Si has estado pensando en corregir la alineación de tus dientes, pero te preocupa la estética de los brackets tradicionales, la ortodoncia lingual puede ser la opción ideal para ti. Este innovador tratamiento ortodóncico no solo es efectivo para corregir una amplia gama de problemas dentales, sino que también es prácticamente invisible, ya que los brackets se colocan en la parte interna de los dientes.
En este artículo, exploraremos en detalle qué es la ortodoncia lingual, cómo funciona, quién es candidato para este tratamiento y qué beneficios ofrece.
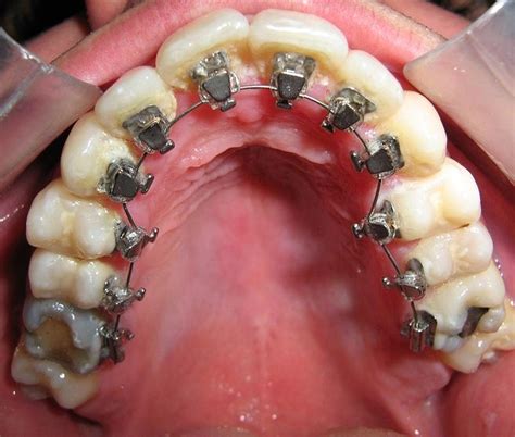
¿Qué es la Ortodoncia Lingual?
La ortodoncia lingual es una técnica de ortodoncia en la que los brackets se colocan en la cara interna de los dientes, es decir, en la superficie que da hacia la lengua (de ahí el nombre «lingual»). Los brackets linguales funcionan de manera similar a los brackets tradicionales: aplican una presión continua y suave sobre los dientes para moverlos gradualmente hacia su posición correcta.
Los brackets linguales, a diferencia de los demás brackets que encontramos actualmente en el mercado: metálicos, estéticos y autoligables, se colocan en la cara interna de los dientes y, por lo tanto, son invisibles desde fuera.

¿Cómo Funciona el Tratamiento de Ortodoncia Lingual?
El proceso de tratamiento con ortodoncia lingual comienza con una evaluación detallada de la boca para determinar la mejor estrategia para corregir tus dientes:
- Evaluación inicial: En la primera consulta, tu ortodoncista evaluará la alineación de tus dientes y determinará si la ortodoncia lingual es adecuada para ti.
- Colocación de los brackets linguales: Una vez que los brackets personalizados estén listos, se colocan en la parte posterior de los dientes utilizando un adhesivo especial.
- Ajustes periódicos: Al igual que con otros tratamientos de ortodoncia, tendrás citas periódicas para ajustar los brackets y asegurarte de que los dientes se muevan según lo planeado.
La duración del tratamiento con ortodoncia lingual varía según la complejidad del caso y la velocidad de respuesta de los dientes al tratamiento.

¿Quién es Candidato para la Ortodoncia Lingual?
La ortodoncia lingual es adecuada para muchas personas que desean corregir la alineación de sus dientes sin comprometer la estética de su sonrisa durante el tratamiento. Sin embargo, no todos los pacientes son candidatos ideales.
- Personas preocupadas por la estética: Si trabajas en un entorno profesional o social donde la apariencia es importante, la ortodoncia lingual es una excelente opción.
Ventajas de la Ortodoncia Lingual
Si bien existen varias opciones para corregir la alineación de los dientes, la ortodoncia lingual ofrece ventajas únicas que la hacen especialmente atractiva para ciertos pacientes.
Brackets vs. Ortodoncia Invisible ¿Cuál es la Mejor Opción para Ti?
- A diferencia de los brackets tradicionales o incluso los alineadores transparentes, la ortodoncia lingual es completamente invisible.
- La ortodoncia lingual ofrece el mismo nivel de precisión que los brackets tradicionales, ya que permite controlar con exactitud el movimiento de los dientes.
- Los brackets linguales son completamente personalizados para cada paciente.
- Se puede evitar los huecos si son necesarias extracciones.
- Algunos sistemas de ortodoncia lingual son extremadamente precisos.
- Es un tratamiento adaptado a cada paciente ya que los brackets se hacen a medida de cada boca. Esto puede entenderse como una ventaja debido a la precisión que ofrece dicha personalización.
Desventajas de la Ortodoncia Lingual
Como todos los sistemas, la ortodoncia lingual también presenta desventajas:
- Adaptación inicial: Al estar colocados en la parte interna de los dientes, los brackets linguales pueden causar incomodidad al principio, especialmente al hablar o comer.
- Los brackets linguales pueden causar más molestias al principio, especialmente en la lengua.
- Las citas en el ortodoncista serán mucho más largas que con ortodoncia convencional. Es una técnica mucho más laboriosa para el profesional.
- Puede provocar molestias en la lengua, dificultad para pronunciación, masticación y deglución.
- El coste es mayor.
- Durante el periodo de adaptación resulta molesto por el roce de la lengua con los brackets y que durante este periodo puede resultar difícil pronunciar correctamente algunos sonidos.
- Formación especializada: Este tipo de tratamientos, son más complejos de realizar que los tratamientos de ortodoncia convencional por lo que es conveniente que sean realizados por odontólogos con una formación especializada en ortodoncia.
- Visitas un poco más largas: La dificultad de trabajar por la cara interna de los dientes, en un espacio tan pequeño como es la boca, hace que las visitas en la consulta sean ligeramente más largas si las comparamos con la ortodoncia convencional.
- Sin embargo, a largo plazo esa disponibilidad limitada genera más inconvenientes ya que en caso de rotura o fractura del bracket el proceso de fabricación podría prolongar el tratamiento ya que requiere alta especialización y laboratorios específicos.
- Existen otras limitaciones como una higiene más compleja y un precio elevado que pueden frenar la elección de la ortodoncia lingual frente a cualquier otro sistema de ortodoncia.
Higiene Bucal Durante el Tratamiento
Mantener una buena higiene bucal es fundamental durante cualquier tratamiento ortodóncico, pero con la ortodoncia lingual, es especialmente importante debido a la ubicación de los brackets.
- Cepillado frecuente: Es fundamental cepillarse los dientes después de cada comida para evitar la acumulación de placa y restos de alimentos alrededor de los brackets linguales.
- Uso de hilo dental: Aunque puede ser más complicado, es esencial usar hilo dental diariamente para limpiar entre los dientes y evitar la acumulación de placa.
- Visitas regulares al ortodoncista: Asegúrate de asistir a todas las citas programadas para ajustes y revisiones.

Ortodoncia Lingual Incognito
En CLINICA FAUS, utilizan un moderno sistema de Ortodoncia Lingual Incognito, en el cual los brackets y los arcos están hechos a medida para cada paciente, de forma que aumentan la predictibilidad del resultado y la comodidad para el paciente en el tiempo que dura el tratamiento.
Incognito tiene una ventaja grande sobre el resto de ortodoncias por varias razones. Es un aparato lingual por lo que no cuenta con ninguna desventaja estética como con los brackets cerámicos convencionales, los recubiertos o incluso los translúcidos, y al ir colocados en la parte trasera de los dientes también son menos visibles incluso que Invisalign.
Ventajas de Incognito
- Ortodoncia invisible: Los brackets van pegados a la cara interna del diente por lo que son prácticamente inapreciables durante todo el tratamiento.
- Mayor comodidad: Los brackets linguales que utilizamos están hecho a medida, por lo que son más pequeños que los brackets de ortodoncia convencional. Además, la lengua tiene una mayor capacidad de adaptación que los labios, por lo que transcurridos 15-20 días de la colocación de los aparatos, las molestias desaparecen.
- Mejor salud dental y gingival: como los brackets están pegados por la parte interna de los dientes, la lengua hace la función de lubricación y autolimpieza, además, la posibilidad de que se produzcan descalcificaciones por los brackets en la superficie visible del diente se reducen considerablemente.
Desventajas de Incognito
- Formación especializada: Este tipo de tratamientos, son más complejos de realizar que los tratamientos de ortodoncia convencional por lo que es conveniente que sean realizados por odontólogos con una formación especializada en ortodoncia.
- Visitas un poco más largas: La dificultad de trabajar por la cara interna de los dientes, en un espacio tan pequeño como es la boca, hace que las visitas en la consulta sean ligeramente más largas si las comparamos con la ortodoncia convencional.
Alternativas a la Ortodoncia Lingual
La ortodoncia lingual ha sido durante años una opción popular para quienes buscaban discreción en su tratamiento ortodóncico. En nuestra clínica este tipo de tratamiento ha sido sustituido por alternativas más avanzadas y eficaces como Invisalign, que ofrece resultados similares con mayor comodidad para el paciente.
Con el lanzamiento de Invisalign en 1999, la ortodoncia invisible registró un nuevo golpe.
Conclusión
La ortodoncia lingual no solo mejora la estética de tu sonrisa, sino que también tiene un impacto significativo en tu salud bucal general. Si estás buscando una solución de ortodoncia que sea efectiva y discreta, la ortodoncia lingual podría ser la opción perfecta para ti.
Cuando se trata de elegir un tratamiento ortodóncico, es importante comparar las diferentes opciones para encontrar la que mejor se adapte a tus necesidades y preferencias.
tags: #ortodoncia #lingual #incognito