El uso de retenedores es crucial para mantener la alineación de tus dientes y asegurar resultados duraderos tras un tratamiento de ortodoncia. Los retenedores son dispositivos pasivos, es decir, su función principal no es mover los dientes, sino evitar que estos se desplacen hacia direcciones no deseadas.
Uno de los motivos más frecuentes de visita al dentista tiene que ver con la mala retención de los dientes. Si estás a punto de terminar tu ortodoncia y quieres saber más sobre los retenedores dentales fijos y removibles, sigue leyendo.
Si alguna vez te has preguntado por qué los retenedores después de la ortodoncia son tan esenciales tras finalizar el tratamiento, estás en el lugar indicado. Después de invertir tiempo y esfuerzo en un tratamiento de ortodoncia, es fundamental mantener los resultados a largo plazo.
Quizás te preguntes si son realmente necesarios o si podrías saltarte esta fase. Un retenedor dental es un elemento hecho a medida que se utiliza después de finalizar el tratamiento de ortodoncia para mantener los dientes en su nueva posición.
LOS RETENEDORES DESPUÉS DE LA ORTODONCIA - LOS DIENTES SIEMPRE SE VAN A MOVER LUEGO DE LOS BRACKETS.
¿Qué son los retenedores dentales?
Los retenedores dentales tienen como función principal mantener a los dientes en la posición que hemos conseguido después de llevar ortodoncia. Además de una posible retención fija, tu ortodoncista te recomendará utilizar retenedores dentales removibles durante el día y la noche hasta que se estabilicen.
Por ello, si no se usan los retenedores tras la ortodoncia, los dientes tratarán de volver a la posición que tenían antes de comenzar el tratamiento.
La importancia de los retenedores radica en la necesidad de dar tiempo a los tejidos gingivales para que se adapten a la nueva posición de los dientes después de un tratamiento de ortodoncia. Los dientes necesitan tiempo para adaptarse a su posición final, especialmente los tejidos gingivales que lo rodean. Después de un tratamiento de ortodoncia, los dientes tienden a regresar a su posición original si no se toman medidas para prevenirlo.
Los retenedores evitan este movimiento involuntario, permitiendo que los tejidos que rodean los dientes se adapten de forma estable a su nueva posición.
Si no usas los retenedores, los dientes pueden moverse y perder la alineación lograda con la ortodoncia. Si no pusiéramos retenedores dentales tras el tratamiento ortodóncico, volveríamos hacia atrás.
Además de los logros en salud, una sonrisa alineada da mejor armonía al rostro. Permiten que los niños y adolescentes conserven su sonrisa saludable toda la vida.
Muchas personas llevan ortodoncia durante su infancia, lo cual es muy importante para evitar una maloclusión grave, pero un mal uso de la retención hace que se necesite una segunda ortodoncia.
Siguiendo las indicaciones de tu ortodoncista al pie de la letra, podrás asegurar el mayor beneficio para tu salud dental y disfrutar de una sonrisa perfectamente alineada y duradera.
Es fundamental tener presente que los retenedores dentales deben ser revisados periódicamente, entre una y dos veces al año. Asimismo, es fundamental que acudas a las revisiones planificadas por tu ortodoncista.
Si tienes más dudas sobre ortodoncia no dudes en escribirnos y la resolveremos. Sin embargo, hay un paso final que a veces se pasa por alto: el uso de los retenedores dentales.
Recuerda que los retenedores después de llevar a aparato son clave para preservar la sonrisa perfecta que obtuviste a través del tratamiento de ortodoncia.
Tipos de retenedores dentales
Para la fase de retención dental pueden utilizarse dos tipos de retenedor: fijo o removible. Tanto los retenedores fijos como los removibles ofrecen ventajas significativas, como la retención efectiva de la alineación dental y la adaptabilidad a las necesidades individuales.
La elección entre retenedores fijos y removibles dependerá de las preferencias individuales y las necesidades específicas de cada paciente.
Puedes tener un solo tipo de aparato o un aparato removible para los dientes superiores y un aparato permanente para los dientes inferiores.
A continuación, te explicamos los dos tipos de retenedores dentales que existen: fijos y removibles.
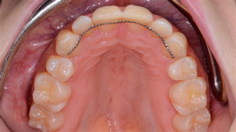
Retenedores fijos
El retenedor dental fijo consiste en un arco metálico que se adhiere de colmillo a colmillo a la zona lingual de los dientes (cara interna del diente). Los retenedores fijos son unos dispositivos formados por delicados alambres que se cementan en la cara interior de los dientes, sin que sean visibles externamente. El retenedor fijo consiste en un alambre muy fino.
Lo bueno de la retención dental fija es que permanece en la boca durante 24 horas, de manera que es una gran opción para las personas más despistadas a la hora de utilizar férulas dentales. Al ir colocado de manera fija, no es necesario que el paciente recuerde ponérselo.
Normalmente, los retenedores fijos se colocan nada más retirar el tratamiento de ortodoncia. Los retenedores deben ser colocados nada más terminar el tratamiento de ortodoncia.
Los retenedores fijos se adhieren permanentemente a la parte posterior de los dientes, y son la opción preferida por muchos ortodoncistas debido a su eficacia continua.
Cementados en la parte posterior de los dientes, son discretos y actúan las 24 horas del día, siendo retirados solo por el doctor en la clínica. Fabricados en diferentes materiales (metal, fibra de vidrio, níquel-titano), se colocan como láminas en la parte interna de los dientes.

Retenedores removibles
El retenedor dental removible consiste en una férula transparente que se puede quitar y poner en los dientes. Los retenedores removibles ofrecen una versatilidad que se adapta a las necesidades específicas de cada paciente. Son aquellos que se pueden quitar y poner, desempeñando una función intermitente. En las primeras fases, se usan de manera permanente, reduciendo progresivamente su tiempo de empleo.
Su material es transparente, haciéndolos bastante estéticos. Los retenedores removibles son aquellos que están pensados para que el paciente los lleve solamente unas determinadas horas al día, generalmente, mientras duerme. Por otro lado, el retenedor removible se coloca unos días más tarde. Para confeccionar el retenedor removible, el ortodoncista toma unos moldes al paciente el mismo día que retira el aparato de ortodoncia.
Por otro lado, los retenedores removibles son una opción que se puede quitar para comer y cepillarse los dientes.
Existen diferentes tipos de retenedores removibles, como son los retenedores removibles de resina y los retenedores removibles transparentes.
- Retenedores removibles de resina: cubren el paladar y están provistos de pequeños alambres de retención para su mejor ajuste.
- Retenedores removibles transparentes: son similares a los alineadores de ortodoncia. Los retenedores Essix son los más comunes hoy en día.
También existen:
- Retenedor Hawley: Este tipo de soporte está hecho de alambre plegable y acrílico o plástico. El alambre pasa por delante de los dientes y el acrílico tiene una forma tal que encaja perfectamente en la boca. Este tipo de soporte está hecho de alambre plegable y acrílico o plástico. Se fabrican mediante un molde del paladar y la arcada correspondiente. La placa Hawley es un aparato que cuenta con una estructura combinada de metal y acrílico. Los soportes Hawley están disponibles en una variedad de colores y estilos, con lo cual puedes personalizarlos cuando quieras. Además, este tipo de retenedor es ajustable, por lo que tu ortodoncista puede «afilar» tus dientes un poco después de que los frenos se ajusten. Sin embargo, destaca por su durabilidad y la capacidad de ajuste de los soportes metálicos.
- Retenedores Essix: Este tipo de soporte está hecho de plástico transparente moldeado y parece un alineador Invisalign. A la gente le gusta este tipo de retenedor dental porque es menos visible que una sujeción Hawley. Este tipo de soporte está hecho de plástico transparente moldeado y parece un alineador Invisalign. Los retenedores Essix son los más comunes hoy en día.
- Retenedores envolventes: También llamados termoplásticos, son más económicos y estéticos, pero menos adecuados para casos de expansión de arcadas dentarias o sobremordida completa. Permiten la alineación de incisivos irregulares tras el tratamiento, debiendo usarse todo el día, excepto durante las comidas, durante unos 5-7 días.

Aquí hay una tabla comparativa de los diferentes tipos de retenedores:
| Tipo de Retenedor | Material | Ventajas | Desventajas |
|---|---|---|---|
| Fijo | Arco metálico | Permanente, discreto | Dificultad para usar hilo dental |
| Removible de resina | Resina y alambre | Ajustable | Cubre el paladar |
| Removible transparente (Essix) | Plástico transparente | Estético | Menos duradero |
| Hawley | Alambre y acrílico | Ajustable, duradero | Visible |
| Envolventes (Termoplásticos) | Termoplásticos | Económicos, estéticos | Menos adecuados para ciertos casos |
¿Cuánto tiempo usar los retenedores dentales?
Ante la pregunta frecuente de ¿cuánto tiempo usar retenedores dentales? dependerá de las circunstancias, probabilidad de recaída y necesidades de tus dientes para asentar la posición correcta. La duración del uso del retenedor después del tratamiento de ortodoncia varía según una serie de factores, incluyendo la gravedad de la maloclusión corregida, el tipo de tratamiento realizado y las características individuales de cada paciente.
Después de este período inicial, el ortodontista puede indicar un uso parcial de los retenedores durante aproximadamente un año, permitiendo que los tejidos gingivales se reorganicen y se adapten a la nueva posición de los dientes.
En general, en los primeros meses, se te aconsejará llevar los retenedores durante todo el día, y luego se cambiará a un uso nocturno continuo durante varios años.
Algunos estudios han demostrado que las instrucciones más comunes son usar el retenedor todo el día, siete días a la semana durante un año después de que el dispositivo se retira. Después de eso, generalmente se recomienda usar el retenedor por la noche indefinidamente. Las instrucciones varían, por lo que es importante hablar con el ortodoncista.
Lo que sí podemos decirte es que hay una gran cantidad de ortodoncistas que consideran que la retención debe llevarse de por vida. Quizá la expresión “de por vida” te haya parecido demasiado. Por un lado, la barra de alambre del retenedor fijo es tan fina que la persona que la lleva ni siquiera la nota. Por otro lado, los retenedores de “quita y pon” solo suelen ser utilizados por las noches, para dormir.
Si tu retenedor es removible, es muy importante que lo uses exactamente como lo dice tu ortodoncista, de lo contrario puedes perder algunos o todos los beneficios de tu retenedor.
Una vez que comiences a usar el retenedor, el ortodoncista querrá comprobar que los dientes no se mueven. El ortodoncista puede ajustar o arreglar el retenedor o, si es necesario, fabricar uno nuevo.
Cuidado y limpieza de los retenedores dentales
Sin embargo, todos ellos requieren de cuidados y atención, ya sea a la hora de la higiene dental o por la necesidad de cierta disciplina por parte del paciente.
Ambos tipos de retenedores removibles deben ser removidos diariamente y limpiados con un cepillo suave. Tu ortodoncista también puede recomendarte que los pongas en remojo.
A continuación, te mostraremos cómo lavar los retenedores dentales.
Limpieza de los retenedores dentales removibles
La limpieza de los retenedores dentales removibles es similar a la de nuestra dentadura. Obviamente debemos quitárnosla antes de comer para evitar que se llene de restos y acumule sarro. Luego basta con limpiarlo con un cepillo de prótesis o un cepillo de uñas, ya que estos últimos son más duros, y usando jabón de las manos neutro. Posteriormente, deben secarse con una servilleta para evitar que aparezca moho.
También es aconsejable que los retenedores se sumerjan en una pastilla de dentaduras cada 15 días durante aproximadamente 4 horas, para así lograr una completa desinfección. Otra opción si quieres saber cómo lavar los retenedores dentales, es sumergir en un vaso con agua y bicarbonato de sodio, enjuague bucal que no contenga alcohol o vinagre suave.
Limpieza de los retenedores dentales fijos
Los retenedores fijos se cepillan como los dientes, pero en vez de usar hilo dental normal, hay que usar un hilo especial para retenedores o puentes que se llama Super Floss. Si no sabes cómo utilizarlo no te preocupes, tu ortodoncista te enseñará a hacer el uso correcto de este hilo especial.
Existen dos maneras de limpiar los retenedores fijos. Por un lado, los retenedores fijos son limpiados con cada cepillado dental. Para ello, el paciente tiene que incidir especialmente en la zona donde está colocado el alambre. Esto se debe a que la barra dificulta la acción del cepillado, por lo que es habitual que tiendan a acumularse la placa bacteriana y el sarro. Adicionalmente, se deberá usar seda dental una vez al día. Por otro lado, los retenedores fijos también son limpiados en las higienes bucodentales profesionales que se hace el paciente en la clínica dental.
Estas formas de lavar los retenedores dentales evitará la acumulación de bacterias en exceso, y los mantendrá en buen estado durante más tiempo.
Consejos adicionales para el cuidado de los retenedores
- Quítate los retenedores con cuidado: trata de alternar el lado por el que te quitas los retenedores removibles. Si los retiras siempre del mismo lado, pueden desgastarse en exceso y romperse.
- Ten precaución al morder ciertos alimentos: los alimentos muy duros y los movimientos de palanca (aquellos que se realizan para comer manzanas o bocadillos a mordiscos, por ejemplo) pueden hacer que el retenedor fijo se despegue.
- No comas con los retenedores removibles: además de ser poco higiénico y muy incómodo, comer con los retenedores removibles contribuye a que estos se rompan y pierdan su transparencia. El agua es lo único que se puede ingerir con los retenedores removibles puestos.
- Si se rompen, cámbialos: reemplaza tus retenedores removibles por unos nuevos cuando notes un excesivo desgaste. Por ejemplo, cuando veas unos pequeños agujeros en la zona de los molares. Así evitarás que pierdan su eficacia o, peor aún, que se rompan de repente y tengas que estar unos días sin ellos (hasta que acudes a la clínica y te confeccionan unos nuevos). Estar unos días sin ellos puede hacer que tus dientes se muevan.
- Acude al ortodoncista periódicamente: aunque te hayan retirado la ortodoncia, es necesario que sigas acudiendo a revisiones.
- Mantén una higiene bucodental óptima: Asegúrate de cepillar cuidadosamente alrededor de los alambres y entre los dientes para prevenir la acumulación de placa.
Ventajas y desventajas de los retenedores removibles
Las ventajas de los sistemas de sujeción removibles son las siguientes:
- Se pueden quitar fácilmente cuando comes y te cepillas los dientes o usas hilo dental.
- Son relativamente fáciles de obtener.
Las desventajas incluyen las siguientes:
- Pueden extraviarse o perderse cuando no están en la boca, especialmente si no están guardados en un estuche.
- Pueden dañarse fácilmente si se dejan tirados.
- Pueden causar una producción excesiva de saliva.
- Las bacterias pueden crecer y vivir en ellas.
Uno de los mayores problemas es que muchas personas pueden perder sus retenedores y no reemplazarlos o usarlos tan a menudo como deberían, lo cual origina que los dientes vuelvan a su posición original.
Consideraciones finales
Debes recordar que el retenedor es una continuación del tratamiento de ortodoncia y su objetivo es garantizar que los resultados obtenidos no se pierdan con el tiempo.
Está claro que tu clínica de ortodoncia te ayudará a elegir cuál es el mejor retenedor dental que más se adapte a tus necesidades y a tu estado de salud. Si te preguntas cuál es el mejor retenedor dental, como has visto, será aquel que se amolde mejor a las necesidades de tu boca y las recomendaciones de tu ortodoncista.
Con el cuidado adecuado y el cumplimiento de las recomendaciones de tu ortodoncista, tus retenedores te ayudarán a mantener una sonrisa saludable y alineada durante muchos años.
En la Clínica Dental de Toledo disponemos de los mejores especialistas y profesionales en las diversas áreas odontológicas, dispuestos a solventar cualquier afección que puedas estar padeciendo. En nuestra Clínica Dental David Salmerón en Murcia, comprendemos la importancia de cada etapa del proceso ortodóncico y estamos comprometidos a ofrecerte el mejor cuidado para tus dientes.