Cuando llega esta época del año en la que la vida social se reactiva y surgen numerosos planes, se suele producir un aumento de la demanda de tratamientos de estética dental. La estética dental es fundamental para muchas personas que desean lucir una sonrisa perfecta. Afortunadamente, la microabrasión dental es una solución efectiva y mínimamente invasiva que puede ayudarte a recuperar una sonrisa brillante y uniforme.
La microabrasión dental o microabrasión del esmalte es, en esencia, una de las numerosas técnicas que se emplean para el blanqueamiento de la sonrisa. Puede brindarte una sonrisa reluciente y sin manchas. Aprende en qué consiste.
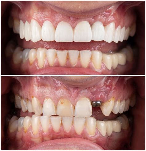
¿Manchas en tus dientes? Mira este tratamiento sencillo
¿Qué es la Microabrasión Dental?
La microabrasión del esmalte es un tratamiento dental cosmético permanente que elimina los cambios de color de la superficie de los dientes. Es un procedimiento que consiste en la eliminación de una fina capa del esmalte dental afectado por manchas. Este tratamiento no invasivo solo elimina microcapas de esmalte para garantizar que quede la mayor capa protectora posible.
La microabrasión del esmalte es una técnica de estética dental utilizada para eliminar manchas superficiales y decoloraciones del esmalte dental. Estas tinciones se localizan en la capa superficial de la pieza, es decir, en el esmalte dental. La coloración que se limita a la capa externa de las piezas dentales puede eliminarse gracias a la microabrasión dental, que es una técnica que elimina dichas capas superficiales.
Aunque se ha extendido el empleo de la microabrasión en el tratamiento de las caries superficiales, lo cierto es que su principal uso sigue estando en el plano de la odontología estética. Es cierto que mediante esta técnica se pueden tratar los dientes cariados sin necesidad de emplear los tradicionales instrumentos rotatorios, y de forma mínimamente invasiva. No obstante, su uso para este fin está bastante limitado a las caries incipientes.
El nombre de esta técnica puede resultar impactante, pero lo cierto es que la microabrasión actúa de forma muy superficial sobre el esmalte del diente. Tiene un alcance limitado y suele ser el punto de partida de otras técnicas de blanqueamiento y estética dental (blanqueamiento convencional/combinado o microabrasión previa a la colocación de carillas dentales o reconstrucciones localizadas).
La microabrasión del esmalte puede ser mejor para los dientes que otros métodos de blanqueamiento, ya que el procedimiento no requiere productos químicos agresivos. Los efectos blanqueadores de la microabrasión del esmalte son eficaces y duraderos.
La microabrasión del esmalte es mínimamente invasiva y una excelente solución para las personas con manchas en los dientes.

Resultados de la microabrasión dental antes y después del tratamiento.
¿Cómo Funciona el Procedimiento?
El proceso de microabrasión dental es sencillo y generalmente se completa en una sola visita. Primero, el dentista aplica una pasta especial compuesta de ácido clorhídrico y abrasivos sobre los dientes manchados. Luego, se frota suavemente con una herramienta rotatoria para eliminar las manchas. Finalmente, se enjuaga la boca y se aplica un gel de flúor para fortalecer el esmalte tratado.
El procedimiento de microabrasión del esmalte se realiza típicamente en dos etapas. En la primera etapa, el dentista aplica la pasta abrasiva sobre los dientes y la frota con un instrumento giratorio, como una fresa dental, durante unos minutos. Una vez que se ha alcanzado el nivel deseado de eliminación de manchas, se procede a la segunda etapa, que consiste en pulir los dientes para restaurar su brillo natural.
Tiene un alcance limitado y suele ser el punto de partida de otras técnicas de blanqueamiento y estética dental (blanqueamiento convencional/combinado o microabrasión previa a la colocación de carillas dentales o reconstrucciones localizadas).
Después de una valoración odontológica, el proceso comienza con la aplicación de ácido clorhídrico y sílice (es el químico que se usa para eliminar las manchas, blancas y marrones y las alteraciones del esmalte dental). El odontólogo procederá a pulir la capa del esmalte mediante instrumentos como la fresa, que tiene una punta de goma, hasta lograr la uniformidad en el tono de la pieza dental.
En la microabrasión del esmalte, los dientes se blanquean con herramientas dentales mecánicas en lugar de usar productos químicos agresivos. Es probable que su odontólogo use un dispositivo giratorio mecánico llamado copa profiláctica para pulir los dientes en lugar de blanquearlos con productos químicos agresivos.
Todo dependerá del tipo de microabrasión que tu dentadura requiera para lograr un diente más blanco. Existen tres formas de realizar la técnica:
- La microabrasión neumática: Es el paso previo a la microabrasión química. Este sistema incluye un neumático que permite eliminar la parte superficial del esmalte justo en el lugar donde se necesita. Eso sí, solo se trabajará en la capa superficial del esmalte a una profundidad de 25 a 50 micrones.
- Microcorrosión con ácido hidroclorhídrico: Se usa específicamente para eliminar las manchas de color café. Suele aplicarse con un algodón impregnado de ácido hidroclorhídrico al 18 % durante 5 minutos. Luego, toca lavar con hipoclorito de sodio al 5 % y, luego, con agua normal. Mediante esta técnica se consigue una reducción del esmalte de 100 a 47 micras.
- Microabrasión químico-mecánica: Para esta técnica se usa un ácido abrasivo con un efecto quelante, usualmente con sílice y ácido. Todo se frota con un material acrílico. El procedimiento debe ser llevado a cabo con protección ocular y una aislación absoluta para evitar los incidentes.
Los odontólogos recomiendan que esta técnica se aplique de forma manual, ya que produce menos desgaste que la técnica mecánica. Por eso, es realmente importante que acudas a un profesional especializado.
Una vez que se completa el procedimiento, la superficie del esmalte protector tendrá un aspecto radiante, brillante y similar al vidrio. El tratamiento de microabrasión del esmalte suele ser rápido e indoloro, aunque se puede sentir algo de sensibilidad dental en las primeras 24 horas. El procedimiento de microabrasión del esmalte se lleva a cabo en una sola consulta y no debería tardar más de una hora en completarse.
¿Cuándo Considerar la Microabrasión Dental?
Es importante destacar que la microabrasión del esmalte es adecuada únicamente para tratar manchas superficiales y decoloraciones leves a moderadas. No es efectiva para corregir problemas más profundos, como las manchas causadas por tetraciclina o fluorosis dental severa.
Para garantizar el éxito de cualquier tratamiento de estética dental, es imprescindible la realización de un diagnóstico detallado de los problemas que presenta la boca del paciente. La microabrasión del esmalte puede solucionar las consecuencias estéticas de determinadas patologías, pero no es una solución al problema desde el punto de vista de la salud.
En nuestra clínica de estética dental Las Rozas sabemos que cada caso es diferente y requiere de una evaluación. Sin embargo, la eliminación de las manchas dependerá del esmalte y pigmentación de las piezas dentales.
¿En qué casos se puede considerar el procedimiento?
- Después de usar brackets: Si el tratamiento de ortodoncia generó manchas leves en los dientes, sería un caso para hacer una microabrasión. El odontólogo deberá establecer de qué tipo y medir el desgaste que el paciente podría asimilar.
- Manchas de pigmentación: Si el paciente tuvo lesiones leves de caries que le hayan dejado secuelas de manchas oscuras, la técnica recomendada para ello será una microabrasión dental.
- Hipoplasia: Si durante la niñez y la adolescencia se generó una alteración del esmalte, esta es denominada hipoplasia del esmalte. Este defecto puede ser mejorado o incluso corregido con esta técnica dental.
Antes del tratamiento, el profesional bucodental le podrá recomendar el tratamiento para personas con dientes descoloridos por tomar café, mala higiene oral, genética o fluorosis dental. Según la Asociación Española de Pediatría, la fluorosis dental es una alteración en la formación del esmalte de los dientes causada por una ingesta excesiva de flúor durante los primeros años de vida.

La microabrasión dental es una opción para mejorar la estética de la sonrisa.
Limitaciones de la Microabrasión Dental
En cualquier tipo de tratamiento de blanqueamiento es importante que el paciente conozca el alcance real de los resultados. No todas las manchas son iguales y la microabrasión del esmalte tiene sus limitaciones.
- Profundidad de la tinción: Las manchas más profundas no se eliminan del todo solo con la microabrasión del esmalte.
La microabrasión del esmalte puede solucionar las consecuencias estéticas de determinadas patologías, pero no es una solución al problema desde el punto de vista de la salud.
Ventajas y Desventajas
Como tratamiento único y en ausencia de cualquier otro tipo de intervención, la microabrasión dental se considera una técnica de odontología estética mínimamente invasiva. Esto presenta sus ventajas y sus desventajas. Por un lado, permite trabajar de forma muy selectiva sobre las piezas afectadas por una tinción poco estética sin necesidad de intervenir en el conjunto de la dentadura o el diente.
El éxito de este tipo de intervenciones es variable y depende mucho de las condiciones en las que se encuentre la boca del paciente.
Es importante destacar que la microabrasión del esmalte es un procedimiento seguro cuando se realiza bajo la supervisión de un dentista cualificado.
tags: #que #es #la #microabrasion #dental