Las pigmentaciones oscuras en la mucosa bucal pueden afectar la estética de tu sonrisa. Afortunadamente, el peeling químico gingival es un procedimiento efectivo para devolver el color rosado a las encías que, con el tiempo y el tabaquismo, se han oscurecido progresivamente.

En estética dental, la proporción entre dientes y encías es crucial. Muchas veces, la percepción de dientes cortos se debe a que están cubiertos por un exceso de encía. La cirugía plástica periodontal busca armonizar esta relación, siguiendo normas estéticas precisas.
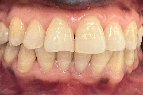
El color rosado de las encías es el reflejo de una sonrisa sana, pero con el paso del tiempo y los malos hábitos, como el tabaco y una mala dieta, pueden perder ese color transformándose en un color oscuro color café. Pero gracias a las nuevas e innovadoras terapias podemos recuperar este noto rosado desde el primer día en consulta.
¿Qué es el Peeling Gingival?
El peeling gingival es un tratamiento de microabrasión que elimina las capas más superficiales de las encías, deshaciéndose de las manchas oscuras sin dañarlas. Es un procedimiento seguro y poco molesto, realizado con anestesia local para evitar cualquier dolor.
El ‘peeling gingival’ es un tratamiento conservador que permite actuar frente a estas manchas en una o varias sesiones, hasta conseguir una encía rosada.

Esta técnica de micro-abrasión elimina las capas superficiales teñidas y la reaparición de las manchas dependerá de cada persona, si fuma o su dieta es adecuada.
Causas del Oscurecimiento de las Encías
- Tabaco: La nicotina puede causar tinciones y favorecer enfermedades periodontales.
- Amalgama: Los materiales utilizados en restauraciones dentales pueden alterar el color de las encías.
- Melanosis Gingival: Alteración en el color de la encía, que adquiere una tonalidad oscura ocasionada por una acumulación de melanina.
Procedimiento Paso a Paso del Peeling Gingival
Es un tratamiento muy sencilloy, además, indoloro gracias a la aplicación de anestesia por lo que el paciente no siente nada.
- Evaluación Inicial: Se realiza una primera visita para evaluar el estado de las encías y determinar la causa del oscurecimiento. Realizamos una primera visita donde obtenemos los modelos o moldes de la boca.
- Preparación: Se aplica anestesia local para asegurar la comodidad del paciente durante el procedimiento.
- Microabrasión: Se eliminan las capas superficiales de la encía mediante técnicas de microabrasión. Consiste en la eliminación de la capa superficial de la encía. Esto nos permite homogeneizar el color o el volumen en la zona tratada.
- Finalización: Se dan indicaciones post-tratamiento para asegurar una correcta cicatrización y mantenimiento del color rosado. Le citamos a la semana y a los 15 días para terminar de realizar ajustes y pulidos de las restauraciones.
Otros Tratamientos de Estética Dental
Además del peeling gingival, existen otros tratamientos para mejorar la estética de tu sonrisa:
- Carillas Cerámicas: Láminas finas de porcelana que se colocan en la cara externa del diente para mejorar su apariencia. Las carillas permiten cambiar la forma, el color y la posición de los dientes de una manera conservadora, y proporcionando a los pacientes unos resultados altamente naturales y duraderos.
- Composites Estéticos: Resinas compuestas utilizadas para restauraciones dentales con resultados estéticos muy satisfactorios. Los composites estéticos se utilizan para tratar desgastes, dientes fracturados y los triángulos negros que quedan entre dientes en los pacientes periodontales.
- Blanqueamiento Dental: Tratamiento conservador para modificar el color del diente, respetando sus tejidos. Mediante el tratamiento de blanqueamiento dental se modifica el color del diente, pero se respetan sus tejidos (esmalte y dentina).

La Importancia de las Encías en la Estética Dental
Las encías saludables son fundamentales para una sonrisa bonita. Alteraciones en la forma, color o contorno de la encía pueden afectar la estética general. Algunas de estas alteraciones incluyen:
- Sonrisa Gingival: Se muestra más de 3mm de encía al sonreír. Si el origen de la sonrisa gingival es dentario, el tratamiento consiste en recontornear el exceso de encía, exponiendo la totalidad de la corona dentaria.
- Recesiones Gingivales: Retracción de la encía que expone parte de la raíz del diente. En la clínica se trata la recesión gingival mediante la aplicación de tejido conectivo, recuperando la banda de encía adecuada alrededor de la raíz.
Tratamientos Periodontales
El primer paso en la planificación de un tratamiento dental es comprobar la salud de las encías del paciente. Es la inflamación de las encías, generalmente asociado a una mala higiene bucal aunque hay otras causas. ¿Que es la periodontitis o piorrea? La enfermedad periodontal es una patología de origen bacteriano y de carácter crónico que cursa con brotes de actividad.
La primera fase del tratamiento periodontal se denomina Raspado y Alisado radicular - erróneamente llamado curetaje. Eliminamos la placa bacteriana y cálculo (sarro) que hay sobre la superficie de los dientes y bajo la línea de la encía. Se lleva a cabo con instrumentos manuales denominados curetas. Existen diferentes tipos de curetas según su punta activa, ya que dicha parte de la cureta se adapta específicamente a la superficie del diente a tratar. Está indicado cuando existe una gingivitis o periodontitis.
Tras el raspado y alisado radicular el paciente puede notar un aumento en la sensibilidad dental, casi siempre al frío y de forma pasajera. También es posible que perciba la aparición de espacios entre sus dientes siempre que sufra una periodontitis, es decir, pérdida de soporte óseo, ya que la encía se desinflama.
Se realiza para corregir alteraciones en el color o cicatrices en la encía. Consiste en la eliminación de la capa superficial de la encía. Esto nos permite homogeneizar el color o el volumen en la zona tratada.
Esta técnica consiste en la remodelación de la encía de uno o más dientes. También se llama técnica de alargamiento coronario o alargamiento de corona. Tiene indicaciones estéticas y restauradoras.
Corregimos la estética de la sonrisa en casos de sonrisa gingival, donde al sonreír se enseña mucha encía. También en casos de asimetría de márgenes de la encía de los dientes.
Consejos Antiaging para una Sonrisa Joven
La doctora revela algunas claves para recuperar el aspecto rejuvenecido de dientes y encías y evitar así que tu boca muestre signos de envejecimiento:
- Dientes amarillos y manchas. Tratamiento: un blanqueamiento dental puede ser la solución.
- Arrugas en la comisura de los labios. Tratamiento: se pueden aplicar unas carillas de composite o de cerámica en los dientes.
- Encías oscurecidas. Tratamiento: “Un peeling gingival es el tratamiento antiaging ideal para eliminar las capas superficiales teñidas de las encías y recuperar su juvenil tono rosado”, afirma la odontóloga.
Resumen
El peeling gingival es una solución efectiva y segura para combatir las encías oscuras y recuperar una sonrisa rosada y saludable. Combinado con otros tratamientos de estética dental, puedes lograr una sonrisa rejuvenecida y armoniosa.
Así se solucionan las encías retraídas (recesión gingival)
tags: #peeling #gingival #procedimiento