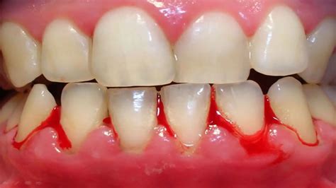
Cuidar de tus encías es fundamental para mantener una buena salud bucal y prevenir problemas más graves como la gingivitis o la periodontitis. La gingivitis es una afección bucal común que causa inflamación, enrojecimiento y sangrado de las encías. Es provocada principalmente por la acumulación de placa bacteriana, lo que irrita los tejidos gingivales. Los síntomas más comunes de la gingivitis incluyen encías inflamadas, enrojecidas y sangrantes, especialmente al cepillarse los dientes.

El tratamiento de la gingivitis incluye la eliminación de la placa bacteriana mediante un buen hábito de higiene bucal. A continuación, te presentamos algunas de las mejores pastas de dientes para la gingivitis disponibles en el mercado para mantener una salud bucal óptima.
¿Cuál es la mejor pasta de dientes para la gingivitis?
- GingiLacer Encías Delicadas
- Bexident Encías de ISDIN
1. Bexident Encías de ISDIN
Una de las opciones más recomendadas para tratar las encías inflamadas es Bexident Encías de ISDIN, cuya fórmula incluye un alto contenido de triclosán, un potente agente antiséptico que actúa contra las bacterias responsables de la inflamación y el sangrado de las encías. Además, su uso continuado reduce la placa bacteriana, principal causante de la gingivitis, y previene el mal aliento. Es ideal para personas que buscan una solución efectiva y de rápida acción.

2. GingiLacer Encías Delicadas
Otra excelente alternativa es GingiLacer, una pasta dentífrica de uso diario especialmente formulada para encías delicadas y sensibles. GingiLacer no solo trata los síntomas, sino que también restablece la salud de los tejidos gingivales, fortaleciéndolos y protegiéndolos frente a futuros problemas.

3. VITIS Encías
En este TOP mejores pastas de dientes para encías inflamadas no puede faltar VITIS Encías, un dentífrico diseñado para prevenir y tratar problemas de encías como la inflamación, el enrojecimiento y el sangrado. Uno de los aspectos más destacados de VITIS Encías es que su fórmula no contiene gluten, lo que la hace apta para personas celíacas. Además, su textura y sabor suave hacen que sea muy agradable de usar a diario. Esta pasta de dientes está diseñada para un uso diario y es ideal para quienes buscan una solución integral para el cuidado de sus encías y dientes.

4. Clorhexidina Lacer
Completa el ranquin Clorhexidina Lacer, una de las pastas dentífricas más recomendadas para quienes padecen gingivitis avanzada o periodontitis.
Paradontax: Protección Integral para tus Encías
Descubre Paradontax, la pasta dental diseñada para la protección integral de tus encías. Con su exclusiva fórmula, ayuda a prevenir y combatir problemas como encías retraídas. Este producto se destaca por su eficacia respaldada y su alta calidad. Su uso regular no solo fortalece tus encías, sino que también proporciona una limpieza profunda.

Aquí tienes una tabla con algunos productos de Paradontax y sus precios:
| Producto | Referencia | Precio (IVA incluido) |
|---|---|---|
| Complete Protection - 1 tubo de 75 ml | DTXPAR186465 | 6,42 € 4,49 € |
| Complete Protection Extra Fresh - 1 tubo de 75 ml | DTXPAR2046597 | 6,79 € 4,75 € |
| Extra Fresca - 1 tubo de 75 ml | DTX-Pa60000000138092(12) | 8,14 € 5,70 € |
| Herbal Fresh - 1 tubo de 75 ml | DTXPAR195638 | 6,29 € 4,40 € |
| Original - 1 tubo de 75 ml | DTXPAR195467 | 5,57 € 3,90 € |
| Reparación Activa - 1 tubo de 75 ml | DTX-Pa60000000202435 | 11,41 € 7,99 € |
| Sin Fluor - 1 tubo de 75 ml | DTXPAR209841 | 6,29 € 4,40 € |
La gingivitis es una afección que no debe tomarse a la ligera, ya que puede derivar en problemas bucales más graves si no se trata adecuadamente. Incorporar una de estas pastas dentífricas a tu rutina de higiene bucal puede marcar una gran diferencia en la salud de tus encías.
Cómo lavarse los dientes correctamente - El cepillado dental ©
No, el uso de pasta de dientes especializada debe ir acompañado de una correcta técnica de cepillado, el uso de hilo dental y visitas regulares al dentista.