Desde Odontomed Institut, entendemos que una de las mayores preocupaciones al iniciar un tratamiento de ortodoncia es la posibilidad de sentir dolor o inflamación en las encías. El camino hacia una sonrisa perfecta es un proceso de adaptación, y es común sentir molestias en las encías, sobre todo al principio del tratamiento y después de cada ajuste.

Sin embargo, es fundamental entender la diferencia entre la sensibilidad leve y pasajera causada por la presión que mueve los dientes, y el dolor, la hinchazón y el sangrado persistentes, que suelen ser un signo de inflamación por una higiene deficiente (gingivitis). Entender el “porqué” de las molestias es el primer paso para gestionarlas eficazmente.
Causas del crecimiento de las encías con brackets
- Remodelación de tejidos: Los aparatos de ortodoncia aplican fuerzas suaves y constantes para guiar los dientes a su posición ideal. Este proceso estimula una remodelación del hueso y los ligamentos que soportan los dientes. Esta actividad biológica puede generar una leve inflamación transitoria en los tejidos circundantes, incluidas las encías.
- Higiene deficiente: Esta es la causa más común, y a la vez más prevenible, de dolor, hinchazón y sangrado de encías. Los brackets, arcos, gomas y demás aditamentos crean rincones y recovecos donde la placa bacteriana se acumula con facilidad. Si no se elimina de forma meticulosa, esta placa irrita las encías, provocando que se inflamen, se enrojezcan, se hinchen e incluso sangren al cepillarlas.
- Irritación física: A veces, la molestia no proviene de la encía en general, sino de un punto muy concreto. El borde de un bracket, el extremo de un arco que ha quedado un poco largo o un gancho pueden rozar o pinchar la cara interna de las mejillas, los labios o directamente la encía.
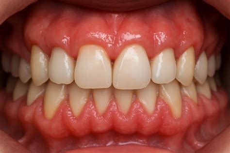
Hiperplasia gingival: ¿Qué es y por qué ocurre?
La hiperplasia gingival o sobrecrecimiento de la encía es un problema que se caracteriza por el crecimiento excesivo de la encía o agrandamiento gingival. En algunos casos, puede llegar a cubrir los dientes y también se manifiesta con el sangrado, tanto espontáneo como al tacto, e incluso con dolor.
Causas de la hiperplasia gingival
- Higiene deficiente: La limpieza bucodental insuficiente es una de las causas principales.
- Uso de brackets: Es un factor de riesgo para el agrandamiento gingival.
- Leucemia: Esta patología puede generar un agrandamiento gingival.
- Consumo de determinados medicamentos: Ciertos fármacos como los anticonvulsivos, los inmunodepresores o los bloqueadores de los canales del calcio pueden generar como reacción adversa la hiperplasia gingival.
- Problemas hereditarios: El agrandamiento gingival también puede producirse por un componente hereditario.

Soluciones y cuidados para las encías inflamadas con brackets
Para mantener una higiene impecable y reducir la inflamación de las encías, considera estas recomendaciones:
- Cepillado meticuloso: Debes cepillarte los dientes después de cada comida, sin excepción. Para la correcta higiene oral se debe usar cepillo dental, realizar los movimientos adecuados aproximadamente durante al menos 3 minutos y utilizar regularmente enjuague bucal e hilo dental. Además de ser constante en el cepillado se recomienda hacerlo al levantarse, tras cada comida y antes de dormir en la noche.
- Cepillos interproximales: Son tus grandes aliados.
- Seda dental especial o Superfloss: Usar el hilo dental es indispensable.
- Irrigador bucal (Waterpik): Es un complemento excelente. También ayuda mucho el uso del irrigador de boca.
- Enjuague bucal: Utiliza un colutorio con flúor y sin alcohol para no resecar la boca. Es preferible optar siempre por enjuagues bucales sin alcohol para evitar la sequedad e irritación de las mucosas. Lo ideal es que contengan flúor para proteger el esmalte.
- Enjuagues con agua tibia y sal: Es un remedio casero, seguro y muy eficaz. Mezcla media cucharadita de sal en un vaso de agua tibia y realiza enjuagues suaves durante 30 segundos, 2 o 3 veces al día.
- Alimentos blandos y fríos: Durante los 2-3 días posteriores a un ajuste, cuando la sensibilidad es mayor, opta por una dieta blanda (purés, yogures, sopas, batidos).
- Cera de ortodoncia: Si un bracket o el final de un alambre te roza, solo tienes que coger una pequeña bolita, calentarla con los dedos y aplicarla sobre el elemento que te molesta. Te proporcionaremos cera de ortodoncia.
¿Cuándo buscar atención profesional?
Aunque la mayoría de las molestias son manejables en casa, es importante que sepas reconocer cuándo una situación requiere nuestra atención profesional. La sensibilidad generalizada debida al movimiento dental suele alcanzar su pico a las 24 horas del ajuste y normalmente dura entre 2 y 4 días, disminuyendo progresivamente hasta desaparecer. Una ligerísima hinchazón o edema justo en el borde de la encía puede ser una reacción normal a la presencia del aparato.
Cómo Cepillarse Y Usar Hilo Dental Con Frenos | Premier Orthodontics
Alineadores vs. Brackets: ¿Hay diferencia en la inflamación de las encías?
Sí, la sensibilidad asociada al movimiento dental es muy similar, ya que la base biológica del tratamiento es la misma. Sentirás presión y una molestia sorda con cada cambio de alineador. Sin embargo, la inflamación por higiene (gingivitis) suele ser mucho menos frecuente, ya que los alineadores se retiran para comer y cepillarse, lo que facilita enormemente mantener una limpieza perfecta.
La importancia de una buena higiene oral
Es clave tener una boca sana antes de iniciar un tratamiento con ortodoncia. Pero, una vez iniciado, es igual o más importante mantener una exhaustiva higiene oral para evitar que aumente el riesgo de padecer alguna enfermedad periodontal, sobre todo en lo relativo a la relación existente entre los Brackets y la presencia de encías inflamadas.
La clave para evitar brackets y encías inflamadas y con ello el perjuicio que los aparatos fijos podrían causar a la salud de la cavidad bucal, es mantener las medidas de higiene adecuadas durante el tratamiento de Ortodoncia. Si la pregunta que te planteas a ti mismo consiste en si es normal que me sangren las encías por los brackets, la respuesta más corta y sencilla es No. Las encías Sanas NUNCA sangran, si la encía te sangra al cepillarse, comer, tocarla… algo no va bien.
Resumen: Cuidado de las encías durante la ortodoncia
Sentir ciertas molestias en las encías forma parte del viaje de la ortodoncia. La clave está en distinguir la sensibilidad normal del movimiento de la inflamación causada por una higiene deficiente. Mientras que nosotros nos encargamos de aplicar las fuerzas precisas para mover tus dientes, tu compromiso con una higiene impecable es fundamental para prevenir complicaciones y asegurar que el tratamiento sea lo más cómodo posible.
En Odontomed Institut, tu comodidad y salud son nuestra prioridad. Si tienes cualquier duda sobre tu tratamiento o experimentas alguna molestia, no dudes en contactarnos.
| Problema | Causa | Solución |
|---|---|---|
| Inflamación leve | Remodelación de tejidos | Enjuagues con agua tibia y sal, dieta blanda |
| Gingivitis | Higiene deficiente | Cepillado meticuloso, hilo dental, irrigador bucal |
| Hiperplasia gingival | Múltiples factores (higiene, medicamentos, genética) | Terapia periodontal, cirugía periodontal |