Hoy en día, muchas personas se ven afectadas por problemas dentales que afectan su calidad de vida, y en algunos casos, incluso su autoestima. Las prótesis dentales pueden ser una solución para restaurar la función y la apariencia de los dientes faltantes o dañados. Si estás pensando en optar por una prótesis fija en vez de una de “quita y pon”, te interesará saber qué tipo de prótesis sería mejor para tu caso y cuál sería su coste. En este artículo, te contamos todo lo que desees saber sobre las prótesis dentales fijas.
Las prótesis dentales fijas tienen como objetivo reproducir la anatomía de los dientes que, o bien se han perdido, o bien están dañados, pero no se han caído. Se denominan fijas ya que no pueden ser retiradas por el paciente, sino por el dentista en la consulta. Las prótesis dentales fijas están recomendadas en personas adultas que han perdido o tienen dañados algunos de sus dientes. En cualquier caso, se debe tener en cuenta que, para que la prótesis cumpla la función de ser un tratamiento a largo plazo, es necesario mantener una buena higiene dental diaria.
Las prótesis dentales cumplen un papel fundamental que va más allá de la simple estética:
- Mejorar el habla y la estética: La ausencia de dientes puede afectar la pronunciación y la apariencia de la sonrisa.
- Prevenir problemas futuros: Al reemplazar los dientes perdidos, las prótesis evitan que los dientes adyacentes se desplacen, lo que podría generar problemas de mordida (maloclusión).
Tipos de Prótesis Dentales
Existen varios tipos de prótesis dentales disponibles en el mercado, cada una con su propio rango de precios. A continuación, se describen los tipos principales:
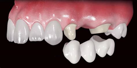
Prótesis Fijas
Las prótesis fijas son más estéticas, cómodas y duraderas. Las prótesis dentales fijas es aquella que, como su nombre indica, se mantiene de forma permanente en la boca del paciente y, por tanto, no pueden quitarse. Este tipo de prótesis tiene ventajas frente a una prótesis removible, por ejemplo, el paciente no necesita quitarse la prótesis para limpiarla y no tiene inconvenientes de filtración de restos de comida.
- Prótesis fija sobre dientes: Este tipo de prótesis van sujetas a los dientes naturales del paciente, consiguiendo gran sujeción y firmeza. Un puente es la reposición de una o varias piezas usando como pilares los dientes que hay por delante y detrás de la brecha. Este tratamiento exige desgastar estos dientes de los extremos a los que llamamos pilares. A la hora de realizar coronas sobre dientes nosotros no distinguimos entre dientes anteriores y posteriores y cobramos todos a 580 euros independientemente de si la corona es de metal-cerámica o de zirconio.
- Prótesis fija sobre implantes: En este caso va sujeta sobre uno o varios implantes dentales, que ejercen de raíz del diente. Este tipo de prótesis, a diferencia de las prótesis removibles, tienen muy poca probabilidad de rechazo, estas se integran perfectamente en el organismo, cosa que no ocurre con las de “quita y pon”. En ocasiones justo tras colocar el implante podemos atornillar una corona provisional en uno o varios de los implantes recién colocados.
- Coronas dentales: cubren por completo un diente dañado o un implante.
- Prótesis híbridas: combinan dientes en porcelana con parte de encía artificial, lo que aporta un resultado natural y estable. Esta es la solución protésica por excelencia cuando se colocan implantes en toda la arcada. Es una prótesis de resina y cerámica. Esta es la solución más cara debido a que se confecciona con porcelana por completo.

Prótesis Removibles
Las prótesis removibles permiten retirarlas de la boca por lo que facilitan la higiene. Las prótesis removibles, también llamadas de quita y pon, son una alternativa económica y accesible.
- Prótesis completa: indicada para pacientes que han perdido todos los dientes en una arcada. Es lo que comúnmente se conoce como dentadura postiza. Esta es la opción más básica, aunque también la menos estable. Está es la solución más simple y la más incómoda de todas ya que se trata de una prótesis que se coloca en pacientes desdentados que no se quieren o no pueden ponerse implantes. También conocidas como prótesis completas sin ganchos, se trata de la dentadura postiza que asociamos a las personas mayores sin dientes (edéntulos). Incluye los dientes, la encía y el paladar y se soporta directamente sobre la mucosa de la boca, por lo que es la opción menos eficaz en cuanto a la funcionalidad.
- Sobredentaduras sobre implantes: se colocan sobre implantes dentales mediante sistemas de anclaje, lo que proporciona más estabilidad que una prótesis convencional. Las sobredentaduras también van sobre implantes dentales, pero se trata de un sistema semifijo. Es por ello que aporta mayor comodidad al paciente a la hora de limpiarla, además de aportar un sistema de sujeción eficaz.
- Prótesis parciales esqueléticas: diseñadas para reemplazar solo algunas piezas, se sujetan mediante ganchos metálicos o estéticos. Este tipo de prótesis removibles sin paladar permiten restaurar los dientes necesarios y se sujetan a través de una estructura metálica.

Este tratamiento se considera definitivo y se usa en aquellos casos en los que el paciente no puede o quiere colocarse implantes. Este tratamiento se considera provisional y se realiza mientras cicatrizan los implantes o en casos específicos.
Como 𝗟𝗜𝗠𝗣𝗜𝗔𝗥 🧽 una 𝗣𝗥𝗢𝗧𝗘𝗦𝗜𝗦 𝗗𝗘𝗡𝗧𝗔𝗟 𝗥𝗘𝗠𝗢𝗩𝗜𝗕𝗟𝗘 (+ Como PONER una DENTADURA POSTIZA Correctamente)
¿Cuánto Cuesta una Prótesis Dental?
¿Cuánto cuesta una prótesis dental? Esta es una de las preguntas más recurrentes, entre los pacientes que buscan restaurar su sonrisa. La respuesta es que el precio puede variar mucho dependiendo de varios factores. Entre ellos, el tipo de prótesis, los materiales empleados, la complejidad del tratamiento y la clínica donde se realice. El precio de las prótesis dentales en España varía mucho en función del tipo que sea y de la clínica.
El precio de un diente postizo en 2025 en España varía entre 300 € y 1.200 €, dependiendo del tipo: removible, puente o implante fijo. Los dientes removibles son los más económicos (desde 300 €), mientras que los implantes dentales pueden superar los 1.000 €.
A pesar de que estos precios son muy precisos, existen aspectos que pueden encarecer los trabajos protésicos y por lo tanto será necesario acudir a la consulta para poder tener un presupuesto cerrado que contemple todas las necesidades de tu tratamiento personalizado.
Unos de los factores principales que influyen en el precio de un implante dental, son las tecnologías y las técnicas utilizadas en todo el proceso. También el uso de técnicas de cirugía guiada afectan al presupuesto. La cirugía guiada permite colocar los implantes a través de guías personalizadas que previamente s ehan diseñado en un programa 3D.
Factores que Influyen en el Costo
- Tipo de prótesis dental: El tipo de prótesis dental es un factor importante que afecta su precio.
- Materiales utilizados: El tipo de materiales utilizados para fabricar la prótesis dental también puede afectar su precio.
- Grado de personalización: El grado de personalización requerido para la prótesis dental también puede afectar su precio.
- Costes de laboratorio y suministros.
Cómo Ahorrar en el Precio de las Prótesis Dentales
Las prótesis dentales pueden ser costosas, pero hay varias formas de ahorrar en su precio.
- Compara precios.
- Optar por prótesis dentales parciales.
- Considerar opciones alternativas.
Recuerda que es importante no comprometer la calidad de su atención dental por el precio. Deberá asegurarse, por tanto, de investigar a los proveedores y seleccionar una opción que sea confiable y de alta calidad. No renuncies a ello y confía en un laboratorio capaz de sacar la mejor de las sonrisas a tus pacientes.
Prótesis Fija sobre Implantes: Una Solución Avanzada
Una prótesis fija sobre 6 implantes es una rehabilitación oral completa en la que una dentadura fija (es decir, que no se quita a diario) se ancla de forma permanente sobre seis implantes dentales estratégicamente colocados en el maxilar o la mandíbula. Este concepto se conoce también como técnica All-on-6 en odontología. En otras palabras, se instalan 6 raíces artificiales de titanio (implantes) en el hueso, y sobre ellas se atornilla una prótesis fija que reemplaza todos los dientes de una arcada (superior o inferior) con unas ~12 piezas dentales artificiales.
Esta solución está diseñada para pacientes que han perdido todos o la mayoría de sus dientes en una arcada y buscan una alternativa permanente y estable a las dentaduras removibles. A diferencia de una dentadura tradicional de “quita y pon”, la prótesis fija sobre implantes solo puede retirarla el dentista en consulta para mantenimiento; en el día a día permanece firme en la boca.
¿Cómo funciona?
Primero, evaluamos tu caso con radiografías y planificación 3D. Luego, se colocan los 6 implantes en una cirugía (con anestesia local o sedación). En muchos casos, podemos incluso colocar una prótesis fija provisional inmediata el mismo día de la cirugía (implantes de carga inmediata), de forma que salgas de la clínica ya con dientes fijos provisionales en 24 horas.
Tras unos meses de cicatrización y oseointegración (normalmente 3-4 meses), se sustituye la prótesis provisional por la prótesis definitiva, que suele ser más resistente y estéticamente personalizada.

Ventajas de la Prótesis Fija sobre Implantes
Elegir una prótesis fija implantosoportada con 6 implantes tiene numerosas ventajas respecto a otras alternativas.
- Función masticatoria completa: Al reemplazar todos los dientes de la arcada, el paciente recupera la capacidad de morder y masticar prácticamente igual que con dientes naturales.
- Máxima estabilidad y comodidad: La prótesis queda fija sobre seis implantes, lo que le aporta una estabilidad excepcional. No tendrás que preocuparte de que la dentadura se mueva o se caiga al hablar, reír o comer. Esta seguridad mejora la confianza y calidad de vida del paciente.
- Preservación del hueso y la encía: Al colocar implantes, estamos estimulando el hueso maxilar o mandibular de forma similar a como lo hacían las raíces naturales de los dientes. Esto previene la reabsorción ósea que ocurre tras la pérdida dental y ayuda a mantener la estructura facial (evitando ese aspecto de rostro “hundido” que a veces provocan las dentaduras postizas con los años).
- Mejor estética y seguridad al hablar: Al ser un trabajo fijo y personalizado, la apariencia de la prótesis fija completa suele ser muy natural. Podemos elegir materiales cerámicos de alta estética (como porcelana o zirconio) que logran dientes artificiales casi indistinguibles de los reales. Además, al ir atornillada a los implantes, no hay placas palatinas ni ganchos visibles, y mejora la dicción (muchos pacientes vuelven a pronunciar correctamente sonidos que con la dentadura removible costaban).
- Comodidad y simplicidad: Olvídate de los pegamentos de dentadura o de tener que dejar la prótesis en un vaso por las noches. Con una prótesis fija implantosoportada, los dientes permanecen en tu boca todo el tiempo, incluso al dormir. La higiene diaria es similar a la de los dientes naturales (cepillo, hilo o irrigador, etc.), sin necesidad de retirarla a diario (solo el dentista la removerá en revisiones periódicas para limpiezas profesionales).
Precio de una Prótesis Fija sobre 6 Implantes
El precio de una prótesis fija sobre 6 implantes puede variar significativamente según cada caso y clínica. En España, para que tengas una referencia actualizada, el rango de precios típico por arcada completa (superior o inferior) suele oscilar entre unos 12.000 € y 17.000 €. Este precio suele incluir tanto la colocación de los 6 implantes dentales como la confección de la prótesis fija completa (ya sea provisional y definitiva), las consultas, radiografías y revisiones básicas.
Ahora bien, estos son precios promedios. En la práctica real, puedes encontrar presupuestos más bajos o más altos según diversos factores. Por ejemplo, existen clínicas con ofertas o convenios que publicitan precios desde 4.790 € por arcada para una prótesis completa sobre 6 implantes.
Un tratamiento completo suele comprender: estudios previos (radiografías 3D, modelos, planificación digital), cirugía de implantes (con anestesia local o sedación, implantes de titanio y sus componentes), prótesis provisional fija inmediata (si se hace carga inmediata) y la prótesis definitiva meses después, además de las revisiones.
Factores que Influyen en el Precio de Prótesis Fijas sobre Implantes
- Calidad de los materiales y tipo de prótesis: Esto es crucial. No es lo mismo una prótesis híbrida de resina acrílica (más económica) que una prótesis de zirconio-porcelana (más costosa). Los materiales de los implantes en sí también varían: hay marcas comerciales de implantes premium (más caras) y otras más económicas.
- Experiencia y especialización del dentista: Un equipo implantológico con mucha experiencia y con especialistas (por ejemplo, un cirujano oral, un prostodoncista, anestesista, etc.) suele cobrar honorarios más altos, pero a cambio ofrece mayor seguridad y resultados predecibles.
- Ubicación geográfica de la clínica: Los precios pueden fluctuar según la ciudad o país. En grandes ciudades de España como Madrid o Barcelona, los costes tienden a ser algo más elevados que en poblaciones pequeñas, debido a gastos generales.
- Tratamientos adicionales necesarios: A veces, antes de colocar implantes se requieren extracciones, injertos de hueso o regeneraciones óseas, tratamientos de encía, etc. Estos procedimientos pre-protésicos suelen presupuestarse aparte.
- Número de implantes y técnica empleada: Aunque aquí hablamos de 6 implantes, en algunos casos podrías requerir 8 implantes por arcada para lograr mayor soporte (lo cual incrementa el precio en implantes adicionales). O, si tienes buen hueso, quizás tu caso se pueda resolver con solo 4 implantes (técnica All-on-4, más económica).
Tipos de Rehabilitación Oral sobre Implantes y sus Rangos de Precios
| Tipo de rehabilitación oral sobre implantes | Características | Rango de precios (aprox.) |
|---|---|---|
| Prótesis fija sobre 4 implantes (All-on-4) | 4 implantes + dentadura fija completa. Más económica inicialmente, indicada si el hueso es limitado. | 10.000 € - 15.000 € por arcada |
| Prótesis fija sobre 6 implantes (All-on-6) | 6 implantes + dentadura fija completa. Equilibrio entre estabilidad y costo. Es la opción más común y recomendada en muchos casos. | 12.000 € - 17.000 € por arcada |
| Prótesis fija sobre 8 implantes (All-on-8) | 8 implantes + dentadura fija completa. Máxima estabilidad en casos con buen hueso o requerimientos especiales. | 15.000 € - 20.000 € por arcada |
| Sobredentadura implanto-removible | 2 a 4 implantes + dentadura con anclajes (se quita para limpiar). Más asequible pero no es completamente fija, se retira para higiene. | 5.000 € - 8.000 € por arcada |
| Dentadura completa removible tradicional | Prótesis sin implantes, apoyada en encía (de quita y pon). | Varía según el material y la clínica |
Como ves, la prótesis fija sobre 6 implantes tiene un costo intermedio-alto, pero ofrece excelentes resultados en estabilidad y duración. Hay opciones más baratas como la sobredentadura o la dentadura completa convencional, pero estas últimas no brindan la funcionalidad ni la comodidad de una prótesis completamente fija.
Materiales de la Prótesis Definitiva
- Prótesis híbrida de resina acrílica (metal-resina): Es una estructura generalmente de metal (cromo-cobalto o titanio) que soporta dientes de acrílico y encía artificial rosada de resina. Suele llamarse prótesis híbrida o prótesis fija acrílica porque combina un armazón metálico interno con dientes de resina. Ventajas: es más económica de fabricar y reparar. Es más ligera y fácil de ajustar o rebasar si fuese necesario. Inconvenientes: la resina acrílica con el tiempo es menos resistente al desgaste: los dientes acrílicos pueden necesitar recambios cada 5-8 años según el uso, pues se van desgastando o pigmentando. La estética es buena, pero algo inferior a la porcelana en cuanto a translucidez y naturalidad.
- Prótesis fija de porcelana/zirconio: En este caso la estructura puede ser de metal o de zirconio, y encima se confeccionan dientes de porcelana dental (cerámica de alta estética). También se conocen como prótesis tipo “Toronto” (cuando llevan base rosada de acrílico) o puente cerámico completo (si no llevan encía artificial visible). Ventajas: la porcelana ofrece una estética superior - los dientes de cerámica se ven muy naturales, con brillo y translucidez similares al diente real. Además, son muy resistentes al desgaste (mantienen su forma y color por muchos años). Inconvenientes: el precio es más elevado.
Proceso para Obtener tu Prótesis Fija sobre 6 Implantes
- Estudio y planificación personalizada: Primero realizaremos una evaluación completa. En la primera consulta te haré un examen oral, tomaremos radiografías digitales e incluso un TAC 3D si es necesario. Con estos datos analizamos la cantidad y calidad de tu hueso, y diseñamos digitalmente la colocación ideal de los 6 implantes. También evaluamos si necesitas tratamientos previos (extracciones de raíces remanentes, injertos óseos, etc.). Te presentaremos el plan de tratamiento, tiempos y presupuesto detallado.
- Cirugía de implantes: El día de la cirugía, bajo anestesia local (y sedación consciente si lo deseas), colocaremos los 6 implantes de titanio en los sitios planificados. Gracias a la guía digital, la colocación es precisa y en la misma intervención se suelen realizar también las extracciones de dientes remanentes dañados (si los hubiera) y las técnicas de injerto necesarias. La cirugía de 6 implantes suele durar entre 1,5 y 2,5 horas dependiendo del caso.
- Prótesis fija provisional inmediata: Una de las ventajas de la técnica All-on-6 es que, en la mayoría de casos, podemos proporcionarte dientes fijos provisionales el mismo día de la cirugía o en 24-48 horas. Esto es lo que llamamos carga inmediata: atornillamos una prótesis acrílica provisional sobre los implantes recién puestos, de forma que no te vas a casa sin dientes ni usarás una dentadura de quita y pon durante la curación. Saldrás de la clínica con una sonrisa fija provisional ese mismo día.