La placa dental es un problema común que afecta a la mayoría de las personas en algún momento de sus vidas. Es una capa de bacterias que se acumula en los dientes y las encías, lo que puede provocar caries, enfermedades de las encías y mal aliento. En este artículo, exploraremos las causas de la placa en las encías, cómo tratarla y cómo prevenir su acumulación.

¿Qué es la Placa Dental?
La placa dental es una película pegajosa y transparente que se forma sobre los dientes y las encías. Se compone de bacterias, restos de comida y saliva. Todo el mundo tiene placa dental en mayor o menor grado. La placa dental es una película pegajosa que se forma en los dientes cuando las bacterias de la boca se mezclan con alimentos azucarados o con almidón. Como hemos explicado anteriormente, la placa se forma cuando las bacterias de la boca se mezclan con alimentos azucarados o con almidón, como leche, jugos, refrescos, pan, pasta y frutas.
Las bacterias en la placa producen ácidos después de comer o beber. Estas bacterias liberan ácidos que descomponen los carbohidratos en alimentos y bebidas. Si no se elimina regularmente, puede endurecerse y convertirse en sarro, lo que puede provocar enfermedades de las encías y otros problemas dentales. Si no se quita la placa, ésta se endurece y se convierte en sarro. Solo acudiendo al dentista se puede eliminar el sarro.
Causas de la Placa en las Encías
La placa dental se produce cuando las bacterias se acumulan en los dientes y las encías. Las bacterias en la placa producen ácidos después de comer o beber. La mejor manera de prevenirla es tener una buena higiene dental. La alteración del equilibrio de las bacterias que habitan en la boca y la acumulación de la placa bacteriana pueden producir encías rojas e inflamadas.
- Mala higiene bucal: Si no te cepillas los dientes ni usas hilo dental a diario, la placa puede endurecerse y convertirse en sarro.
- Alimentos azucarados y con almidón: Reduce el consumo de alimentos y bebidas azucarados y con almidón.
- Tabaquismo: El tabaco enmascara en principal síntoma de la gingivitis que es el sagrado.
Consecuencias de la Placa Dental
La placa dental es dañina para la salud bucal porque las bacterias que la componen producen ácidos que pueden dañar el esmalte dental y causar caries y enfermedades de las encías. Si no se trata, las bacterias que la componen pueden provocar caries y enfermedades de las encías, como la gingivitis y la periodontitis. Si no se trata, también puede provocar la pérdida de dientes y otros problemas de salud bucal. Además, su acumulación en la boca también puede aumentar el riesgo de enfermedades cardíacas y otros problemas de salud en todo el cuerpo.

Tratamiento de la Placa en las Encías
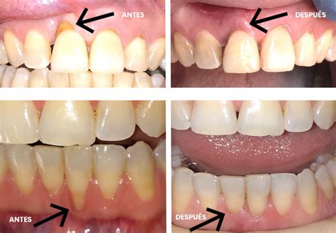
El tratamiento se centra en reducir la inflamación, eliminar la placa bacteriana y prevenir su acumulación futura. Si no se trata, puede convertirse en sarro, lo que es más difícil de eliminar y puede provocar problemas dentales graves. Este tratamiento se realiza cuando la placa dental se ha convertido en sarro y se ha acumulado debajo de las encías.
Tratamientos Profesionales
- Limpieza dental profesional: Programa citas regulares para una limpieza dental profesional. En primer lugar, llevaremos a cabo una limpieza profesional o profilaxis.
- Raspado y alisado radicular: En casos más graves, puede ser necesario un tratamiento llamado raspado y alisado radicular. No se debe confundir el raspado y alisado radicular con el curetaje, un término que se encuentra en desuso por los odontólogos especializados en periodontitis, por ser una técnica no recomendada por la SEPA.
- Cirugía periodontal: Para los casos más graves será necesario recurrir a la cirugía periodontal.
Higiene Bucal Diaria
- Cepillado dental: Cepíllate los dientes al menos dos veces al día con un cepillo de dientes suave y pasta dental fluorada. Cepillarte los dientes dos veces al día: cepíllate los dientes durante dos minutos con un cepillo de cerdas suaves (manual o eléctrico) y pasta dental con flúor.
- Hilo dental: Us hilo dental al menos una vez al día con hilo dental para eliminar la comida y la placa atascada entre los dientes.
Remedios Caseros
- Enjuagues bucales con agua tibia y sal: Uno de los más conocidos y efectivos es realizar enjuagues bucales con agua tibia y sal.
- Limón: Otro de los remedios que podemos utilizar es la utilización del limón.
- Té: El té también nos va a ayudar para las encías inflamadas, ya que tiene una solución antiséptica natural que es capaz de desinfectar y mejorar la curación.
Prevención de la Placa Dental
Un buen cuidado de los dientes y las encías es clave para reducir la placa. Es importante tener en cuenta que la periodontitis es una enfermedad crónica, lo cual significa que no se curará con un solo tratamiento. Elegir alimentos saludables: reduce el consumo de alimentos y bebidas azucarados y con almidón. Para complementar el tratamiento profesional y prevenir futuras complicaciones, es crucial mantener una buena higiene oral en casa. Contienen un 85% menos de riesgo de caries. Esto es debido, fundamentalmente, a que las bacterias presentes en la boca no pueden fermentar el xilitol. Por tanto, no provocan la caída del PH. Son aptos para diabéticos debido a que no afectan a la producción de insulina y mínimamente al azúcar en la sangre.
- Higiene bucal rigurosa: Cepillado dental dos veces al día y uso diario de hilo dental.
- Dieta equilibrada: Reducir el consumo de azúcares y almidones.
- Visitas regulares al dentista: Para limpiezas profesionales y revisiones.
- Masticar chicle sin azúcar: Si no puedes cepillarte los dientes poco después de comer o beber, mastica chicle sin azúcar.
Tratamiento periodontal básico para pacientes (gingivitis y periodontitis) - Tráiler
Encías Inflamadas: Causas y Remedios
Las encías inflamadas son una inflamación del tejido de las encías causada por la acumulación de placa bacteriana en la línea de las encías. Habitualmente se creía que las encías inflamadas eran causa de una mala higiene dental por mala limpieza o cepillos dentales con las cerdas muy duras, es cierto que es una de las causas pero no la única. La inflamación de las encías es un proceso muy frecuente que de forma más o menos agresiva hemos sufrido todos alguna vez.
Causas de la Inflamación de las Encías
- Placa bacteriana: La principal causa de las encías inflamadas es la acumulación de placa bacteriana en los dientes y las encías.
- Caries: La presencia de caries entre dos dientes acaba muchas veces tocando la encía y provoca el cúmulo de restos de comida.
- Obturaciones desbordantes: Una causa muy típica de gingivitis y poco conocida por el paciente son las obturaciones desbordantes. Este tipo de empaste tiene la peculiaridad de que sobrepasa los límites del diente y se podría considerar una negligencia por parte del dentista que la realiza.
- Bacterias: Finalmente tenemos las gingivitis asociadas a bacterias y consecuencia de una mala higiene. En realidad esta gingivitis tiene el mismo origen que la planteada en los dos primeros puntos pero la ponemos a parte porque en este caso la afectación se produce en toda la boca. Es el típico caso del paciente que no se lava los dientes o que lo hace mal.
- Medicamentos: El uso de algunos medicamentos causa agrandamiento gingival e inflamación en pacientes con mal control de placa.
- Enfermedades sistémicas: Patologías de carácter genético como la fibromatosis gingival o el Sdr.
Está demostrado que cuando la placa bacteriana se acumula acaba provocando la inflamación de la encía y que esta inflamación puede, en casos susceptibles, provocar una enfermedad más grave llamada periodontitis o piorrea.
Tabla Resumen: Causas y Tratamientos
| Causa | Tratamiento | Prevención |
|---|---|---|
| Placa Bacteriana | Limpieza profesional, raspado y alisado radicular | Higiene bucal rigurosa, uso de hilo dental |
| Gingivitis | Limpieza profesional, enjuagues bucales | Higiene bucal, visitas regulares al dentista |
| Periodontitis | Cirugía periodontal, raspado y alisado radicular | Control de la placa, mantenimiento periodontal periódico |
La placa dental es un problema común que puede provocar graves consecuencias en la salud bucal si no se trata adecuadamente. En Bordon Clinic, contamos con expertos en salud dental que pueden ayudarte a mantener una boca saludable y prevenir la acumulación de placa dental.