La inflamación de encías es un problema muy común en la población. De hecho, según la Sociedad Española de Periodoncia y Osteointegración (SEPA) solamente el 14,8% de los adultos con edades comprendidas entre los 35 y 44 años presenta unas encías sanas. La inflamación de encías es un proceso común que experimentan muchas personas en su día a día. Si esta afección se repite en el tiempo, es aconsejable tomar medidas para combatirla y frenarla.

¿Cómo sé si tengo las encías inflamadas?
Identificar los síntomas de las encías inflamadas es el primer paso para poder abordar adecuadamente la inflamación. A continuación te dejamos una lista completa de las señales de que puedes estar sufriendo un problema de inflamación de encías.
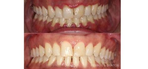
- Encías rojas o hinchadas: Una de las señales más evidentes de las encías inflamadas son encías que parecen más rojas de lo normal, o que están hinchadas. Este es generalmente uno de los primeros síntomas que notarás si estás desarrollando una enfermedad de las encías.
- Sangrado durante el cepillado o el uso del hilo dental: Si notas sangre cuando te cepillas los dientes o usas el hilo dental, puede ser un signo de que tus encías están inflamadas. No debería haber sangrado durante las rutinas de higiene oral normales, así que si ves sangre, es importante que hables con un dentista.
- Dolor o sensibilidad en las encías: Otro indicador común de inflamación de las encías es el dolor o la sensibilidad. Este síntoma puede hacer que sea incómodo cepillarse los dientes o masticar alimentos, especialmente si son duros o crujientes.
- Mal aliento persistente: El mal aliento constante, también conocido como halitosis, puede ser un signo de que las bacterias se están acumulando en la boca y están causando inflamación en las encías. Si tienes mal aliento incluso después de cepillarte los dientes y usar hilo dental, esto podría ser un claro indicador de inflamación de encías.
- Encías que se retraen: Si tienes las encías retraídas, o si tus dientes parecen más largos, puede ser un signo de enfermedad de las encías avanzada. Esto puede hacer que tus dientes sean más sensibles al frío y al calor, y también puede cambiar la apariencia de tu sonrisa.
Principales causas de la inflamación de encías
La inflamación de encías puede deberse a una serie de factores y a continuación te vamos a mostrar los más comunes.
- Placa dental y tártaro: Una de las principales causas de la inflamación de las encías es la acumulación de placa y tártaro en los dientes. La placa es una película pegajosa de bacterias que se forma constantemente en nuestros dientes. Si no se elimina adecuadamente mediante el cepillado y el uso de hilo dental, puede endurecerse y convertirse en tártaro. Ambos contribuyen a la inflamación y la infección de las encías.
- Enfermedades de las encías: La gingivitis y la periodontitis son las principales enfermedades de las encías que causan inflamación. La gingivitis, la forma más leve de enfermedad de las encías, es causada por la acumulación de placa en los dientes. Si no se trata, puede progresar a periodontitis, una enfermedad más grave que puede dañar los huesos y tejidos que sostienen los dientes en su lugar.
- Deficiencias nutricionales: Una dieta pobre o deficiente en nutrientes vitales como las vitaminas C y K y el calcio puede llevar a la inflamación de las encías, ya que estos nutrientes son esenciales para su salud.
- Cambios hormonales: Los cambios hormonales, especialmente los que ocurren durante el embarazo, la menstruación y la menopausia, también pueden aumentar la sensibilidad de las encías y hacerlas más propensas a la inflamación. El embarazo es una etapa vital con muchos cambios hormonales.
- Uso de aparatos dentales: Los brackets, las dentaduras postizas y otros aparatos dentales pueden irritar las encías y causar inflamación. El uso de brackets o implantes obliga al paciente a tener una higiene dental más profunda. Es importante mantener estos aparatos limpios y ajustarlos correctamente para evitar este problema.
- Algunos medicamentos: Hay ciertos medicamentos, incluyendo algunos para la presión arterial, los anticonceptivos y algunos tipos de quimioterapia, que pueden causar inflamación de las encías como efecto secundario.
- Ciertos alimentos: Ciertos alimentos también pueden inflamar las encías por un exceso de sensibilidad (especialmente, alimentos picantes y ácidos). La gingivitis también se produce por una dieta poco equilibrada.
La acumulación de sarro y placa bacteriana en los dientes suele provocar la inflamación de las encías.
¿Qué pasa si tengo inflamada la encía?
Si presentas inflamación en las encías podría ser una señal de que estás desarrollando una enfermedad de las mismas, como la gingivitis o la periodontitis. Esta inflamación generalmente indica que tu cuerpo está luchando contra una infección bacteriana. Si no se trata adecuadamente, puede provocar daños en los tejidos y huesos que sostienen los dientes, lo que puede llevar a la pérdida de piezas. Además, la inflamación persistente en las encías puede contribuir a problemas de salud más amplios, como enfermedades del corazón y diabetes. Por eso es esencial buscar atención dental profesional si notas inflamación en tus encías.
Cómo desinflamar las encías al instante: remedios y tratamientos
La inflamación de las encías puede ser incómoda y, si no se trata a tiempo, puede derivar en problemas de salud bucal más serios. Aquí te ofrecemos una lista de remedios y tratamientos a los que puedes recurrir para aliviar la inflamación de las encías rápidamente:
- Higiene bucal adecuada: Asegúrate de cepillarte los dientes al menos dos veces al día y usar hilo dental diariamente para eliminar la placa y las bacterias.
- Enjuague bucal antiinflamatorio: Usa un enjuague bucal que contenga ingredientes antiinflamatorios, como la clorhexidina, que pueden ayudar a reducir la inflamación.
- Aplicación de hielo: Aplica hielo en el exterior de la boca sobre el área inflamada. Esto puede ayudar a reducir la hinchazón y el dolor.
- Alimentación saludable: Mantén una dieta rica en vitaminas C y K, que son vitales para la salud de las encías.
- Beber agua: Bebe abundante agua para mantener tu boca hidratada y ayudar a limpiar las bacterias y los restos de comida. Beber mucha agua también es recomendable, porque contribuye a eliminar los depósitos de bacterias.
- Dejar de fumar: Si eres fumador, intenta dejarlo. Fumar puede empeorar la inflamación de las encías y dificultar la curación.
- Consultar a un dentista: Si la inflamación persiste o es severa, no dudes en acudir a un especialista. Podrías necesitar un tratamiento más intensivo, como una limpieza dental profunda o un tratamiento periodontal.
- Evitar alimentos duros o picantes: Estos pueden irritar las encías inflamadas.
- Enjuague con agua salada: Un enjuague bucal casero de agua tibia y sal puede ayudar a reducir la inflamación y matar bacterias en la boca.
- Té: El té también nos va a ayudar para las encías inflamadas, ya que tiene una solución antiséptica natural que es capaz de desinfectar y mejorar la curación.
- Limón: Otro de los remedios que podemos utilizar es la utilización del limón.
Como ves, la inflamación de las encías tiene soluciones muy accesibles, pero que hay que tratarla a tiempo. La clave cuando se padece un problema de este tipo es encontrar una solución efectiva. Si no sabes cómo bajar la inflamación de las encías rápidamente, el primer paso es enjuagar la boca con una solución salina o un colutorio e insistir en el cepillado. Estos son algunos remedios caseros para bajar la inflamación de las encías, pero la solución pasa por acudir a tu dentista de confianza.
Asimismo, es recomendable alimentarse bien y no tomar alcohol ni fumar.
Cómo prevenir la gingivitis
La mejor manera de prevenir la gingivitis y la inflamación de las encías es manteniendo una buena higiene bucal y cuidando tu salud en general.
- Buena higiene bucal: Es muy importante cepillarse los dientes al menos dos veces al día, utilizar hilo dental diariamente y usar un enjuague bucal con flúor. Del mismo modo, recuerda cambiar tu cepillo de dientes cada tres meses, o cuando las cerdas se desgasten. Para mantener unas encías sanas y prevenir la inflamación, es fundamental seguir una buena higiene bucal.
- Buenas prácticas de salud: Mantén una dieta equilibrada y limita el consumo de alimentos y bebidas azucarados.
Para mantener unas encías sanas y prevenir la inflamación, es fundamental seguir una buena higiene bucal.
| Síntoma | Posible Causa | Remedio | Prevención |
|---|---|---|---|
| Encías rojas e hinchadas | Placa, gingivitis | Higiene bucal, enjuague bucal | Cepillado, hilo dental |
| Sangrado al cepillarse | Inflamación, gingivitis | Higiene, visita al dentista | Higiene bucal regular |
| Mal aliento | Bacterias, inflamación | Higiene, enjuague bucal | Buena higiene oral |
| Sensibilidad | Retracción de encías | Visita al dentista, injerto | Cuidado dental preventivo |
Con la edad el sangrado durante el cepillado se vuelve más frecuente. Es importante no restarle importancia a esta situación y consultar con un dentista. Es un síntoma -posiblemente acompañado de otras señales de alarma que solemos pasar por alto, como las encías hinchadas, enrojecidas o irritadas-, de la gingivitis, la fase inicial de la enfermedad periodontal.
Millones de adultos sufren alguna clase de enfermedad periodontal, aunque solo una parte muy pequeña se da cuenta, puesto que el dolor de encías no es un síntoma inicial.
Pero si no se trata , la sangre en el lavabo puede derivar en una enfermedad periodontal grave ( periodontitis ) que ataca a las encías, erosiona la mandíbula y es el principal motivo de la caída de los dientes . Si ves gotas de sangre, no esperes más para comenzar a mejorar tu rutina de cepillado, hilo dental y enjuague.
Las encías retraídas son uno de los síntomas más evidentes de la enfermedad periodontal y se caracterizan por el hecho de que tus encías y el hueso se alejan del diente y dejan al descubierto una parte mayor de la parte inferior de este, dando lugar a una manifiesta recesión.
Este síntoma, también denominado retracción de las encías , deja la raíz del diente expuesta a las bacterias nocivas y la boca vulnerable a una inmensa variedad de problemas de salud. Si va acompañado de enrojecimiento e inflamación de las encías y estas sangran con el cepillado, es muy probable que se trate de la enfermedad periodontal en su fase inicial.
Es importante actuar con tiempo, ya que, si no las consecuencias pueden ser graves e irreversibles , como la pérdida de la dentina (tejido óseo, denso y duro que conforma la mayor parte del diente por debajo del esmalte y que mantiene el diente firmemente sujeto) y las raíces expuestas pueden ablandarse, doler o infectarse.
Ahora bien, hay varias posibles soluciones al retroceso de encías como los injertos, que se llevan a cabo en casos donde el paciente necesita reparar daños y/o desea recuperar el buen aspecto de esa zona por una razón estética. Puede realizarse con fragmentos de la propia encía del paciente o con biomateriales sintéticos, que se integran perfectamente en su boca.