Si has notado que tus dientes se vuelven grises o amarillos, tu sonrisa también puede verse afectada. El blanqueamiento dental casero se ha convertido en una opción popular para quienes desean mejorar el color de sus dientes sin acudir a una clínica dental. El dentífrico blanqueador es sin duda un método sencillo y rentable para eliminar las manchas: usándolo de forma constante y adaptando su estilo de vida puede conseguir excelentes resultados. Sin embargo, antes de lanzarte a probar productos o remedios caseros, es importante entender sus riesgos y beneficios. ¿Es realmente una buena opción para ti?

¿Cómo Funciona el Blanqueamiento Dental Casero?
El blanqueamiento dental casero generalmente incluye productos como pastas dentales blanqueadoras, tiras o geles con peróxido de hidrógeno o bicarbonato de sodio. Estos productos están diseñados para eliminar las manchas superficiales en los dientes, pero no siempre son efectivos para manchas profundas o de largo plazo. Los dentífricos tradicionales, no blanqueadores, están formulados para mejorar la salud bucal y ayudar a eliminar sólo algunas de las manchas superficiales y, al mismo tiempo, limpiar los dientes. Por el contrario, los dentífricos blanqueadores están diseñados para hacer que tu sonrisa sea más brillante. Pero ¿cómo funcionan?
Los blanqueadores dentales penetran a través de los poros del esmalte dental para así poder disolver las manchas que hacen que nuestros dientes no sean blancos. Los dentífricos blanqueadores pueden tener diferentes composiciones en función del tipo de mancha sobre la que se supone que deben actuar. Estas reacciones pueden tener que ver con las manchas permanentes de ciertos productos como el alquitrán y la nicotina del tabaco, los taninos del café o el vino, pero también con los cambios en el pH que estos productos provocan. Adicionalmente pueden intervenir otros factores en el color de la dentina, como una bajada de defensas o la acción de determinados medicamentos, etc.
Aunque los productos comerciales pueden ofrecer resultados moderados, es crucial usarlos de acuerdo con las instrucciones para evitar daños en el esmalte dental. Además, los remedios caseros, como el uso de bicarbonato de sodio o el aceite de coco, pueden ser tentadores, pero no siempre están respaldados por evidencia científica. De hecho, algunas prácticas pueden resultar abrasivas y dañar tus dientes a largo plazo. No sólo hay que elegir el dentífrico blanqueador adecuado, sino también ser constante en su uso. ¿Cuánto tiempo se tarda en ver los primeros resultados? Al mismo tiempo, es necesario actuar sobre las causas que provocaron los dientes manchados.
Por supuesto, no se trata de renunciar a lo que nos gusta (excepto el tabaco, que realmente deberías intentar dejar), pero puedes cepillarte los dientes después de comer y beber agua durante las comidas para enjuagarte la boca. Si busca un blanqueamiento más inmediato, es posible que necesite algo más que una pasta de dientes específica y tiene varias opciones a su disposición. Algunas son tratamientos que puede realizar en la consulta de su dentista, mientras que otras pueden ser remedios que puede adquirir en farmacias.

Todo sobre el blanqueamiento dental y sus riesgos
Riesgos del Blanqueamiento Dental Casero
Aunque puede parecer una alternativa económica y accesible, existen varios riesgos asociados. Uno de los mayores peligros es el daño al esmalte dental, que es la capa protectora de los dientes. El uso excesivo de productos blanqueadores sin supervisión profesional puede debilitar el esmalte, haciendo que tus dientes sean más susceptibles a la caries y la sensibilidad dental.
Asimismo, algunos productos de blanqueamiento casero pueden causar irritación en las encías, lo que puede ser doloroso y difícil de tratar. A diferencia de los tratamientos profesionales, los productos caseros no suelen estar diseñados para adaptarse a las necesidades individuales de cada paciente, lo que aumenta el riesgo de efectos secundarios no deseados. Desde hace unos años es posible comprar kits o productos de blanqueamiento dental, que pretenden emular a los utilizados por los odontólogos, cuya concentración en peróxido es mayor. Estos dispositivos prometen unos dientes más blancos pero…¡a qué precio! Cabe destacar que según la legislación vigente, la libre comercialización de productos cuya concentración de peróxido sea mayor del 0,1% es ilegal.
Llos productos con mayor concentración de peróxidos tienen efectos perjudiciales en la mucosa oral y en la estructura dental. En su prueba sometió durante un mes a treinta voluntarios a la limpieza con productos de trece marcas comerciales de pastas blanqueadoras, utilizadas varias veces al día. Como ves, las pastas blanqueadoras comerciales o los kits blanqueadores no son una buena opción para conseguir el efecto que deseas.
Es importante subrayar que estas pastas no son tratamientos blanqueadores profesionales, sino productos cosméticos. Su acción se limita a la parte externa del esmalte y no alteran el color interno del diente. El uso de este tipo de pastas de dientes genera dudas frecuentes entre los pacientes. La mayoría de pastas blanqueadoras contienen partículas abrasivas que ayudan a eliminar manchas externas producidas por café, té, tabaco o vino. Aunque ayudan a mantener los dientes más limpios y luminosos, las pastas de dientes blanqueadoras no aclaran varios tonos el color dental. Pero entonces, ¿funcionan las pastas de dientes blanqueadoras o no? Antes de incorporar una pasta de dientes blanqueadora a tu rutina, es fundamental tener en cuenta tu estado de salud bucodental y los objetivos que deseas alcanzar. En resumen, estas pastas pueden ser un complemento interesante en ciertos casos, pero no son un producto universal.
El Peróxido de Hidrógeno: ¿Qué Debes Saber?
El peróxido de hidrógeno, químicamente conocido como H₂O₂, es una sustancia comúnmente utilizada en los hogares y en el sector sanitario. En los últimos años, también se ha vuelto popular como un agente para blanquear los dientes. ¿Qué es verdad y qué es mito? ¿Cuáles son los beneficios y los riesgos de usar peróxido de hidrógeno en los dientes?
Peróxido de hidrógeno es un líquido incoloro con fuertes propiedades oxidantes. Es conocido por sus efectos desinfectantes y se utiliza para desinfectar heridas, como blanqueador y, en algunos casos, como un agente para blanquear los dientes. El principio del efecto blanqueador del peróxido de hidrógeno se basa en su capacidad para descomponer moléculas orgánicas que causan la decoloración de los dientes. Cuando el peróxido de hidrógeno entra en contacto con los dientes, descompone las moléculas cromógenas (aquellas que causan manchas) en partículas más pequeñas, menos coloridas o incoloras.
Muchas personas usan peróxido de hidrógeno en casa como una alternativa económica a los procedimientos de blanqueamiento profesional. La concentración común de peróxido de hidrógeno para uso doméstico es alrededor del 3%, lo que se considera relativamente seguro para un uso a corto plazo. También existen kits de blanqueamiento casero que contienen concentraciones más altas de peróxido de hidrógeno (alrededor del 6-9%). Las clínicas dentales ofrecen procedimientos de blanqueamiento profesional que a menudo incluyen concentraciones más altas de peróxido de hidrógeno (hasta un 38%). Estos procedimientos son más seguros ya que se realizan bajo la supervisión de expertos.
Se ha demostrado que el peróxido de hidrógeno es un agente blanqueador efectivo que puede aclarar significativamente los dientes. Esta sustancia actúa penetrando el esmalte y descomponiendo las moléculas de pigmento que causan la decoloración de los dientes. Gracias a su capacidad para descomponer manchas y decoloraciones, el peróxido de hidrógeno se utiliza a menudo en varios productos de blanqueamiento dental. Además de su eficacia, el peróxido de hidrógeno es muy accesible. Se puede comprar fácilmente en farmacias y es relativamente económico en comparación con los procedimientos de blanqueamiento profesional ofrecidos por los dentistas.
Otra ventaja del peróxido de hidrógeno es su flexibilidad de uso. Puede ser utilizado en diversas formas, lo que permite a los usuarios elegir el método de aplicación que mejor les convenga. Por ejemplo, como enjuague bucal, que se integra fácilmente en la higiene oral diaria, o como gel que se aplica directamente en los dientes mediante aplicadores especiales. Otra forma popular son las tiras blanqueadoras, que están impregnadas con peróxido de hidrógeno y simplemente se adhieren a los dientes durante un período de tiempo. Esta variedad de usos permite a las personas personalizar el procedimiento de blanqueamiento según sus necesidades y estilo de vida.
Riesgos Asociados al Uso de Peróxido de Hidrógeno
El uso de peróxido de hidrógeno no está exento de riesgos. Los efectos secundarios más comunes incluyen irritación de las encías, sensibilidad dental y daño al esmalte. Las concentraciones más altas de peróxido de hidrógeno pueden causar irritación e inflamación de las encías, lo cual puede ser incómodo y dar lugar a otros problemas bucales. El uso prolongado de esta sustancia también puede aumentar la sensibilidad dental a cambios de temperatura y alimentos dulces o ácidos, lo cual puede ser muy molesto en la alimentación diaria. Otro riesgo es el daño al esmalte.
Alternativas Seguras para Blanquear los Dientes
Si estás buscando alternativas más seguras para blanquear los dientes, aquí hay algunas opciones que vale la pena considerar. El carbón activado es uno de los métodos populares que algunas personas utilizan para blanquear los dientes. Otra alternativa es la mezcla de fresas trituradas y bicarbonato de sodio. Esta combinación es un método casero popular para blanquear los dientes, pero hay que tener cuidado, ya que puede ser abrasiva y con uso frecuente puede dañar el esmalte dental. También hay pastas blanqueadoras profesionales disponibles que contienen concentraciones más bajas de agentes blanqueadores y son más suaves con el esmalte dental.
Consejos para un Uso Seguro del Peróxido de Hidrógeno
Si decides usar peróxido de hidrógeno para blanquear los dientes, aquí hay algunos consejos para hacerlo de manera segura:
- Elige la concentración correcta, siendo la concentración más segura para el uso doméstico del 3%.
- No uses peróxido de hidrógeno con demasiada frecuencia, idealmente limita su uso a una vez por semana, para evitar dañar el esmalte.
Blanqueamiento Dental Profesional: Una Opción Segura y Efectiva
Si deseas obtener resultados visibles y duraderos sin comprometer la salud de tus dientes, lo mejor es optar por un tratamiento de blanqueamiento dental profesional. Los dentistas utilizan técnicas y productos de alta calidad que son mucho más efectivos y seguros que las opciones caseras. Además, durante un tratamiento profesional, el dentista puede personalizar el proceso según el estado de tus dientes y asegurarse de que los resultados sean óptimos.
La estética dental se ha convertido en una de las prioridades más comunes entre los pacientes que acuden a consulta. A pesar de que muchas personas buscan la mejor pasta de dientes blanqueadora de dientes, el método más efectivo es un blanqueamiento realizado por un dentista. Si quieres mejorar la estética de tu sonrisa y lucir unos dientes blancos, nuestra recomendación es que empieces un tratamiento profesional en una clínica dental.
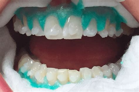
Se trata del blanqueamiento dental combinado, que se divide en una parte ambulatoria -realizada en casa- y una única sesión en clínica. Tras ponerte unas férulas con gel blanqueador durante dos semanas, tendrás una sesión de lámpara de luz fría para potenciar el efecto del producto. Para asegurar los resultados, tendrás que usar las férulas otras dos semanas más. Esta combinación es la que asegura unos efectos permanentes en muy poco tiempo, solo un mes. La concentración de gel blanqueador aplicada en las férulas es de entre el 10-16% de peróxido.
El blanqueamiento dental combinado no tiene efectos secundarios permanentes, pero algunas personas experimentan un leve aumento de su sensibilidad dental. Si es tu caso, tu higienista dental podrá recomendarte el uso de pastas desensibilizantes que ayuden a mitigar esta molesta sensación. Aun así, es una sensibilidad totalmente pasajera que no te impedirá en absoluto hacer vida normal.
Consideraciones Adicionales sobre el Blanqueamiento Dental
Aunque el blanqueamiento dental profesional está considerado un procedimiento seguro cuando se realiza bajo supervisión odontológica, no todas las personas son candidatas ideales. Por ejemplo, las personas que presentan problemas periodontales activos, caries sin tratar o hipersensibilidad dental severa no deberían someterse a un blanqueamiento hasta haber solucionado estos problemas.
Uno de los errores más comunes es pensar que cualquier tipo de mancha en los dientes puede eliminarse con un blanqueamiento. Sin embargo, las manchas causadas por traumatismos, medicamentos como tetraciclinas, o fluorosis no suelen responder bien al tratamiento convencional. Otro punto importante es que el blanqueamiento dental no tiene efecto sobre empastes, fundas, carillas o coronas. Esto significa que, si tienes restauraciones visibles, el resultado final puede ser desigual, con zonas más claras que otras.
En el caso de mujeres embarazadas o en periodo de lactancia, no se recomienda realizar un blanqueamiento dental, ya que no existen estudios concluyentes sobre la seguridad del procedimiento en estas etapas. Lo mismo ocurre con los menores de 18 años, en quienes el uso de peróxidos puede afectar el esmalte y la estructura dental en desarrollo.
Efectos Secundarios Comunes
Uno de los efectos secundarios más comunes tras un blanqueamiento es la sensibilidad dental. Puede manifestarse como molestias ante bebidas frías o calientes, o incluso al respirar aire por la boca. En algunos casos también se reportan molestias en la garganta o sensación de escozor, especialmente si el producto entra en contacto con la mucosa bucal. Otro efecto secundario frecuente es la irritación de las encías. Cuando el gel blanqueador entra en contacto con los tejidos blandos, puede provocar inflamación, enrojecimiento o incluso pequeñas úlceras. Cuando el tratamiento se realiza de forma controlada, no hay evidencia de que el blanqueamiento dental cause daños permanentes en los nervios dentales ni en las encías.
Legislación Europea y Productos Blanqueadores
Como se explica en un informe publicado por la Dirección General de Salud y Seguridad Alimentaria de la UE, los dentífricos blanqueadores que se comercializan en la Unión Europea libremente suelen contener menos del 0,1% de peróxido de hidrógeno en su composición. Las pastas dentales que se comercializan en cualquier supermercado y gran superfície tan solo pueden eliminar las manchas que se encuentran adheridas a la placa dental pero no consiguen cambiar la tonalidad del diente, es decir, que realmente ayudan poco o nada a conseguir un cambio real y duradero.
Varias organizaciones de consumidores europeas, con las que OCU ha colaborado en distintos estudios de cosméticos, han hecho públicos los resultados de una investigación de 2020, en la que analizaron 15 productos para blanquear los dientes, de diferentes categorías, que se venden online. Todos los blanqueadores fueron comprados en plataformas online internacionales: AliExpress, Wish, LightInTheBox y Amazon. Según la legislación de la Unión Europea, los fabricantes deben incluir siempre una serie de elementos en el etiquetado: los datos del fabricante, la vida útil del producto, la lista de ingredientes, el número de lote... Sin embargo, en el estudio se detectaron etiquetas incorrectas en algunos productos, ya que carecían de la lista de ingredientes, de unas indicaciones o precauciones de uso o la fecha de caducidad. Eso a veces pasa en productos que proceden de otros países con una legislación diferente a la nuestra.
Según el estudio realizado por las organizaciones de consumidores europeas, de los 15 productos comprados, hubo 5 que no llegaron a su destino. Hay que tener en cuenta que la blancura de los dientes viene determinada por la dentina, un tejido duro del interior de los dientes. La función del peróxido de hidrógeno es llegar a esta parte del diente. La legislación sobre este tipo de productos en la Unión Europea establece unos límites sobre el compuesto. Cinco de estos productos tienen más de un 1% pero menos de un 6% de peróxido de hidrógeno, o sea, que podrían venderse para uso profesional, pero no directamente a los consumidores.
En resumen: nada menos que 7 de los 10 productos blanqueadores comprados online incluían peróxido de hidrógeno en una cantidad de 14 a 70 veces mayor que permitida en la Unión Europea en productos cosméticos de venta directa al consumidor para mayores de 18 años. Actualmente, tras las denuncias de las asociaciones de consumidores, algunos de estos productos ya no están a la venta, pero hay otros, con composición similar.
La reacción adversa más señalada por los usuarios de blanqueadores dentales es el aumento de la sensibilidad dental. Con concentraciones del 0,1% al 6% de peróxido de hidrógeno, esta sustancia puede causar problemas dentales, como daños en el esmalte y la dentina. Por eso nuestro consejo es que si quieres blanquear tus dientes, pidas cita con tu dentista. Solo él puede evaluar los riesgos que conlleva el blanqueamiento.
Duración del Efecto y Mantenimiento
La duración del efecto del blanqueamiento dental varía en función de diversos factores, aunque suele mantenerse entre 12 y 24 meses. Factores como el consumo de café, té, vino tinto o tabaco, así como una higiene dental deficiente, pueden acelerar la aparición de manchas y reducir la duración del tratamiento.
El tono conseguido tras el blanqueamiento dental tiende a perder intensidad de forma gradual. No obstante, realizar sesiones de mantenimiento periódicas o tratamientos complementarios puede ayudar a conservar un color más uniforme.
Conclusión
¿Es el peróxido de hidrógeno un mito o un milagro para los dientes? La respuesta está en un punto intermedio. El peróxido de hidrógeno puede ser una herramienta efectiva para blanquear los dientes si se usa correctamente y con precaución. Sin embargo, su uso no está exento de riesgos y para algunas personas puede ser mejor buscar métodos alternativos de blanqueamiento dental. Recuerda que los dientes sanos y una sonrisa hermosa son el resultado no solo de una buena higiene, sino también de un estilo de vida saludable en general.