La pérdida de hueso dental es un problema que afecta a muchas personas y puede comprometer la salud bucal si no se trata a tiempo. Se trata de una afección en la que el tejido óseo que sostiene los dientes disminuye progresivamente, provocando movilidad dental y, en casos avanzados, la pérdida de piezas dentales.
El hueso dental, específicamente el hueso alveolar, juega un papel fundamental en la salud y estética bucal de un individuo. Sin embargo, muchas personas no son conscientes de su importancia hasta que comienzan a enfrentar problemas relacionados con su pérdida. La pérdida de hueso dental no solo afecta la estructura facial y la apariencia de una persona, sino que también tiene serias implicaciones para la funcionalidad de la boca.
En este artículo, abordaremos a fondo la naturaleza y la función del hueso alveolar, las razones detrás de su pérdida, las consecuencias a las que lleva y las soluciones disponibles.

¿Qué es la Pérdida de Hueso Dental?
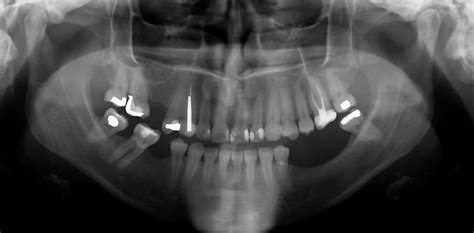
La pérdida de hueso dental se refiere al deterioro o disminución de la masa ósea que rodea y sostiene los dientes. Este hueso alveolar es esencial para mantener los dientes firmes en su lugar y proporcionar un soporte adecuado para masticar y hablar. Cuando se pierde masa ósea en esta zona, los dientes pueden comenzar a moverse, lo que lleva a problemas de estabilidad y funcionalidad en la boca.
Características de la pérdida de hueso dental:
- Reducción de la masa ósea: Disminución gradual del tejido óseo en la mandíbula o maxilar.
- Exposición de las raíces dentales: Al reducirse el hueso, las raíces de los dientes pueden quedar expuestas.
- Cambios en la estructura facial: En casos graves, la pérdida de hueso dental puede afectar la apariencia del rostro.
Este deterioro óseo puede progresar de manera lenta pero constante, y la intervención temprana es clave para evitar complicaciones graves.
El hueso alveolar, ubicado en el maxilar superior e inferior, contiene las cavidades donde se alojan las raíces de los dientes. Cada diente está fijado a un hueco denominado alvéolo. Dentro del hueso hay perforaciones que contienen los vasos sanguíneos. El hueso alveolar es dinámico y puede cambiar en respuesta a estímulos, como la presión ortodóntica o la pérdida de un diente.
Causas Principales de la Pérdida de Hueso Dental
La pérdida de hueso dental tiene diversas causas, algunas de las cuales son prevenibles con una buena higiene y cuidados dentales. A continuación, enumeramos las principales causas de este problema:
- Enfermedad Periodontal (Periodontitis): La periodontitis, o piorrea, es una causa principal de la pérdida de hueso dental. Esta infección bacteriana afecta las encías y el hueso que sostiene los dientes. Cuando alguien presenta esta enfermedad periodontal, padecen de inflamación crónica de las encías y la degradación del tejido de soporte de los dientes, incluyendo el hueso alveolar. Las bacterias en la placa dental son las responsables de esta infección que progresa hacia el hueso.
- Pérdida o extracción de dientes: La causa más habitual de disminución de la densidad ósea es la pérdida de dientes que no se reemplazan. Cuando se pierde un diente y no se reemplaza a tiempo, el hueso que lo sostenía deja de recibir estímulos y comienza a reabsorberse. La falta de estímulo de masticación en esa área causa la pérdida gradual de hueso.
- Osteoporosis: La osteoporosis es una enfermedad que afecta la densidad ósea del cuerpo, incluyendo los huesos maxilares.
- Traumatismos o lesiones dentales: Golpes fuertes o lesiones en los dientes pueden dañar el hueso y llevar a su deterioro. Las fracturas o desplazamientos de dientes afectan también el hueso circundante.
- Bruxismo: El hábito de rechinar los dientes (bruxismo) genera una presión excesiva sobre el hueso que sostiene las piezas dentales.
- Mala alimentación: Una dieta pobre en calcio, vitamina D y otros minerales esenciales puede afectar la salud ósea en general, incluyendo la del maxilar.
- Enfermedades sistémicas: Condiciones como la osteoporosis afectan la densidad ósea en todo el cuerpo, incluida la mandíbula. Algunas enfermedades sistémicas reducen la capacidad del cuerpo para mantener la masa ósea.
- Diabetes: La diabetes de tipo 2 puede aumentar el riesgo de enfermedades periodontales, lo que a su vez puede llevar a la pérdida de hueso dental.
- Dentaduras postizas: Al utilizar una dentadura postiza que no va anclada al maxilar, no se estimula al hueso alveolar que está debajo.
Evitar estas causas, en la medida de lo posible, ayuda a mantener una buena salud ósea dental y prevenir complicaciones a largo plazo.

¿Cómo evitar la retracción de encía y hueso después de una Extracción Dental?
Consecuencias de la Pérdida de Hueso Dental
Cuando se produce una pérdida de hueso dental, esto puede tener consecuencias no solo estéticas sino también -y más importante- para tu salud. La pérdida de hueso dental no solo afecta los dientes y las encías, sino que puede tener repercusiones en la salud bucal y la calidad de vida en general.
Desde el punto de vista estético, la pérdida de hueso dental provoca un aspecto más envejecido a la persona que la sufre, ya que los labios se retraen y cambia la estructura ósea de la cara. Pero, además de a tu imagen, también tiene consecuencias a la hora de realizar implantes y dentaduras, ya que estos tratamientos se complican.
Estos son algunos de los efectos negativos que puede provocar:
- Movilidad de los dientes: Uno de los síntomas más evidentes de la pérdida de hueso dental es la movilidad de los dientes. Al no contar con suficiente soporte óseo, los dientes pueden moverse, lo cual dificulta la masticación y el habla.
- Pérdida de estabilidad: La reducción de masa ósea debilita las encías y los dientes, aumentando el riesgo de perder dientes adicionales.
- Cambios en la apariencia dental: Los dientes se pueden volver inestables, y las encías retroceden, la apariencia de la sonrisa puede cambiar.
- Cambios en la apariencia facial: La disminución de hueso en el maxilar o la mandíbula puede afectar la estructura del rostro, provocando un aspecto envejecido. Retraimiento de los labios: Al reducirse el volumen y la densidad del hueso maxilar, los labios tienden a retraerse.
- Mayor riesgo de infecciones: La exposición de las raíces dentales y el debilitamiento de las encías incrementan el riesgo de infecciones y abscesos.
- Problemas con las dentaduras postizas: Si se usan prótesis removibles para reemplazar dientes ausentes, es posible que dejen de ajustarse adecuadamente debido a la pérdida ósea. El principal problema de las prótesis removibles es la reabsorción del hueso.
- Dificultad para colocar implantes dentales: La falta de hueso adecuado dificulta la colocación de implantes dentales para reemplazar dientes perdidos.
Estas consecuencias pueden afectar significativamente la funcionalidad y estética de la boca, por lo que es crucial abordar la pérdida de hueso dental de forma temprana y adecuada.

Opciones de Tratamiento para la Pérdida de Hueso Dental
Existen varias opciones de tratamiento para la pérdida de hueso dental, dependiendo de la causa y el grado de deterioro. Aquí presentamos algunas de las alternativas más efectivas para restaurar y proteger la salud ósea dental:
Tratamientos Principales:
- Injerto óseo: En casos de pérdida total de hueso, la solución principal implica un injerto de hueso para restablecer la base ósea necesaria para la colocación de implantes dentales. Este tipo de injertos también se emplea para reparar el hueso dañado y perdido alrededor de los dientes, como consecuencia de una infección de las encías. Este procedimiento implica la colocación de material óseo en el área afectada para promover la regeneración del hueso perdido. Es una técnica efectiva para recuperar volumen óseo y crear una base sólida para posibles implantes dentales.
- Implantes dentales: Los implantes ayudan a estimular el hueso de la mandíbula al proporcionar una raíz artificial que reemplaza el diente perdido. Este estímulo ayuda a prevenir la pérdida ósea futura y restaura la funcionalidad y apariencia de la boca. Los implantes sustituyen las raíces de los dientes y se fusionan con ellos mediante la osteointegración con los tejidos bucodentales.
- Regeneración tisular guiada: Esta técnica emplea una membrana para separar el hueso de las encías y permitir que el hueso se regenere. Es común en tratamientos de periodontitis avanzada y otros casos de pérdida ósea significativa.
- Plasma rico en plaquetas (PRP): El PRP utiliza factores de crecimiento tomados de la propia sangre del paciente para estimular la regeneración ósea y de tejidos blandos. Es un tratamiento regenerativo que acelera la cicatrización y mejora los resultados de injertos óseos y otros procedimientos.
Cada uno de estos tratamientos tiene beneficios específicos y debe ser evaluado por un especialista que pueda recomendar el enfoque más adecuado para cada paciente.
Tabla Resumen de Tratamientos
| Tratamiento | Descripción | Beneficios |
|---|---|---|
| Injerto Óseo | Colocación de material óseo para regenerar el hueso perdido | Recupera volumen óseo, crea base para implantes |
| Implantes Dentales | Raíz artificial que estimula el hueso | Previene pérdida ósea, restaura funcionalidad |
| Regeneración Tisular Guiada | Membrana para separar hueso y encías, permitiendo regeneración | Eficaz en periodontitis avanzada |
| Plasma Rico en Plaquetas (PRP) | Factores de crecimiento de la sangre del paciente | Acelera cicatrización, mejora resultados |
Medidas preventivas:
- Mantén una buena rutina de higiene dental para eliminar las bacterias de la cavidad bucal.
- Una alimentación equilibrada y el deporte estimulan el sistema inmunológico.
- Ante la pérdida o extracción de una pieza dental, sustitúyela inmediatamente por un implante dental.
- Una buena higiene bucal, visitas regulares al dentista y un manejo adecuado de las condiciones médicas subyacentes son fundamentales para prevenir la pérdida de hueso dental y mantener una salud bucal óptima.
Si crees que has perdido el hueso maxilar o te falta alguna pieza dental, no lo dejes pasar y busca una solución. Pide tu primera consulta gratis y nuestro equipo de periodoncistas e implantólogos te realizará un estudio completo. Además, te recomendarán un tratamiento para solventar el problema de forma rápida y eficaz.
tags: #perdida #de #hueso #dental #tratamiento