El injerto de encía es un procedimiento odontológico clave para tratar problemas de recesión gingival y mejorar la salud bucal. Si te preguntas cuánto cuesta un injerto de encía y cómo puedes financiar este tratamiento, en CEID, tu clínica dental en Barcelona, queremos ofrecerte toda la información que necesitas. Sigue leyendo para descubrir los factores que influyen en el precio, las opciones de financiamiento y por qué este tratamiento es una inversión en tu salud.

¿Qué es un Injerto de Encía y por qué lo Necesitas?
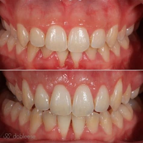
La recesión gingival ocurre cuando el tejido de las encías se retrae, dejando expuestas las raíces de los dientes. Esto puede causar sensibilidad dental, aumentar el riesgo de caries y afectar la estética de tu sonrisa. Un injerto de encía es un procedimiento quirúrgico que consiste en restaurar el tejido gingival perdido, protegiendo tus dientes y mejorando la apariencia de tu boca.
Algunos de los motivos por los que podrías necesitar un injerto de encía incluyen:
- Enfermedad periodontal: La principal causa de la recesión gingival.
- Cepillado agresivo: Usar demasiada fuerza al cepillarte puede dañar tus encías.
- Factores genéticos: Algunas personas son más propensas a sufrir este problema.
- Bruxismo o mala alineación dental: La presión excesiva sobre los dientes puede causar recesión.
Si notas sensibilidad dental, encías retraídas o cambios en la estética de tu sonrisa, consulta con especialistas. Realizaremos una evaluación detallada para determinar si un injerto de encía es la mejor solución para ti.
Fases del Tratamiento
Antes de realizar un injerto de encías, lo más importante es tratar lo que ha originado la recesión gingival. Las enfermedades periodontales son las que generan en los pacientes la retracción de las encías.
- Fase 1: Antes de comenzar con el injerto de encías, es necesario tratar lo que ha originado la recesión gingival. Mediante este curetaje o raspado, se elimina el sarro y las bacterias acumuladas en las zonas del diente. Este raspado de las encías tiene como objetivo facilitar la curación y la cicatrización de las encías.
- Fase 2: Si después del curetaje el periodoncista lo considera adecuado se procede al injerto de encías.
¿Cuánto cuesta ir al PERIODONCISTA? 💲 | Dentista Especializado en IMPLANTES y ENCÍAS 🦷👈
Factores que Influyen en el Precio de un Injerto de Encía
El costo de un injerto de encía puede variar según varios factores. En España, los precios son a partir de 250€ y oscilan hasta los 450€ según la complejidad, el área a tratar y del número de intervenciones que requiera la zona. A continuación, te explicamos los aspectos que pueden influir en el precio final:
- Complejidad del caso: No todos los injertos de encía son iguales. Algunos casos requieren cubrir una pequeña zona, mientras que otros implican restaurar varias áreas. Cuanto más complejo sea el tratamiento, mayor será el coste.
- Técnica utilizada: Existen diferentes tipos de injertos de encía:
- Injerto de tejido conectivo: El más común, extraído del paladar.
- Injerto gingival libre: Ideal para aumentar el grosor de las encías.
- Injerto de materiales sintéticos o derivados biológicos: Una opción menos invasiva.
Cada técnica tiene un coste diferente, dependiendo de los materiales y el tiempo requerido.
- Experiencia del especialista: La experiencia y especialización del odontólogo que realiza el procedimiento también influyen en el precio.
- Ubicación de la clínica: El costo puede variar según la ciudad o región donde se encuentre la clínica.

Opciones de Financiamiento para un Injerto de Encía
Entendemos que la salud bucal es una prioridad, pero sabemos que los tratamientos dentales pueden representar un gasto significativo. Por eso, ofrecemos diferentes opciones de financiamiento para que no tengas que posponer el cuidado de tus encías.
- Financiamiento sin intereses: Muchas clínicas permiten financiar el tratamiento en cómodas cuotas mensuales sin intereses. Esto te permite pagar el costo total en un plazo de 6 a 12 meses sin que afecte tu presupuesto.
- Descuentos por pago al contado: Algunas clínicas ofrecen descuentos especiales si decides pagar el tratamiento al contado. Pregunta por esta opción durante tu consulta.
- Seguros dentales: Si tienes un seguro dental, revisa si incluye cobertura para tratamientos de periodoncia. Aunque los injertos de encía no siempre están cubiertos, algunas pólizas pueden ayudar a reducir los costos.
- Planes personalizados: Diseñamos planes de financiamiento adaptados a tus necesidades. Nuestro objetivo es que tengas acceso a tratamientos de calidad sin preocuparte por el coste inicial.
Corrección de Encías: Más Allá del Injerto
La corrección de las encías es un procedimiento quirúrgico en las encías, también conocido como gingivectomía. Con esta intervención se pueden corregir malformaciones de la encía, como cuellos dentales expuestos, encías excesivas o desiguales y encías retraídas.
Sonrisa Gingival
Una mala proporción de las encías respecto al tamaño de los dientes, da como resultado una sonrisa gingival: la encía sobresale al sonreír. Esto, a muchas personas no les gusta y se sienten incómodos al sonreír. El exceso de encías hace que los dientes se vean más pequeños y por lo tanto la apariencia de la persona, más infantil.
Después de una corrección de encías, es común que se utilicen carillas dentales a fin de agrandar visualmente los dientes.
Corrección de Encías con Láser
Actualmente, para la corrección de encías no necesariamente se requiere una intervención quirúrgica, sino que, algunos problemas de encías, pueden resolverse a través de la tecnología láser. Con un procedimiento láser el tejido sobrante de una encía se elimina de forma muy suave, sin causar dolor. Corregir encías con láser, es un procedimiento mínimamente invasivo con un gran efecto en la sonrisa y, en última instancia, en la autoestima del paciente.
¿Causa Dolor al Realizarse una Corrección de Encías?
La corrección de las encías se realiza de forma ambulatoria y bajo anestesia local, por lo que, durante el procedimiento no se siente dolor. El procedimiento quirúrgico, es uno de los más seguros en cirugía estética, por lo que el riesgo de complicaciones es muy bajo. Después del tratamiento, puede haber una ligera hinchazón y dolo en las encías, pero esto solo dura unos días. En casos raros, pueden ocurrir trastornos de cicatrización de heridas o infecciones, pero estos pueden prevenirse con una higiene adecuada.
¿Cuánto Cuesta una Corrección de Encías?
El coste de una corrección de las encías depende de varios factores, como por ejemplo el tipo de intervención, el problema de la encía y cuánto dure el procedimiento, además de los honorarios del dentista y su ubicación. Por lo general, los costes no son cubiertos por el seguro médico, sino que deben ser asumidos por su propia cuenta.
Antes y Después de una Corrección de Encías
El resultado de este procedimiento simple y mínimamente invasivo es enorme y muy notorios: la apariencia de los dientes cambia y hace que la sonrisa del paciente sea perfecta. Incluso las pequeñas correcciones de un solo diente en el caso de un curso irregular del diente, tienen un gran efecto y garantizan una forma de diente armoniosa.
La Importancia de la Periodoncia
La salud bucal es un pilar fundamental en nuestro bienestar general, y las encías juegan un papel crucial en ello. Si notas que tus encías sangran, tus dientes se mueven, o tienes la sensación de mal aliento, es posible que estés enfrentando una enfermedad periodontal. La periodontitis es una enfermedad inflamatoria y crónica causada por bacterias. Comienza como una gingivitis, una inflamación de las encías, que si no se trata a tiempo, puede avanzar y afectar al hueso que soporta los dientes, llevando eventualmente a su pérdida. Es una de las infecciones más comunes en el ser humano, afectando a 8 de cada 10 adultos mayores de 35 años.
Tratamientos Periodontales
Los periodoncistas tienen una serie de tratamientos en su arsenal, desde procedimientos menos invasivos como la limpieza profunda hasta intervenciones quirúrgicas como los injertos de encía o la regeneración ósea. El objetivo es restaurar la salud de tus encías y mantener tus dientes en su lugar durante el mayor tiempo posible.
- Raspado y alisado radicular (curetaje dental): Este es el primer paso en el tratamiento y consiste en limpiar las superficies dentales debajo de las encías con instrumentos específicos. El objetivo es eliminar las bacterias y depósitos que están destruyendo el hueso y los tejidos de soporte.
- Cirugía periodontal: Si después del raspado subgingival aún quedan áreas afectadas, puede ser necesaria una cirugía para acceder y limpiar más profundamente. En algunos casos donde se ha perdido hueso generando un defecto vertical, es posible regenerarlo mediante una cirugía específica.
- Mantenimiento periodontal: El mantenimiento periodontal es una revisión en pacientes que han pasado por el tratamiento periodontal y requieren de un control mayor para evitar la reaparición de la enfermedad periodontal.
Además de preservar los dientes y mejorar la salud bucal, tratar la periodontitis tiene beneficios para la salud general. El coste de la cirugía periodontal y sus tratamientos asociados varía según la gravedad y las necesidades específicas de cada paciente. Invertir en la salud de tus encías no solo te ayudará a mantener una sonrisa saludable, sino que también contribuirá a tu bienestar general.

¿Qué Precio Tiene Tener Encías Sanas con Tratamientos de Periodoncia?
Dentro de la especialidad Periodoncia encontramos diferentes tratamientos dentales enfocados a las necesidades de los pacientes. El objetivo de la higiene profesional es eliminar los cúmulos de sarro y placa bacteriana que están causando la inflamación gingival. Su realización suele estar indicada cada 8 o 10 meses en pacientes con la boca sana.
Nuestro equipo de periodoncistas valora si un paciente requiere de un tratamiento periodontal leve (desde 477 €) o completo (desde 817 €), en función de la profundidad del sarro.
Como ves, tienes a tu alcance una solución adaptada a ti en función del estado de tu boca. Estudiaremos tu caso para darte un plan de tratamiento que te devolverá la salud a tu sonrisa. Puedes llamarnos o rellenar el formulario de contacto de nuestra página web.
| Tratamiento | Descripción | Precio Aproximado |
|---|---|---|
| Tratamiento periodontal leve | Para casos iniciales de enfermedad periodontal. | Desde 477 € |
| Tratamiento periodontal completo | Para casos más avanzados de enfermedad periodontal. | Desde 817 € |
| Regeneración ósea | Procedimiento para regenerar el hueso perdido debido a la periodontitis. | Precio adicional de 350 euros |
Conclusión
Recuerda que la prevención es fundamental, dedicándole 5 minutos al día podrás prevenir gran parte de patologías que afectan a tu boca. Nosotros te veremos una vez al año, los 364 días restantes, te los dejamos a ti.