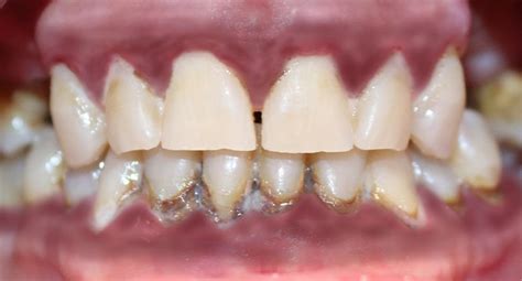
El color y la apariencia de las encías son un indicador clave de su estado de salud. Las encías son una de las partes más importantes de tu boca, ya que su tejido duro, fibroso y sensible sirve de unión entre los dientes y el hueso alveolar, por lo que su buen estado de salud es fundamental para dar soporte a las piezas dentales.
Las encías negras pueden ser una preocupación estética y de salud, y afectan a muchas personas. Este problema puede aparecer de manera inesperada, generando dudas sobre si es algo normal o si necesita atención médica. Las encías negras u oscuras pueden tener diferentes causas y orígenes, y aunque a veces puede parecer alarmante, en muchos casos es inofensivo.
En muchos casos, tener las encías oscuras es algo completamente normal, que no compromete la salud bucodental, pero en otros, sí puede ser síntoma de que algo no va bien. Lo más habitual es un color rosado, sin embargo, al igual que sucede con la coloración de la piel, hay personas que pueden tener una encía de tonos marrones u oscuros.
A continuación, exploraremos las diversas razones detrás de este fenómeno y las opciones de tratamiento disponibles.
Encías Negras: Causas y Soluciones | Sonríe con Confianza
Causas de las encías negras
Existen varias razones por las cuales las encías pueden volverse oscuras. Diagnosticar qué provoca el oscurecimiento y cómo ha sucedido, determinará el tratamiento adecuado, si es que fuese necesario. Las encías se vuelven oscuras cuando hay un aumento de melanocitos, conocido en nuestro campo como melanosis gingival. La melanina de la piel, presente también en el pelo o los ojos, también está presente en las encías y determina su color.
Diversos factores pueden contribuir a la aparición de manchas negras en las encías. A continuación, se detallan algunas de las causas más comunes:

1. Pigmentación natural
Al igual que la coloración de la piel, la pigmentación de las encías puede ser influenciada por factores genéticos. Al igual que en la piel, tenemos melanocitos en las encías que se encargan de protegernos y son los responsables del color de nuestra piel y encías. Algunas personas tienen una mayor cantidad de melanina en ciertas partes de su encía, lo que puede causar estas manchas.
2. Tabaquismo
El tabaquismo es una de las causas más comunes del oscurecimiento de las encías, un efecto conocido como "melanosis del fumador". Es la causa más habitual para las manchas negras. La nicotina es una sustancia muy dañina para las encías y es una de las causas más habituales de las manchas negras. La exposición continua a la nicotina y otros químicos presentes en el tabaco puede provocar el aumento de la producción de melanina en las encías, lo que las oscurece. Al dejar el hábito del tabaco, estas manchas desaparecen con el tiempo.
3. Enfermedades periodontales
Las enfermedades de las encías, como la gingivitis o la periodontitis, pueden causar inflamación, enrojecimiento e incluso oscurecimiento en algunas zonas de las encías. Las enfermedades de las encías, como la gingivitis y la periodontitis, pueden tener efectos negativos en los dientes, así como afectar al color de las encías. Este cambio de color suele acompañarse de otros síntomas como sangrado, sensibilidad y mal aliento.
- Gingivitis: Consiste en una inflamación de las encías producida normalmente por la acumulación de placa bacteriana o algún tipo de infección.
- Periodontitis: Las encías se infectan e inflaman provocando una destrucción del aparato de sujeción. Las encías se inflaman, sangran e incluso cambian de color, oscureciéndose. Además de afectar a la encía, afecta al hueso, provocando su destrucción y desencadenando así una movilidad o pérdida dental.
4. Medicamentos
Algunos medicamentos pueden inducir pigmentación en las encías como efecto secundario. Algunos medicamentos pueden provocar cambios en la coloración de las encías. Medicamentos como la minociclina (un antibiótico), ciertos antimaláricos, y medicamentos antirretrovirales pueden causar manchas oscuras en las encías. Esta pigmentación es generalmente benigna y puede ser reversible al suspender el medicamento, aunque siempre debe hacerse bajo la supervisión de un médico.
5. Tatuajes de amalgama
Son tatuajes en el tejido de la encía provocados por la acción de empastes u obturaciones realizadas con amalgama de plata. La amalgama era un producto metálico que se utilizaba anteriormente en algunas reconstrucciones dentales y que puede originar una mancha negra conocida como tatuaje metálico. Al rellenar una cavidad con un empaste de amalgama de plata, es posible que quede un depósito de esta amalgama en las encías, creando una mancha oscura. En algunos casos este material se transfiere a la encía, oscureciéndola de forma permanente. Este tipo de tinciones de la encía son inofensivas y no precisan de ningún tratamiento.
6. Lesiones y hematomas
Como cualquier otra parte del cuerpo, la encía puede sufrir lesiones debidas traumatismos o a un cepillado demasiado agresivo, con cepillos de cerdas duras. Un golpe o lesión en las encías puede causar hematomas o áreas de color oscuro. Estas lesiones cursan en forma de hematomas que normalmente desaparecen en pocos días. Solo en caso de que se hagan persistentes debes acudir a la consulta del odontólogo.
7. Nevus azul
Se trata de un lunar o tumor benigno provocado por la acumulación de melanocitos. Es poco habitual y normalmente tiene una coloración grisácea o negra, pasando por marrón claro o azulado. No obstante, es recomendable su seguimiento para descartar que se trata de otro tipo de mancha.
8. Melanoma oral
El melanoma oral es una forma rara pero grave de cáncer que puede manifestarse como una mancha negra en las encías. Este tipo de melanoma puede ser agresivo y requiere atención médica inmediata. Las manchas asociadas con el melanoma oral pueden cambiar de color, tamaño o forma, y pueden estar acompañadas de otros síntomas como dolor, sangrado o crecimiento rápido. Este tipo de patologías requieren de intervención médica urgente.

Tratamientos para las encías negras
El tratamiento para las encías negras depende de la causa subyacente. Una vez que hemos determinado la causa de la mancha negra en la encía, desarrollamos un plan de tratamiento personalizado para abordar el problema de raíz. Existen diferentes tratamientos que pueden solucionar el problema de las encías necrosadas o con manchas oscuras. A continuación, se presentan algunas de las opciones más comunes:
- Higiene bucal adecuada: Una higiene bucal adecuada es fundamental para prevenir una amplia gama de problemas dentales, incluidas las manchas negras en las encías.
- Raspado y alisado radicular: Si el oscurecimiento de las encías es causado por enfermedades de las encías, es fundamental tratar la afección subyacente.
- Eliminación de tatuajes de amalgama: Para manchas causadas por partículas de amalgama, podemos realizar un procedimiento para eliminar estas partículas de las encías.
- Microabrasión y peeling gingival: Este procedimiento se utiliza para eliminar la capa superficial de las encías y reducir la pigmentación oscura. La microabrasión y el peeling gingival son opciones seguras y efectivas para quienes desean mejorar la estética de sus encías.
- Injertos de encía: En algunos casos, los dentistas pueden recomendar injertos de encía para cubrir áreas oscuras. Este procedimiento implica la colocación de tejido sano sobre las zonas afectadas, logrando un color más uniforme y natural en las encías.
- Terapia láser: La terapia láser es otra opción para aclarar las encías. El láser permite eliminar las células pigmentadas sin dañar el tejido circundante. Además, este procedimiento es mínimamente invasivo, por lo que el tiempo de recuperación suele ser corto. El láser actúa en el exterior de la encía, en la última capa epitelial, que es donde se encuentra el exceso de melanocitos que producen la coloración, y consigue aclarar las encías en varios tonos.
- Cirugía menor: En casos más graves, como un nevus melanocítico sospechoso o melanoma oral, podemos realizar una cirugía menor para extirpar la mancha y enviar una muestra para biopsia.
Prevención
La prevención es clave para mantener una buena salud bucal y evitar la aparición de manchas negras en las encías. En el caso de las encías oscuras por malos hábitos, como ocurre con otro tipo de deterioros, el mejor tratamiento será la prevención.
Algunas medidas preventivas incluyen:
- Mantener una buena higiene bucal, cepillándose los dientes al menos dos veces al día y usando hilo dental diariamente.
- Evitar el consumo de tabaco.
- Realizar visitas regulares al dentista para exámenes y limpiezas profesionales.
- Informar al dentista sobre cualquier medicamento que esté tomando.
Las encías negras pueden generar preocupación, pero es fundamental entender que tienen diversas causas y soluciones. Desde ajustes en el estilo de vida hasta tratamientos especializados, existen opciones para abordar este problema y mantener encías saludables y estéticamente atractivas. Si te preocupa el color de tus encías, no dudes en consultar a los profesionales para recibir la orientación y el tratamiento adecuados.