La protrusión dental, también conocida popularmente como "dientes de conejo", y la retrusión mandibular son condiciones que afectan la alineación de los dientes y la mandíbula, impactando tanto la estética como la funcionalidad bucal. Comprender estas condiciones es crucial para buscar el tratamiento adecuado y mejorar la calidad de vida.
La protrusión dental ocurre cuando los dientes superiores sobresalen excesivamente de los inferiores. Esta condición puede provocar desde molestias bucales hasta problemas estéticos significativos tanto en adultos como en niños.

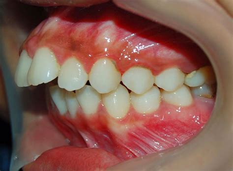
¿Qué es la Protrusión Dental?
La protrusión dental se presenta cuando los dientes superiores quedan muy por delante de los inferiores. Las personas que padecen protrusión dental suelen tener dificultad para cerrar bien los labios y los dientes quedan más salidos.
Causas de la Protrusión Dental
Existen varias razones por las cuales una persona puede tener los dientes salidos. A continuación, se mencionan las causas más frecuentes:
Causas Genéticas
Una de las razones por las que un adulto padece protrusión dental es:
- Maloclusión del maxilar II: Este factor genético provoca que los dientes superiores estén más adelantados que los inferiores, impidiendo que los dientes encajen correctamente. En algunos casos, los incisivos superiores pueden sobresalir hasta un centímetro de los inferiores.
- Mandíbula retraída: Si la mandíbula está retraída, puede causar que el maxilar esté adelantado.
- Deglución atípica: La colocación inadecuada de la lengua al tragar puede presionar los dientes superiores, desplazándolos hacia delante.
Hábitos que Pueden Causar Protrusión Dental
El segundo motivo más común de los dientes salidos es por chuparse el dedo, el cual suele ocurrir en niños y niñas. Al "hacer la pipa", se hace presión con el dedo hacia la parte interior de los dientes superiores, empujándolos hacia afuera.
- Succión del dedo: Al "hacer la pipa", se ejerce presión con el dedo hacia la parte interior de los dientes superiores, empujándolos hacia afuera.
- Morderse las uñas: Ejerce una fuerza que, con el tiempo, puede provocar los dientes salidos.
- Succión labial: Morderse los labios con los dientes, normalmente los superiores, los empuja hacia afuera.
Consecuencias de la Protrusión Dental
Además de afectar la autoestima y la confianza de la persona, tener los dientes de arriba más salidos puede causar problemas de salud, entre ellos:
- Aparición de caries
- Golpes o fracturas por culpa de los dientes salidos
- Problemas al masticar y malestar al comer
- Inflamación de las encías
- Problemas respiratorios
- Alteración de la forma de la cara
La Protrusión Dental en Niños
Los dientes de conejo en niños pueden deberse a causas genéticas, pero en muchos casos ocurre porque de pequeños se chupaban el dedo y hacían demasiada presión con el pulgar hacia los dientes.
Los tratamientos odontológicos preventivos son una buena forma de evitar que la protrusión dental se acentúe. Las visitas periódicas al dentista, sobre todo cuando los dientes de arriba se han cambiado, servirá para poder corregir el problema rápidamente.

Protrusión Dental: Tratamiento
La mejor forma de corregir la protrusión dental es mediante la ortodoncia a una edad temprana. Las personas adultas que tengan una protrusión dental muy acentuada derivada de la maloclusión tipo II del maxilar, podrían llegar a necesitar cirugía bucal para corregir la posición de los huesos.
Protrusión Dental: Ortodoncia
La ortodoncia para la protrusión dental corrige la inclinación y la posición de los dientes. Dependiendo de cada caso, se podrán utilizar los brackets metálicos o también la ortodoncia invisible. En ambos casos, el objetivo es que el paciente tenga una sonrisa espectacular y se acaben con los problemas derivados de los dientes de conejo.
Una vez finalizado el tratamiento de ortodoncia para corregir los dientes salidos, es necesario usar retenedores, para asegurarse de que los dientes estarán en la posición después de terminar el tratamiento. Para esto, es necesario revisar y cambiar los retenedores cada 6 a 9 meses.
Tratar la Protrusión Dental en Niños
En el caso de niños se recomienda corregir la protrusión dental mientras el paciente está en crecimiento. Lo ideal es durante el pico de crecimiento que es aproximadamente a los 12 años, aunque el especialista siempre tendrá la palabra final después de evaluar el caso. La ortodoncia interceptiva podría corregir esta patología y servir para evitar mayores problemas en su edad adulta. Los dientes de los niños son más fáciles de corregir, ya que los huesos aún se están formando.
Cuando se finaliza la corrección con ortodoncia de los dientes de conejo, es necesario que el niño use retenedor, especialmente los primeros meses.
Brackets vs Invisibles | La verdad
Ventajas de Corregir los Dientes de Conejo con Ortodoncia Invisible
Los alineadores son removibles, cómodos y estéticos, para que el proceso de conseguir la sonrisa perfecta sea más fácil.
Retrusión Mandibular
La retrusión mandibular, también conocida como retrognatismo mandibular, es una maloclusión en la cual la mandíbula está posicionada hacia atrás en relación con el maxilar superior. En términos de clasificación ortodóntica, se considera una maloclusión de clase II.

Tipos de Retrognatismo Mandibular
- Retrognatismo mandibular leve: El desplazamiento de la mandíbula hacia atrás es mínimo y a menudo no produce síntomas significativos.
- Retrognatismo mandibular severo: La mandíbula está muy desplazada hacia atrás, afectando visiblemente el perfil facial y provocando una apariencia de "mentón retraído".
Causas del Retrognatismo Mandibular
En la infancia, los huesos faciales están en proceso de crecimiento y son más moldeables. Los hábitos como la respiración bucal, que a menudo es consecuencia de alergias o problemas respiratorios, pueden contribuir al desarrollo del retrognatismo en niños.
En los adultos, la corrección del retrognatismo es más compleja, ya que el crecimiento óseo ha cesado. En estos casos, los tratamientos ortodónticos solos suelen ser insuficientes, y puede ser necesario recurrir a cirugía ortognática para reposicionar la mandíbula y obtener un perfil armónico.
Tratamiento del Retrognatismo Mandibular
El tratamiento del retrognatismo mandibular depende de factores como la severidad del caso, la edad del paciente y las necesidades individuales.
- Tratamiento ortodóntico sin cirugía: En casos de retrognatismo mandibular leve, el problema se puede solucionar por medio de aparatos dentales tanto en niños como en adultos.
- Ortodoncia combinada con cirugía ortognática: En casos de retrognatismo mandibular severo en adultos, la cirugía ortognática es una opción común. Este procedimiento reposiciona la mandíbula para lograr una oclusión adecuada y una apariencia facial armónica.
Tabla Comparativa: Protrusión Dental vs. Retrusión Mandibular
| Característica | Protrusión Dental | Retrusión Mandibular |
|---|---|---|
| Definición | Dientes superiores sobresalen de los inferiores | Mandíbula posicionada hacia atrás en relación al maxilar superior |
| Causas | Genética, hábitos (chuparse el dedo, succión labial) | Genética, hábitos (respiración bucal) |
| Tratamiento | Ortodoncia (brackets, alineadores), cirugía | Ortodoncia, cirugía ortognática |
| Edad de Tratamiento | Temprana (niños) para mejores resultados | Depende de la severidad y edad del paciente |
Identificar el retrognatismo mandibular a una edad temprana permite utilizar opciones de tratamiento menos invasivas y lograr una mejoría significativa en el desarrollo de la mandíbula.
Prevención de la Protrusión Dental
Intervención Temprana en Hábitos Infantiles
Es posible prevenir la protrusión dental si se abordan desde temprano los hábitos dañinos. Por ejemplo, eliminar el chupete antes de los tres años de edad. Si el hábito persiste, es necesario buscar estrategias para ayudar al niño a dejarlo. Lo mismo aplica para los pequeños que se chupan el pulgar.
Asimismo, si el niño empuja los dientes con la lengua, puede ser necesaria la intervención de un profesional para que deje de hacerlo. Se puede recurrir a un terapeuta del habla o un ortodoncista para corregirlo. En caso de que el niño respire por la boca, hay que identificar y tratar la causa subyacente.
Evaluaciones Dentales Regulares
Es importante visitar al dentista con regularidad. De esta manera se pueden aplicar los tratamientos a tiempo para guiar el crecimiento de la mandíbula y los dientes.
tags: #protrusion #y #retrusion #dental