En los tratamientos de estética dental, existen soluciones especializadas para cada pieza dental que requiera atención. Entre las opciones más comunes se encuentran las carillas y fundas o coronas dentales, que ofrecen tanto beneficios estéticos como funcionales. Si tienes dudas sobre las fundas dentales y las carillas o no tienes muy claro qué son y para qué sirven, quédate a leer este artículo. Te vamos a explicar todo de forma muy sencilla para que entiendas bien las diferencias entre ambos tratamientos. Uno de los temas que con frecuencia genera confusión entre nuestros pacientes es la diferencia entre dos tratamientos populares de odontología estética: las carillas dentales y las fundas dentales.
Las carillas y las fundas son los tratamientos de estética dental más solicitados. A nivel estético, los resultados que consiguen son similares. De hecho, a simple vista resulta difícil saber si una persona luce carillas o fundas dentales. El titular de nuestro post ya adelanta que, aunque sus resultados puedan ser similares, estamos ante dos técnicas estéticas distintas.
¿Qué son las Carillas Dentales?
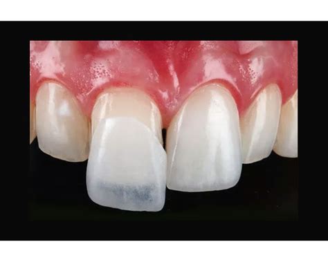
Las carillas dentales son láminas extremadamente delgadas, con menos de 1 milímetro de grosor. Las carillas dentales son delgadas láminas personalizadas hechas de porcelana o resina compuesta que se adhieren a la superficie frontal de los dientes. Se adhieren directamente a la superficie dental mediante una resina firme. Estas carillas están diseñadas para mejorar la estética de los dientes al corregir imperfecciones cosméticas, como decoloración, irregularidades en la forma, desgaste o espacios entre los dientes. Estas no solo preservan más la estructura del diente, ya que requieren un tallado del diente mínimo, si no que también ofrecen resultados inmediatos. Forman parte de los tratamientos de estética dental, ya que nos permiten mejorar la sonrisa de forma sencilla. Además, a través de un tratamiento de carillas podemos eliminar pequeños problemas estéticos, como malposiciones leves, manchas dentales, dientes oscuros, diastemas dentales, etc.

Tipos de carillas dentales.
La particularidad de la carilla frente a la funda es que la primera no aporta ningún tipo de funcionalidad. Es decir, solamente se usan para mejorar la estética. En ningún caso intervienen en los aspectos funcionales de la boca, como la masticación, el habla etc. Las carillas ofrecen varias ventajas notables. En primer lugar, proporcionan resultados rápidos y dramáticos. Puedes transformar tu sonrisa en solo unas pocas visitas a la clínica. Otra ventaja importante de las carillas es que requieren una cantidad mínima de eliminación de esmalte dental en comparación con otras opciones de restauración dental, como las coronas. Esto significa que conservan la mayor parte de la estructura dental natural.
Existen diferentes tipos de carillas dentales, como las de composite o porcelana, aplicadas sobre la superficie visible del diente. Son delgadas y una vez colocadas, apenas se notan. Hoy en día existen muchos tipos de carillas dentales. Suelen dividirse en función del material empleado para su fabricación. Las carillas de porcelana, como las carillas Lumineers, son mucho más estéticas y duraderas. Se fabrican en exclusiva para un paciente concreto y se mimetizan perfectamente con el diente natural. El resultado es un aspecto muy agradable y muy similar al de la sonrisa natural.
La Doctora Cristina Viyuela ha desarrollado las carillas dentales de disilicato de litio. Se trata de una opción altamente estética, que aporta numerosas ventajas al paciente. Gracias a esta porcelana tan vanguardista, se mejora la durabilidad de las carillas. También se asemejan muchísimo al diente natural y son ultrafinas.
Por su parte, las carillas dentales de composite son mucho más baratas que las de porcelana. También mejoran la estética dental, pero su durabilidad es menor. Además, no se fabrican en exclusiva. No obstante, en la Clínica Dental Cristina Viyuela + CO tenemos una amplia variedad de tonalidades y tamaños para nuestras carillas de composite.
Se fabrican con dióxido de circonio, pero las carillas dentales más innovadoras y estéticamente perfectas son las veneer cerámicas Emax, creadas a base de disilicato de litio. Estas carillas son idénticas al esmalte dental natural, por lo que visualmente se ven como dientes naturales. Y, desde la aparición de las emax de disilicato de litio, también es posible poner las carillas en los dientes molares.
En Clínica DentalBaron utilizamos un sistema de última generación para crear las carillas en una sesión sin necesidad de utilizar carillas provisionales. En cuestión de dos horas y tras una planificación meticulosa, el paciente empieza y termina el tratamiento el mismo día.
¿Qué son las Fundas Dentales?
Las fundas dentales, también conocidas como coronas dentales, son básicamente fundas que se colocan alrededor de un diente o un implante dental. Las fundas dentales, comúnmente llamadas coronas dentales, son restauraciones dentales personalizadas que cubren completamente la parte visible de un diente. Por lo tanto, además de optimizar la estética dental, también mejoran la funcionalidad. A diferencia de las carillas, que solo se adhieren a la superficie frontal de los dientes, las fundas dentales envuelven todo el diente, proporcionando una protección más completa y una restauración funcional. Podríamos decir que se trata de un diente fabricado en el laboratorio protésico, con el objetivo de solventar diferentes afecciones orales.

Tipos de coronas dentales.
Para colocar la corona se debe tallar en una primera cita el diente sobre el que se va a ubicar. Luego en la siguiente cita se cementa al colocarla, para lograr una unión muy firme. Su uso común se da cuando hay pérdida de parte de la estructura dental, permitiendo su reconstrucción mediante coronas o implantes después de un tallado. El proceso de colocación de fundas dentales suele ser un procedimiento en varias etapas. Comienza con una consulta en la que se evalúa la salud dental y se discuten tus objetivos. Una vez que la corona está lista, se procede a la preparación del diente. En este paso, se retira una cantidad significativa de esmalte dental del diente para dar espacio a la corona. Luego, la corona se coloca sobre el diente y se adhiere de manera segura.
Existen diferentes tipos de coronas, cada una distinguida por su material. Actualmente, las coronas metálicas tradicionales, elaboradas en oro o plata, han sido reemplazadas por las coronas de porcelana. Están hechas solo de porcelana, sin elementos metálicos. Son las que mejor apariencia te brindan, imitando casi a la perfección el diente natural. Las fundas dentales fabricadas con circonio tienen una elevada resistencia, un aspecto natural y de calidad estética. En Clínica DentalBaron hacemos coronas de metal porcelana para el sector posterior de la boca, ideal para muelas o premolares endodonciados o muy dañados.
Son las que más se utilizan por su resistencia. y su apariencia natural. Se trata de un núcleo metálico revestido de porcelana en su cara externa. Las propiedades del metal circonio es que es translucido y de ahí que brinde mucho más estética.
Carillas Dentales Vs Diseño de Sonrisa | Lo que tienes que saber antes de decidir
Principales Diferencias entre Carillas y Fundas Dentales
Las carillas y fundas o coronas dentales presentan diferencias muy marcadas. Las diferencias entre carillas y fundas dentales radican en su cobertura. Por otro lado, las fundas dentales cubren toda la superficie dental, envolviéndola por completo. Por esta razón, las coronas abarcan un tipo de tratamiento más extenso para problemas más sustanciales. Proporcionan una solución tanto de función estética como de restauración estructural. La principal diferencia entre carillas y fundas radica en que las primeras solo cumplen una función estética y las segundas, por su parte, además de mejorar la estética de la sonrisa también aportan funcionalidad a la cavidad oral. Una de las diferencias entre carillas y coronas radica, precisamente, en que las últimas pueden usarse en cualquier diente, mejorando su estética y funcionalidad. La diferencia más notable es que la carilla solo se coloca en la parte frontal del diente natural. Sin embargo, la funda cubre todo el diente. Por lo tanto, las carillas cumplen una función estética y las coronas también mejoran la funcionalidad de la cavidad bucodental.
Otra distinción clave radica en los materiales utilizados en ambos procedimientos. Aunque ambos ofrecen soluciones definitivas, los materiales varían considerablemente. Las carillas dentales se elaboran principalmente con porcelana, mientras que las fundas dentales pueden fabricarse con porcelana, pero también tienen la opción de emplear otros materiales como el metal o el zirconio. El material de fabricación de las carillas y las fundas dentales también es diferente. Como te hemos contado antes, las carillas pueden ser de porcelana o composite. Siendo las primeras mucho más duraderas y estéticas que las segundas. Las coronas, por su parte, pueden ser de porcelana, metal-porcelana o zirconio.
Las fundas de porcelana o zirconio son las más estéticas, debido a que tienen una transparencia muy superior y es más fácil lograr el color natural del diente. Sin embargo, las de metal-porcelana son más económicas. Estas últimas suelen dejar a la vista un pequeño halo metálico, que quedaría cerca de las encías. En las clínicas dentales, solemos recurrir a las fundas de metal-porcelana para dientes que no son visibles de forma natural. No obstante, usar coronas con metal no son recomendables por su estética limitada, desgaste de los dientes adyacentes y problemas de higiene.
| Característica | Carillas Dentales | Fundas Dentales |
|---|---|---|
| Cobertura | Superficie frontal del diente | Toda la superficie del diente |
| Función | Principalmente estética | Estética y funcional |
| Materiales | Porcelana o composite | Porcelana, metal-porcelana o zirconio |
| Tallado del diente | Mínimo o nulo | Necesario |
¿Cómo Elegir entre Carillas y Fundas Dentales?
La elección entre fundas dentales o carillas depende de la condición del diente dañado o de las necesidades estéticas específicas. Dependiendo del paciente y el objetivo a conseguir, en la clínica dental se plantea un tratamiento u otro. A veces, se propone una combinación de ambos tratamientos. Primero, es esencial definir los objetivos estéticos personales, y su dentista será de gran ayuda en este proceso. El profesional determinará la viabilidad del proyecto y podrá guiarte hacia la mejor solución. Inicialmente, se realizará un examen detallado de tus dientes, encías, mandíbula, etc., para evaluar tu salud bucal, ya que este estado es crucial.
Si se busca resolver problemas estéticos más superficiales, como cambios de color o formas menores, las carillas suelen ser la opción preferida. Por otro lado, si se enfrenta a un problema dental más extenso, como un diente dañado o desgastado, puede ser más adecuado optar por las fundas dentales.
Considera los siguientes factores al tomar tu decisión:
- Estado de tus dientes: Evalúa la salud y condición de tus dientes. Si tienes dientes dañados, debilitados o con caries extensas, es probable que necesites una solución más completa, como una corona dental.
- Objetivos estéticos: Define tus objetivos estéticos. ¿Deseas una sonrisa más blanca y uniforme? Las carillas dentales son ideales para esto.
- Ubicación de los problemas: Considera dónde se encuentran los problemas en tu sonrisa.
- Durabilidad y mantenimiento: Piensa en cuánto mantenimiento estás dispuesto a realizar.
- Presupuesto: Consulta tu presupuesto y opciones de financiamiento.
En nuestra Clínica tenemos al Dr Marcos Barón especialista en prótesis y podrá aconsejarte cual es el mejor tratamiento para ti.