¿Estás pensando en mejorar tu sonrisa sin que nadie lo note? La ortodoncia lingual es una opción innovadora que te permite corregir la posición de tus dientes de manera discreta. En este artículo, exploraremos a fondo qué es la ortodoncia lingual, sus ventajas y desventajas, y cómo se compara con otras alternativas.

¿Qué es la Ortodoncia Lingual?
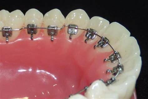
La ortodoncia lingual es un sistema de ortodoncia que corrige las alteraciones dentarias en la posición y en el desarrollo, así como las formas de las arcadas y posición dentoalveolar. Cuando hablamos de ortodoncia lingual nos referimos a los brackets que se colocan en la cara interna de las piezas dentales.
Se trata de una técnica fija, porque la aparatología no se puede retirar por parte de los pacientes. Debido a las diferencias anatómicas de cada diente en la cara lingual, hacen que sea una técnica muy laboriosa. La ortodoncia lingual está basada en unos brackets que se colocan en la cara interna (lingual) de los dientes.
Tipos de Cementado
- Cementado Directo: El ortodoncista coloca los brackets, uno a uno, en los dientes del paciente.
- Cementado Indirecto: Se colocan todos los brackets fuera de la boca, en una férula. El ortodoncista escanea la boca del paciente mediante un escáner intraoral en tres dimensiones.
Ventajas de la Ortodoncia Lingual
Entre sus ventajas lo que más destaca es que es la única opción 100% invisible. Ofrece total invisibilidad frente a los brackets externos y, aunque los alineadores invisibles son prácticamente imperceptibles la ortodoncia lingual es la única que no se ve.
- Estética: Los brackets linguales son el tratamiento de ortodoncia más estético que existe actualmente, ya que es el único completamente invisible. Al estar colocados en la cara interna de los dientes, no existe ningún riesgo de que puedan dañar o afear la parte más visible de la sonrisa.
- Eficacia: La ortodoncia lingual es igual de eficaz que otros tratamientos basados en brackets (como los metálicos o los transparentes). Los brackets linguales son tan eficaces como cualquier otro procedimiento de ortodoncia.
- Personalización: Es un tratamiento adaptado a cada paciente ya que los brackets se hacen a medida de cada boca. El hecho de que su proceso de fabricación sea personalizado, permite optimizar al máximo el área de adhesión.
- Progresos Visibles: Al estar colocados en la cara interna de los dientes, otro de los beneficios de los brackets linguales es que permiten observar la evolución de la sonrisa.
- Menos Riesgo de Daño en Deportes: En caso de llevar brackets metálicos o de zafiro, el impacto provocaría heridas en la parte interior de las mejillas y de los labios.
Además, es un tratamiento adaptado a cada paciente ya que los brackets se hacen a medida de cada boca. Esto puede entenderse como una ventaja debido a la precisión que ofrece dicha personalización.

Desventajas de la Ortodoncia Lingual
Sin embargo, existen otras limitaciones como una higiene más compleja y un precio elevado que pueden frenar la elección de la ortodoncia lingual frente a cualquier otro sistema de ortodoncia. A pesar de que, al principio, esta ortodoncia puede resultar más incómoda o complicada a la hora de mantener una higiene diaria, el paciente se acostumbra con el paso de los días.
- Precio: Este es el inconveniente más importante que encuentran las personas interesadas en la ortodoncia lingual. El precio de los brackets linguales irá en función de la dificultad del tratamiento y de su duración. Aproximadamente, el coste ronda entre los 3.000 y 7.000 euros.
- Periodo de Adaptación: A pesar de que los brackets linguales sean pequeños y tengan un grosor mínimo, requieren un periodo de adaptación de unas dos semanas. Durante los primeros días, es normal que la persona experimente alguna dificultad para pronunciar determinadas palabras. La persona tiene que acostumbrarse a tocar los brackets con la lengua, lo cual puede resultar incómodo al principio. Puede provocar molestias en la lengua, dificultad para pronunciación, masticación y deglución.
- Higiene Dental: Es más complicado mantener la higiene dental. Al estar colocados los brackets en la parte interior, es más difícil mantener la higiene dental.
- Limitaciones en la Alimentación: Se deben evitar determinados alimentos que puedan quedarse pegados a ellos (chicles, turrón blando…). También hay que restringir el consumo de ciertos alimentos duros que puedan provocar que los brackets se caigan o despeguen. Por último, se debe evitar la costumbre de comer bocadillos o manzanas a mordiscos.
Duración del Tratamiento y Seguimiento
El tratamiento con ortodoncia lingual puede durar entre 18 meses y dos años de media. La duración del tratamiento con brackets linguales está estrechamente relacionada con la complejidad del caso y el grado de maloclusión que presente el paciente. Cada 4 u 8 semanas se hacen visitas de seguimiento para valorar el progreso del procedimiento y ajustar la tensión de los aparatos.
Al igual que sucede con el resto de tratamientos, cada mes hay que acudir a consulta para realizar ajustes en los brackets. Cuando un ortodoncista realice el estudio previo del caso, podrá determinar la duración del procedimiento.
Alternativas a la Ortodoncia Lingual
La ortodoncia invisible se elabora de forma personalizada por medio de una impresión digital en 3D. Esta técnica es muy innovadora y más popular que la ortodoncia lingual, ya que mucha gente no quiere que sus aparatos se vean al sonreír. En el caso de que no se desee lidiar con estos inconvenientes diarios, una buena opción es recurrir a los alineadores invisibles.
Sin embargo, actualmente este tipo de tratamiento ha sido sustituido en nuestra clínica por alternativas más avanzadas y eficaces como Invisalign, que ofrece resultados similares con mayor comodidad para el paciente. Preferencia de los pacientes por Invisalign un sistema que combina la estética invisible con mayor comodidad, higiene y rapidez en los resultados.
Alineadores invisibles vs. brackets tradicionales: ¿Cuál es el mejor para ti?
Tabla Comparativa: Ortodoncia Lingual vs. Otras Opciones
| Característica | Ortodoncia Lingual | Brackets Tradicionales | Invisalign |
|---|---|---|---|
| Visibilidad | Invisible | Visible | Prácticamente Invisible |
| Precio | Alto | Medio | Medio-Alto |
| Adaptación | Requiere Adaptación | Requiere Adaptación | Más Cómodo |
| Higiene | Más Complicada | Complicada | Más Sencilla |
| Eficacia | Alta | Alta | Alta |
Cuidados y Recomendaciones
Podemos enumerar una serie de consejos para poner remedio a las molestias generadas a lo largo de un tratamiento de ortodoncia con brackets linguales. Si tienes pequeñas llagas o heridas producidas por el roce del aparato, te aconsejamos que hagas uso de la cera especial para ortodoncia. Sólo deberás colocar una pequeña parte en la zona que está provocando la herida para evitar la acción directa de los brackets sobre la mucosa.
- Uso de hilo dental una vez al día, antes de ir a dormir.
- Es aconsejable seguir una dieta blanda -purés, sopas o guisos fáciles de masticar-.
- Por ello, es frecuente que aparezca acumulación de placa bacteriana o gingivitis.
Para ayudarte a elegir el tratamiento de ortodoncia más adecuado, te recomendamos que acudas a tu odontólogo para expresarle tus dudas y evaluar tu caso. En general, los brackets linguales son perfectos para quienes buscan un tratamiento efectivo que no se ve con el fin de tener una dentadura armoniosa y saludable.

tags: #ortodoncia #lingual #futuredent