Seguro que has oído hablar muchas veces de brackets y ortodoncia. Por ello, es posible que quieras saber más sobre los brackets, qué son exactamente. Los tratamientos de ortodoncia con brackets, hoy en día, son tan comunes y habituales que creemos muy interesante que los pacientes conozcan al detalle qué es un bracket, qué es capaz de solucionar y cómo se cuidar y limpiar. Así que empecemos a desvelar dudas y preguntas que nos suelen hacer nuestros pacientes.
Empecemos por decir que los brackets se utilizan en ortodoncia para corregir la posición de los dientes cuando están mal alineados, muy separados o apiñados, problemas en la mordida etc. Al contrario del tan demandado sistema Invisalign en Barcelona, los brackets son la opción más visible de la ortodoncia, pequeñas piezas de forma cuadrangular que se colocan y adhieren en los dientes.

Se diseñan específicamente para cada diente y sobre ellos se coloca un arco metálico que se sujeta mediante las ligaduras. La base del bracket es sobre la que se coloca el cemento especial para adherirlo a la superficie del diente. Para facilitar que este cemento se fije al bracket, lleva incorporado una malla de manera que el cemento penetre a través de esas rugosidades. Las aletas son las partes que sobresalen hacia el labio. Permiten colocar las ligaduras a su alrededor para fijar el arco. El slot es el espacio que existe entre las aletas.
Seguramente también te preguntaras sobre los brackets cómo funcionan y consiguen enderezar los dientes de la manera correcta. Hoy en día los brackets están diseñados de un modo concreto para que se transmita la información en un movimiento preciso. Es decir, son los que llevan la información necesaria para que, a través del arco, se realice el movimiento que el ortodoncista planifica.
Tipos de Brackets
Existen diferentes tipos de brackets, cada uno con sus propias características y ventajas. A continuación, exploraremos los más comunes:
Brackets Metálicos
Los brackets metálicos son los aparatos dentales más populares. Los conocemos también como brackets fijos y están fabricados en acero y titanio. Son visibles ya que se colocan en la parte exterior de los dientes. Además, de los diferentes tipos de ortodoncia que se practican en la actualidad, la utilización de brackets de metal acostumbra a ser la más económica. Requieren de una ligadura de alambre o a base de gomitas para fijar el arco sobre los dientes.
Se trata de una ortodoncia muy resistente que aplica una fuerza constante para mover los dientes, siendo ideal para tratamientos en niños y jóvenes, aunque, teniendo en cuenta que para determinados diagnósticos obtienen mejores resultados que otros sistemas, también se utiliza para tratar maloclusiones en adultos a los que no les importa que se vean los aparatos. Los brackets metálicos son los que ejercen la fuerza que se va a trasmitir al diente por medio de los brackets.
En realidad los brackets de colores no existen. Lo que les proporciona color son las gomas de colores que se colocan en cada bracket. Son ideales para niños, hacen que la ortodoncia sea algo más divertido y les permite escoger entre sus colores favoritos, los colores del arcoíris, colores fosforitos, etc.
Brackets Transparentes o Estéticos
Dentro del grupo de los brackets transparentes, también conocidos como brackets estéticos, podemos incluir los de cerámica y los de zafiro. Los brackets estéticos o transparentes tienen un color similar a los dientes y constituyen la primera alternativa a los metálicos. Normalmente son el tipo de aparatos que utilizamos en mayores de 18 años que quieren una ortodoncia que sea menos visible a simple vista. Además, estas opciones de ortodoncia visible más estética son más económicas que la ortodoncia invisible, que ocupa el escalafón más alto dentro de los tratamientos de ortodoncia.
Con los brackets transparentes podemos emplear arcos, ligaduras y gomas de color blanco.
Brackets Cerámicos
Los brackets cerámicos, también conocidos como brackets estéticos o transparentes, son la alternativa más usual a los metálicos. La diferencia es precisamente que son más estéticos al ser menos visibles a simple vista ya que tienen un color similar a los dientes. Los brackets de cerámica de buena calidad, como por ejemplo los Clarity Advanced de 3M, son tan o más resistentes que los convencionales, trabajan mecánicamente igual y no se tiñen.
Lo que puede teñirse algunas veces es el elástico que sujeta el alambre al bracket, por lo que es recomendable usar ligaduras de metal recubiertas de teflón blanco que no se manchan. Los alambres están hechos con un material compuesto muy resistente y pueden ser blancos para disimular aún más los brackets de cerámica. Es decir, constituyen una opción de ortodoncia visible más estética, siendo más económica la ortodoncia invisible. Para mayor discreción, dependiendo del tratamiento, arcos, ligaduras y gomas pueden ser blancos.
Brackets de Zafiro
Los brackets de zafiro son los que estéticamente mejor se mimetizan con el diente al que van cementado ya que son prácticamente transparentes. Sin embargo, tienen un problema importante y es que son extremadamente frágiles. Cuando utilizamos los arcos o alambres más rígidos (aquellos que se emplean a partir del mes 8 de tratamiento), las aletas del bracket de zafiro empiezan a fracturarse. Eso supone un gran inconveniente ya que se deben volver a cementar, retrasando la evolución del tratamiento.
Son brackets muy estéticos y que resisten perfectamente los arcos rígidos que colocamos una vez el tratamiento de ortodoncia está avanzado, así como las dobleces o aplicación de torque sin fracturarse. Dentro de los brackets de porcelana, hay diversas marcas comerciales y diferentes calidades.
Brackets Autoligables
A diferencia de los anteriores, los brackets autoligables no necesitan ningún elemento adicional para sujetar el arco, evitando así el uso de gomas. En este caso el arco se sostiene mediante unos clips incorporados en el mismo bracket. El hecho de no tener que cambiar periódicamente las gomas elásticas hace que se reduzcan las visitas al ortodoncista.
Los brackets autoligables reducen el roce entre el bracket y el arco, añadiendo comodidad y facilitando algunas operaciones del tratamiento.
Brackets Linguales
Los brackets linguales sí son totalmente invisibles ya que se colocan en la parte interior o lingual de los dientes. Se trata de aparatos metálicos fijos que se diseñan a medida para cada diente, por lo que no producen rozaduras ni molestias al comer ni al hablar. Cuanto más pequeños son, más cómodos son para el paciente. Permiten solucionar todo tipo de problemas de alineamiento y mordida al ser muy efectivos para casos en los que es necesario mover las raíces de los dientes. Es uno de los tratamientos más avanzados y por excelencia es la ortodoncia conocida como invisible, por tanto, cuando hablamos de brackets invisibles nos estamos refiriendo a los brackest linguales.
Invisalign: Una Alternativa a los Brackets Tradicionales
Es incorrecto hablar de brackets Invisalign ya que precisamente constituyen una alternativa a los brackets tradicionales. Por tanto, hemos de hablar de alineadores Invisalign. Se acostumbran a utilizar en casos en los que se requiere enderezar los dientes y el paciente, o no quiere llevar aparatos fijos por estética, o no tiene disposición para acudir periódicamente a la clínica.
Los alineadores Invisalign son férulas transparentes y removibles, lo que hace que sea el tipo de ortodoncia más cómoda que existe ya que pueden quitarse para comer, lavarse los dientes o en aquellos casos en los que el paciente tiene un compromiso laboral o social ineludible. En la actualidad Invisalign es el tratamiento de ortodoncia más innovador ya que permite ver los resultados virtualmente antes de empezarlo y controlar de forma muy precisa por el ortodoncista el grado y tiempo de movimiento de los dientes por cada férula. Solo las clínicas de ortodoncia autorizadas por Invisalign USA disponen de la tecnología y formación necesarias para llevar a cabo con garantía este tipo de tratamientos.

Tipos de Ortodoncia actualizado a 2024 ✅
¿Qué Tipo de Problemas Arreglan los Brackets?
Los beneficios de los brackets son muchos y no sólo nos referimos a los estéticos de ordenar dientes, también recupera la función adecuada de todo el conjunto de la boca y repara la función de la articulación. No hay que olvidar uno de los aspectos más importantes, que no se ve, pero que se nota y mucho. Y es que ayuda a aumentar y recuperar la autoestima del paciente. Para muchos el final del tratamiento supone el fin de muchos complejos que les han impedido sonreír con naturalidad y hasta relacionarse socialmente con normalidad.
Los tratamientos de ortodoncia resuelven estas patologías:
- Apiñamiento de dientes: Es uno de los más frecuentes. No sólo afecta a la estética facial sino que es un gran problema en la higiene bucal, ya que favorece la aparición de caries, sarro y también acaba dañando la salud de las encías.
- Sobremordida: Es cuando los dientes superiores ocultan a los inferiores.
- Mordida abierta: Cuando la boca no puede cerrarse correctamente ya que los incisivos superiores e inferiores no se tocan.
- Mordida cruzada: Cuando los dientes superiores encajan por dentro de los inferiores.
- Paladar pequeño: Cuando el maxilar no encaja con la mandíbula y esta descompensación entre la parte superior e inferior de la boca causa todo tipo de problemas.
- Espacios entre los dientes: La ortodoncia nos permite que cada diente ocupe su sitio y evitamos que si quedan espacios entre ellos tiendan a moverse de su posición y acabe produciendo que se pierda alguna pieza dental.
¿A Qué Edad se Recomiendan los Brackets?
Los tratamientos de brackets no tienen edad. Se pueden poner incluso como tratamiento preventivo ante de los 5 años. Aunque lo habitual es que se pongan durante la adolescencia cada vez hay más adultos de 30, 40, 50 y hasta 60 años a los que se les recomienda un tratamiento de ortodoncia para solucionar sus problemas. En adultos la ortodoncia evita que se pierdan dientes con el paso del tiempo y todos los problemas que ello conlleva. También sirve para frenar la recesión de las encías en algunos casos. A cierta edad la prioridad ya no es lucir unos dientes perfectamente alineados y blancos sino conservar los que se tiene el máximo de tiempo posible.
¿Qué No Puedo Comer con los Brackets?
La lista no es muy larga, pero tiene que estar muy clara para evitar que se despeguen las bandas y brackets. Al final muchos de los alimentos que están prohibidos, cuando se llevan brackets, no aportan grandes nutrientes a nuestro organismo, más bien son alimentos calóricos de los que sencillamente podemos pasar.
- No puedes comer ni morder cosas duras como hielo, palomitas de maíz, los extremos duros de la pizza o de los bocadillos ya que los alimentos duros pueden despegar los brackets o doblar los aros.
- No puedes comer cosas pegajosas como chicles y chucherías, la comida pegajosa resulta muy difícil de limpiar cuando está entre los dientes y los brackets.
- No chupes limones, hielo, naranjas, pomelos ya que podrían descalcificar los dientes creando manchas blancas en los dientes, difíciles de quitar.
- Evita comer frutas y vegetales enteras como manzanas, carlotas o apios, hay que cortarlas a trocitos pequeños para poder comerlas con cuidado.
- No des un bocado a un bocadillo, primero rompe el plan del bocata y cómelo en trozos pequeños.
- Ten cuidado con las patatas fritas, son crujientes al principio y pegajosas al final.
- Evita malos hábitos como morderte las uñas, chuparte el dedo y la lengua ya que pueden dañar el aparato.
- Olvídate de morder el bolígrafo o cualquier objeto duro.

¿Cómo Debo Cepillarme los Dientes con Brackets?
La limpieza es una parte fundamental en cualquier tratamiento de ortodoncia. Al menos hay que dedicarle 2 minutos al cepillado después de cada comida. Siempre hay que cepillar los brackets por encima y debajo ya que son las zonas que más comida acumulan. No olvidar cepillarse por todas las caras del diente, la que vemos, la interior de la boca y la oclusal, donde se trituran los alimentos. Al final no olvidemos cepillar las encías y la lengua.
El uso del irrigador tiene un papel clave ya que nos ayuda a eliminar los restos de comida que pueden quedar en nuestros dientes y brackets. El irrigador es ideal para antes de iniciar el cepillado ya que al eliminar la comida de entre los brackets permite que la pasta con flúor llegue mejor a todo el diente y lo pueda proteger.
El Acelerador de Ortodoncia
¿Sabías que la duración de los tratamientos se puede acortar hasta en un 50%? Usando un acelerador de ortodoncia llegarás a esa fecha tan señalada con una sonrisa radiante.
En cualquiera de los casos, lo que se logra con el acelerador de ortodoncia es estimular el proceso natural de remodelación ósea, es decir, el crecimiento del hueso. Dicho así puede parecer molesto o hasta doloroso. Nada más lejos de la realidad. Se trata de pequeños dispositivos que tienen una boquilla con la forma de arcada dental. Basta con colocarlos en la boca, apoyar los dientes y dejar que cumplan su función. No ocasionan ningún tipo de incomodidad, daño o dolor. Veinte minutos al día son suficientes para que el acelerador de ortodoncia ofrezca resultados.
Mitos Comunes sobre los Brackets
Los tratamientos de ortodoncia son de gran ayuda para mejorar la sonrisa y cuidar la salud bucodental. Sin embargo, existen muchos mitos sobre los brackets que hacen difícil separar la realidad de la ficción. Es frecuente afirmar que los brackets son muy dolorosos, debilitan los dientes o solo son útiles para los niños.
Estas y otras afirmaciones podrían hacerte desistir de seguir un tratamiento de ortodoncia. A continuación, te mostramos los mitos más famosos en torno a los brackets y cuál es la verdad sobre cada uno de ellos:
- Los brackets se pueden oxidar: Los frenos están fabricados con materiales como acero o titanio, que se caracterizan por ser inoxidables, a lo que debemos agregar sus propiedades antiadherentes y antibacterianas.
- La ortodoncia produce dolor: Lo que sí sentirás es cierto nivel de presión sobre los dientes, pero esa sensación desaparecerá por completo pocos días después de comenzar el tratamiento.
- Los aparatos impiden la práctica de deportes: Se puede evitar utilizando un protector bucal. Y si deseas estar totalmente cómodo, te recomendamos los tratamientos de ortodoncia invisible.
- Son solo para niños: La ortodoncia sigue siendo una excelente opción para los adultos, pues la movilidad de los dientes permanece durante toda vida.
- Los brackets provocan caries y mal aliento: Los brackets no provocan ningún daño bucodental, pero requieren de hábitos de limpieza específicos para evitar la proliferación de caries, problemas de mal aliento, manchas en los dientes, entre otros inconvenientes.
- Los tratamientos de ortodoncia son muy caros: Hoy en día existen tratamientos que se ajustan al presupuesto de cada paciente, incluyendo brackets cerámicos, Invisalign, entre otros.
- Es un tratamiento muy largo: El tipo de ortodoncia es diferente en cada caso. Por ejemplo, hay algunos problemas de posición que pueden corregirse en tan solo unos meses. El tiempo promedio es de uno a dos años.
- Los brackets me impedirán besar a mi pareja: Es imposible que algo así suceda, ya que los aparatos ortopédicos modernos están fabricados con materiales finos y no corren el riesgo de engancharse.
- La ortodoncia solo tiene fines estéticos: Los beneficios de los brackets van más allá del lado estético, pues también reducen el riesgo de sufrir caries, evitan traumatismos, facilitan la higiene, mejoran la pronunciación, etc.
- Los brackets activan los detectores de metales en aeropuertos: Los materiales con los que están confeccionados no afectan los detectores de metales de los aeropuertos, por más sensibles que sean.
- La ortodoncia interfiere con las señales de radio: No es más que otro mito sobre los brackets.
- Los brackets aumentan la posibilidad de ser impactado por un rayo: Es sencillamente una teoría alocada que carece de respaldo científico.
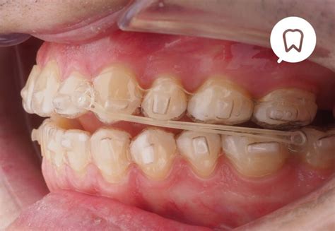
El Papel de los Elásticos en Ortodoncia
Los elásticos intermaxilares son cruciales para corregir problemas de mordida, como la sobremordida, submordida y mordida cruzada. Estos problemas pueden afectar no solo la apariencia de tu sonrisa, sino también tu capacidad para masticar y hablar correctamente.
La utilización adecuada de los elásticos puede prevenir problemas a largo plazo como el desgaste desigual de los dientes, dolores en la mandíbula y trastornos de la articulación temporomandibular (ATM).
Tipos de Problemas que Corregir los Elásticos Intermaxilares
Dependiendo de la severidad y el tipo de maloclusión, tu ortodoncista te indicará el uso de elásticos específicos para tratar:
- Sobremordida: donde los dientes superiores cubren excesivamente los dientes inferiores.
- Submordida: donde los dientes inferiores sobresalen más allá de los dientes superiores.
- Mordida cruzada: donde algunos dientes superiores cierran por dentro de los dientes inferiores.
- Mordida abierta: donde los dientes superiores e inferiores no se tocan al morder.
Beneficios Adicionales de Usar Elásticos en Ortodoncia
- Ayudan a mejorar la alineación general de los dientes, promoviendo una sonrisa más equilibrada y estética.
- También pueden acelerar el progreso del tratamiento ortodóntico, reduciendo el tiempo total necesario para lograr los resultados deseados.
- El uso consistente de los elásticos también contribuye a una mejor salud bucal a largo plazo.
Consejos para un Correcto Uso de los Elásticos
- Usa las gomas tal y como te explicaron en la consulta.
- Hay que ser constante, no sirve de nada usarlos dos días y dejarlos otros dos días. Forzosamente, debe ser diario. Debes llevarlos durante la mayor parte del día, y solo retirarlos durante las comidas y para tu higiene bucal.
- Las gomas pierden elasticidad con el uso, por eso es importante que las renueves cada 24 horas para que siempre se encuentren en óptimo estado. Aprovecha para cambiarlas cuando te las quites para comer o lavarte los dientes, así aseguras un resultado óptimo.
- Los elásticos pueden causar ligeras molestias los primeros días de uso. Esto es completamente normal e inevitable, ya que tus dientes se están moviendo. Esto puede desanimarte un poco y hacer que no te pongas las gomas, pero piensa que las ligas de los brackets son para mejorar tu boca, seguro que eso te motiva.
- Si algún día los llevas menos horas de las indicadas, intenta compensarlas al día siguiente llevándolas unas horas más.
