La ortodoncia lingual es una técnica moderna que ha ganado popularidad entre aquellos que buscan corregir sus dientes sin comprometer su apariencia. La búsqueda de la estética para los tratamientos ortodóncicos llevó al desarrollo de la ortodoncia lingual, que es otra técnica más en las posibilidades de realizar un tratamiento ortodóncico, en donde los brackets se cementan en las caras linguales de los dientes, aportando un tratamiento más estético, ya que no se ven.

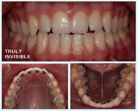
Ortodoncia lingual con brackets colocados en la cara interna de los dientes.
En esta oportunidad hablaremos en detalle todo lo que necesitas saber sobre la ortodoncia lingual. Desde sus beneficios, desventajas, qué se puede esperar durante el tratamiento, y algunos consejos para cuidar y mantener el tratamiento.
¿Qué es la Ortodoncia Lingual?
La ortodoncia lingual se trata de un sistema de ortodoncia que corrige las alteraciones dentarias en la posición y en el desarrollo, así como las formas de las arcadas y posición dentoalveolar. La ortodoncia lingual consiste en un tipo de ortodoncia donde los brackets se colocan en la superficie lingual de los dientes (en la cara interior o de dentro), siendo uno de lo tratamiento de ortodoncia más estéticos.
La ortodoncia lingual es un tratamiento de ortodoncia en el que los brackets se colocan en la cara interna (lingual) de los dientes, en lugar de en la parte externa (vestibular). Esto hace que los brackets sean invisibles ante los ojos de los demás. La ortodoncia lingual es la opción ideal si lo que buscas es una solución discreta y efectiva para corregir problemas de alineación dental.
Al igual que otros tratamientos de ortodoncia, los brackets linguales sirven para corregir problemas relacionados con la oclusión (mordida) y la alineación de los dientes:
- Dientes apiñados: el apiñamiento y la falta de espacio en la boca hacen que los dientes se amontonen.
- Mordida abierta: se produce cuando los dientes superiores e inferiores no contactan entre ellos.
- Mordida cruzada: en este caso, las piezas dentales superiores quedan por detrás de las inferiores.
Ventajas de la Ortodoncia Lingual
La ortodoncia lingual es conocida por el gran número de ventajas que tiene. Además de ser un sistema muy efectivo, su utilización pasa desapercibida por el resto y cumple con el objetivo de alinear y posicionar los dientes en la posición correcta.
- Discreción: para la inmensa mayoría de los pacientes, el mayor beneficio de la ortodoncia lingual es su estética y discreción. Sin embargo, podemos afirmar que la ortodoncia lingual es el único procedimiento completamente imperceptible, incluso a distancias cortas.
- Efectividad: Sí, la ortodoncia lingual es una técnica efectiva para corregir cualquier problema relacionado con la oclusión y la mordida de los dientes. Es decir, el hecho de que los brackets estén colocados en la parte trasera de los dientes no afecta a su efectividad.
- Tratamiento adaptado: Además es un tratamiento adaptado a cada paciente ya que los brackets se hacen a medida de cada boca. Esto puede entenderse como una ventaja debido a la precisión que ofrece dicha personalización.
Desventajas de la Ortodoncia Lingual
Si bien la ortodoncia lingual tiene muchos beneficios, también presenta algunas desventajas.
- Precio: este es el mayor inconveniente que encuentran las personas interesadas en el tratamiento. La ortodoncia lingual Incognito cuenta con los precios más elevado del mercado. Los precios oscilan entre los 7000€- 8200€ ,el motivo son sus elevados costes y la complejidad de su manejo en clinica siendo eso también una razón para que su demanda sea cada vez más baja.
- Tiempo de adaptación: los brackets linguales requieren un periodo de adaptación de unas dos semanas. Esto se debe a que, al estar colocados en la parte trasera de los dientes, contactan con la lengua. En consecuencia, los primeros días pueden provocar pequeñas heridas o llagas en la lengua. Puede provocar molestias en la lengua, dificultad para pronunciación, masticación y deglución.
- Higiene Compleja: Existen otras limitaciones como una higiene más compleja. Es más complicado mantener la higiene dental: al estar colocados los brackets en la parte interior, es más difícil mantener la higiene dental.
Proceso del Tratamiento con Ortodoncia Lingual
El tratamiento con ortodoncia lingual sigue un proceso específico que incluye varias etapas. Es importante entender este proceso para saber qué esperar durante el tratamiento.
- Estudio de Ortodoncia: El primer paso consiste en realizar el estudio de ortodoncia. Para ello, se hace una exploración bucodental al paciente y se toman una serie de fotografías (intraorales y extraorales) y radiografías (ortopantomografía y cefalometría). La colocación de la ortodoncia lingual se inicia con la realización de una historia clínica completa junto con un estudio ortodóntico, el cual incluye por ejemplo fotografías y un estudio cefalométrico.
- Planificación y Fabricación de Brackets: Tras realizar el estudio, el ortodoncista planifica el tratamiento y solicita la fabricación de los brackets linguales al laboratorio. Los brackets linguales se elaboran de forma personalizada para cada paciente, adaptándolos a la forma lingual de cada diente. El técnico envía esta información al doctor para definir las necesidades individuales del tratamiento de ORTODONCIA LINGUAL y se fabrica un modelo objetivo. Tras un cuidadoso análisis y verificación damos orden al laboratorio de comenzar la fabricación de arcos y brackets.
- Colocación de Brackets: Antes de colocar los brackets linguales es necesario preparar los dientes. Estos se limpian, se secan y se aplica en ellos un producto adhesivo para poder fijar los brackets a la superficie dental. Después de un mes, los brackets lingual son elaborados y están listos para ser colocados en la cara lingual de los dientes de las dos arcadas. Para favorecer el proceso de adaptación del paciente, normalmente la ortodoncia lingual se coloca en dos sesiones. Las brackets se colocan a una altura y posición determinadas para transmitir las fuerzas que moverán los dientes. Los arcos incorporan información de angulaciones y de la forma de arcada ideal del paciente.
- Revisiones Periódicas: Durante el tratamiento, la persona deberá acudir a revisiones periódicas con el ortodoncista cada cuatro o seis semanas. La inserción en la ortodoncia lingual de una secuencia de arcos de diferentes materiales y la colocación, ajuste y activación de aditamentos va corrigiendo progresivamente corregir la maloclusión. La planificación eficiente y la precisión en la fabricación y colocación de los aparatos proporcionará unos resultados predecibles y fiables. Al igual que sucede con el resto de tratamientos, cada mes hay que acudir a consulta para realizar ajustes en los brackets.
- Retirada de Brackets y Uso de Retenedores: Tras finalizar el tratamiento, el ortodoncista retirará los brackets y los arcos. Además, colocará un retenedor fijo en cada arcada y tomará unas nuevas impresiones para fabricar los retenedores removibles. Al final del tratamiento, los brackets se retiran y se colocan retenedores para mantener la nueva posición de los dientes. Los retenedores pueden ser fijos o removibles y son esenciales para evitar que los dientes regresen a su posición original. El uso de retenedores es crucial durante los primeros meses después de retirar los brackets.
Cuidado y Mantenimiento de la Ortodoncia Lingual
El cuidado dental es crucial durante el tratamiento con ortodoncia lingual. Debido a la ubicación de los brackets, la limpieza puede ser más difícil y requiere atención especial.
- Higiene Oral: En primer lugar, es fundamental mantener una buena higiene oral durante el tratamiento para prevenir caries y enfermedades de las encías. Se recomienda usar cepillos de dientes especiales y enjuagues bucales para limpiar adecuadamente alrededor de los brackets. Además, el uso de hilo dental y cepillos interdentales puede ayudar a eliminar la placa y los restos de comida. Uso de hilo dental una vez al día, antes de ir a dormir.
- Alimentación: También es de suma importancia evitar alimentos duros y pegajosos para no dañar los brackets. Además, es aconsejable no morder objetos duros como bolígrafos o uñas, ya que esto puede causar daños a los brackets. Se recomienda no consumir alimentos pegajosos, duros y con alto contenido de azúcar. Comer alimentos suaves y cortar los alimentos en pedazos pequeños puede facilitar la masticación y reducir el riesgo de dañar los brackets.
- Adaptación y Alivio de Molestias: Ten en cuenta que los primeros días con ortodoncia lingual pueden ser incómodos mientras la lengua se adapta a los brackets. Los pacientes pueden experimentar dificultades al hablar y comer, pero estas molestias generalmente desaparecen después de una semana. Al principio, los brackets te harán sentir molestias. Podemos enumerar una serie de consejos para poner remedio a las molestias generadas a lo largo de un tratamiento de ortodoncia con brackets linguales. Si tienes pequeñas llagas o heridas producidas por el roce del aparato, te aconsejamos que hagas uso de la cera especial para ortodoncia. Sólo deberás colocar una pequeña parte en la zona que está provocando la herida para evitar la acción directa de los brackets sobre la mucosa. Es aconsejable seguir una dieta blanda -purés, sopas o guisos fáciles de masticar-. Los ortodoncistas pueden recomendar el uso de cera ortodóntica para reducir la irritación en la lengua.
¿Ortodoncia Lingual vs. Ortodoncia Invisible (Invisalign)?
Aunque hay diferencias entre las distintas aparatologías ortodóncicas lo más determinante y diferenciador en los resultados del tratamiento es el ortodoncista. El diagnóstico es lo más importante sin olvidarnos de la secuencia de tratamiento (la Cuarta Dimensión) y para ello hay que contar con buenos registros y un profesional bien formado.
Los precios de la ortodoncia lingual y de Invisalign pueden variar en función de distintos factores, como la duración y la complejidad del tratamiento. Esto se debe a diferentes cuestiones relacionadas, por ejemplo, con el proceso de fabricación y el transcurso del tratamiento. Por otro lado, hay que tener en cuenta que la ortodoncia lingual requiere más visitas al ortodoncista y estas, a su vez, tienen una duración mayor. El tiempo que tardan en colocarse los brackets linguales es superior al tiempo de colocación de los alineadores Invisalign. Por último, Invisalign es un tratamiento en el que las urgencias son extremadamente infrecuentes.
Todos estos factores hacen que, por norma general, la ortodoncia lingual sea más cara que Invisalign. Desde la incorporación de la técnica de alineadores invisibles desarrollada por Align (Invisalign) el uso de la ortodoncia lingual ha ido disminuyendo y en estos momentos esta casi en desuso. Sin embargo, podemos afirmar que la ortodoncia lingual es el único procedimiento completamente imperceptible, incluso a distancias cortas.
La ortodoncia invisible se elabora de forma personalizada por medio de una impresión digital en 3D. Esta técnica es muy innovadora y más popular que la ortodoncia lingual, ya que mucha gente no quiere que sus aparatos se vean al sonreír.

Comparación entre ortodoncia lingual e Invisalign.
¿Cuánto Cuesta la Ortodoncia Lingual?
En España, la ortodoncia lingual tiene un precio que oscila entre los 4.000 y los 7.000 euros, aproximadamente. Por ejemplo, dentro de la parte más baja y económica de la horquilla podemos incluir los tratamientos cortos, de alrededor de un año de duración.
Duración del Tratamiento
El tratamiento con ortodoncia lingual puede durar entre 18 meses y dos años de media. Cada 4 u 8 semanas se hacen visitas de seguimiento para valorar el progreso del procedimiento y ajustar la tensión de los aparatos.
Conclusión
La ortodoncia lingual es una opción moderna para aquellos que buscan corregir sus dientes sin comprometer su apariencia. Aunque presenta algunos desafíos, sus beneficios estéticos la convierten en una opción atractiva para muchas personas. Consultar con un ortodoncista especializado es el primer paso para determinar si la ortodoncia lingual es adecuada para ti.
Brackets vs Invisibles | La verdad
tags: #ortodoncia #lingual #indicaciones #y #contraindicaciones