Los tratamientos de ortodoncia no solo te permiten conseguir una sonrisa bonita, sino que también mejoran tu calidad de vida y autoestima. Sin embargo, es común que los pacientes se pregunten cómo será su apariencia durante y después del tratamiento. Desde Clínica Álvarez Luckow, queremos resolver esta duda: ¿La ortodoncia me va a cambiar la cara?

Cambios en la Cara Durante el Tratamiento
En promedio, un tratamiento de ortodoncia suele durar entre 1 y 2 años, aunque esto depende de las condiciones específicas del paciente. Afortunadamente, los avances en odontología han hecho que llevar ortodoncia no sea un inconveniente para la apariencia. Hoy en día, existen opciones más estéticas como la ortodoncia invisible Invisalign.
Durante el tratamiento con brackets tradicionales, los cambios más comunes suelen reflejarse en los labios. Los brackets agregan volumen a los dientes anteriores, lo que puede hacer que los labios sobresalgan más. Sin embargo, los pacientes suelen acostumbrarse rápidamente a este cambio, ya que no es estéticamente desfavorable. Con la ortodoncia invisible Invisalign, este efecto es prácticamente nulo.
Cambios en la Cara Tras el Tratamiento
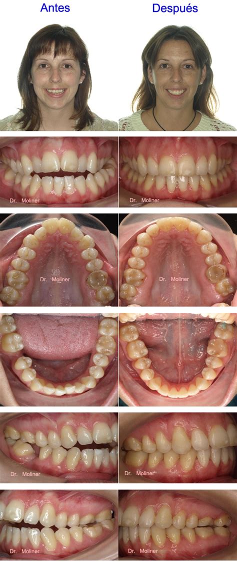
Después del tratamiento, es posible que notes un ligero cambio en tu estructura facial, aunque siempre a favor de la armonía del rostro. Al corregir la posición de las piezas dentales, también cambia la estructura bucal. Por ejemplo, si tus dientes estaban metidos hacia dentro, al colocarlos en su sitio con la ortodoncia, el labio puede verse más armónico y pronunciado. Si ocurriera lo contrario, y los dientes pasan de estar muy salidos a una posición natural, se rebajaría la pronunciación excesiva de los labios. En resumen, cualquier cambio, por mínimo que sea, siempre será beneficioso para la armonía del rostro.
Dado que los dientes no se pueden colocar correctamente y dejar al paciente con su forma de cara original, el cambio en la cara es inevitable.

Cambios en la Cara con la Cirugía Ortognática
Los tratamientos de ortodoncia permiten mover las piezas dentales, pero necesitan una estructura ósea adecuada. En casos donde la posición y el tamaño de los huesos maxilares no son los adecuados, es necesaria una intervención quirúrgica junto con la ortodoncia para lograr la armonía y el equilibrio de la estructura ósea. En estos casos, sí se producen cambios más notables en la apariencia del rostro, aunque siempre serán modificaciones que beneficien la estética facial del paciente y que se pactan previamente.
Cirugia Maxilofacial 😰 ¿Cuándo debe hacerse? 🦷 ¿Cómo saber si la necesito? 🤔 - Odontología Láser
¿Cómo es Posible que la Ortodoncia Modifique el Rostro?
Cuando llevas brackets, se aplica presión controlada sobre tus dientes para moverlos a la posición correcta. Esa presión se transmite al hueso que rodea al diente a través del ligamento periodontal. El hueso responde remodelándose: se reabsorbe donde el diente ejerce presión y se forma hueso nuevo donde hay espacio vacío conforme el diente avanza.
Los dientes frontales sirven de soporte a los labios. Si tus incisivos superiores estaban muy hacia adelante y los echamos ligeramente hacia atrás con ortodoncia, tu labio superior ya no estará tan proyectado; adquirirá un perfil más plano. La posición de la mandíbula define tu perfil y la forma de tu mentón. Los arcos dentales determinan la anchura de tu sonrisa y la forma de tus mejillas. El ajuste de la mordida afecta a la postura de la mandíbula en reposo y al ángulo labio-nasal.
La ortodoncia considera no solo tus dientes, sino toda tu estructura orofacial al planificar el tratamiento. El objetivo es mejorar tu sonrisa y tu perfil a la vez que corriges la alineación dental y la mordida.
Nota: En pacientes jóvenes (niños y adolescentes) los cambios faciales pueden ser más notables que en adultos, porque sus huesos aún están en crecimiento y la ortodoncia puede guiarlos en cierta dirección. En adultos, el hueso ya es más denso y las suturas están cerradas, así que la mayoría de cambios serán por movimiento dental y adaptaciones de tejidos blandos, más sutiles. Aun así, incluso a los 30, 40 o más, una ortodoncia bien llevada puede lograr mejoras estéticas apreciables en el rostro.
¿Cómo Cambia la Cara con Brackets Según el Tipo de Problema?
No todas las personas experimentarán los mismos cambios; todo depende de tu caso inicial. A continuación, veremos cómo cambia la cara con brackets según el tipo de problema de mordida o alineación que tengas.
Mordida Abierta
¿Qué es? Una mordida abierta ocurre cuando al cerrar la boca, quedan espacios abiertos entre los dientes frontales (superiores e inferiores) porque no contactan.
¿Cómo afecta la cara? Las personas con mordida abierta a menudo tienen un aspecto de cara alargada, especialmente en la zona inferior del rostro. Al no poder cerrar bien los labios, la boca tiende a estar entreabierta en reposo.
¿Qué hace la ortodoncia? Con brackets, podemos cerrar la mordida abierta haciendo que los dientes frontales superiores e inferiores entren en contacto adecuado. Esto conlleva un reposicionamiento de la mandíbula y un entrenamiento de los músculos faciales para que los labios puedan cerrarse cómodamente.
Cambio visible: De un rostro donde los labios no cerraban y se veía alargado, se pasa a un rostro más corto y armonioso. Los labios descansan juntos, dando una expresión más relajada.

Mordida Cruzada Anterior
¿Qué es? Hablamos de mordida cruzada anterior cuando la mandíbula inferior muerde por delante de la superior.
¿Cómo afecta la cara? Este tipo de maloclusión hace que el mentón se vea muy prominente y la cara adquiera un perfil cóncavo.
¿Qué hace la ortodoncia? Con ortodoncia podemos corregir en parte el prognatismo, especialmente si se trata de un problema dental (y no solo óseo). A veces, si la discrepancia es grande, se combinan brackets con tratamiento ortopédico en edad temprana o con cirugía ortognática en adultos para ajustar la posición ósea.
Cambio visible: Al finalizar, la zona del mentón se ve menos prominente. El perfil deja de ser tan cóncavo para volverse más recto o convexo suave.
Sobremordida Excesiva
¿Qué es? La sobremordida excesiva ocurre cuando los incisivos superiores cubren demasiado a los inferiores al morder.
¿Cómo afecta la cara? Las personas con sobremordida profunda tienden a tener el mentón retraído y a veces un aspecto de cara más redonda o cuadrada con mejillas un poco hundidas.
¿Qué hace la ortodoncia? Con brackets corregimos la sobremordida elevando los dientes inferiores y/o bajando los superiores hasta que haya una mordida ideal. También reducimos el overjet si los de arriba estaban muy adelante, usualmente retrayéndolos un poco.
Cambio visible: El paciente pasa a lucir un perfil más recto, con el mentón más marcado. Las mejillas se ven menos hundidas y muchas personas parecen incluso más jóvenes tras corregir una sobremordida severa.
No todos los cambios faciales vienen de grandes maloclusiones. Apiñamiento dental severo, dientes protruidos hacia adelante, arcadas dentales muy estrechas; cualquier corrección dental que mejore tu mordida y alineación repercutirá en cierta medida en tu estética facial.
A veces será muy ligero (solo tú o tu ortodoncista lo notarán en las fotos de perfil), y otras veces será lo suficientemente evidente para que amigos que tenías tiempo sin ver te digan: «¡Te veo diferente, como mejor, ¿te hiciste algo?».
Tabla Comparativa de Maloclusiones y Cambios Faciales
Para resumir estos conceptos, aquí tienes una tabla comparativa de cómo algunas maloclusiones típicas impactan el rostro antes y después del tratamiento ortodóntico:
| Problema dental (Maloclusión) | Apariencia facial ANTES (sin tratar) | Apariencia facial DESPUÉS (tras ortodoncia) |
|---|---|---|
| Mordida abierta | Cara alargada, boca entreabierta | Rostro más corto y armonioso, labios cerrados |
| Mordida cruzada anterior | Mentón prominente, perfil cóncavo | Mentón menos prominente, perfil más recto |
| Sobremordida excesiva | Mentón retraído, mejillas hundidas | Mentón más marcado, mejillas menos hundidas |
En todos los casos el denominador común es que el cambio va en beneficio de la armonía facial. La ortodoncia bien realizada nunca busca desmejorar tu estética, al contrario: su objetivo es alinear la funcionalidad con la belleza natural de tu rostro.
De hecho, un reciente estudio científico publicado en 2024 confirmó que los tratamientos ortodónticos mejoran la estética facial, especialmente en la vista de perfil, notando en promedio una ligera retracción de los labios y una mejor definición del mentón tras la ortodoncia.
¿Los Brackets Cambian la Forma de la Nariz?
No, los brackets no cambian la forma de tu nariz: ni el tamaño, ni la anchura, ni la punta… Al fin y al cabo, la nariz es cartílago y hueso nasal, estructuras en las que la ortodoncia no interviene.
Cuando modificamos la posición de los dientes y labios, la percepción de la nariz en el conjunto facial puede cambiar. Por ejemplo, si antes tenías un perfil muy convexo (labios adelantados) y la nariz parecía pequeña en proporción, tras ortodoncia tu perfil es más recto y tu nariz podría verse un poquito más prominente en comparación (simple ilusión óptica al cambiar el entorno).
¿Y qué hay de los Labios?
Sí, tus labios pueden cambiar ligeramente con la ortodoncia, principalmente en perfil y grosor aparente, porque dependen mucho de la posición de los dientes. Ya hemos mencionado varios ejemplos: labios que estaban muy proyectados hacia adelante podrían aplanarse un poco, o labios que estaban hundidos pueden ganar soporte.
También durante el tratamiento en sí, mientras llevas los aparatos, es posible que notes tus labios más llenos. ¿Por qué? Los brackets ocupan un pequeño espacio sobre tus dientes. Ese relieve extra hace que el labio superior (y el inferior, si tienes brackets abajo) esté un pelín más “hacia afuera” de lo normal.
En resumen, la ortodoncia siempre mejora la sonrisa, las proporciones y relaciones entre los dientes y los huesos. Los brackets suponen un volumen sobre la superficie externa de los dientes delanteros, hecho por el que el labio superior se puede mostrar algo más carnoso.