El sarro dental es un problema común pero prevenible que puede afectar significativamente la salud bucal. En este artículo, profundizaremos en qué es exactamente el sarro, cómo se forma y qué impacto tiene en nuestra salud dental.

¿Qué es el Sarro?
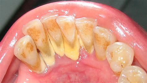
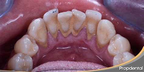
El sarro, también conocido como cálculo dental, es una acumulación endurecida de placa bacteriana que se forma en los dientes y puede dañar el esmalte dental y provocar caries. El sarro, a veces denominado cálculo o tártaro dental, es la placa que se ha endurecido en los dientes debido al depósito de minerales.
A diferencia de la placa que es una película incolora, el sarro presenta minerales siendo fácilmente visible si se localiza por encima de la línea de las encías. El indicador de sarro más común es observar un color marrón o amarillento en los dientes o encías. Al ser más poroso, absorbe fácilmente las manchas.
El sarro no sólo amenaza la salud de dientes y encías, también es un problema estético. También puede formarse por encima y por debajo de la línea de las encías y puede irritar el tejido gingival. Cuando no se erradica a tiempo, el sarro puede acumularse sobre y/o entre los dientes.
Formación del Sarro
El sarro se forma cuando la placa bacteriana no se elimina adecuadamente de los dientes y las encías. La placa bacteriana es una película pegajosa e incolora de bacterias que se forma en los dientes después de comer y beber. La placa es una mezcla pegajosa de bacterias, saliva y restos de alimentos que, si no se elimina adecuadamente, se mineraliza convirtiéndose en sarro. Este proceso se ve acelerado por sustancias en la saliva que facilitan la cristalización de los minerales.
Causas de la Aparición del Sarro
La causa principal del sarro es la placa bacteriana, una película pegajosa compuesta principalmente de bacterias.
- Higiene bucal inadecuada: La base de la formación de sarro es una higiene bucal deficiente. Cuando los dientes no se cepillan adecuadamente o no se utiliza hilo dental regularmente, la placa bacteriana se acumula en los dientes y, con el tiempo, se endurece formando sarro. Especialmente crítico es el cepillado antes de dormir, ya que durante la noche la producción de saliva disminuye, lo que facilita la acumulación de placa.
- Dieta rica en azúcares y almidones: La alimentación juega un papel crucial en la formación de sarro. Los alimentos y bebidas ricos en azúcares y almidones contribuyen a la formación de ácidos en la boca. Estos ácidos favorecen la proliferación de bacterias y, por lo tanto, la formación de placa que eventualmente se convierte en sarro. Snacks frecuentes y bebidas azucaradas son particularmente perjudiciales.
- Genética y factores individuales: Las características individuales, como la composición química de la saliva, pueden afectar a la formación del sarro. Algunas personas producen saliva que favorece la acumulación de minerales en la placa, acelerando la formación de sarro. Además, ciertos factores genéticos pueden predisponer a las personas a una mayor formación de sarro.
- Fumar: El tabaquismo es otro factor significativo en la formación de sarro. Los productos del tabaco no solo manchan los dientes, sino que también afectan la saliva, facilitando la acumulación de placa y su posterior mineralización en sarro. El tabaquismo y el uso de productos de tabaco pueden aumentar la formación de placa y, por consiguiente, el riesgo de formación de sarro.
- Edad: La probabilidad de desarrollo de sarro aumenta con la edad. Con el tiempo, la acumulación de placa se vuelve más probable, y la eficacia de las técnicas de higiene bucal puede disminuir, especialmente si hay problemas de movilidad o destreza manual.
- Secado de boca y medicamentos: Ciertos medicamentos y condiciones que reducen la producción de saliva pueden contribuir a la formación de sarro. La saliva juega un papel crucial en la limpieza natural de la boca, y su disminución puede acelerar la formación de placa y sarro.
Mito o realidad: ¿Es bueno cepillarse los dientes con bicarbonato de sodio?
Impacto del Sarro en los Dientes
El sarro en los dientes puede provocar una serie de problemas que afectan a la salud de la boca.
- Enfermedades de las encías: El sarro en los dientes proporciona una superficie rugosa que facilita la acumulación de más placa, lo que puede conducir a gingivitis y, potencialmente, a periodontitis.
- Mal aliento: El sarro alberga bacterias que pueden causar mal aliento o halitosis.
- Decoloración y daño dental: El sarro puede manchar los dientes y, a largo plazo, contribuir a la erosión del esmalte dental.
Además, la acumulación de sarro también puede provocar mal aliento y manchas en los dientes. No, el sarro no solo afecta a los dientes, sino también a las encías y la salud bucal en general.
Prevención del Sarro
La prevención del sarro es crucial para mantener una buena salud bucal. La prevención del sarro es clave para mantener una buena salud bucal.

A continuación, se detallan estrategias efectivas para prevenir la formación de sarro y mantener una salud oral óptima:
- Cepillado efectivo: Utilizar una técnica de cepillado adecuada es fundamental. Se recomienda cepillar los dientes al menos dos veces al día, durante dos minutos cada vez, utilizando una pasta dental con fluoruro. Prestar especial atención a la placa que se acumula alrededor de las encías. Es esencial cepillarse los dientes tres veces al día durante 2 minutos, utilizando una técnica adecuada. Preste especial atención a los molares posteriores y a las áreas cerca de la línea de las encías, donde el sarro tiende a acumularse más. Recomendamos cepillarse los dientes con un cepillo de dientes de cerdas suaves al menos dos veces al día. Reemplace su cepillo de dientes o el cabezal de su cepillo de dientes a menudo.
- Usar hilo dental: El hilo dental no solo elimina los restos de comida entre los dientes, sino que también ayuda a eliminar la placa que se forma en áreas que el cepillo no puede alcanzar. El uso diario del hilo dental es esencial para prevenir la formación de sarro. La limpieza interdental es imprescindible una vez al día. Ya que el cepillo de dientes no llega a toda la comida y bacterias entre los dientes, el uso del hilo dental o enjuague para llegar a estas áreas de difícil alcance, ayuda a combatir la enfermedad periodontal y las caries. El mejor momento para limpiar los espacios entre los dientes es antes de ir a dormir para que la boca albergue menos bacteria durante ese tiempo. Si prefiere hacerlo por la mañana, también es buen momento. Aunque el uso de hilo dental es la manera usual de limpiar entre los dientes, a algunas personas les resulta raro.
- Enjuagues bucales antisépticos: Los enjuagues con agentes antisépticos pueden ayudar a reducir la cantidad de bacterias en la boca, disminuyendo la formación de placa y sarro. Los enjuagues bucales pueden ayudar a reducir la acumulación de placa bacteriana, pero no pueden eliminar el sarro una vez que se ha formado.
- Dieta y nutrición: Reducir el consumo de alimentos y bebidas con alto contenido de azúcares y almidones puede disminuir significativamente la formación de placa. Además, una dieta rica en frutas, verduras y agua ayuda a promover una buena salud bucodental. Aumentar el consumo de manzanas y otras frutas y verduras también contribuye a reducir la aparición de sarro. Cuando reduce su ingesta de carbohidratos, en especial los azúcares, está reduciendo la habilidad de las bacterias de producir ácidos que pueden causar caries y enfermedad periodontal. Es importante llevar una dieta saludable y variada. Reemplace los aperitivos y bebidas azucaradas por queso, yogur u otras alternativas no azucaradas.
- Dejar de fumar: Dado que fumar es un factor de riesgo significativo para la formación de sarro, dejar de fumar puede reducir drásticamente la acumulación de sarro y mejorar la salud bucal general.
- Visitas regulares al dentista: Las visitas regulares al dentista son esenciales para mantener una buena salud bucal. Las limpiezas dentales profesionales son esenciales para eliminar cualquier sarro que se haya formado y para revisar la salud bucal general. Se recomienda visitar al dentista al menos una vez cada seis meses para realizar un mantenimiento y comprobar que todo marcha bien. La placa bacteriana que se endurece convirtiéndose en sarro no puede eliminarse con el cepillo de dientes. Por lo tanto, también es necesario que visite a su odontólogo o higienista dental para limpiezas y revisiones. Para prevenir la formación de sarro y otros problemas de salud bucal, se recomienda visitar al dentista regularmente. Durante su visita dental, el dentista revisará su salud bucal y buscará signos de problemas como la acumulación de placa bacteriana y el sarro. Además, visitar al dentista regularmente puede ayudar a detectar otros problemas de salud bucal temprano, como caries y enfermedades de las encías.
- Productos de higiene específicos: Optar por pastas dentales con control de sarro y flúor es beneficioso, ya que el flúor fortalece el esmalte dental. Considera el uso de pastas dentales y enjuagues bucales diseñados para controlar la placa y prevenir el sarro. Algunos productos contienen ingredientes específicos que pueden ayudar a prevenir la mineralización de la placa.
Tratamiento del Sarro
El tratamiento del sarro depende del grado de acumulación y su localización en la boca. El sarro sólo se puede eliminar con una limpieza profesional realizada en una clínica dental.
- Si el sarro se encuentra en la superficie de los dientes, el dentista puede utilizar un raspador para eliminarlo. Durante el procedimiento, el dentista usará herramientas especiales para raspar suavemente el sarro de los dientes y las encías. Si tiene sensibilidad dental o encías inflamadas, es posible que sienta algo de incomodidad durante el tratamiento.
- En la Clínica Dental Bordon Clinic, utilizamos la tecnología de ultrasonido para la eliminación de sarro. raspado coronal indoloro, por lo que se realiza sin anestesia, donde el dentista o higienista dental lo hace manualmente. La limpieza profesional puede causar molestias leves, especialmente si hay inflamación gingival. Un ligero sangrado las primeras 24-48 horas es normal, especialmente si había inflamación previa.
- En el caso de que el sarro se haya acumulado bajo las encías, es necesario realizar un curetaje o raspado dental. Este implica una limpieza más profunda, que sí suele requerir la aplicación de anestesia local. Para eliminar el sarro que ha crecido más profundamente debajo de los tejidos blandos que sostienen los dientes, es necesario un tratamiento distinto, que recibe el nombre de raspado y alisado radicular, o curetaje, que sí necesita anestesia local.
- Una limpieza profunda es un tratamiento dental que se utiliza para tratar problemas de salud bucal más graves, como la acumulación de placa bacteriana y el sarro. Durante una limpieza profunda, el dentista usará herramientas especiales para eliminar la acumulación de placa y sarro en las raíces de los dientes y las encías. Una limpieza profunda se recomienda cuando la acumulación de placa y sarro ha causado enfermedad periodontal, también conocida como enfermedad de las encías.
En Bordon Clinic, estamos comprometidos con la salud bucal de nuestros pacientes. Nuestros dentistas altamente capacitados utilizan tecnología de vanguardia para garantizar que cada paciente reciba el mejor tratamiento posible. Si estás buscando una clínica dental confiable en la que pueda confiar para su salud bucal, no busque más que Bordon Clinic. Programa una cita hoy mismo para obtener una limpieza dental profesional y comenzar en el camino hacia una mejor salud bucal.
Colegiado nº 28008689. Practica la Odontología desde 2007. Experta en implantología dental.