El sarro es una placa dental endurecida que puede afectar a cualquier persona, incluso a aquellos que mantienen una higiene bucal aparentemente adecuada. A continuación, exploraremos las causas de la formación de sarro, sus síntomas, complicaciones y, lo más importante, cómo prevenirlo y tratarlo eficazmente.

¿Qué es el Sarro Dental?
El sarro, también conocido como cálculo dental o tártaro, es la consecuencia del endurecimiento de la placa bacteriana. La placa bacteriana es una película que se deposita sobre los dientes y está compuesta de bacterias, saliva, restos de comida y células muertas. Aparece en todas las personas.
La placa dental va depositándose continuamente en los dientes, a lo largo del día y la noche. Incluso, después de cepillar los dientes, la placa se desarrolla en su superficie al cabo de unas 24 horas.
Si la placa no se retira mediante el cepillado, después de aproximadamente 72 horas, comienza a endurecerse y se convierte en sarro al entrar en contacto con sales minerales presentes en la cavidad bucal. Además, la placa permite la proliferación de bacterias entre las que se incluyen las que producen la caries, de ahí la importancia del cepillado diario y el uso de seda dental.
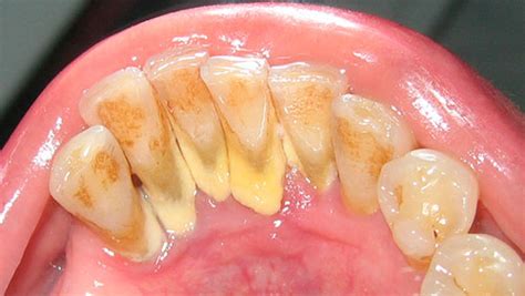
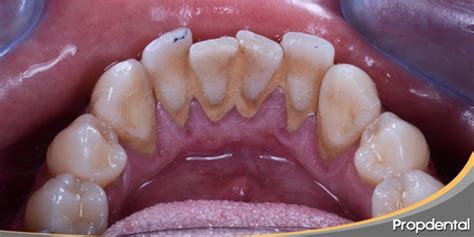
El sarro es, por tanto, resultado del endurecimiento de esa placa bacteriana no retirada. Forma un recubrimiento blanquecino o amarillento en la base de los dientes, en especial en los dientes inferiores anteriores por el lado de la lengua y en los molares superiores por el lado de la mejilla.
A diferencia de la placa, el sarro no se puede eliminar con el cepillado y el uso de hilo dental. Sólo un dentista o higienista puede eliminar el sarro en los dientes, también llamado cálculo dental.
El sarro está compuesto en su mayor parte (del 70 al 90%) por elementos inorgánicos ―sales minerales―, que se combinan con sustancias orgánicas como proteínas, carbohidratos y, en menor medida, lípidos.
Además de poder provocar problemas de salud como caries dentales, gingivitis o halitosis, el sarro dental constituye un problema estético.
¿Acumulas mucho sarro dental? Evítalo así. Te lo explico rápido y fácil.
¿De Qué Está Hecho el Sarro?
El sarro contiene principalmente bacterias muertas que se han mineralizado, mezcladas con una pequeña cantidad de proteínas mineralizadas que aporta la saliva.
En concreto, el sarro se compone de estos minerales:
- Fosfato de calcio.
- Carbonato de calcio.
- Fosfato de magnesio.
¿Cuáles Son los Síntomas del Sarro en los Dientes?
Si comienza a desarrollar sarro en los dientes, puede notar:
- Manchas amarillas, marrones o negras en los dientes.
- Mal aliento (halitosis).
- Gingivitis (encías rojas, inflamadas o sangrantes).
- Una capa dura, parecida a una costra, en los dientes.
Sí, el sarro suele tener un olor desagradable. También puede causar que se formen pequeñas bolsas en las áreas entre los dientes y las encías. Las bacterias y los restos de comida pueden quedar atrapados allí, provocando mal aliento o mal sabor de boca.
¿Qué Causa el Sarro en los Dientes?
Como acabamos de ver, la ausencia o deficiencia de higiene dental es la principal causa de formación del sarro: si no se retira periódicamente, la placa dental se acumula, endurece y mineraliza, lo que da lugar a la formación del sarro.
Cuando no se elimina la placa de los dientes de forma rutinaria, esta puede convertirse en sarro. Así pues, el sarro suele ser consecuencia de una mala higiene bucal.
Otra causa de la aparición del sarro es la malposición de los dientes.
Factores de Riesgo para el Sarro
Además de una incorrecta higiene bucal, existen otros factores que propician la aparición del sarro. Entre ellos, se encuentran los siguientes:
- No se cepilla ni usa hilo dental con tanta frecuencia como debería. (Como mínimo, debe cepillarse dos veces al día y usar hilo dental una vez al día).
- Consumir muchos alimentos y bebidas ricos en azúcar.
- Fumar o consumir otros productos de tabaco.
- Usar alguna forma de ortodoncia.
- Sufrir de boca seca (xerostomía).
- El consumo excesivo de café, té o vino.
- El uso incorrecto o prolongado de algunos colutorios.
- La malposición o mala alineación de los dientes. Ello aumenta la dificultad de llevar a cabo una higiene adecuada y, por tanto, de retirar correctamente la placa dental.
- Factores genéticos que afectan a la saliva como el grado de acidez (pH).
- Producir una cantidad insuficiente de saliva debido al uso de medicamentos u otras condiciones médicas.
- Tener edad avanzada. Con el paso de los años, las encías pueden retraerse, lo que expone una mayor superficie dental a la acumulación de placa y a la formación de sarro.
Es más probable que desarrolle placa y sarro si:
- No se cepilla ni usa hilo dental con tanta frecuencia como debería. (Como mínimo, debe cepillarse dos veces al día y usar hilo dental una vez al día).
- Consumir muchos alimentos y bebidas azucarados.
- Fumar o consumir otros productos de tabaco.
- Usar alguna forma de ortodoncia.
- Sufrir de boca seca (xerostomía).
Apariencia y Tipos de Sarro
El sarro tiene la apariencia de una costra gruesa que cubre los dientes, sobre todo la parte trasera de las piezas delanteras inferiores, que es una zona más difícil de limpiar. También puede formarse entre las piezas dentales y el borde de las encías.
Inicialmente su color es blanquecino, pero se mancha con facilidad y puede adquirir un tono amarillento o amarronado. Asimismo, puede presentarse acompañado de hinchazón y enrojecimiento de las encías, cuadro conocido como gingivitis.
En función de su localización, el sarro puede ser:
- Supragingival: Se acumula en la superficie visible de los dientes y encías.
- Subgingival: Se localiza por debajo de la línea de la encía, por lo que es más difícil de percibir.
Complicaciones de Tener Sarro en los Dientes
Si no eliminas el sarro de tus dientes, es mucho más probable que desarrolles:
- Gingivitis o enfermedad de las encías.
- Recesión de las encías.
- Cavidades.
Si no se elimina correctamente la placa bacteriana y se forma sarro, pueden producirse, en función del tipo de bacterias predominantes, los siguientes problemas en la boca:
- Gingivitis: La placa y el sarro irritan e inflaman las encías, que se hinchan y sangran. Se pueden formar “bolsillos” en los que pueden proliferar bacterias.
- Periodontitis: Es una forma más severa de la enfermedad de las encías, en la que los ligamentos y el hueso que soportan el diente se destruyen. Con frecuencia, desencadena la pérdida de la pieza dental.
- Caries dentales: Son agujeros o cavidades que dañan la estructura del diente. Se producen cuando las bacterias presentes en la placa metabolizan los azúcares y producen ácidos capaces de disolver el esmalte con el paso del tiempo.
- Mal aliento (halitosis): Debido a menudo a una mala higiene oral, las bacterias presentes en la boca segregan compuestos de azufre que producen un olor desagradable. Puede ocurrir que el sarro no sea visible, pero que sí se perciba el mal aliento. Los “bolsillos” que se crean por la gingivitis y periodontitis acumulan bacterias y pueden incrementar la halitosis
- Aumento de la sensibilidad en los dientes, sobre todo al frío y/o al calor.
Además, los trastornos dentales pueden llegar a provocar una gran variedad de problemas de salud sistémicos como trastornos digestivos o enfermedades cardiovasculares, entre otros.

Diagnóstico y Tratamiento del Sarro
Un dentista puede decirle si tiene acumulación de sarro durante un examen dental de rutina. Eliminarán el sarro de forma segura utilizando una combinación de instrumentos especiales.
Puede resultar tentador eliminar el sarro de los dientes sin un dentista, pero en realidad esto puede dañarlos y hacerlos más susceptible a las caries y otros problemas.
Dependiendo de la cantidad de acumulación de sarro que tenga, su dentista puede recomendarle:
- Limpieza dental profesional.
- Tratamientos para enfermedades de las encías.
Limpieza Dental Profesional
Las limpiezas dentales de rutina son la mejor manera de mantener la boca y los dientes sanos. Durante una limpieza, un higienista dental elimina la placa y el sarro de los dientes utilizando instrumentos especiales.
Pero si es propenso a tener caries, enfermedades de las encías u otros problemas, es posible que necesite limpiezas con más frecuencia. Pregúntele a su dentista qué programa de limpieza es el adecuado para usted.
Tratamientos para la Enfermedad de las Encías
Si el sarro ya ha causado cierta pérdida ósea alrededor de los dientes, su dentista puede recomendarle un tratamiento para la enfermedad de las encías. Estos procedimientos eliminan el sarro que queda atrapado debajo de la línea de las encías, donde el cepillado y el hilo dental no pueden llegar.
Los tratamientos comunes para las enfermedades de las encías incluyen:
- Raspado y alisado radicular.
- Cirugía ósea (cirugía de reducción de bolsas).
- Terapia periodontal con láser (uso de energía láser para matar las bacterias debajo de las encías).
Una vez se ha formado, solamente el odontólogo puede retirarlo mediante una tratectomía, una limpieza dental que permite extraerlo mediante el uso de instrumentos especiales. Se trata de un procedimiento indoloro y que no requiere ningún tipo de anestesia, aunque puede resultar un poco molesto para personas con elevada sensibilidad dental; en este caso, puede emplearse un espray con un anestésico local para insensibilizar el área.
Asimismo, el sarro puede extraerse con un aparato que emite ultrasonidos que lo desintegran.
En el caso de que el sarro se haya acumulado bajo las encías, es necesario realizar un curetaje o raspado dental. Este implica una limpieza más profunda, que sí suele requerir la aplicación de anestesia local.
¿Cómo Prevenir la Acumulación de Sarro?
Para evitar problemas como caries y enfermedades de las encías, lo mejor es evitar la formación de sarro en primer lugar. Para ayudar a prevenir la acumulación de sarro en los dientes:
Para reducir al mínimo la placa bacteriana y evitar así que se forme el sarro, es necesario limpiar todos días los dientes, la lengua, las encías, el paladar y el interior de las mejillas. En concreto, una higiene oral completa debe incluir los siguientes cuidados personales:
- Cepille sus dientes dos o tres veces al día. Utilice un cepillo de dientes de cerdas suaves y pasta dental con flúor.
- Utilice hilo dental entre los dientes una vez al día. Puedes utilizar hilo dental tradicional o cepillos pequeños que se colocan entre los dientes.
- Haga buches con un enjuague bucal antibacteriano sin alcohol dos veces al día. Esto ayuda a matar las bacterias orales que causan la acumulación de placa y sarro.
- Evite fumar y otros productos de tabaco. Las investigaciones muestran que las personas que fuman o mascan tabaco tienen un riesgo mucho mayor de desarrollar sarro.
- Visite a su dentista periódicamente para exámenes y limpiezas. Cepillarse los dientes y usar hilo dental en casa es esencial para tener dientes y encías sanos. Pero aún necesita limpiezas y exámenes dentales profesionales. A muchas personas les va bien con visitas preventivas dos veces al año. Otros podrían necesitar citas más frecuentes. Pregúntele a su dentista.
- Cepillarse los dientes cuidadosamente. Debe hacerse tras cada comida pero, sobre todo, es fundamental realizar un cepillado profundo antes de irse a dormir, cuando baja la producción de saliva y los movimientos de la lengua, ya que estos contribuyen a remover la placa bacteriana. Puede utilizarse un cepillo manual o eléctrico, aunque estos últimos han demostrado retirar la placa con mayor eficacia si cuentan con tecnología oscilatoria-rotatoria. En todo caso, se recomienda que el cepillo tenga cerdas suaves o medias y que el cabezal no sea demasiado grande para que llegue a todos los rincones de la boca.
- Cepillarse las encías. Tras los dientes, debe cepillarse con suavidad la dentadura a lo largo de la línea de las encías.
- Usar un dentífrico con flúor. El dentífrico que usemos para el cepillado debe incluir flúor en su fórmula, porque ayuda a prevenir las caries. También existe la opción de realizar enjuagues bucales fluorados tras el cepillado dental. En niños deben emplearse dentífricos adaptados a su edad en contenido de flúor.
- Limpiarse los espacios interdentales. Si existe espacio suficiente, debe emplearse un cepillo interproximal o, si no, hilo o seda dental. Ambos deben usarse al menos una vez al día, preferiblemente por la noche, con el fin de asegurar la limpieza de las caras laterales de los dientes y que no queden restos de comida entre ellos. También se puede emplear un irrigador de agua para eliminar los desechos que se encuentren entre los dientes y debajo de las encías. Es especialmente importante la limpieza con cepillo interproximal, seda o irrigador, en personas que lleven implantes o puentes, ya que los espacios entre los dientes y la retracción de las encías pueden favorecer la acumulación de placa en espacios difícilmente accesibles.
- Limpiarse la lengua. Debe frotarse suavemente hacia adelante usando el cepillo de dientes o un limpiador lingual, ya que en ella se acumulan un gran número de bacterias.
Además, los expertos recomiendan un examen rutinario de los dientes al menos una vez al año y una limpieza profesional cada seis o doce meses con el fin de eliminar el sarro, ya que este puede acumularse en los dientes incluso aunque se lleve a cabo en casa una buena higiene dental.
¿Qué Pasa Si No Elimino el Sarro?
Si deja sarro en los dientes, puede:
- Erosionar su esmalte.
- Causar caries.
- Hace que sus encías se hinchen y sangren.
- Conduce al mal aliento.
- Hace que sus dientes estén manchados.
¿Con Qué Frecuencia Debo Acudir a Mi Dentista Para Eliminar el Sarro?
Algunas personas acumulan placa y sarro más rápido que otras. La mayoría de las personas necesitan limpiezas cada seis meses.
Pero es posible que los necesite con más frecuencia si es usted propenso a sufrir problemas como caries y enfermedades de las encías. Pregúntele a su dentista qué tipo de programa de mantenimiento es el adecuado para usted.
Placa Versus Sarro: ¿Cuál Es La Diferencia?
La placa dental es una película amarillenta y pegajosa. Se desarrolla cuando las bacterias de la boca se alimentan de los azúcares de los alimentos que consume.
La placa se siente «borrosa» en los dientes, pero puede eliminarla cepillándose y usando hilo dental. Si no se elimina, se convertirá en sarro.
El sarro es placa endurecida. Puede que al principio sea amarillento, pero con el tiempo puede volverse más oscuro. El sarro se siente como una cáscara dura en los dientes.
A diferencia de la placa, el sarro no se puede eliminar con el cepillado y el uso de hilo dental.
¿Por Qué Tengo Sarro Negro en los Dientes?
El sarro adquiere el color de cualquier alimento y bebida que consuma. Es posible que note sarro negro si:
- Fuma o consume productos de tabaco.
- Bebe mucho té, café o vino tinto.
El sarro debajo de la línea de las encías también puede causar sangrado. Cuando la sangre se mezcla con el sarro, puede volverse negra.
La mejor forma de prevenir el sarro es practicar una buena higiene bucal. Pero a veces, se puede formar sarro a pesar de sus mejores esfuerzos.
Si esto sucede, no dude en acudir a un dentista de inmediato.
| Problema | Descripción | Causas | Prevención |
|---|---|---|---|
| Sarro Dental | Acumulación de placa bacteriana endurecida en los dientes. | Mala higiene bucal, dieta rica en azúcares, tabaquismo, etc. | Cepillado regular, uso de hilo dental, visitas al dentista. |
| Gingivitis | Inflamación de las encías. | Acumulación de placa y sarro. | Higiene bucal adecuada y limpiezas profesionales. |
| Periodontitis | Enfermedad avanzada de las encías con pérdida de hueso. | Gingivitis no tratada, factores genéticos, tabaquismo. | Tratamiento temprano de la gingivitis, higiene rigurosa. |
| Caries | Daño en la estructura del diente. | Bacterias en la placa que metabolizan azúcares. | Reducir el consumo de azúcares, cepillado con flúor. |