Cuando se pierde un diente debido a una enfermedad, traumatismo o cualquier otra causa, se enfrentan problemas funcionales y un impacto negativo en la autoimagen, especialmente si se trata de dientes frontales. Es fundamental explorar las opciones para solventar esta situación. Entre ellas, los puentes dentales destacan como una solución efectiva.
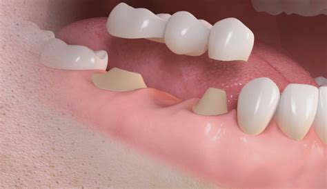
Un puente dental es un dispositivo que se coloca en la boca para reemplazar dientes perdidos por lesiones, enfermedades o extracciones dentales con dientes postizos. Es un tipo de prótesis no removible que el dentista fija, utilizando dos o más coronas que se cementan a los dientes adyacentes al espacio del diente faltante. Los puentes dentales pueden estar elaborados de materiales como la porcelana, aleaciones de oro o circonita, así como de resinas y otros metales.
Cuando falta algún diente, esto afecta a la persona no solo en la manera como percibe su aspecto físico, sino que también tiene un impacto en la funcionalidad de la boca. Una pieza dental extraída o perdida puede provocar dificultad para masticar e incluso para hablar, así como fuerte desgaste en los dientes que rodean el espacio vacío. En la parte estética, afecta la imagen de la sonrisa y además, dependiendo de si la pieza faltante está en la parte posterior de la boca, puede provocar que esta zona se vea hundida, dando una apariencia más envejecida.
Por estas razones, para evitar que estas condiciones ocurran, lo más recomendable es reemplazar los dientes ausentes.
Cómo se coloca un implante dental
Tipos de Puentes Dentales
En definitiva, cada tipo de puente satisface diferentes necesidades y situaciones orales.
- Puente dental fijo tradicional: Los puentes fijos tradicionales son aquellos que fijan los dientes postizos a una corona de cada lado, para luego colocarlo en el lugar del diente perdido y cementarlo allí; de esta forma, se rellena el espacio vacío. Este tipo de puente es el más común, y para su colocación es necesario que los dientes naturales que rodean al diente perdido estén sanos. Se trata de una opción resistente, pero para poder mantener fijo el puente deben limarse un poco los dientes donde irán las coronas dentales.

- Puente dental Maryland: El puente de Maryland, es un tipo de puente que se caracteriza por mantener la estructura original de los dientes y no necesita limar los dientes circundantes. Este está cementado con resina, y se sostiene sobre una estructura de metal o porcelana. Es una alternativa menos invasiva, pero hay que considerar que no funciona para todos los dientes, puesto que no soporta tanta fuerza, como en el caso de los molares. En cambio, resulta más efectivo en los dientes frontales.

- Puente dental en extensión: Un puente dental en extensión o puente voladizo, como también se le conoce, es un tipo de puente similar al tradicional, pero como la distinción de que se apoya en un solo pilar, es decir, se ancla de un solo lado. Es útil en casos en los que el paciente tiene un sólo diente natural alrededor de espacio vacío, pero se debe considerar que no es tan estable, precisamente por estar sujeto de un solo lado.

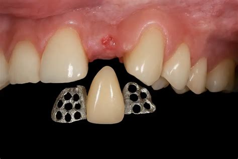
- Puente implantosoportado: El puente implantosoportado o sobre implantes dentales, se trata de una opción más novedosa, y resulta efectivo para la pérdida de varios dientes. El soporte de este puente se logra fijándolo a otros implantes y no sobre dientes naturales. Sus resultados son estética y funcionalmente efectivos, pero se debe considerar que es un procedimiento más complicado que los anteriores, y también suele ser más costoso.

Ventajas de los Puentes Dentales
Los puentes se fijan sobre las piezas dentales naturales con un cemento especial. Son los que se colocan cuando se tienen dientes naturales a cada lado del espacio dejado por el diente perdido.
- Estética y funcionalidad: Un puente dental tiene la ventaja estética de que al sustituir un diente perdido o extraído, la persona ya no tendrá espacios entre sus dientes que lo hagan sentir incómodo o con vergüenza de hablar y sonreír. De esta forma se incrementa su autoestima y confianza en su apariencia personal. En cuanto a la funcionalidad, estos dispositivos le devuelven al paciente la capacidad para masticar y morder de la manera habitual. Además, hay casos en los que el habla también se ve afectada, por lo que al tener la dentadura completa nuevamente, la persona puede hablar de forma normal.
- Prevención de problemas futuros: Cuando falta una pieza dental, es muy probable que con el tiempo los dientes se muevan, y esto afecta la mordida. Por ello, al rellenar el espacio vacío que deja un diente, se evita que los que lo rodean cambien de posición y se produzcan en el futuro problemas con la mordida. Adicionalmente, la falta de un diente puede causar pérdida ósea en la mandíbula, y con ello deformidades en la estructura del rostro.
- Diversidad de materiales y adaptabilidad: Los puentes dentales pueden ser elaborados de materiales variados, tales como el metal, que resulta económico y duradero, pero menos atractivo. La cerámica resulta muy estética, aunque menos resistente que la anterior. El zirconio, por su parte, es un material resistente y biocompatible, mientras que la resina compuesta es económica pero también menos duradera.
Puente Voladizo: Ventajas y Desventajas Específicas
Son los que tienen la pieza póntico anclada solo por un lado al diente pilar. En ocasiones, esto implica tallar menos piezas ya que solo una pieza pilar puede soportar un puente de dos.
El diseño de este tipo de puentes consiste en que la pieza póntico tiene dos aletas laterales que se anclan sobre los dientes adyacentes por su cara interna. Se utilizan principalmente en los dientes frontales y su principal beneficio es la escasa preparación que requieren los dientes pilares. Es un puente alado conocido por su naturaleza conservadora.
Ventajas
- Brindan una excelente comodidad para masticar, al redistribuir la fuerza de mordida normal comprometida por la falta de dientes.
Desventajas
- Se debe considerar que no es tan estable, precisamente por estar sujeto de un solo lado.
Consideraciones Adicionales
- Adaptabilidad: En relación con la adaptabilidad de un puente dental se deben tener en cuenta los siguientes factores:
- Cantidad de dientes perdidos o extraídos.
- Ubicación de los espacios vacíos en la dentadura.
- El tipo de material de fabricación del puente.
- Presupuesto del paciente.
- Consulta y planificación del tratamiento: El proceso para colocar un puente dental inicia con una consulta odontológica, donde el especialista evaluará el caso, y hará una revisión dental completa. En caso de ser necesario, podría solicitar imágenes, como una radiografía.
Preparación y Colocación
En una consulta posterior, el médico se encargará de preparar todo para la colocación del puente. Este proceso implica el limado de los dientes que serán el soporte para el puente, en caso de ser el puente de Maryland, esto no aplica. Luego se procede a tomar las impresiones, y se envía a un laboratorio para fabricar el puente. Durante esta visita el dentista instalará un puente provisional, por el tiempo que tarde en fabricarse la definitiva. El paciente deberá agendar una tercera cita para retirar el puente temporal y colocar el definitivo. El dentista realiza pruebas para corroborar que ajuste bien, y en caso de ser necesario hará la modificación antes de cementar en el espacio que corresponde.
Recuperación y Cuidados Post-Procedimiento
Este tipo de procedimiento provoca molestias leves, que pueden ser dolor e inflamación. Estas se pueden controlar con analgésicos de venta libre, y que en pocos días pasarán. Es importante también programar visitas de seguimiento con el dentista para garantizar que todo marcha bien.
Comparativa: Puente Dental vs. Implante Dental
Hay que tener en cuenta algunos aspectos, como el tallado dental, la estética y el coste de ambos tratamientos. También cuenta la duración de los mismos. Siendo de similar calidad, la duración es diferente por el factor de la raíz. El implante sustituye la raíz de la pieza y funciona de forma independiente. El puente se apoya en las piezas de alrededor, que son las que lo están soportando.
| Característica | Puente Dental | Implante Dental |
|---|---|---|
| Durabilidad y Estabilidad | Pueden resultar menos resistentes, aunque dependerá del material utilizado para su fabricación y la técnica de cementación. | Muy duraderos y representan una solución a largo plazo. |
| Proceso y Recuperación | Requiere de un procedimiento menos invasivo, puesto que solo deben limarse los dientes adyacentes. | Requieren de una cirugía para colocarlos en el hueso de la mandíbula, por lo cual, este último también necesita de un período de recuperación más largo. |
| Costo y Accesibilidad | Resultan una alternativa más económica y viable que los implantes, por lo cual resultan más accesibles para muchas personas. | Más costosos. |
Consejos para Elegir el Mejor Tratamiento
- Consideraciones personales y médicas: Antes de escoger el mejor tratamiento para sustituir un diente faltante, es importante considerar la edad del paciente. Puesto que las personas más jóvenes quizás prefieran invertir en tratamientos más duraderos a largo plazo. El estilo de vida también influye, por ejemplo, si practicas algún deporte de contacto necesitarás una solución resistente. La estética juega un papel decisivo, al querer elegir una opción que se asemeje lo más posible a los dientes naturales. También el paciente deberá tener una salud bucal óptima, y se revisará la condición de los huesos de la mandíbula antes de elegir la opción adecuada.
- Consulta con especialistas: Consultar con un profesional que sea especialista en este tipo de tratamientos dentales, garantiza que el proceso se realice con las mejores técnicas y materiales. Además, que el resultado sea el esperado y se eviten posibles complicaciones.