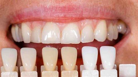
La estética dental es una preocupación creciente para muchas personas. Una sonrisa brillante y blanca no solo mejora la apariencia, sino que también puede aumentar la confianza y el bienestar general.
En la búsqueda de una sonrisa perfecta, uno de los dilemas más comunes es elegir entre blanqueamiento o carillas dentales. Ambas opciones pueden mejorar el aspecto de los dientes, pero tienen diferencias clave que es importante conocer antes de tomar una decisión.
Dos de las opciones más populares para lograr una sonrisa deslumbrante son el blanqueamiento dental y las carillas dentales. Pero, ¿cuál de estas opciones es la mejor para ti? En este artículo, comparamos el blanqueamiento dental y las carillas para ayudarte a tomar una decisión informada.
Carillas Dentales Vs Diseño de Sonrisa | Lo que tienes que saber antes de decidir
¿Qué es el Blanqueamiento Dental?
El blanqueamiento dental es un tratamiento diseñado para iluminar el color de los dientes y eliminar manchas superficiales. Se puede realizar en la clínica dental o mediante kits de blanqueamiento para uso en casa.
Los tratamientos de blanqueamiento más comunes incluyen:
- Blanqueamiento en clínica: Realizado por un dentista, este procedimiento utiliza un gel blanqueador potente que se activa con luz especial. Es rápido y puede ofrecer resultados visibles en una sola sesión.
- Kits de blanqueamiento en casa: Estos kits contienen un gel blanqueador menos concentrado y se aplican con una férula personalizada. Aunque son más accesibles, los resultados pueden tardar más tiempo en verse.
El blanqueamiento dental consiste en la aplicación de productos químicos sobre la superficie del diente, con el propósito de que penetren en los túbulos de la dentina. Las sustancias empleadas en el tratamiento desencadenan una reacción de oxidorreducción que degrada los pigmentos depositados en el esmalte y la dentina.
Es común encontrar en el mercado dentífricos blanqueadores. Una vez analizado el caso, el profesional empleará los geles y utensilios adecuados para un blanqueamiento más específico. Además, se encargará de proteger los dientes y labios durante su aplicación, puesto que los agentes químicos pueden causar abrasiones o dañar los tejidos blandos.
Por otra parte, ponemos a disposición de nuestros pacientes una alternativa algo más cómoda: el blanqueamiento con férulas en su propio hogar. En este caso, tendrás que acudir a la clínica para que te hagan las férulas de manera personalizada.
Una vez en casa, deberás rellenar los pequeños reservorios con el blanqueador que te aconseje tu dentista.
Entre las ventajas de los blanqueamientos dentales profesionales que te hemos comentado figura una muy importante, y es que cuida tu salud bucodental. Antes de iniciar el tratamiento estético, el odontólogo realiza una evaluación para descartar la presencia de caries, enfermedades periodontales o cualquier otro tipo de problema oral.
Muchos pacientes optan por combinar ambos tratamientos para conseguir un resultado aún más espectacular. Esto hace que se vea ligeramente el diente sobre el que van colocadas, de manera que hacer un blanqueamiento dental previo nos asegura una sonrisa que no pasará desapercibida en ningún contexto.
En nuestra clínica realizamos el blanqueamiento dental combinado, que es el más duradero y con el que obtenemos resultados más visibles en poco tiempo. El resultado se empieza a apreciar desde el primer día y es un tratamiento que se finaliza en tan solo 30 días.
¿QUÉ ES UN BLANQUEAMIENTO DENTAL? El blanqueamiento dental es un procedimiento estético que utiliza agentes blanqueantes generalmente peróxido de hidrógeno o peróxido de carbamida, para aclarar el esmalte dental. Un tratamiento profesional que ofrece resultados rápidos y seguros, bajo la supervisión del dentista.
La clínica proporciona un kit de blanqueamiento personalizadas que incluye férulas y un gel blanqueador de menor concentración.

¿Qué son las Carillas Dentales?
Las carillas dentales son finas láminas de cerámica o resina que se adhieren a la superficie frontal de los dientes. Este tratamiento permite modificar el color, forma, tamaño y alineación de los dientes, por lo que es ideal para pacientes que quieren una transformación estética completa.
Las carillas dentales son unas láminas muy finas que se colocan en la parte frontal de los dientes más visibles, con el propósito de embellecer la sonrisa. Sirven para quitar las manchas y cerrar diastemas, esto es, la excesiva separación entre dos piezas dentales.
Las carillas dentales son unas láminas finas, generalmente de porcelana o de composite, que se adhieren a la parte frontal del diente con el objetivo de mejorar algún aspecto estético, bien sea el color o la posición del diente.
Las carillas ofrecen un aspecto natural y duradero, adaptándose a las necesidades y preferencias de cada paciente.
Las carillas pueden corregir una variedad de problemas estéticos, como:
- Manchas o decoloración persistente que no responde al blanqueamiento.
- Dientes desgastados o astillados.
- Dientes desiguales o con formas irregulares.
- Espacios entre los dientes.
La colocación de carillas suele requerir dos visitas al dentista: una para tomar impresiones y otra para colocar las carillas.
Este tratamiento estético aporta un buen resultado gracias al uso de materiales como el composite y la porcelana.
Las carillas de composite se moldean directamente sobre cada uno de los dientes, aplicando varias capas de material, hasta dar la forma definitiva.
Las carillas de porcelana, por su parte, exigen una previa preparación de la superficie dental. Para ello, debemos administrar anestesia. En la misma sesión tomamos impresiones tridimensionales de los dientes para enviarlas al laboratorio dental y fabricar las láminas.

Comparación: Blanqueamiento Dental vs. Carillas
Tanto el blanqueamiento como las carillas dentales son opciones validas para mejorar la apariencia de los dientes, pero cada una cumple con necesidades específicas.
Para ayudarte a tomar una decisión informada, aquí tienes una tabla comparativa:
| Característica | Blanqueamiento Dental | Carillas Dentales |
|---|---|---|
| Objetivo Principal | Aclarar el color de los dientes | Corregir forma, tamaño, color y alineación |
| Duración de Resultados | 6 meses - 2 años | 10 - 15 años (o más con buen cuidado) |
| Corrección de Problemas Estéticos | Solo manchas y decoloración | Manchas, desgaste, formas irregulares, espacios |
| Número de Visitas | 1 - 3 sesiones | 2 visitas |
| Invasividad | Mínimamente invasivo | Requiere ligera reducción del esmalte |
1. Resultados
Blanqueamiento dental: Proporciona resultados inmediatos en términos de claridad y luminosidad. Sin embargo, los resultados pueden variar según la causa de la decoloración y pueden no ser permanentes; es posible que necesites tratamientos de mantenimiento.
Carillas dentales: Ofrecen resultados estéticos duraderos. Además de blanquear los dientes, también corrigen problemas de forma y alineación, proporcionando una apariencia uniforme.
2. Duración de los Resultados
Blanqueamiento dental: Los resultados pueden durar entre seis meses y dos años, dependiendo de tus hábitos de consumo (como el café, el té o el tabaco) y de tu rutina de cuidado dental.
Carillas dentales: Si se cuidan adecuadamente, pueden durar entre 10 y 15 años o incluso más, dependiendo del material utilizado y de los cuidados de higiene oral.
3. Consideraciones Adicionales
Precio: Otra gran diferencia está en el precio de las carillas dentales y el precio del blanqueamiento dental. En España, estos tratamientos oscilan generalmente en torno a los 320 €, y suelen incluir entre una y tres sesiones.
Mantenimiento: Dicho esto, yo siempre aconsejo realizar mantenimientos de blanqueamiento, que es un pequeño recordatorio para reforzar el color obtenido. Se puede hacer cada 2 - 5 años, aunque depende de las exigencias estéticas de la persona y de su estilo de vida.
A mis pacientes les aconsejo utilizar una férula de descarga para evitar excesivas tensiones sobre la porcelana.
¿Cuál es la Mejor Opción para ti?
La decisión entre blanqueamiento dental y carillas dentales depende de tus objetivos estéticos y necesidades dentales específicas. Aquí hay algunas consideraciones que te pueden ayudar a decidir:
- Si buscas una solución rápida y no invasiva para manchas superficiales, el blanqueamiento dental podría ser la mejor opción.
- Si tienes problemas estéticos más complejos, como dientes desgastados, desiguales o decoloración persistente, las carillas dentales pueden ofrecer una solución más completa y duradera.
- Si priorizas la durabilidad y estás dispuesto a invertir en una solución a largo plazo, las carillas pueden ser la mejor inversión para tu sonrisa.
Tanto el blanqueamiento dental como las carillas dentales son opciones efectivas para mejorar la estética de tu sonrisa. La elección entre ambos tratamientos dependerá de tus necesidades individuales, expectativas y presupuesto. Lo más importante es consultar con un dentista calificado que te ayude a evaluar tus opciones y a tomar la decisión más adecuada para tu salud dental y estética.
No olvides que mantener una buena higiene oral y acudir a revisiones regulares son fundamentales para disfrutar de una sonrisa saludable y radiante, sin importar el tratamiento que elijas.