¿Te han hecho una endodoncia y sientes que algo no va bien? Es normal sentir alguna molestia después de una endodoncia, pero un dolor persistente al masticar puede indicar que el tratamiento no ha sido completamente exitoso.
Este tratamiento se realiza con el fin de evitar la pérdida de un diente con caries que está muy dañado. Aunque cada vez se realizan mejores endodoncias y técnicamente están bien hechas, se calcula que el fracaso de una endodoncia oscila entre el 2 y el 16%. Desde IDIM, como clínica de implantes dentales en Valencia, en este artículo queremos ayudarte a identificar estas señales para tomar las decisiones correctas y proteger tu salud bucodental ante una endodoncia mal hecha.
¿Qué opciones tenemos si una endodoncia no funciona? | Dra Anaïs Ramirez
¿Qué es una Endodoncia?
Una endodoncia, también conocida como tratamiento de conductos o “matar el nervio”, es un procedimiento cuyo principal objetivo es conservar el diente natural y evitar realizar una exodoncia. El tratamiento consta de varios pasos diseñados para eliminar la pulpa dañada o infectada. Primero, se accede al interior del diente para limpiar y desinfectar los conductos radiculares, eliminando todas las bacterias o tejido muerto. Una vez limpios, se rellena todo el interior de un material biocompatible para sellar los conductos y evitar futuras infecciones. Cuando la endodoncia tiene éxito, el diente puede permanecer en la boca durante muchos años, sin causar dolor ni infecciones.
La endodoncia dental es un tratamiento que genera varias dudas en los pacientes. Una de las más habituales es sobre el dolor después de una endodoncia. El proceso suele ser indoloro, porque se realiza con anestesia local. También es común sentir sensibilidad dental en la zona intervenida durante unos días. Por ello después de la intervención es muy importante el proceso de recuperación. Después el diente queda igual que el resto, tanto a nivel estético como funcional.
Una endodoncia es el procedimiento para eliminar la pulpa (comúnmente, el nervio) del diente y sellar después el conducto radicular. La causa más común para realizar una endodoncia es la existencia de caries, aunque también puede deberse a algún traumatismo que haya sufrido el paciente o la erosión y desgaste de los dientes. Si te hemos realizado una endodoncia en la consulta, te habremos anestesiado la zona a tratar con anestesia local. Después se procede a la limpieza del conducto para a continuación sellarlo adecuadamente. Es normal que después de la endodoncia, al haber tocado la dentina del diente, pueda existir dolor hasta que el tejido se recupere.
¿Cómo Saber si Necesitas Realizarte una Endodoncia?
Estos son algunos de los síntomas que pueden indicarte que necesitas una endodoncia:
- Dolor: El síntoma principal que indica la necesidad de hacer una endodoncia es el dolor. Se trata del típico “dolor de muelas” que no cede ante medicación analgésica y que se intensifica por la noche al tumbarnos en la cama.
- Hipersensibilidad prolongada en una pieza dental por contacto con alimentos fríos, calientes o dulces.
- Diente oscurecido.
- Aparición de puntos de pus (fístula) en la encía.
En todo caso, ante cualquier sospecha, debes acudir a tu odontólogo. Será él quien emita un diagnóstico y determine, después de realizar todas las pruebas necesarias -radiografías, test de vitalidad, percusión, etc.-, si el tratamiento endodóntico está indicado.
Síntomas de una Endodoncia Mal Hecha
Una endodoncia mal hecha o una endodoncia bien hecha que fracasa, puede presentar varios síntomas que se manifiesten justo después del tratamiento, o incluso semanas y meses después. Es normal sentir algo de dolor después de la endodoncia, sobre todo al masticar, pero es leve y en cuestión de días suele desaparecer. Este dolor puede deberse a una inflamación o infección residual debido a la presencia de bacterias en los conductos laterales accesorios o a un conducto que no fue tratado.
Con una endodoncia fracasada puedes llegar a experimentar un dolor persistente que no disminuye con el tiempo. Puede presentarse de manera espontánea o como una molestia punzante al morder. Diagnosticar una endodoncia fracasada requiere una evaluación detallada por parte de un profesional. El dentista evalúa los síntomas que presenta el paciente y realiza una radiografía y una tomografía para observar el diente y los tejidos de alrededor.
A continuación, se detallan los síntomas más comunes de una endodoncia mal hecha y qué acciones tomar en caso de presentarlos.
- Dolor Persistente El dolor en la pieza dental tratada, ya sea intermitente o continuo, es un claro indicador de que la endodoncia podría no haberse realizado correctamente. Este dolor puede deberse a que no se ha limpiado completamente el conducto radicular o a que hay restos de infección.
- Sensibilidad al Masticar La sensibilidad y el dolor al masticar son síntomas frecuentes después de una endodoncia mal hecha. Esta molestia puede indicar que el diente no ha sido desinfectado completamente, lo que puede provocar problemas adicionales si no se trata a tiempo.
- Inflamación de la Encía La inflamación en la encía cercana al diente tratado es un signo evidente de que algo no está bien. La hinchazón puede ser consecuencia de una infección que no se ha eliminado por completo durante el tratamiento endodóntico.
- Dolor al Tocar la Zona Tratada Si experimentas dolor al rozar o tocar la zona donde se ha realizado la endodoncia, es probable que haya una complicación. Este síntoma puede ser indicativo de que la infección persiste o de que hay problemas estructurales en el diente tratado.
Si la endodoncia se ha realizado bien, el diente no debería reaccionar al frío ni al calor, ya que el nervio se ha eliminado. Además, notar molestias al masticar, podría ser señal de una inflamación periapical o de una mala oclusión por una reconstrucción mal ajustada. La inflamación puede manifestarse como hinchazón en la zona afectada y en la encía que rodea el diente tratado. Si la infección avanza, la inflamación puede aumentar y evolucionar hacia un absceso periapical agudo, con presencia de pus, mayor dolor local y sensación de malestar general.
Las fístulas son pequeños bultitos o granitos de color blanquecino que aparecen cerca del diente afectado y actúan como vías de escape del pus que se genera por la infección. Al igual que aparecen, desaparecen de forma intermitente y si no se tratan, puede que el problema se extienda al hueso o a otros tejidos cercanos.
Tras una endodoncia, el diente puede que cambie de color y se vuelva más oscuro, adoptando un tono grisáceo o amarillento. Esto sucede porque al perder su nervio y vasos sanguíneos, el diente deja de recibir nutrientes y se vuelve un tejido no vital. El oscurecimiento no solo afecta estéticamente, sino que también puede indicar que el diente necesita un tratamiento interno como una reendodoncia o incluso una cirugía periapical.
Si un diente se mueve tras una endodoncia también es síntoma de fracaso del tratamiento. En el caso de sentir dolor, además de la movilidad, es necesario valorar si se puede salvar el diente con cirugía apical o si hay que extraerlo y colocar un implante dental.
Los principales síntomas después de una endodoncia son inflamación, dolor y, a veces, limitación en la apertura bucal. El dolor postendodóntico es un síntoma habitual que presentan algunos pacientes tras un tratamiento de conductos radiculares. Este dolor se debe a la inflamación (respuesta natural del cuerpo) ante las técnicas que realiza el odontólogo mientras realiza la endodoncia.
En nuestra clínica dental, cuando llevamos a cabo una endodoncia siempre advertimos a nuestros pacientes que pueden sentir molestias en los días posteriores. Al fin y al cabo se trata de un postoperatorio y es normal algún tipo de dolor hasta que la herida cicatriza. Hay que tener en cuenta que en endodoncias normales, la herida es pequeña y hay muchos pacientes que no tienen ninguna molestia, o es tan mínima que no le dan la mayor importancia en comparación con el dolor que sentían antes de realizar la endodoncia.
La endodoncia que duele después de un año o varios no se debe a problemas relacionados con la endodoncia realizada, sino a posibles infecciones, fisuras o fracturas.
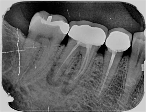
Radiografía de una Endodoncia Mal Hecha

Una de las herramientas más seguras y fiables para detectar una endodoncia fracasada es la radiografía dental. En estas imágenes se observa una lesión radiotransparente alrededor del ápice del diente, con una endodoncia bien hecha en principio, pero fracasada finalmente, y su posterior curación radiográfica tras una cirugía periapical.
Mediante una radiografía se puede observar:
- Sobreobturación: cuando el material de obturación se extiende más allá de la raíz, puede irritar los tejidos periapicales.
- Lesiones periapicales: se identifican como áreas más oscuras o radiotransparentes alrededor del ápice del diente.
- Conductos no tratados: puede que existan conductos adicionales sin tratar, los cuales aparecen como áreas radiotransparentes, ya que no han sido limpiados ni rellenados.
- Fracturas radiculares: aunque a veces son difíciles de detectar, pueden verse como líneas finas y oscuras a lo largo de la raíz.
Causas de Fracaso de una Endodoncia
La falla en el tratamiento generalmente se debe a errores en el procedimiento que impiden controlar y prevenir la infección en el interior y alrededor del conducto radicular.
Existen varias razones por las cuales una endodoncia puede no realizarse correctamente. A continuación, se detallan las causas más comunes:
- Conductos radiculares no localizados: No localizar todos los conductos radiculares impide su obturación adecuada, dejando la pieza dental sensible y propensa a infecciones.
- Falta de radiografías adecuadas: No realizar radiografías para planificar la intervención puede resultar en un tratamiento incorrecto.
- Perforaciones accidentales: Durante la limpieza del conducto, pueden producirse perforaciones que impiden eliminar completamente la infección.
- Cálculo incorrecto de la longitud del conducto: Tanto una longitud demasiado corta como demasiado larga en los conductos puede llevar a una endodoncia fallida.
- Fisuras o fracturas verticales: Las fisuras o fracturas en la pieza dental, que son difíciles de diagnosticar, también pueden ser causa de una endodoncia mal hecha.
Una de las causas más comunes de una endodoncia fracasada es un sellado incompleto del conducto radicular. Si el sellado en el extremo del conducto no es adecuado, permite la entrada de bacterias desde el hueso o la encía hacia el interior del diente. Esta situación puede ocurrir tanto por un sellado insuficiente como por el uso de materiales inadecuados.
Las fracturas en la raíz del diente, durante o después de la endodoncia, pueden comprometer seriamente el éxito del tratamiento, especialmente si el diente no está protegido adecuadamente con una restauración. No todos los conductos son rectos y simples, algunos presentan formas inusuales y curvaturas pronunciadas que pueden ser difíciles de limpiar y sellar completamente con el material de obturación de la cámara pulpar.
Después de una endodoncia, el diente debe restaurarse correctamente con una corona para protegerlo. Con el tiempo, este diente puede recibir más presión al masticar, ya que se desgasta menos que los demás y aumenta el riesgo de fractura.
La endodoncia es un procedimiento dental común y seguro, pero puede fracasar ante complicaciones como: no eliminar bien la infección, si se fractura el diente o si hay errores como perforaciones.
Cada diente tiene un número de conductos o nervios, y deben eliminarse y sellarse todos ellos. La anatomía de los nervios de los dientes es muy diversa y compleja. A veces, uno de los conductos que contienen los nervios del diente pueden perforarse al limpiarlos. Cuando esto es así, se debe tratar de sellar esa perforación. Cada diente tiene una anatomía y una raíz de una longitud diferente. Por ello es importante dedicarle tiempo a ver cuñanto mide exactamente la longitus del diente que se va a endodonciar. Sólo de esa forma se puede limpiar y sellar adecuadamente.
Es muy importante hacer radiografías cuando se realiza una endodoncia. Muchas veces la endodoncia está bien hecha. Pero es posible que el diente tenga una fisura o una fractura dificil de diagnosticar, incluso con radiografías.
Posibles Consecuencias de una Endodoncia Mal Hecha
Dolor persistente en la zona del diente afectado: uno de los síntomas más comunes del fracaso de una endodoncia es el dolor que no desaparece semanas después del tratamiento. Aparición de abscesos o fístulas: las infecciones no resueltas en la raíz del diente pueden provocar abscesos dentales (acumulación de pus) o la formación de fístulas. Lesión periapical: entre el 2 y el 14% de las endodoncias fracasan provocando inflamación periapical en los tejidos que rodean la raíz del diente.
Daños en el hueso maxilar o mandíbula: las infecciones periapicales más severas pueden afectar al hueso que rodea la raíz del diente, provocando sinusitis maxilares, infecciones óseas o pérdidas de soporte del diente. Pérdida del diente: una de las consecuencias más graves de no corregir una endodoncia fracasada a tiempo, es que la infección avance y destruya parte del hueso que sujeta el diente de manera irreparable. Problemas estéticos o funcionales: un diente no restaurado correctamente tras la endodoncia puede llegar a fracturarse, cambiar de color o presentar alteraciones estéticas.
Si no se hace bien una endodoncia puede tener varias consecuencias negativas para la salud dental del paciente. Mantente atento a los síntomas de una endodoncia mal hecha y no dudes en buscar ayuda profesional. Tu salud dental es importante, y un tratamiento adecuado es esencial para mantenerla en buen estado.
Qué Hacer Ante una Endodoncia Fracasada
Ante una endodoncia fracasada, lo más importante es actuar con rapidez para evitar complicaciones mayores como infecciones periapicales o sinusitis maxilares. En IDIM, ofrecemos soluciones y opciones de tratamiento que pueden ayudarte a recuperar la salud bucodental.
Si presentas alguno de estos síntomas, es recomendable buscar atención dental inmediata. Aquí hay algunas acciones recomendadas:
- Consulta a tu dentista: Es esencial que un profesional evalúe tu situación y determine el mejor curso de acción. Puede ser necesario repetir la endodoncia para limpiar adecuadamente los conductos radiculares y eliminar cualquier infección restante.
- Radiografías adicionales: Tu dentista puede necesitar hacer radiografías adicionales para asegurarse de que todos los conductos han sido tratados correctamente.
- Medicación: Para aliviar el dolor y la inflamación, se pueden recomendar medicamentos analgésicos y antiinflamatorios. Sigue las indicaciones de tu dentista al pie de la letra.
- Higiene oral: Mantén una buena higiene oral para prevenir infecciones adicionales. Lava tus dientes y utiliza hilo dental de forma regular.
- Atención a los síntomas graves: Si experimentas dolor intenso, fiebre o hinchazón severa, contacta a tu dentista de inmediato, ya que estos pueden ser signos de una infección grave.
- Evaluación Profesional: El primer paso que debes seguir si sospechas que tu endodoncia ha fracasado es pedir cita con un dentista con experiencia en endodoncia o en cirugía bucal para evaluar la situación.
- Tratamiento de Reendodoncia: En algunos casos, se puede intentar hacer un retratamiento del conducto radicular para corregir cualquier problema del tratamiento inicial e intentar salvar el diente. Es un procedimiento más complejo que la endodoncia inicial, ya que pueden quedar restos de material, haber conductos obstruidos o lesiones periapicales.
- Cirugía Periapical: Si no es posible realizar el retratamiento o no funciona, la cirugía periapical es la única alternativa para evitar extraer el diente. Suele ser la solución más eficaz cuando hay una lesión localizada, el diente tiene una restauración que no se puede retirar sin dañarlo o cuando el canal está bloqueado.
- Implante Dental: En los casos donde resulta imposible salvar el diente, porque no es posible hacer reendodoncia o una cirugía periapical, la solución será extraerlo y colocar un implante dental en su lugar. Un implante es una solución segura y duradera que permite recuperar tanto la función estética como masticatoria del diente perdido.
En los casos de dolor persistente hay que valorar a cada paciente en particular. Hay veces donde se puede volver a hacer la endodoncia (reendodonciar el diente). Cuando esto no es posible, y para evitar extraer el diente, se puede hacer una cirugía apical o apicectomía. Este tratamiento consiste en hacer un apequeña cirugía para eliminar la parte de la raíz del diente que está generando el dolor.
Cuidados Después de una Endodoncia
Después de someterse a una endodoncia es recomendable seguir una serie de pautas:
- Esperar a que termine el efecto de la anestesia para empezar a masticar. Así evitaremos mordernos.
- No masticar alimentos duros durante el tiempo que transcurra entre la endodoncia y la reconstrucción final del diente. De este modo protegemos el diente de posibles fracturas indeseadas. Una vez que la reconstrucción final esté hecha, se puede volver a masticar con normalidad.
- Cuidado con el hilo dental. La higiene dental después de una endodoncia debe ser igual de rigurosa que la habitual. En cuanto al hilo dental, deberemos pasarlo con especial atención entre la reconstrucción provisional (si la hubiese) y el diente adyacente.
- Los días inmediatamente posteriores a la endodoncia se puede notar una cierta sensibilidad en la zona. Incluso se pueden sentir molestias de diversa intensidad dependiendo de donde se produzca la reacción de inflamación. La zona periapical (tejido que rodea el final de la raíz) es una de ellas. Para aliviar los síntomas después de la endodoncia se debe tomar la medicación analgésica-antiinflamatoria prescrita por el odontólogo.
- Tratamientos como el blanqueamiento interno, reconstrucciones estéticas, carillas o coronas pueden resultar necesarios con el paso del tiempo (meses o años). Permitirán solucionar problemas estéticos.
A continuación, te vamos a facilitar una serie de instrucciones que es necesario que sigas unos cuidados tras una endodoncia para asegurarnos de que el resultado es el deseado.
- Espera a que pasen los efectos de la anestesia: la anestesia local dura de 2 a 4 horas. Por este motivo, después de la endodoncia, seguirás sintiendo tu boca adormecida durante un tiempo. Hasta que no recuperes la sensibilidad en tu boca, no deberías comer ni beber nada.
- No mastiques alimentos duros durante el tiempo que transcurra entre la endodoncia y la reconstrucción final del diente. De este modo protegemos el diente de posibles fracturas indeseadas. Te recomendamos que mastiques por el lado opuesto al lugar donde te hemos realizado la endodoncia. Así evitarás dañar el diente al que se le ha hecho el tratamiento.
- Si necesitas dos o más sesiones para la endodoncia, no deberías masticar o morder con el diente tratado hasta que se haya completado el procedimiento. Cuando el tratamiento está a medias, este diente es vulnerable y puede experimentar fracturas.
- Come alimentos fáciles de masticar: Dado que es probable que tu boca esté inflamada y sensible unos días, es recomendable evitar cualquier alimento que pueda empeorar estos problemas. No consumas alimentos y bebidas muy calientes o muy fríos, ya que pueden provocar molestias en el diente intervenido.
- Puedes continuar cepillándote los dientes de forma normal, incluso en la zona tratada. Este cuidado tras la endodoncia es fundamental para evitar la irritación del diente afectado.