La salud dental es esencial para el bienestar general. Si tienes problemas con la falta de algunos dientes, están dañados o torcidos, dos de las soluciones más populares son la ortodoncia y los implantes dentales. En este artículo, explicaremos las diferencias entre la ortodoncia y los implantes dentales, los beneficios y desventajas de cada tratamiento, y cómo elegir la opción adecuada para tus necesidades dentales.

¿Qué son la Ortodoncia y los Implantes Dentales?
La ortodoncia y los implantes dentales son tratamientos muy diferentes. La ortodoncia se enfoca en la corrección de la posición de los dientes y la mandíbula, mientras que los implantes dentales se utilizan para reemplazar los dientes perdidos. En cambio, los implantes dentales se utilizan para reemplazar uno o varios dientes perdidos. Los implantes dentales se colocan en el hueso de la mandíbula y se utilizan como base para colocar una corona dental.
Ortodoncia
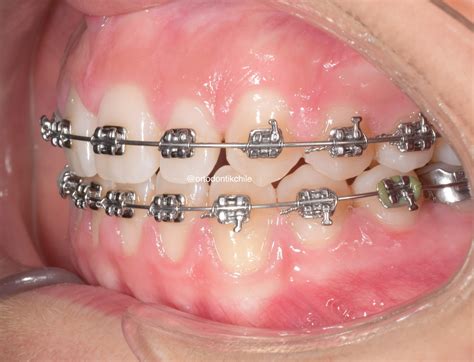
La ortodoncia es una especialidad de la odontología que se enfoca en corregir la posición de los dientes y la mandíbula para mejorar la función y la estética de la boca y la sonrisa.
La ortodoncia puede ayudar a mejorar la apariencia de los dientes y la mandíbula. Los beneficios de la ortodoncia incluyen una sonrisa más atractiva, una masticación más eficiente y una pronunciación mejorada. La ortodoncia también puede ayudar a prevenir problemas dentales en el futuro, como la caries dental, la enfermedad de las encías y la pérdida de dientes.
La ortodoncia se recomienda en los siguientes casos:
- Mordida incorrecta: si la mordida no es correcta, puede causar problemas en la mandíbula, los músculos y los dientes.
- Sobremordida o mordida profunda: esto ocurre cuando los dientes superiores cubren demasiado los dientes inferiores al morder.
- Submordida o mordida abierta: esto ocurre cuando los dientes inferiores sobresalen por delante de los dientes superiores al morder.
- Problemas de habla: algunos problemas de habla pueden estar relacionados con la posición de los dientes y la mandíbula.

Implantes Dentales
Por su parte, los implantes dentales son una opción popular para reemplazar los dientes faltantes. Los beneficios de los implantes dentales incluyen una sonrisa más atractiva, una masticación más eficiente y una pronunciación mejorada. Los implantes dentales también pueden ayudar a prevenir problemas dentales en el futuro, como la caries dental, la enfermedad de las encías y la pérdida de dientes.
Los implantes dentales se recomiendan en los siguientes casos:
- Dientes perdidos: los implantes dentales pueden utilizarse para reemplazar uno o varios dientes perdidos.
- Dientes dañados o deteriorados: si un diente está dañado o deteriorado, es posible que no pueda ser reparado con una simple restauración dental, como un relleno o una corona.
- Pérdida de hueso dental: la pérdida de un diente también puede resultar en la pérdida de hueso dental.
- Problemas con la masticación: si falta uno o varios dientes, puede ser difícil masticar adecuadamente los alimentos.
- Problemas de autoestima: los dientes perdidos o dañados pueden afectar negativamente la autoestima y la confianza de una persona.
En resumen, los implantes dentales pueden tratar una variedad de problemas dentales, desde dientes perdidos hasta problemas de masticación y autoestima.
Factores a Considerar al Elegir entre Ortodoncia e Implantes Dentales
Al elegir entre ortodoncia e implantes dentales, hay varios factores a considerar.
- La edad del paciente puede ser un factor importante, ya que la ortodoncia es más efectiva en pacientes más jóvenes.
- El coste de cada tratamiento para cada caso también puede ser un factor importante, ya que la ortodoncia puede ser más costosa que los implantes dentales.
- La duración del tratamiento también puede ser un factor importante, ya que la ortodoncia puede requerir un tratamiento más prolongado que los implantes dentales.
Tipos de Tratamientos de Ortodoncia
Existen varias opciones de tratamiento de ortodoncia disponibles para corregir problemas dentales y de mordida.
- Brackets estéticos: estos brackets están hechos de materiales cerámicos o de zafiro y son menos visibles que los brackets tradicionales.
- Alineadores transparentes: los alineadores transparentes, como Invisalign, son una opción popular para aquellos que buscan un tratamiento de ortodoncia discreto.
- Ortodoncia lingual: los brackets se colocan en la parte posterior de los dientes en lugar de en la parte frontal, lo que los hace prácticamente invisibles.
- Aparatos ortopédicos funcionales: estos aparatos se utilizan para corregir problemas de mordida y de mandíbula.
Cada opción de tratamiento de ortodoncia tiene sus propias ventajas y desventajas, y la mejor opción dependerá de las necesidades individuales de cada paciente.
Implantes dentales vs. prótesis dental
Tipos de Tratamientos con Implantes Dentales
Existen varias opciones de tratamiento con implantes dentales disponibles para reemplazar los dientes perdidos.
- Implante dental único: se coloca un implante dental en la raíz del diente perdido, y se coloca una corona sobre el implante.
- Puente dental con implantes: se colocan dos o más implantes dentales en la mandíbula y se coloca un puente dental sobre los implantes.
- Prótesis dentales completas con implantes: se colocan varios implantes dentales en la mandíbula, y se coloca una prótesis dental completa sobre los implantes.
- Sobredentaduras con implantes: se colocan varios implantes dentales en la mandíbula, y se coloca una dentadura postiza sobre los implantes. La sobredentadura puede retirarse para su limpieza y mantenimiento.
Cada opción de tratamiento con implantes dentales tiene sus propias ventajas y desventajas, y la mejor opción dependerá de las necesidades individuales de cada paciente.
Prótesis Dentales: Tipos y Consideraciones
Una prótesis dental es un elemento artificial usado para restaurar la anatomía de uno o más dientes, con el objetivo de devolver la funcionalidad y la estética a la dentición del paciente. La prótesis dental juega un papel fundamental en la salud bucodental, ya que permite reemplazar dientes perdidos o dañados, mejorando la calidad de vida del paciente. Además, las prótesis dentales tienen un impacto positivo en la estructura de la mandíbula, evitando deformaciones y problemas en la articulación temporomandibular.
El precio de una prótesis dental varía según diferentes factores, como el tipo de prótesis, los materiales utilizados y la complejidad del tratamiento.
Tipos de Prótesis Dentales
- Tipo de prótesis: Las prótesis pueden ser fijas (coronas, puentes) o removibles (resina, flexibles, esqueléticas).
- Materiales empleados: Las prótesis pueden fabricarse en materiales como resina, metal, porcelana o zirconio.
Prótesis Dentales Fijas
Las prótesis dentales fijas son aquellas que se colocan de manera permanente en la boca del paciente. Estas prótesis ofrecen una gran estabilidad y comodidad.
- Coronas o fundas unitarias: son prótesis dentales que se colocan sobre dientes previamente reducidos. Estas prótesis se utilizan para restaurar la anatomía de un diente dañado o debilitado.
- Puentes dentales: son prótesis fijas que se utilizan para reemplazar uno o más dientes contiguos que faltan. Estos puentes están compuestos por coronas que se colocan en los dientes adyacentes al espacio vacío y un diente artificial que ocupa el lugar de los dientes perdidos.
Prótesis Dentales Removibles
Las prótesis dentales removibles son aquellas que pueden ser retiradas y limpiadas por el paciente. Estas prótesis ofrecen flexibilidad y facilidad de mantenimiento.
- Prótesis dentales flexibles: están fabricadas con un material especial que les otorga flexibilidad y comodidad. Estas prótesis se adaptan fácilmente a la forma de la boca, proporcionando una sensación natural.
- Prótesis dentales de resina: son las más económicas y están hechas de un material acrílico resistente. Estas prótesis se apoyan en los tejidos bucales y pueden ser ajustadas o reparadas fácilmente.
- Prótesis dentales esqueléticas: se componen de una estructura metálica que se ajusta a los dientes naturales a través de ganchos o dispositivos de sujeción. Estas prótesis son ideales para reemplazar múltiples dientes, ya que ofrecen una gran estabilidad.

Beneficios de las Prótesis Dentales
- Mejora la estética de la sonrisa: Las prótesis dentales ofrecen una solución rápida y efectiva para mejorar la apariencia estética de la dentición. Estos dispositivos artificiales son diseñados para replicar la forma y el color de los dientes naturales, logrando así una sonrisa más estética y atractiva.
- Recupera la función masticatoria: La pérdida o daño de los dientes puede dificultar la capacidad para masticar adecuadamente los alimentos, lo cual puede afectar la digestión y la nutrición del individuo. Las prótesis dentales, al reemplazar los dientes perdidos o dañados, ayudan a restablecer la función masticatoria. Esto permite a las personas disfrutar de una alimentación adecuada, ya que pueden masticar y triturar los alimentos de manera eficiente.
- Conserva la estructura ósea: La pérdida de dientes puede tener un impacto negativo en la estructura ósea de la mandíbula. Sin dientes para proporcionar estímulo y soporte, el hueso puede comenzar a deteriorarse y perder volumen, lo que puede afectar la apariencia facial y la funcionalidad de la mandíbula. Las prótesis dentales contribuyen a conservar la estructura ósea al proporcionar un apoyo adecuado y estimular el hueso de la mandíbula.
Cuidados y Mantenimiento de las Prótesis Dentales
La limpieza adecuada de las prótesis dentales es esencial para evitar la acumulación de placa bacteriana y la formación de caries.
- Dejar la prótesis dental removible en agua durante la noche puede ayudar a mantener su hidratación y evitar que el material se deforme. Sin embargo, el agua sola no es suficiente para desinfectarla correctamente. Además, es importante cepillar la prótesis antes de guardarla, eliminando restos de alimentos y placa bacteriana.
- El bicarbonato de sodio es un limpiador natural con propiedades desinfectantes, pero su uso en prótesis dentales debe ser moderado.
- El vinagre blanco tiene propiedades antimicrobianas, por lo que puede utilizarse para desinfectar prótesis dentales.
- Se recomienda evitar alimentos duros y pegajosos que puedan dañar o desplazar las prótesis.
- Es fundamental realizar revisiones periódicas con el odontólogo para evaluar el estado de las prótesis dentales y realizar los ajustes necesarios.
Estabilidad de las Prótesis Dentales Inferiores Removibles
Las prótesis dentales inferiores removibles pueden ser más difíciles de estabilizar debido a la menor superficie de apoyo y a los movimientos de la lengua.
- Una prótesis bien ajustada es fundamental para su estabilidad.
- Los adhesivos para prótesis ayudan a mejorar la fijación y evitan que la prótesis se desplace.
- La lengua y los músculos de la boca juegan un papel clave en la estabilidad de la prótesis.
Problemas Causados por Prótesis Mal Ajustadas
Una prótesis mal ajustada puede causar llagas, irritación, dificultad para masticar y hablar, además de aumentar el riesgo de infecciones y reabsorción ósea. También puede provocar molestias constantes y afectar la calidad de vida.
Si la prótesis causa dolor, consulta a tu dentista para un ajuste. Mientras tanto, puedes aliviar la molestia con enjuagues de agua con sal, evitar alimentos duros y usar geles calmantes.
Consideraciones Finales
La elección entre ortodoncia, implantes dentales y prótesis dentales depende de diversos factores, incluyendo la salud oral general del paciente, la cantidad de dientes perdidos, el estado de salud de las encías y el hueso, y las preferencias personales respecto a la comodidad y estética.
Las prótesis fijas ofrecen una solución permanente y estable que se siente y funciona como dientes naturales, pero requieren una inversión mayor y, en el caso de los implantes, un proceso quirúrgico. Por otro lado, las prótesis removibles representan una opción más accesible y menos invasiva, aunque pueden requerir ajustes periódicos y un cuidado más meticuloso para mantener su funcionalidad y apariencia.
En definitiva, e independientemente del tipo de tratamiento dental que se elija, lo importante es consultar a un especialista en odontología para recibir indicaciones personalizadas.
tags: #ortodoncia #protesis #dental