencia hundida al tercio medio del rostro del paciente, y haciendo que tanto la nariz como la mandíbula sobresalgan y parezcan muy prominentes, aunque tengan un tamaño normal y en correcta proporción con el rostro.

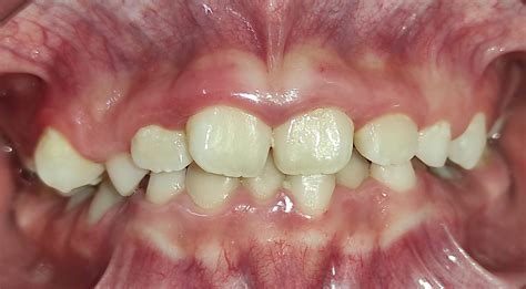
Ejemplo visual de hipoplasia maxilar, donde se observa un subdesarrollo del maxilar superior.
¿Qué es la hipoplasia maxilar?
La hipoplasia maxilar es una condición que se caracteriza por un subdesarrollo del hueso maxilar superior, lo que puede causar problemas tanto de alineación dental como de apariencia facial.Las personas con esta afección suelen presentar:
- Una mandíbula que sobresale en comparación con la parte superior del rostro.
- Problemas para masticar o hablar adecuadamente.
- Mordida cruzada o problemas de alineación dental.
Este problema no solo afecta la estética facial, sino que también puede tener un impacto funcional en la vida diaria.
Causas de la Hipoplasia Maxilar
En la mayoría de los casos, esta malformación se trata de una anomalía del desarrollo, aunque también puede ser causada por factores externos, como extracciones dentales mal planificadas.
Existen varias causas posibles, entre las que se incluyen:
- Factores genéticos: La predisposición hereditaria juega un papel crucial en el desarrollo de la clase III, especialmente en los casos esqueléticos. La herencia juega un papel importante en el desarrollo de esta condición.
- Malformaciones congénitas: Algunas personas nacen con esta anomalía debido a problemas durante el desarrollo embrionario.
- Traumatismos faciales: Los golpes o lesiones graves en la cara durante la infancia pueden causar un mal desarrollo del maxilar superior.
- Problemas respiratorios: Condiciones como la respiración bucal crónica o el uso prolongado del chupete pueden influir negativamente en el crecimiento del maxilar superior. Un desarrollo excesivo de las amígdalas altera el crecimiento de los huesos maxilares porque el paciente no puede respirar por la nariz.
- Determinadas costumbres como chuparse el dedo pulgar y usar el chupete o el biberón pasados los tres años de edad también altera el crecimiento de los huesos maxilares. Todo ello se debe a que, durante los primeros años de vida, los huesos están en pleno crecimiento y son muy moldeables.
Existen determinados trastornos o patologías que pueden causar prognatismo mandibular. Algunos ejemplos de ellos son las anomalías relacionadas con la hormona del crecimiento o el síndrome de Crouzon.
Síntomas de la Hipoplasia Maxilar
La hipoplasia maxilar crea la ilusión de una mandíbula y una nariz prominentes, incluso si ambas partes tienen un tamaño normal y en correcta proporción con el rostro.
Algunos de los signos más evidentes de la hipoplasia maxilar incluyen:
- Apariencia facial desproporcionada: Mandíbula inferior más prominente que la superior.
- Mordida cruzada o abierta: La alineación de los dientes no es correcta. Hablamos de mordida abierta anterior cuando los dientes anteriores (dientes centrales) no entran en contacto entre ellos.
- Problemas respiratorios: Dificultades para respirar por la nariz.
- Dolor en la articulación temporomandibular (ATM): Dolor al masticar o al mover la mandíbula. Los síntomas más comunes de los problemas en la ATM incluyen dolor en la mandíbula, ruidos o chasquidos al abrir y cerrar la boca, dolores de cabeza crónicos, e incluso dificultades para mover la mandíbula.
Si sospechas que puedes tener hipoplasia maxilar, es importante que consultes con un especialista. Un diagnóstico temprano puede facilitar el tratamiento.
Diagnóstico de la Hipoplasia Maxilar
El diagnóstico de esta afección suele realizarse a través de:
- Examen clínico: El especialista revisará tu estructura facial y dental.
- Radiografías o escáneres 3D: Para obtener una imagen más precisa del maxilar superior.
- Modelos de estudio: En algunos casos, se crean modelos de la boca para estudiar la mordida y la alineación dental.
Tratamiento para la Hipoplasia Maxilar
Afortunadamente, existen diferentes opciones de tratamiento para la hipoplasia maxilar, adaptadas a las necesidades específicas de cada paciente. La cirugía ortognática está estrechamente relacionada con la ortodoncia. Por lo tanto, corregir las deformidades dento-craneo-maxilofaciales siempre implica trabajo en equipo entre el ortodoncista y el cirujano maxilofacial.
Las más comunes incluyen:
- Máscara facial: Es un aparato que se coloca en los niños que experimentan una hipoplasia maxilar. El dispositivo sirve para estimular el crecimiento maxilar.
- Ortodoncia: En casos leves, el uso de aparatos ortodónticos puede corregir la posición de los dientes y mejorar la alineación de la mandíbula. La ortodoncia puede utilizarse, por lo general, a partir de los 11-12 años. Permite corregir la clase III de origen dental. Además, en algunos casos de clase III esquelética también es posible hacer un “camuflaje”.
- Brackets tradicionales o alineadores invisibles (Invisalign): Los brackets tradicionales, hechos de metal o cerámica, son “aparatos” fijos que aplican presión constante sobre los dientes para moverlos gradualmente a su posición correcta. Por otro lado, los alineadores invisibles como Invisalign son una alternativa estética y cómoda para corregir la alineación de los dientes. Estos alineadores son removibles y casi imperceptibles, lo que los convierte en una opción popular entre los pacientes adultos.
- Expansión maxilar: En algunos casos, el prognatismo mandibular se debe a una discrepancia entre el tamaño de la mandíbula superior y la inferior. La expansión maxilar es un tratamiento ortodóncico que utiliza un dispositivo para ensanchar el maxilar superior, mejorando la alineación de ambas mandíbulas. Para algunos pacientes jóvenes, se puede realizar una expansión del maxilar superior con dispositivos ortopédicos, evitando así una cirugía en el futuro.
- Expansión maxilar: Este procedimiento, cuando se realiza en pacientes jóvenes, puede durar entre 6 y 12 meses.
- La expansión del maxilar puede provocar una sensación de presión y malestar en la zona de los dientes y el paladar.
- Cirugía ortognática: En situaciones más complejas, puede ser necesaria una cirugía para reposicionar el maxilar superior.
- El tratamiento indicado para el pseudoprognatismo es una cirugía ortognática monomaxilar, normalmente de avance maxilar combinado con otros movimientos (descenso, rotación, etc).
- Por otro lado, en algunos casos el menor desarrollo del maxilar superior propicia un mecanismo de compensación en la mandíbula; dando lugar a casos en los que el paciente presenta tanto prognatismo mandibular (mandíbula prominente) como hipoplasia maxilar. En estos casos, el tratamiento pasa por una cirugía ortognática bimaxilar, que corregirá la posición de ambas estructuras óseas a la vez.
- Cirugía ortognática monomaxilar: se realiza cuando solo hay que avanzar el maxilar superior o atrasar la mandíbula.
- Cirugía ortognática bimaxilar: en esta operación, el cirujano tiene que actuar tanto en el maxilar como en la mandíbula. Es decir, tiene que retrasar la mandíbula y adelantar el maxilar superior.
- En casos de prognatismo mandibular más grave o en aquellos casos donde los tratamientos ortodóncicos no son suficientes para corregir el caso, la cirugía ortognática puede ser necesaria.
- Durante la cirugía, el cirujano realiza cortes en la mandíbula para moverla hacia adelante o hacia atrás, dependiendo del caso.
- La cirugía ortognática implica un periodo de planificación ortodóntica previo, que puede durar entre 12 y 18 meses. La propia cirugía generalmente se realiza en unas pocas horas, y el tiempo de recuperación puede variar.
- Tras una cirugía ortognática, la recuperación es un proceso gradual. Los primeros días, el paciente experimentará hinchazón y molestias, que pueden ser manejadas con medicamentos prescritos por el cirujano. La dieta suele ser líquida o blanda durante las primeras semanas, mientras la mandíbula sana.
- La cirugía ortognática puede causar dolor e hinchazón en los días posteriores al procedimiento. Los pacientes suelen recibir medicamentos para el dolor y la inflamación. Aunque el dolor puede ser significativo inicialmente, la mayoría de los pacientes encuentran que mejora notablemente en la primera semana postoperatoria.
- Rellenos faciales o injertos óseos: Estos tratamientos estéticos pueden mejorar la apariencia facial y corregir desproporciones sin la necesidad de cirugía ortognática. Uno de los tratamientos más comunes para la atrofia maxilar severa es el uso de injertos óseos. Este procedimiento implica la colocación de hueso autógeno (del propio paciente), alogénico (de un donante) o sintético en las áreas con déficit óseo para estimular la formación de nuevo hueso.
En muchos casos, la solución más efectiva para corregir el prognatismo mandibular implica una combinación de tratamientos ortodóncicos y quirúrgicos. Antes de la cirugía, el paciente suele necesitar un tratamiento ortodóncico para alinear los dientes y asegurarse de que encajen adecuadamente después de la cirugía. Este enfoque integral asegura los mejores resultados posibles, tanto en términos de funcionalidad como de estética facial.

Representación de una cirugía ortognática para corrección de la mandíbula.
Beneficios de tratar la hipoplasia maxilar
Al corregirla, los pacientes experimentan mejoras notables en:
- Estética facial: La corrección de las proporciones faciales puede tener un impacto positivo en la autoestima. Una vez el maxilar está en su sitio, las facciones del paciente se ven más equilibradas, los rasgos más suaves, y la nariz da la ilusión de ser más pequeña, aunque su tamaño no haya variado en realidad.
- Función masticatoria: Mejoras en la mordida y la capacidad de masticar de forma adecuada.
- Calidad de vida: La corrección de la respiración y la alineación dental mejora la salud general.
El momento ideal para tratar un problema de desarrollo maxilar
El tratamiento para la hipoplasia maxilar puede realizarse a cualquier edad, aunque existen momentos clave en el desarrollo donde puede ser más efectivo:
- Infancia y adolescencia: Durante el crecimiento, los tratamientos ortopédicos son más efectivos, ya que el hueso maxilar está en desarrollo. Es ideal tratar el prognatismo mandibular durante el crecimiento, ya que los huesos aún están en desarrollo.
- Edad adulta: Aunque es más complicado corregir la hipoplasia en adultos, existen opciones quirúrgicas efectivas que pueden mejorar tanto la funcionalidad como la estética facial. Los tratamientos también son efectivos en adultos, aunque la corrección completa puede requerir cirugía ortognática en casos severos.
Independientemente de la edad, es esencial acudir a una consulta con un especialista para evaluar las opciones de tratamiento disponibles.
Si crees que puedes tener una maloclusión de clase III o deseas una segunda opinión sobre el tratamiento más adecuado, puedes consultar con nuestro equipo médico especializado en Ortodoncia.
Cirugía ortognática bimaxilar. Caso # 71: Laura - Biretrusión, hipoplasia maxilar y mandibular
tags: #maxilar #superior #no #desarrollado