Después de un tratamiento de ortodoncia, es crucial mantener los dientes en su nueva posición para evitar que regresen a su estado original. Aquí es donde entran en juego las placas inferiores y otros retenedores de ortodoncia. Estos dispositivos, ya sean removibles o fijos, juegan un papel vital en la consolidación de los resultados ortodónticos.

¿Qué son las Placas Activas?
Las placas activas son un tipo de ortodoncia removible que aplica fuerzas discontinuas sobre los dientes para lograr resultados notables. Generalmente, consisten en una lámina fabricada en plástico o acrílico que se coloca en la encía superior, permitiendo al paciente retirarlas y colocarlas por sí mismo.
Tipos de Placas Activas
- Placa de Expansión: Utilizada para la expansión transversal del maxilar y la mandíbula.
- Placa Schwartz: Aparato con doble tornillo para expansiones transversales.
- Placa de Expansión Bertoni: Tornillo de expansión en tres sectores.
En Tecnodent, laboratorio de ortodoncia en Bilbao, se ofrecen distintos tipos de placas activas, como la placa de expansión. Si necesitas una placa de expansión o cualquier otra placa activa, en Ortodoncia Tecnodent son expertos en aparatología ortodóntica, y están en constante formación para el desarrollo de nuevas tecnologías.
Retenedores en Ortodoncia: La Clave para Consolidar Resultados
La función principal de los retenedores en ortodoncia es prevenir que los dientes busquen recuperar su posición original tras el tratamiento. Para consolidar la ortodoncia del paciente, los retenedores ayudan a que no se produzcan movimientos dentales significativos.
Tipos de Retenedores Removibles
- Hawley Circunferencial: Compuesto por un arco labial y acrílico, permite un mayor número de contactos interoclusales.
- Retenedores Transparentes Essix: Hechos de una plancha plástica, son populares por su estética.
- Férula de Descarga: También puede utilizarse como retenedor.
Los retenedores removibles son cómodos porque el paciente puede quitárselos para comer o limpiarse los dientes.
Retenedores Fijos
Los retenedores fijos son inamovibles y deben ejercer su función durante todo el día. Para garantizar la mayor precisión y eficacia de los retenedores fijos, en Ortodoncia Tres Torres digitalizan todo su proceso de fabricación.
Ortodoncia Removible: Una Alternativa Cómoda y Eficaz
La ortodoncia removible es una opción eficaz y cómoda para corregir problemas de alineación dental en cualquier etapa de la vida. A diferencia de la ortodoncia fija tradicional con brackets, los aparatos removibles permiten al paciente retirarlos y colocarlos según sea necesario, ofreciendo mayor flexibilidad y comodidad.

Tipos de Ortodoncia Removible
- Aparatos Funcionales: Dispositivos que corrigen problemas de maloclusión mediante fuerzas biomecánicas.
- Placa de Hawley: Mantiene los dientes en la posición correcta después del tratamiento con brackets.
- Bionator: Corrige problemas de maloclusión esquelética expandiendo el paladar y adelantando la mandíbula.
- Disyuntor Palatino: Crea espacio en la arcada dental superior separando gradualmente los huesos maxilares.
- Alineadores Invisibles: Hechos a medida con tecnología de impresión 3D para mover gradualmente los dientes.
- Invisalign: Sistema de ortodoncia invisible y removible para mejorar la sonrisa sin que se note el tratamiento.
LOS RETENEDORES DESPUÉS DE LA ORTODONCIA - LOS DIENTES SIEMPRE SE VAN A MOVER LUEGO DE LOS BRACKETS.
Retención: Manteniendo la Estabilidad a Largo Plazo
El manejo del tiempo posterior a la finalización del caso es tan importante como el propio tratamiento. Existen diferentes corrientes sobre los métodos de retención, y muchos profesionales han defendido la necesidad de retener un caso ortodóncicamente tratado durante un cierto tiempo.
La literatura informa sobre el uso de aparatos funcionales o aparatología extraoral como medio de retención en pacientes con crecimiento remanente post-tratamiento o entre fases del tratamiento ortodóncico.
Consideraciones en la Retención
- Placa de Hawley: Puede utilizarse tanto para la arcada superior como inferior.
- Retenedor Circunferencial o de Begg: Facilita un mayor número de contactos interoclusales durante la retención por movimientos verticales.
- Retenedores Termoplásticos: Fáciles de fabricar, de bajo coste y con buena estética.
Retenedores Essix: Diseño, Fabricación y Uso
El Essix es un tipo de retenedor dental que sirve para mantener la posición alcanzada por los dientes. Para mantener la estabilidad de los resultados, es fundamental que los tejidos se habitúen a la nueva posición de los dientes.
Características de los Retenedores Essix
- Diseño Personalizado: Confeccionados a medida para cada paciente.
- Fabricación: Hechos con un material transparente de tipo plástico.
- Uso Diario: Posiblemente recomendado durante todo el día al inicio, excepto para comer y cepillarse los dientes.
- Revisiones: Periódicas para comprobar la estabilidad de los resultados.
Cuidados de los Retenedores Essix
- Lavar después de cada uso.
- No usar pasta de dientes para limpiar.
- Realizar una limpieza más profunda una vez a la semana.
- Retirar antes de comer o beber.
- Guardar en su estuche para evitar pérdidas.
- Evitar someter a altas temperaturas.
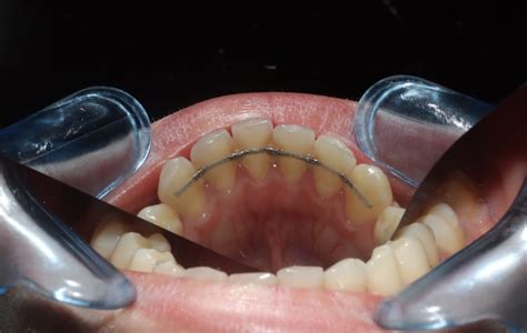
Otros Tipos de Retenedores Fijos
Además de los retenedores removibles, existen diversas opciones de retenedores fijos que ofrecen diferentes ventajas y desventajas.
Retenedores Fijos Comunes
- Retenedores de Alambre Trenzado: Ofrecen mayor retención mecánica para el composite.
- Retenedores de Fibra de Vidrio: Más estéticos pero también más rígidos.
- Retenedores de Níquel-Titanio: Pueden usarse para solucionar pequeñas recidivas del apiñamiento anterior.
A pesar de las diversas opiniones y criterios, la elección del retenedor más adecuado debe basarse en una valoración individual de cada caso por parte del ortodoncista.
Tabla Comparativa de Tipos de Retenedores
| Tipo de Retenedor | Ventajas | Desventajas | Indicaciones |
|---|---|---|---|
| Hawley | Permite movilidad dental, fácil ajuste | Menos estético, requiere colaboración del paciente | Compromiso transversal, expansión de arcada |
| Essix | Estético, cómodo | Se desgasta, requiere limpieza diaria | Mantener posición dental |
| Alambre Trenzado | Mayor retención mecánica | Acumula placa, puede causar problemas gingivales | Mantenimiento de resultados oclusales |
| Fibra de Vidrio | Estético | Rígido, puede descementarse | Casos específicos de retención |

En resumen, elegir el tipo de placa inferior o retenedor adecuado es esencial para mantener una sonrisa perfecta después de un tratamiento de ortodoncia. Consultar con un especialista en ortodoncia te ayudará a tomar la mejor decisión para tus necesidades individuales.
tags: #placa #inferior #ortodoncia