Como odontólogo, quiero hablarte de las coronas de zirconio y su precio en España desde mi experiencia profesional. Entiendo que si estás buscando información sobre este tratamiento es porque quizás tu dentista te lo ha recomendado o tienes curiosidad por sus costos y beneficios.
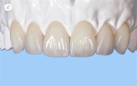
Una corona dental de zirconio es, básicamente, una “fundita” hecha a medida para cubrir completamente un diente dañado o restaurarlo. A veces también escucharás que la llaman “funda dental de zirconio” - es exactamente lo mismo, solo otro modo de referirse a la corona. En el caso de las coronas de zirconio, el material utilizado es el óxido de zirconio, una cerámica muy resistente y de color blanco translúcido.
En otras palabras, la corona de zirconio actúa como un casco protector que envuelve todo el diente, devolviéndole su función (masticar sin molestias) y su estética (volver a lucir como un diente sano). Cuando un diente natural está muy debilitado (por caries extensa, fracturas, desgaste, etc.), lo tallamos ligeramente y lo cubrimos con una corona que imita la forma y color del diente original.

¿Cuándo se Recomienda una Corona de Zirconio?
- Diente muy dañado o roto: Si un diente se ha fracturado de forma importante o tiene una caries tan grande que un simple empaste no sería suficiente, una corona de zirconio puede salvarlo. Por ejemplo, tras una endodoncia (tratamiento de conducto para remover el nervio) es habitual colocar una corona para proteger el diente debilitado - en este caso, podemos elegir zirconio para lograr resistencia y buena estética.
- Mejorar la estética de un diente: Cuando un diente está muy decolorado, desgastado o con una forma anómala, y no se puede arreglar solo con empastes estéticos o carillas, cubrirlo con una corona de zirconio le devuelve un aspecto natural. Las coronas de zirconio son translúcidas y se pueden ajustar en color, por lo que resultan ideales en dientes frontales que requieren alta estética. En casos puramente estéticos en dientes frontales, a veces valoramos alternativas como las carillas de porcelana, que son láminas finas pegadas al frente del diente.
- Rehabilitar un diente con un implante: Si perdiste una pieza dental y te han colocado un implante dental (un tornillo de titanio en el hueso), la parte visible que va atornillada encima del implante también suele ser una corona. Hoy en día, es muy frecuente usar coronas de zirconio sobre implantes para conseguir un resultado fuerte y estético. En mi experiencia, combinar un implante con una corona de zirconio proporciona un resultado casi indistinguible de un diente natural vecino. Ten en cuenta que un implante y una corona son cosas distintas: el implante sustituye la raíz que falta, mientras la corona de zirconio es la “nueva pieza” que ves en la boca.
En resumen, recomiendo una corona de zirconio cuando busco durabilidad y estética a la vez.
TRATAMIENTO PASO a PASO con CORONAS DE ZIRCONIO para NO tener problemas en el futuro del tratamiento
Corona Dental vs. Implante Dental: ¿Cuál es la Diferencia?
Esta es una duda común que escucho de mis pacientes, así que permíteme aclararla brevemente. Una corona dental (ya sea de zirconio u otro material) es una cobertura que colocamos sobre un diente natural que aún tienes, cuando ese diente lo requiere por las razones antes mencionadas.
En cambio, un implante dental es un sustituto artificial de la raíz cuando ya no hay diente (porque se perdió o fue extraído). Sobre ese implante, para completar el trabajo, se coloca igualmente una corona. Es decir, a veces trabajan en conjunto: primero va el implante (en el hueso) y luego encima va una corona (que suele ser de porcelana o zirconio) para restaurar la parte visible.
Como odontólogo, he trabajado con distintos tipos de materiales para coronas a lo largo de los años.
Ventajas de las Coronas de Zirconio
- Estética muy natural: El zirconio es un material blanco y translúcido que imita muy bien al esmalte dental. La corona de zirconio refleja la luz de forma similar a un diente real, logrando que pase desapercibida. En personas exigentes con la estética, esta es una gran ventaja. Al tratarse de un material blanco y translúcido nos permite realizar prótesis de aspecto aún más natural y luminoso.
- Alta resistencia y durabilidad: Una corona de zirconio es extremadamente resistente a la fractura y al desgaste. Puede soportar la fuerza de la masticación diaria incluso en las muelas (dientes posteriores) que reciben más presión. Por eso, combinan lo mejor de dos mundos: son tan fuertes como las coronas metálicas tradicionales pero tan estéticas como las de porcelana.
- Biocompatibilidad: El zirconio es un material biocompatible, lo que significa que es bien tolerado por el organismo. No es metal en el sentido tradicional (es una cerámica especial), por lo que no provoca alergias ni reacciones adversas en personas sensibles a metales. El zirconio dental es absolutamente compatible con el organismo humano.
- Versatilidad de uso: Podemos utilizar coronas de zirconio en casi cualquier situación: desde restaurar un premolar o molar muy destruido, hasta reemplazar un incisivo central en la zona estética, o sobre un implante dental. En todos estos casos, el zirconio cumple con la función y la apariencia requerida.
Desventajas de las Coronas de Zirconio
- Precio más elevado: El principal “pero” de las coronas de zirconio suele ser su costo, que es mayor en comparación con otros materiales más convencionales (hablaremos de precios concretos en la siguiente sección). El zirconio en sí mismo y el proceso de fabricación (mecanizado por CAD/CAM, etc.) encarecen el producto final. Por eso, algunos pacientes dudan debido al precio. La única desventaja de la corona de óxido de zirconio es el cuesto más alto en comparación con las de metal-cerámica o de cerámica pura (véase los precios de las coronas dentales).
- Requiere equipamiento y técnica especializada: Desde el punto de vista profesional, trabajar con zirconio implica contar con laboratorios o sistemas de fresado modernos y técnicos protésicos especializados. Para ti como paciente esto no es un “contra” directo, pero sí significa que debes buscar una clínica de confianza que tenga experiencia colocando coronas de zirconio.
- Ligeramente menos translúcida que la porcelana pura: Aunque las coronas de zirconio actuales tienen muy buena estética, te seré sincero: las coronas 100% de porcelana (por ejemplo, de disilicato de litio tipo e.max) pueden ofrecer un nivel de translucidez incluso más natural en ciertos casos, especialmente en dientes delanteros muy exigentes. La diferencia es sutil, un ojo no entrenado ni lo nota, pero yo como dentista lo menciono. Sin embargo, esas coronas de porcelana pura son más frágiles; por eso muchas veces preferimos el zirconio, sacrificando un poquito de translucidez a cambio de mucha más resistencia.
En general, las ventajas del zirconio superan con creces sus desventajas cuando se indica apropiadamente. Por eso suelo recomendarlo mucho.
Precios de las Coronas de Zirconio en España
Vale, entremos de lleno en la gran pregunta: el precio. Es normal que quieras saber cuánto deberías presupuestar para una corona de zirconio. En España, una corona de zirconio suele costar aproximadamente entre 300 y 600 euros por diente. En mi experiencia, la mayoría de pacientes entran dentro de este rango por corona de zirconio en clínicas privadas. Este rango depende de muchos factores (materiales, técnicas, ciudad, etc., que ahora detallaremos).
Quiero destacar que este precio suele incluir todo el proceso de la corona: prepararla, tomar medidas, la fabricación en laboratorio y la cementación final, incluso la corona provisional de resina que se coloca mientras se hace la definitiva.
¿Por qué esa horquilla de 300 a 600 €? ¿De dónde sale la diferencia?
- Complejidad del caso y tratamientos previos: Antes de colocar la corona, a veces el diente requiere otros procedimientos. Si el diente está muy destruido, puede que necesite una reconstrucción con perno o un refuerzo interno; si el nervio está dañado, habrá que hacer una endodoncia previa; si directamente no hay diente y vamos a colocar un implante, eso es un procedimiento aparte. Cada paso adicional (cirugías, endodoncia, postes, etc.) tiene su coste independiente de la corona en sí. Por ejemplo, una corona de zirconio sobre un implante dental suele ser más cara que sobre un diente natural, porque hay que añadir el precio del implante en sí y del componente que une implante y corona (pilar protésico).
- Material exacto y tecnología utilizada: Dentro de las coronas de zirconio, existen variaciones. Puede ser zirconio monolítico (tallado de un bloque sólido, muy resistente) o zirconio con recubrimiento de porcelana encima (para dar un extra de estética en frontales). También hay distintas marcas y calidades de zirconio dental. Esto puede hacer variar un poco el precio de laboratorio. Asimismo, si la clínica cuenta con tecnología CAD/CAM para diseñar y fresar la corona en el día, puede repercutir en el coste (aunque a veces se compensa porque ahorras visitas).
- Ubicación geográfica y prestigio de la clínica: El precio de los tratamientos odontológicos puede cambiar según la ciudad o región. En grandes ciudades como Madrid o Barcelona, los honorarios suelen ser un poco más altos que en localidades pequeñas, debido a costes operativos mayores. También influye el prestigio y experiencia del profesional o la clínica: un especialista muy reconocido o una clínica de mucha trayectoria a veces tienen tarifas algo más elevadas (aunque a cambio ofrecen gran calidad, tecnología puntera y garantías).
- Seguros dentales o convenios: ¿Tienes un seguro dental privado? Esto puede marcar la diferencia en el precio final que pagues. Algunos seguros dentales en España cubren parcialmente el coste de las coronas o tienen tarifas especiales concertadas con clínicas asociadas. Por ejemplo, he visto aseguradoras donde el paciente paga entre 300 y 350 € por una corona de zirconio si va a un dentista de su cuadro, en lugar de los ~450 € tarifa estándar sin seguro. Cada póliza es un mundo: conviene que consultes a tu aseguradora si tienes este beneficio. La Seguridad Social, por otro lado, no cubre coronas dentales en adultos en la mayoría de casos, ya que considera estos tratamientos como parte de la odontología privada (salvo situaciones muy excepcionales).
- Número de piezas a tratar y promociones: A veces, las clínicas ofrecen algún descuento si necesitas varias coronas de golpe, o paquetes cerrados si formas parte de algún plan dental. No es que el precio por unidad baje drásticamente, pero es posible obtener facilidades de pago. Por ejemplo, en nuestra clínica solemos ofrecer financiación sin intereses cuando el tratamiento es costoso, para que el paciente pueda pagarlo en varios meses.
En conclusión, el precio de tu corona de zirconio dependerá de tu caso particular. Mi consejo es que acudas a una consulta (muchas veces la primera cita valorativa es gratuita o de bajo costo) y pidas un presupuesto personalizado. Así verás exactamente qué incluye, si necesitas tratamientos adicionales, y podrás valorar calidad/precio.

Coronas de Zirconio vs. Otros Tipos de Coronas
En el mercado existen diferentes tipos de coronas según su material de fabricación. Cada una tiene sus indicaciones, ventajas y rangos de precio.
- Corona de metal-porcelana (porcelana fundida sobre metal): Es la corona tradicional de toda la vida. Tiene un casco interno metálico (aleación de metales, puede ser cromo-níquel, paladio, etc.) y va recubierto externamente de porcelana del color del diente. Han sido las más utilizadas durante décadas.
- Ventaja: son muy resistentes y algo más económicas que las de zirconio.
- Desventaja: la presencia del metal puede comprometer la estética en la zona frontal (por opacidad o por el borde gris que mencionamos si la encía se retrae).
- Su precio suele rondar entre 250 y 450 € por diente en España.
- Corona de porcelana pura (cerámica tradicional o disilicato de litio): Aquí no hay metal; toda la corona está hecha de porcelana dental de alta estética. Por ejemplo, un tipo es el disilicato de litio (E.max), muy famoso por su aspecto natural.
- Ventaja: ofrece la mejor estética posible, con una translucidez que imita perfectamente al esmalte. Es ideal para dientes anteriores (incisivos, colmillos) cuando queremos máxima belleza.
- Desventaja: son más frágiles comparadas con zirconio o metal-porcelana, por eso no se suelen poner en muelas donde la fuerza es alta (riesgo de fractura).
- Corona metálica (totalmente de metal): Son coronas hechas completamente de metal. Pueden ser de metales no preciosos (por ejemplo, acero, cromo-cobalto) o de metal precioso (oro o aleación alta en oro). Antiguamente, las de oro se consideraban el “estándar” para muelas por su magnífica durabilidad.
- Ventaja: la corona metálica (especialmente la de oro) es sumamente duradera, aguanta décadas y desgasta menos el diente opuesto al morder.
- Desventaja: estética nula, obviamente se ve dorada o plateada, por lo que hoy casi ningún paciente la quiere a la vista. Actualmente se usan muy poco; a veces en segundas muelas muy posteriores o en casos especiales.
- El precio varía: si es un metal básico no noble, es la opción más barata (puede costar entre 100 y 150 €), pero si es de oro, irónicamente es la más cara de todas (por el coste del oro, fácilmente 700-1000 € o más según la cantidad de oro).
- Corona de resina o acrílica (provisional): Técnicamente no es una corona para uso prolongado, sino temporal. Se confecciona con resina compuesta o acrílico.
- Ventaja: su coste es muy bajo (unos 30-50 €, a veces ya incluido en el tratamiento) y se puede fabricar rápidamente, incluso en la clínica en una sola sesión.
- Desventaja: la resina es un material poco resistente y se desgasta o fractura en pocos meses, además de pigmentar con el tiempo. Por eso no se usan como coronas definitivas salvo en situaciones muy puntuales. Su papel principal es servir de corona provisional mientras se fabrica la corona definitiva de mejor material (zirconio, porcelana, etc.).
Como ves, la corona de zirconio se sitúa entre las opciones más modernas y balanceadas: ofrece mejor estética que la metal-porcelana y casi igual de buena que la porcelana pura, con una resistencia superior a la porcelana y cercana a la del metal. Es un poco más cara que la metal-porcelana, sí, pero bastante más accesible que una corona de oro puro (y mucho más bonita).
Por estas razones, muchos dentistas (incluyéndome) consideramos que el zirconio es la mejor elección calidad-precio para coronas actualmente en la mayoría de casos.
¿Cómo se Coloca una Corona de Zirconio?
Permíteme ahora guiarte por el proceso típico de colocación de una corona de zirconio, para que sepas qué esperar. Colocar una corona suele requerir dos visitas principales a la clínica (a veces tres, dependiendo de ajustes, o una sola si la clínica dispone de sistemas de coronas en el día).
Primera visita - Preparación del diente:
Lo primero es asegurarnos de que el diente esté limpio de caries o infecciones. Si necesitaba una endodoncia, se hace antes o durante esta fase. Después, te aplico anestesia local en la zona (¡tranquilo, no sentirás dolor durante el procedimiento!) y procedo a tallar el diente. Tallar significa reducir un poco su tamaño y darle forma cilíndrica, eliminando la parte dañada, para hacer espacio a la corona. Tomo mucha precisión en este paso: el objetivo es dejar un “muñón” de diente de cierta forma, sobre el cual encajará la futura corona de zirconio como un guante. Si el diente estuviera muy destruido...
Ventajas y Desventajas: Zirconio vs. Titanio en Implantes
Los implantes de zirconio, también conocidos como implantes cerámicos, son la alternativa sin metal a los implantes dentales tradicionales de titanio. El implante de zirconio se integra en el hueso maxilar (osteointegración) para servir de base sólida a una corona, un puente o una prótesis dental.
Es fundamental que un implantólogo cualificado evalúe tu caso. En Face Clinic, nuestros especialistas te harán un diagnóstico preciso para determinar si los implantes de zirconio son la mejor opción para ti, garantizando un resultado funcional y estético.
Proceso de Colocación de Implantes de Zirconio:
- Diagnóstico y Planificación: Se realiza una evaluación completa con un escáner 3D (CBCT) para valorar la cantidad y calidad de hueso.
- Cirugía de Colocación: El procedimiento se realiza con anestesia local. Para mayor confort del paciente, en Face Clinic ofrecemos sedación consciente.
- Osteointegración: Comienza un período de curación de 3 a 6 meses, durante el cual el implante se fusiona con el hueso.
Al igual que los implantes de titanio, los implantes de zirconio están diseñados para durar toda la vida.

No hay un material que sea universalmente “mejor” que otro; la elección depende de las necesidades y prioridades de cada paciente. El zirconio es superior en estética y es la opción ideal para pacientes con alergias a metales. Por su parte, los implantes de titanio tienen una trayectoria clínica más larga y suelen ser más económicos.
El precio de un implante de zirconio suele ser superior al de uno de titanio, debido a la complejidad de su fabricación. El coste final depende de la complejidad del caso y de si se necesitan tratamientos adicionales como un injerto de hueso.
Sí, los implantes de zirconio están diseñados para ser una solución a muy largo plazo, potencialmente para toda la vida. La cirugía se realiza siempre bajo anestesia local, por lo que no sentirás dolor.
¡Por supuesto! De hecho, es muy común para lograr un resultado estético global. Los implantes de zirconio se pueden combinar perfectamente con un blanqueamiento dental en el resto de dientes o con la colocación de carillas dentales en las piezas adyacentes para diseñar una sonrisa completamente armónica.
El profesional más cualificado para colocar implantes dentales es el cirujano oral o un odontólogo con formación especializada en Cirugía e Implantología.
Consideraciones Adicionales sobre el Zirconio Dental
Muchos pacientes a causa del nombre, creen que la corona está realizada completamente en zirconio. Pero, en realidad, solo la parte interna está hecha de ese material, sin embargo la parte externa está realizada en cerámica. El color blanco del zirconio permite el uso de las coronas para un periodo más largo.
Normalmente cuando la gente habla de metal-cerámica, se refiere a la aleación Cromo-Níquel o Cromo-Cobalto. No se recomienda hacer las coronas de aleación de Cromo-Níquel, incluso si es muy barato porque está comprobado que pueden ocurrir reacciones alérgicas.
“Margen metálico” Con el tiempo las encías se retraen dejando a la vista el metal de la corona visible como un “margen metálico” entre la encía y el diente. En condiciones ideales de producción y de uso, las coronas de metal-cerámica pueden durar 15-20 años.
Elija una clínica dental de confianza, que tenga preferiblemente su propio laboratorio dental. La situación del diente/implante sobre el cual se fija la corona. La corona metal-cerámica no se sustituye solo porque está usada. La velocidad de retracción de las encías Con el tiempo la encía se retrae dejando a la luz la corona que se vuelve antiestética.
Las fundas de zirconio se han convertido en un elemento revolucionario dentro del mundo de la odontología estética al ofrecer un equilibrio ideal entre belleza y funcionalidad. Estas fundas están elaboradas completamente de zirconio dental, un material reconocido por su durabilidad y apariencia natural que se mimetiza perfectamente con el aspecto de los dientes. Su translucidez y la ausencia de metales permiten que se disimulen perfectamente haciéndolas indetectables a la vista.
La higiene también se ve facilitada con las fundas de zirconio, ya que se pueden limpiar individualmente evitando la formación de manchas y la acumulación de placa. Si miramos a largo plazo, estas fundas no sufren de oscurecimiento cerca de las encías, un problema común en coronas de materiales menos avanzados como el composite.
Las carillas y las coronas zirconio no son lo mismo. Ahora bien, las ventajas de las carillas de zirconio son muy similares a las de las fundas. En definitiva, las carillas proporcionan una solución estética y duradera para problemas como manchas o deterioro superficial del diente aportando naturalidad, estética y durabilidad.
Como puedes observar, las ventajas de las fundas y carillas de zirconio superan con creces sus desventajas convirtiéndolas en una opción valiosa para quienes buscan restaurar su sonrisa sin comprometer la funcionalidad ni la estética.
Una restauración totalmente cerámica que se adapte bien y muestre una biocompatibilidad, resistencia, precisión de ajuste y estética mejorada es algo que siempre se ha buscado en el campo de la odontología clínica. La reciente introducción de las cerámicas con base de óxido de zirconio como material restaurador dental ha despertado un interés considerable en la comunidad odontológica, expresado a través de una intensa actividad industrial, clínica e investigadora.
Especialmente con el desarrollo de los sistemas de CAD/CAM (diseño y fabricación asistido por ordenador), las subestructuras de óxido de zirconio de alta resistencia pueden ser viables para la confección de coronas de recubrimiento completo o parcial, prótesis fijas, carillas, postes radiculares y/o muñones, coronas telescópicas primarias, pilares de implantes e implantes. Los datos procedentes de los estudios de laboratorio y clínicos sobre su rendimiento y supervivencia son prometedores.
En la actualidad, la tecnología del óxido de zirconio se ha puesto en línea con las técnicas de diseño y fabricación asistidas por ordenador (CAD/CAM) que prometen transformar el ejercicio cotidiano de la odontología. Los objetivos de la presente revisión son reflejar los conocimientos actuales sobre su manufacturación, recalcar su rango de indicaciones y debatir las ventajas/desventajas y supervivencia de la cerámica de óxido de zirconio en el campo odontológico.
tags: #propiedades #del #zirconio #dental