A la hora de considerar un tratamiento de ortodoncia, la estética juega un papel crucial para muchos pacientes. Entre las opciones disponibles, la ortodoncia lingual e Invisalign destacan como alternativas estéticas que permiten evitar los tradicionales brackets metálicos. Este artículo explora en detalle las ventajas y desventajas de ambos tratamientos, proporcionando información valiosa para tomar la mejor decisión.

¿Qué es la Ortodoncia Lingual?
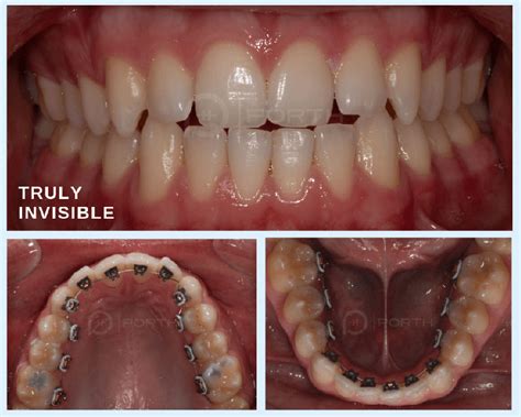
La ortodoncia lingual ha sido una opción popular para quienes buscan discreción en su tratamiento ortodóncico. Los brackets linguales se colocan en la cara interna de los dientes, posicionándose como una de las grandes opciones de la ortodoncia invisible junto con los alineadores removibles Invisalign.
Durante años, esta técnica ha sido utilizada por pacientes adultos que buscaban discreción durante su tratamiento. Esto es posible gracias a que los brackets se colocan en la cara lingual, es decir, en la cara interna del diente.
Ventajas de la Ortodoncia Lingual
- Total invisibilidad: Es la única opción 100% invisible, ofreciendo total discreción en comparación con los brackets externos.
- Tratamiento personalizado: Los brackets se hacen a medida de cada boca, lo que ofrece precisión.
Desventajas de la Ortodoncia Lingual
- Disponibilidad limitada: En caso de rotura o fractura del bracket, el proceso de fabricación podría prolongar el tratamiento debido a la alta especialización y laboratorios específicos.
- Higiene compleja: Requiere una higiene más exhaustiva debido a la ubicación de los brackets.
- Precio elevado: Suele ser más costosa que otros sistemas de ortodoncia.
- Molestias al hablar o comer: Aunque estéticamente no interfiere, puede causar dificultades y molestias al hablar o comer.
Además, si tienes pequeñas llagas o heridas producidas por el roce del aparato, te aconsejamos que hagas uso de la cera especial para ortodoncia. Sólo deberás colocar una pequeña parte en la zona que está provocando la herida para evitar la acción directa de los brackets sobre la mucosa. Es aconsejable seguir una dieta blanda -purés, sopas o guisos fáciles de masticar-.
¿Qué es Invisalign?
Cuando hablamos de ortodoncia invisible, lo primero que se nos viene a la mente es el uso de alineadores invisibles como Invisalign. Se ha convertido en uno de los tratamientos de ortodoncia más populares y ha ganado protagonismo en los últimos años.
La ortodoncia invisible se ha convertido en un proceso popular debido a los múltiples beneficios que presenta. Las pocas desventajas de la ortodoncia invisible hacen que este tratamiento sea la mejor opción para aquellos que quieren alinear sus dientes o corregir la mordida sin que casi nadie se entere de que ha tenido que recurrir a un aparato de ortodoncia.
Ventajas de Invisalign
- Removible: Es una opción de quita y pon, lo que facilita la limpieza, la higiene bucal diaria y permite comer sin restricciones.
- Transparente: Fabricados con materiales de alta resistencia como el policarbonato o el poliuretano, son prácticamente invisibles.
- Cómodo: Reduce las visitas al dentista y evita roces o llagas.
- Predecible: Permite conocer la planificación exacta del tratamiento y ver el resultado final gracias al software 3D ClinCheck.
- Personalizado: Hechos completamente a la medida de tu boca.
- Higiénico: Facilita mantener la higiene en comparación con los brackets metálicos.
Alineadores invisibles vs. brackets tradicionales: ¿Cuál es el mejor para ti?
Desventajas de Invisalign
- Mayor inversión inicial: Debido a la tecnología requerida para la planificación y fabricación de los alineadores, puede resultar más caro, especialmente en casos complejos.
- Exigencia: Requiere compromiso del paciente, ya que debe llevarse un mínimo de 22 horas al día.
- Tiempo: En algunos casos, el tratamiento puede durar más tiempo en comparación con la ortodoncia tradicional.
- Casos complejos: Encuentra limitaciones en casos más complejos.
- Pérdida o rotura: Al ser removibles y de un material sensible al calor, existen más riesgos de complicaciones.
El principal problema que podemos encontrar en la ortodoncia invisible es la falta de compromiso del paciente por no cumplir con el tiempo mínimo exigido que es necesario para conseguir los resultados deseados. Como se pueden quitar y poner fácilmente, si el paciente no sigue las instrucciones de su ortodoncista esto puede generar algunos casos de desajustes y movimientos imprevistos lo que provocaria que el tratamiento se prolongue más de lo debido.
Comparativa Directa: Ortodoncia Lingual vs. Invisalign
Para facilitar la elección entre ortodoncia lingual e Invisalign, aquí tienes una tabla comparativa:
| Característica | Ortodoncia Lingual | Invisalign |
|---|---|---|
| Visibilidad | Totalmente invisible | Prácticamente invisible |
| Comodidad | Puede causar molestias al hablar y comer | Cómodo, removible |
| Higiene | Más compleja | Más fácil |
| Precio | Elevado | Variable, a veces más elevado |
| Duración | Variable | Variable, puede ser más largo en casos complejos |
| Eficacia en casos complejos | Alta | Limitaciones en casos muy complejos |
Experiencia Personal con Ambos Tratamientos
He probado ambos y, aunque ambos funcionan, cada uno se adapta a un perfil diferente. Con los brackets noté resultados visibles antes y una sensación de fuerza en el movimiento dental. Eso sí, las limpiezas eran más pesadas, y las revisiones en clínica, frecuentes.
Con Invisalign, en cambio, la experiencia fue mucho más estética y cómoda. No tuve apenas dolor, y la posibilidad de hacer seguimiento desde casa fue una gran ventaja. El proceso fue más lento, pero más llevadero. Si tienes un apiñamiento dental severo, probablemente los brackets sean más rápidos. Pero si buscas discreción y flexibilidad, Invisalign es imbatible.
Factores Clave para Elegir Correctamente
- Valoración profesional personalizada: Un especialista debe realizar un estudio completo para determinar qué sistema es más adecuado.
- Compromiso y hábitos del paciente: La constancia es crucial, especialmente con Invisalign.
- Estilo de vida y prioridades: Considera tus prioridades: estética, comodidad, tiempo o precio.

Errores Comunes al Elegir
- Elegir solo por estética, sin considerar la complejidad del caso.
- No acudir a un ortodoncista certificado en Invisalign.
- No seguir las indicaciones del tratamiento.
- Comparar precios sin valorar experiencia o tecnología del profesional.
tags: #ortodoncia #lingual #vs #invisalign