Después de un tratamiento de ortodoncia, es crucial seguir una serie de recomendaciones y cuidados para asegurar que los dientes permanezcan en su nueva posición y mantener una buena salud bucodental. Esta guía te proporcionará información detallada sobre los pasos a seguir una vez que te quiten los brackets.

Recomendaciones esenciales después de la ortodoncia
El cuidado posterior a la ortodoncia es fundamental para consolidar los resultados obtenidos y mantener una sonrisa saludable y alineada. A continuación, se detallan las principales recomendaciones:
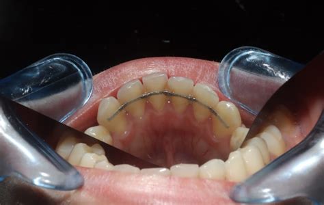
1. Colocación de retenedores
Los retenedores son clave para que los dientes permanezcan en la nueva posición y se mantengan así inalterables a largo plazo. A lo largo de la vida existen fuerzas en la cavidad bucal, como el nacimiento de las muelas del juicio, acción de la lengua y los músculos, etc.
Existen dos tipos principales de retenedores:
- Retenedores fijos: Consisten en un fino cable de metal que se fija en la pared interna de los dientes o cara lingual. Es importante escoger los materiales apropiados para que su durabilidad a largo plazo sea la adecuada.
- Retenedores removibles: Son un tipo de retenedor dental de quita y pon, que suele mantenerse a largo plazo para dormir y que suelen ser transparentes y muy cómodos. Generalmente deben utilizarse las 24 horas del día durante los primeros 6 meses y, luego, te los puedes colocar solo de noche en las arcadas superior e inferior.

2. Cuidado de la higiene bucodental
Es crucial cuidar la higiene de los retenedores fijos que permanecerán cementados a la superficie dental por largo tiempo. Es importante tener una técnica adecuada que realice un barrido en vertical en una posición entre perpendicular y 45º a la superficie dental, pero nunca en horizontal ni aplicando excesiva presión, pues el cepillo puede arrasar y retraer las encías.
Todo esto puede ser complementado con una limpieza profesional una o dos veces al año, que elimine los depósitos duros, tinciones y placa más profunda por debajo de la encía. Los avances en profilaxis dental utilizan máquinas de fino polvo y agua a presión, que limpian en mayor profundidad sin dañar el esmalte, sin generar microrugosidades sino puliendo y evitando nuevos depósitos, y lo más importante son muy agradables para el paciente y no producen dolor.
3. Visitas regulares al dentista
Uno de los mejores cuidados después de quitar los Brackets que puedes darle a tu salud bucodental es la visita a tu odontólogo-ortodoncista de confianza para que vea cómo siguen tus dientes después de la ortodoncia. Aunque no uses retenedores siempre es buena una visita para controlar nuestro estado de salud en dientes y encías.
4. Blanqueamiento dental
Se puede aclarar el tono de los dientes si se desea con fines cosméticos y de rejuvenecimiento. Para ello te aconsejamos un blanqueamiento dental.
5. Mantenimiento de los retenedores
Cuida el estado de tus retenedores fijos y removibles. Renueva tus férulas cada 4 o 5 años, ó cuando estimes que el uso los ha envejecido o deteriorado.
¿Qué puedo comer con los brackets recién puestos?
La colocación de brackets altera, durante un tiempo, lo que comen (y no pueden comer) los pacientes. Los brackets están pensados para ejercer presión sobre los dientes, con el objetivo de llevar a cabo una serie de movimientos controlados y alinear la sonrisa. A continuación, se presentan recomendaciones sobre qué alimentos son adecuados y cuáles deben evitarse:

Alimentos recomendados:
- Verduras: Son muy saludables y se pueden tomar al vapor o cocidas para que estén más blandas y fáciles de masticar.
- Frutas: Es mejor elegir las maduras porque están más blandas. También se pueden preparar en zumos, smoothies o batidos.
- Huevos: Son muy sencillos de masticar. Se recomienda la ingesta de un huevo al día.
- Pasta: Lo ideal es prepararla muy cocida, en lugar de al dente.
- Arroz: Si el paciente presenta muchas molestias, es preferible que esté muy cocido.
- Sopa: Es un plato al que conviene recurrir por su consistencia líquida.
- Quesos blandos: El queso ricotta, cottage, el requesón o la mozzarella son variedades muy blandas y que se consumen frías.
- Avena: Además de ser blanda, la avena es un alimento muy saciante. Se puede tomar con leche, yogur, frutos rojos, etc.
- Yogures: También se pueden comer con brackets recién puestos.
- Pescado: El pescado es una gran fuente de ácidos grasos omega 3. De entre todos los pescados, los que contienen una mayor cantidad de omega 3 son el salmón, la caballa, el atún y las sardinas.
COMER CON BRACKETS 🍔🍟 DESCUBRE QUE ALIMENTOS SI PUEDES COMER CON BRACKETS🍎- #COMERCONBRACKETS #ORTHO
Alimentos a evitar:
- Carnes: En general, la carne tiene una consistencia dura y fibrosa que exige un mayor esfuerzo de masticación.
- Comidas ácidas o picantes: Durante los primeros días, es muy frecuente que los brackets provoquen llagas en la boca.
- Alimentos muy duros: Las verduras crudas, los frutos secos o el chocolate es preferible evitarlos por completo hasta que cesen las molestias.
- Alimentos muy fríos: Si los dientes están sensibles debido a la presión que ejerce la ortodoncia es preferible no tomar bebidas o alimentos muy fríos o congelados.
- Pan: Al inicio del tratamiento es preferible evitar la corteza o los panes muy crujientes. Si eres una de esas personas que no pueden vivir sin pan, toma pan de molde o cómete solo la miga.
- Cereales crujientes: Dado que son duros, pueden aumentar las molestias.
Consejos adicionales para pacientes con ortodoncia
Además de las recomendaciones anteriores, hay otros consejos que pueden ayudarte a sobrellevar el tratamiento de ortodoncia de manera más cómoda:
- Evita las molestias: Opta por alimentos suaves y fríos que no requieran mucha masticación, como purés, yogur, helados o batidos.
- Mantén una higiene exhaustiva: Es fundamental mantener una buena higiene bucal durante el tratamiento de ortodoncia.
- Vigila tu alimentación: Sigue las recomendaciones sobre qué alimentos evitar y cuáles son seguros para consumir.
- Controla el tiempo de uso: Si usas retenedores removibles, asegúrate de cumplir con el tiempo de uso recomendado por tu ortodoncista.
- Usa los elásticos como te han enseñado: Si tu tratamiento incluye el uso de elásticos, sigue las instrucciones de tu ortodoncista al pie de la letra.
- Respeta las revisiones pautadas: Acude a todas las citas de revisión programadas con tu ortodoncista para asegurar que el tratamiento avanza según lo previsto.

Dolor tras colocar brackets: ¿Qué esperar?
Es normal sentir dolor tras colocar brackets por la presión ejercida en los dientes. Es común experimentar cierto grado de dolor o molestia en los dientes y las encías durante los primeros días después de colocar los brackets.
Los analgésicos de venta libre, como el ibuprofeno o el paracetamol, pueden ayudar a aliviar el dolor y la inflamación causados por los brackets. Las compresas frías o calientes pueden ayudar a aliviar la inflamación y reducir el dolor en tus encías y tejidos bucales.
| Problema | Solución |
|---|---|
| Dolor e inflamación | Analgésicos de venta libre, compresas frías o calientes |
| Dificultad para masticar | Opta por alimentos suaves y fríos |
| Llagas en la boca | Evita comidas ácidas o picantes |