Un quiste de retención, también conocido como quiste de inclusión, es una afección médica que se desarrolla cuando un conducto o glándula en el cuerpo se bloquea, causando la acumulación de líquidos o secreciones, lo que da lugar a la formación de un quiste. Los quistes de retención son bastante comunes y suelen ser asintomáticos.
En odontología, algunas afecciones pueden pasar desapercibidas durante meses si no se detectan en una revisión. En el artículo de hoy vamos a hablar sobre los quistes maxilares, una lesión que conviene detectar en sus estadios iniciales para evitar sus posibles consecuencias.
Un quiste maxilar es una cavidad anómala en el hueso del maxilar (superior o inferior) que está recubierta por una membrana epitelial y puede contener líquido, aire o material semisólido. Los quistes maxilares no son lesiones orales tan comunes.
Los quistes maxilares son unas cavidades patológicas circunscritas que están recubiertas por un epitelio. Estos pueden contener líquido, pus, sangre o un material semisólido. El crecimiento de los quistes maxilares siempre suele ser lento y generalmente asintomáticas.
Estas lesiones pueden destruir el hueso y provocar movimiento dentario. Están relacionados directamente con alguna estructura dentaria. No están relacionados con estructuras dentales.

Tipos de Quistes Maxilares
Los quistes maxilares se clasifican en:
- Quistes odontogénicos.
- Quistes no odontogénicos.
Quistes Odontogénicos
En la mayoría de ocasiones los quistes maxilares tienen un origen dental. La mayoría de quistes maxilares odontogénicos suelen producirse por restos de bacterias en los dientes donde presentan patologías pulpares no manejadas (caries profundas) o causadas por un mal tratamiento endodóntico (endodoncia fracasada), en el cual la raíz o anatomía del hueso tiene un anomalía difícil que hace que el endodoncista no tenga una adecuado acceso a la zona del ápice dental.
Entre los quistes odontogénicos, se encuentran:
- Quiste radicular: apical, lateral, residual.
- Es el más común.
- Suele desarrollarse como consecuencia de una infección no tratada en la raíz de un diente.
- Quistes dentígeros o foliculares: son aquellos que se forman en el tejido que bordea un diente en erupción.
- Un queratoquiste o quiste primordial, es también llamado tumor odontogénico queratoquístico, por la manera como evoluciona.
Quistes No Odontogénicos
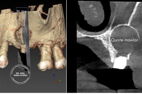
Algunos quistes tienen una causa genética. Entre ellos están los relacionados con el desarrollo de los maxilares y los dientes en edades tempranas. Otros quistes derivan de caries profundas que han llegado al nervio. En la imagen de la portada (corte de un TAC en 3D) se observa un quiste naso-palatino, uno de los más comunes de la cavidad oral.
Causas de los Quistes de Retención en el Seno Maxilar
Los quistes de retención en el seno maxilar pueden tener varias causas. Las más comunes incluyen:
- Infecciones sinusales repetidas: Las infecciones crónicas o agudas en los senos paranasales pueden irritar y bloquear las glándulas, llevando a la formación de un quiste.
- Problemas dentales: Infecciones o complicaciones en los dientes superiores pueden afectar el seno maxilar y provocar la aparición de un quiste.
- Traumatismos: Un golpe o lesión en la zona facial puede dañar las glándulas mucosas, favoreciendo el desarrollo de quistes.
- Factores anatómicos: Algunas personas tienen una predisposición anatómica que facilita la formación de estos quistes debido a la forma de sus senos maxilares.

Tal y como muestra la imagen anterior, los senos maxilares son las cavidades que conforman los senos nasales de la cara. Son cavidades grandes y tienen forma piramidal. Los senos maxilares están ubicados uno a cada lado de la cara.
Síntomas de un Quiste Maxilar
En fases iniciales, un quiste puede pasar completamente desapercibido. Una de las grandes particularidades de un quiste oral es que no duele y por eso en muchas ocasiones pasa desapercibido para el paciente. Los quistes maxilares suelen ser indoloros si son pequeños y pueden pasar desapercibidos.
Cirugía Bucal II. Extirpacion quistes maxilares.
Sin embargo, pueden causar molestias si aumentan de tamaño o se infectan. En función de su ubicación, pueden presentarse como una hinchazón palpable debajo de la piel, una área sensible al tacto o un bulto visible.
Los quistes de los senos maxilares son de tipo asintomático. Esto indica que en muy rara ocasión un paciente va a padecer algún síntoma por un quiste.
Diagnóstico de Quistes Maxilares
El diagnóstico de un quiste de retención se basa generalmente en la presentación clínica, así como en exámenes físicos y pruebas de diagnóstico por imagen, como la ecografía, la tomografía computarizada o la resonancia magnética.
Generalmente es necesario realizar una radiografía para diagnosticar esta patología que se manifiesta a través de una zona oscura en el hueso. En la ortopantomografía (radiografía en 2D de toda la boca) el quiste maxilar se observa como una zona oscura y redondeada en forma de bolsa.
El principal método para detectar un quiste maxilar es a través de una radiografía, en la que se puede observar una mancha de color oscuro en el hueso. Una vez que el dentista sepa de la presencia del quiste, es posible que solicite pruebas adicionales, tales como una tomografía computarizada o una biopsia, que le permitan tener una información más completa y detallada sobre el tipo de quiste, la extensión del mismo y sus características.
Para poder diferenciar un quiste de otro tipo de lesiones, el dentista debe tener en cuenta los síntomas que presenta el paciente, así como la ubicación del quiste.
Antes de realizar cualquier tratamiento dental es fundamental realizar un buen diagnóstico. Este debe incluir un estudio clínico y radiográfico previo, para poder determinar la extensión de la patología y clasificarlo según sus características.
Tratamiento de los Quistes Maxilares
El tratamiento de los quistes de retención depende de su tamaño, ubicación, si presentan o no síntomas y si están o no infectados. Si el quiste es pequeño, asintomático y no presenta signos de infección, se puede optar por un enfoque de espera vigilante, monitorizando el quiste con regularidad para ver si cambia de tamaño o provoca síntomas. Si el quiste es grande, causa síntomas o se infecta, el tratamiento puede implicar la drenación del quiste o la cirugía para extirparlo.
El tratamiento de un quiste de retención en seno maxilar depende del tamaño del quiste y de los síntomas que presente.
Los tratamientos para un quiste maxilar van a depender principalmente del diagnóstico que realice el odontólogo.
Cuando el quiste es producto de una infección, el dentista puede recurrir a una endodoncia para eliminar la materia infectada que se produjo dentro del diente. Esto significa eliminar todas las bacterias de la raíz dental, llamado comúnmente “matar el nervio” y/o extirpar la punta de la raíz junto al quiste (cirugía apical). En el caso de quistes pequeños, solo con la endodoncia será suficiente para eliminarlo (tratamiento menos invasivo), en cambio hay otros casos en los que se debe realizar la cirugía apical o ambas intervenciones.
La forma más común de tratar un quiste maxilar es la extirpación del mismo a través de una cirugía, que debe ser realizada por un especialista como lo es un cirujano maxilofacial. En el caso de quistes extensos, de crecimiento rápido o que producen síntomas al paciente, la técnica que se realiza es la enucleación y consiste en eliminarlo en su totalidad (junto a la bolsa que lo encapsula) para que no vuelva a aparecer. Posteriormente, el quiste se analiza en el laboratorio.
La enucleación, tratamiento habitual de todos los quistes, consiste en la extirpación de una lesión despegándola del hueso. El cirujano que opera estos quistes suele ser un cirujano maxilofacial.
La marsupialización del quiste resulta una técnica menos invasiva y con menor riesgo de complicaciones que los tratamientos tradicionales.

Cuidados Postoperatorios
Los primeros cuidados deben incluir control del dolor y de la inflamación, que es una consecuencia normal de la cirugía. Luego de 24 horas se puede comenzar la higiene de la boca teniendo cuidado con la zona de la cirugía.
No olvides que una buena higiene dental es el camino para una mejor salud bucal. Acudir a un dentista especializado como un cirujano maxilofacial en Madrid, tanto si detectas alguno de los síntomas o para los chequeos anuales que se recomiendan, permite un diagnóstico temprano y preciso.
Como en la mayoría de tratamientos odontológicos, la prevención y un diagnostico adecuado son un papel muy importante para poder evitar futuras problemas. Los controles dentales regulares en la Clínica Maxilofacial Madrid o en tu centro de atención más cercano son fundamentales en estos casos, puesto que estas lesiones suelen pasar inadvertidas.
Estos suelen ser recidivantes, es decir una vez extirpados pueden volver a aparecer.