¿Te cepillas los dientes todos los días y aún así notas una especie de capa dura y amarillenta en tus dientes, sobre todo en la parte de abajo? Tranquila, no estás sola. En este artículo, te contamos todo lo que necesitas saber sobre el sarro dental, cómo se forma, sus consecuencias, los tratamientos más efectivos para eliminarlo y los mejores productos para prevenirlo.
¿Qué es el sarro dental?
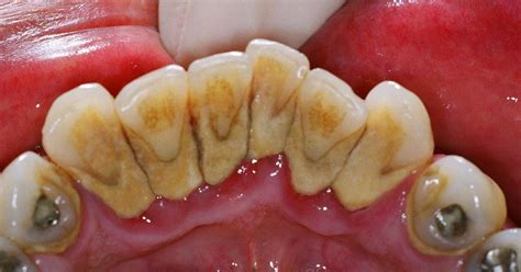
El sarro dental, también llamado cálculo dental, es una placa bacteriana que se ha endurecido debido a los minerales presentes en la saliva. Todo comienza con la placa dental, una película transparente y pegajosa que se forma constantemente en nuestros dientes.
Si no se elimina correctamente (con un buen cepillado y el uso de hilo dental), esta placa se mineraliza y se convierte en sarro, especialmente en zonas como detrás de los dientes inferiores.

¿Cómo saber si tienes sarro dental?
Para saber si tienes sarro dental, lo primero que puedes hacer es mirarte en el espejo. También puedes palpar alrededor de los dientes con la lengua. La forma más efectiva de detectar si tienes sarro dental es acudir a tu dentista para que te haga un examen profesional.
El sarro, o cálculo dental, es placa bacteriana que se ha endurecido por los minerales de la saliva.
Causas de la aparición del sarro
La mala higiene bucodental es la principal causa de su aparición.
Consecuencias del sarro dental
Cuanto más tiempo dejes que el sarro dental permanezca en tu boca, más bacterias se acumularán a su alrededor. Estas bacterias pueden empezar a corroer el esmalte dental, favoreciendo la decoloración de los dientes y la aparición de caries.
- Encías inflamadas: Es la inflamación de las encías.
- Caries dentales.
- Dolor de muelas.
- Flemón.
- Manchas blancas en los dientes.
- Ver Periodontitis: Una evolución de la gingivitis que afecta al hueso que sostiene los dientes. ¡Mucho ojo!
- El sarro dental también es responsable de ese mal aliento persistente que no se va ni con enjuague.
¿Cómo eliminar el sarro dental?
Una vez formado, no puedes eliminar el sarro en casa (ni aunque frotes como si no hubiera un mañana). Una vez formado, el sarro requiere herramientas profesionales. Si has detectado sarro en tu boca solo un dentista o higienista dental podrá eliminarlo por completo con una limpieza dental profesional. El sarro sólo se puede eliminar con una limpieza profesional realizada en una clínica dental.
Para eliminar el sarro que ha crecido más profundamente debajo de los tejidos blandos que sostienen los dientes, es necesario un tratamiento distinto, que recibe el nombre de raspado y alisado radicular, o curetaje, que sí necesita anestesia local. Se realiza cuando el sarro está debajo de las encías. Parecidas a las del dentista cuando te hacen un empaste.
¡COMO QUITAR EL SARRO 💩 DE LOS DIENTES EN CASA 🏡! ¡ES EN SERIO!
Tratamientos profesionales contra el sarro
En la clínica, se dispone de tratamientos avanzados para abordar la acumulación de sarro. La limpieza profunda es un tratamiento que se realiza para eliminar el sarro que se ha acumulado tanto por encima como por debajo de la línea de las encías. Este procedimiento no solo elimina la placa y el sarro, sino que también ayuda a prevenir la inflamación de las encías y otros problemas de salud bucal.
Además de las limpiezas, existen tratamientos adicionales que pueden ser necesarios en ciertas situaciones.
¿Cómo prevenir la formación de sarro?
No es posible eliminar en casa el sarro, pero si prevenirlo. Implementar prácticas efectivas de higiene puede ayudar a reducir la acumulación de placa bacteriana y, por ende, la formación de sarro.
Aquí es donde entra tu rutina beauty… pero para tu sonrisa. Recuerda: la placa es blanda y se elimina con el cepillo. El sarro es duro y solo sale en el dentista.
Consejos para prevenir el sarro:
- Un cepillado adecuado es fundamental para eliminar los restos de comida y la placa. Se debe utilizar una pasta dental con flúor y cepillarse al menos dos veces al día.
- Hilo dental: sí, todos los días. El hilo dental es una herramienta esencial para limpiar entre los dientes donde el cepillo no llega. Es recomendable usarlo una vez al día.
- La alimentación desempeña un papel crucial en la salud bucal. Los alimentos ricos en azúcares y almidones son un caldo de cultivo para las bacterias, favoreciendo la formación de placa y sarro.
- Los enjuagues bucales con propiedades antibacterianas pueden complementar las técnicas de cepillado e hilo dental.
- Existen pastas dentales formuladas específicamente para combatir el sarro. Estas suelen contener abrasivos suaves y agentes que ayudan a descomponer la placa.
- Al menos una vez al año, aunque lo ideal es cada seis meses. Las consultas profesionales y el mantenimiento adecuado son fundamentales para garantizar una buena salud bucodental.

Remedios caseros: ¿Son efectivos para eliminar el sarro?
Y si te preguntas por soluciones DIY, debes saber que los remedios caseros para el sarro en los dientes de abajo no sustituyen la limpieza profesional. Además de estos consejos útiles para prevenir la aparición del sarro, hay también muchas otros remedios que puedes probar para eliminar el sarro dental. La mayoría de estos remedios caseros tienen en común una cosa: aplicarlos puede implicar un severo daño en el esmalte dental. Además, ninguna de estas recomendaciones para eliminar el sarro será efectiva sin una higiene dental completa de forma regular.
Algunos de los remedios caseros más comunes son:
- Bicarbonato de sodio: Para crear una pasta eficaz, se puede mezclar una cucharadita de bicarbonato de sodio con un poco de agua. Esta mezcla debe aplicarse sobre el cepillo de dientes y usarse para limpiar los dientes durante aproximadamente dos minutos. Es importante tener en cuenta que el uso excesivo de bicarbonato de sodio puede desgastar el esmalte dental. Para hacer esta pasta, sólo tienes que mezclar una cucharadita de bicarbonato de sodio con agua caliente hasta formar una pasta espesa.
- Limón: El limón es conocido por sus propiedades antibacterianas y blanqueadoras. Para preparar una solución eficaz, se debe exprimir el jugo de medio limón en una taza de agua tibia y mezclar bien. Es fundamental recordar que el ácido del limón puede erosionar el esmalte dental si no se enjuaga adecuadamente.
- Vinagre de sidra de manzana: Si la pasta de bicarbonato de sodio no es suficiente, entonces puedes probar a utilizar vinagre de sidra de manzana. Sólo tienes que mezclar partes iguales de vinagre de sidra de manzana y agua en una taza, y luego utilizarlo como enjuague bucal durante dos minutos cada día, más o menos.
- Oil pulling con aceite de coco: También puedes probar el oil pulling con aceite de coco.
El tipo de cepillo de dientes influye
El tipo de cepillo de dientes utilizado puede influir significativamente en la eficacia de la eliminación del sarro. Los cepillos eléctricos han demostrado ser más eficaces en la eliminación de placa bacteriana en comparación con los manuales, gracias a su capacidad para realizar movimientos oscilantes y rotativos. Los cepillos interdentales son útiles para alcanzar las áreas entre los dientes que un cepillo normal podría no limpiar adecuadamente. Su inclusión en la rutina diaria puede contribuir a reducir la acumulación de sarro.
Otros consejos adicionales:
- El té verde es conocido por sus propiedades antioxidantes y su capacidad para neutralizar bacterias.
- Consumir frutas y verduras frescas, como manzanas y zanahorias, puede ayudar a limpiar los dientes de forma natural. Y no olvides que tu alimentación también es fundamental para prevenir la aparición del sarro. Come muchas manzanas y zanahorias, y evita, en la medida de lo posible, el pan de molde.
¿Por qué a veces el sarro se vuelve negro?
En algunos casos, el sarro puede volverse negro debido a ciertos factores, como tener una alta concentración de hierro en la saliva.
Productos para quitar el sarro
Existen diversos productos en el mercado diseñados para ayudar a prevenir la formación de sarro y mantener una buena higiene bucal. Algunos ejemplos incluyen:
| Producto | Descripción |
|---|---|
| Sarro WC | Desincrustante anti-sarro, especial para sanitarios y la limpieza de las juntas de cocina y en los suelos. |
| Pastas dentales anti-sarro | Contienen abrasivos suaves y agentes que ayudan a descomponer la placa. |
| Enjuagues bucales antibacterianos | Complementan las técnicas de cepillado e hilo dental. |
Recuerda que el uso de estos productos debe complementarse con una adecuada higiene bucal y visitas regulares al dentista.
El sarro dental es un problema común que se puede prevenir manteniendo una buena higiene bucodental y realizando visitas regulares al dentista.