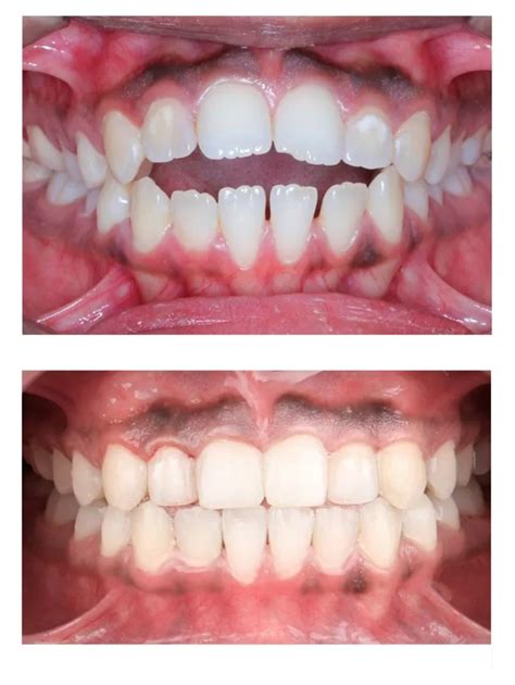
El apiñamiento dental es una condición común en la que los dientes no tienen suficiente espacio en la boca, lo que resulta en amontonamiento o alineación desordenada. Esta situación puede afectar tanto la estética de la sonrisa como la salud dental y el bienestar general. Afortunadamente, existen diversas opciones de tratamiento para corregir los dientes apiñados, siendo la ortodoncia invisible una de las alternativas más populares y efectivas.

En muchos casos, los pacientes buscan soluciones para arreglar los dientes apiñados sin recurrir a los tratamientos con brackets tradicionales. Dada la confusión que a veces existe al respecto, este artículo se centrará en abordar dicha cuestión, explorando las opciones disponibles y sus beneficios.
¿Cómo Arreglar los Dientes Apiñados sin Brackets?
Hoy en día, es posible arreglar los dientes apiñados sin usar brackets, gracias a las diferentes alternativas disponibles que se adaptan a la severidad del apiñamiento, la edad del paciente y las características individuales de cada caso. Sin embargo, arreglar los dientes apiñados sin recurrir a un tratamiento de ortodoncia puede ser complicado, ya que esta es la solución más común y eficaz para corregir los problemas relativos al alineamiento y la mordida de los dientes. A continuación, exploraremos algunas de estas opciones:
Alineadores Invisibles
La ortodoncia invisible se basa en una serie de alineadores transparentes y removibles que se cambian cada 7-14 días. Estos alineadores permiten realizar micromovimientos graduales en los dientes hasta llevarlos a la posición deseada. Aunque, técnicamente, estos alineadores son una forma de ortodoncia, representan una alternativa menos visible y más cómoda que los brackets tradicionales. Por ello, los pacientes que preguntan cómo arreglar los dientes apiñados sin ortodoncia no se plantean llevar brackets, pero sí están dispuestos a usar estos alineadores, los cuales son prácticamente imperceptibles, incluso en distancias cortas.
Los alineadores invisibles son una opción popular para corregir los dientes apiñados debido a su efectividad y discreción. Los alineadores invisibles ejercen presión suave sobre los dientes para moverlos a su posición correcta de forma gradual. Gracias a los alineadores invisibles, como los que ofrece QuickSmile, corregir este problema nunca ha sido tan sencillo, cómodo y discreto.
Ventajas de los alineadores invisibles:
- Discreción estética: Los alineadores son casi invisibles, permitiendo corregir los dientes de manera discreta.
- Mayor higiene oral: Al ser removibles, facilitan el mantenimiento de una higiene oral óptima durante el tratamiento.
- Comodidad: Los alineadores están hechos de un material plástico suave y no tienen partes metálicas que puedan irritar las encías.
- Proceso de tratamiento personalizado: Se fabrican de acuerdo con un plan de tratamiento individualizado, utilizando tecnología avanzada para visualizar y predecir el movimiento de los dientes.
Brackets vs Invisibles | La verdad
Limitaciones de los alineadores invisibles:
- Cumplimiento del paciente: Los alineadores deben usarse durante al menos 22 horas al día.
- Restricciones alimentarias: Deben retirarse durante las comidas.
- Limitaciones en casos complejos: En algunos casos de ortodoncia más complejos, los alineadores pueden no ser la opción más adecuada.
Otros Métodos para Alinear los Dientes sin Brackets
Además de los alineadores invisibles, existen otras opciones para alinear los dientes sin brackets, dependiendo de la severidad del apiñamiento y la edad del paciente.
Disyuntores de Paladar
El disyuntor de paladar es un aparato que se utiliza para expandir el maxilar superior en pacientes con un paladar estrecho y abovedado. Su objetivo es ensancharlo y crear el espacio necesario para que los dientes puedan alinearse correctamente.
Normalmente, el disyuntor de paladar se coloca en niños de entre seis y 11 años, ya que a esas edades los huesos maxilares están en crecimiento, permitiendo intervenir en su desarrollo y corregirlo. Aunque el disyuntor Hyrax está especialmente indicado en niños, también puede emplearse en adolescentes y adultos jóvenes, aunque en estos casos, el dispositivo deberá acompañarse de microtornillos.
Dicho esto, se debe tener en cuenta que, por lo general, el disyuntor requiere un tratamiento posterior con brackets o alineadores invisibles, ya que expandir la arcada no garantiza que los dientes se alineen por sí solos.

Carillas Dentales
Las carillas dentales son unas finas láminas que se adhieren a los dientes y pueden ser confeccionadas con distintos materiales, como la porcelana y el composite. La porcelana es un material de calidad superior, lo que permite obtener resultados más estéticos, naturales y duraderos.
En cualquiera de los dos casos, las carillas tienen como objetivo corregir las pequeñas imperfecciones que afectan al color, la forma, el tamaño o la posición de los dientes. Sin embargo, en la mayoría de los casos, las carillas no se pueden utilizar para corregir los dientes apiñados, ya que este tratamiento es de tipo cosmético. Es decir, puede ser utilizado para mejorar y disimular la apariencia de unos dientes apiñados, pero no corrige su posición real en la boca. Además, las carillas tienen otra limitación, ya que solo pueden usarse en casos de apiñamiento muy leve.
Ante un apiñamiento más severo, las carillas no son una solución adecuada ya que, en estos casos, es necesario corregir la posición de los dientes. Esto se debe a que, normalmente, el apiñamiento cursa con problemas funcionales asociados (desgastes dentales, dificultad para practicar una buena higiene dental, mayor propensión a padecer caries…). Para prevenir este tipo de problemas resulta fundamental solucionar de raíz el apiñamiento.
Pasos a Seguir para Arreglar los Dientes Apiñados sin Brackets
Si estás considerando corregir tus dientes apiñados sin brackets, te recomendamos seguir estos pasos:
- Acude a un ortodoncista para que estudie tu caso: Es fundamental determinar la severidad del apiñamiento y evaluar las alternativas de tratamiento disponibles.
- Sigue el consejo del profesional: El ortodoncista te ayudará a entender las ventajas y desventajas de cada tratamiento, así como sus fases y el tiempo estimado para corregir los dientes apiñados.
- Comienza tu tratamiento personalizado: El ortodoncista elaborará un plan de tratamiento que se adapte a tus necesidades y preferencias. Sigue sus pautas durante el desarrollo del mismo para que sea eficaz y consiga los objetivos deseados en el plazo previsto.
¿Quién Puede Utilizar Alineadores?
Los alineadores son una opción de tratamiento adecuada para la mayoría de las personas que desean corregir la alineación de sus dientes. Son especialmente efectivos para casos de apiñamiento leve a moderado, espacios entre los dientes, maloclusiones leves y otros problemas de alineación dental.
Preguntas Frecuentes sobre Ortodoncia Invisible
- ¿Duele la ortodoncia invisible? Es posible que experimentes una ligera presión o sensibilidad en los dientes durante los primeros días después de cambiar a un juego nuevo de alineadores. Esto es normal y es una señal de que los dientes se están moviendo gradualmente.
- ¿Cuánto tiempo duran los alineadores dentales? La duración del tratamiento con alineadores dentales varía según el caso y la complejidad de la corrección necesaria. En general, el tratamiento puede durar desde unos pocos meses hasta un par de años.
- ¿Qué es más caro, alineadores o brackets? El costo de los alineadores puede variar según el proveedor y el sistema de alineadores que se utilice. En general, los alineadores pueden ser más caros que los brackets tradicionales. Sin embargo, esto puede depender del tiempo de tratamiento necesario, la complejidad del caso y otros factores individuales.
Causas del Apiñamiento Dental
El apiñamiento dental ocurre cuando no hay suficiente espacio en la mandíbula para albergar todos los dientes, lo que provoca que se amontonen. Las causas principales incluyen:
- Genética: La causa principal del apiñamiento es la herencia genética.
- Pérdida temprana de dientes de leche.
- Hábitos infantiles como el uso prolongado del chupete o chuparse el dedo.
- Falta de uso de retenedores después de un tratamiento de ortodoncia previo.
Consecuencias del Apiñamiento Dental
Los dientes apiñados no solo afectan la estética de tu sonrisa, sino que también pueden tener un impacto en tu salud dental y bienestar general. Las principales consecuencias incluyen:
- Problemas estéticos.
- Dificultad para la higiene bucal, lo que puede provocar infecciones y caries.
- Desgaste dental acelerado.
Ventajas del Tratamiento con Invisalign
El tratamiento con Invisalign ofrece numerosas ventajas en comparación con los brackets tradicionales:
- Posibilidad de llevar a cabo la higiene bucal sin limitaciones: Esto favorece la situación periodontal.
- Conocimiento y cálculo exacto del grado de reducción de esmalte interproximal: Esto se realiza previo al inicio del tratamiento.
- Revisiones periodontales sencillas: No hay presencia de brackets, bandas, arcos ni alambres.
- Reducción drástica del riesgo de descalcificación.
- Minimización o ausencia de situaciones de urgencia: No hay lesiones ni inflamaciones de la mucosa.
- Menos dolor en el cambio de alineador que en el cambio de arco.
- Se elimina el riesgo de abrasiones en el esmalte por contacto con los brackets.
- Retirada sin riesgo de causar lesiones en el esmalte.
- Objetivo terapéutico calculado por ordenador: Este es predecible y planificable.
- Fuerzas leves e intermitentes.
- Ausencia de movimientos de vaivén o «jiggling»: Por consiguiente, no hay reabsorciones radiculares.
- No afecta a la práctica de deportes ni al tocar instrumentos de viento.
- Se elimina el riesgo de alergias a metales.
- No se bloquea la arcada superior.
Limitaciones del Tratamiento con Invisalign
A pesar de sus numerosas ventajas, el sistema Invisalign también tiene algunas limitaciones:
- Dependencia de la colaboración del paciente: El éxito del tratamiento depende directamente de la colaboración del paciente, ya que las férulas son removibles.
- Posible afectación del habla al inicio del tratamiento: Esto desaparece al cabo de unos días.
- Algunos movimientos dentales no se pueden llevar a cabo aplicando únicamente esta técnica.
Movimientos Dentales Posibles con Invisalign
Con el sistema Invisalign se pueden realizar diversos movimientos dentales, incluyendo:
- Conformación de sectores anteriores con dientes en giroversión y apiñamientos leves.
- Cierre de espacios en el sector anterior.
- Rotación leve de incisivos, caninos y premolares.
- Expansión de arcada transversal.
- Intrusiones y extrusiones.
- Corrección de una mordida cruzada anterior.
Algunos movimientos precisan un anclaje complementario, como la distalización con elásticos clase II, mientras que otros requieren un tratamiento ortodóncico complementario previo.
Conclusión
La ortodoncia invisible ofrece una solución eficaz y discreta para corregir los dientes apiñados, mejorando tanto la estética de la sonrisa como la salud bucal. Con una planificación adecuada y el seguimiento de un ortodoncista experimentado, es posible lograr una sonrisa armónica y funcional sin necesidad de recurrir a los brackets tradicionales.
tags: #ortodoncia #invisible #dientes #apinados