La radiografía panorámica dental, también conocida como ortopantomografía, es una herramienta fundamental en odontología que ofrece una vista completa de las estructuras dentales y maxilofaciales. Esta técnica radiológica es esencial para el diagnóstico y la planificación de tratamientos, ya que permite identificar problemas bucodentales que no son perceptibles a simple vista.

¿Qué es una Ortopantomografía?
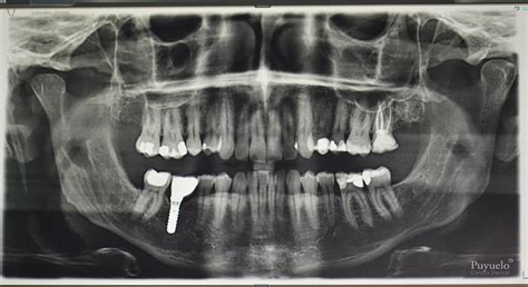
La ortopantomografía es un estudio radiológico que permite observar todos los dientes, tejidos de soporte y estructuras anatómicas adyacentes. Se trata de una imagen bidimensional de un objeto tridimensional, por lo que las imágenes pueden superponerse. Aunque es una radiografía muy útil para un diagnóstico inicial, esta superposición algunas veces impide una visualización detallada de ciertas patologías.
¿Cómo se Realiza una Ortopantomografía?
Para realizar una ortopantomografía, el paciente debe colocar su cabeza dentro del ortopantomógrafo y morder un pequeño reborde de plástico mientras la máquina toma las imágenes. El paciente debe sujetar con sus dos manos unas asas laterales que se encuentran en el aparato, mantener la cabeza erguida, apoyar la mandíbula en un soporte y morder una lengüeta. Para hacer una ortopantomografía se utiliza un aparato llamado ortopantomógrafo.
La radiografía panorámica u ortopantomografía se realiza con un aparato radiográfico anclado a través de un brazo a una columna vertical. Este dispositivo realiza un escaneado de la boca con un pequeño giro alrededor de la cabeza del paciente. Para hacer la radiografía, el paciente debe estar de pie o sentado y cubierto por un chaleco de plomo que lo protegerá de la radiación. Para colocarse de forma correcta, debe morder una pequeña pieza de mordida oclusal, que servirá para registrar la inclinación del nivel de mordida e indicar al dispositivo la posición en la que debe detenerse. Tras el escaneado, el dispositivo genera una imagen digital.
Para que este proceso sea exitoso y se obtenga una buena calidad de imagen, es imprescindible que el paciente adopte la posición correcta y no se mueva. La ortopantomografía es una prueba muy rápida, que dura menos de tres o cuatro minutos. La imagen se obtiene rápidamente: la mayoría de las clínicas dentales cuentan con aparatos digitales.
Por supuesto, las radiografías panorámicas no causan dolor alguno al paciente y utilizan una radiación ionizante mínima.
Estructuras Anatómicas Visibles en una Ortopantomografía
En una radiografía panorámica se pueden ver una infinidad de estructuras anatómicas. Para empezar, podemos ver tanto los dientes superiores como los inferiores y sus respectivas raíces. A continuación podemos ver el hueso, clave en la colocación de implantes.
A partir de aquí en la ortopantomografia se pueden ver una infinidad de estructuras anatómicas. Entre ellas encontramos:
- Seno maxilar
- Fisura pterigomaxilar
- Placa pterigoideos
- Hamulus
- Arco cigomático
- Eminencia articular
- Sutura cigomaticotemporal
- Proceso cigomático
- Meato auditivo externo
- Apófisis mastoides
- Fosa craneal media
- Borde lateral de la órbita
- Cresta infraorbitaria
- Foramen infraorbitario
- Canal infraorbital
- Fosa nasal
- Septum nasal
- Espina nasal anterior
- Cornete inferior
- Foramen incisivo
- Paladar duro
- Tuberosidad maxilar
- Cóndilo
- Coronoides
- Escotadura sigmoidea
- Depresión sigmoidea medial
- Proceso estiloides
- Vértebras cervicales
- Cresta oblicua externa
- Conducto mandibular
- Foramen mandibular
- Língula
- Foramen mental
- Fosa submandibular
- Cresta oblicua interna
- Fosa mentales
- Crestas mentales
- Tubérculos geniales
- Hueso hioides
- Lengua
- Velo del paladar
- Úvula
- Pared posterior de la faringe
- Lóbulo de la oreja
- Espacio aéreo glosofaríngeo
- Espacio aéreo nasofaríngeo
- Espacio aéreo palatoglossal
¿Para qué se Utiliza la Ortopantomografía?
La ortopantomografía se puede utilizar en muchos ámbitos de la odontología como por ejemplo:
- Colocación de implantes
- Defectos mandibulares
- Tratamientos ortodónticos
- Dientes impactados
- Erupción dentaria

Ventajas de la Radiografía Panorámica Dental
Una de las principales ventajas de la radiografía panorámica dental es que proporciona una imagen completa de las estructuras anatómicas de la cavidad bucal y sus alrededores. Esta vista general facilita a los profesionales de la odontología evaluar y diagnosticar diversas afecciones con mayor precisión. Gracias a su capacidad para mostrar todas las estructuras anatómicas de manera integral, la radiografía panorámica dental se ha convertido en una herramienta imprescindible para evaluar la salud bucodental de los pacientes.
Visión general de la boca y los dientes. Las radiografías panorámicas proporcionan una vista completa de los dientes, las encías, los huesos y los tejidos blandos de la boca. Permiten al dentista obtener una imagen precisa de las piezas dentales y los huesos de la mandíbula. Una radiografía panorámica puede realizarse en unos pocos minutos y no requiere la toma de múltiples imágenes para obtener una visión completa de la boca y los dientes.
La radiografía panorámica es clave para identificar problemas dentales que no son visibles a simple vista.
La importancia de las radiografías panorámicas radica en su capacidad para proporcionar una visión global de la boca y las estructuras faciales. Se trata de una técnica no invasiva y no dolorosa que se utiliza para examinar la salud dental de los pacientes.

¿Qué Detecta una Ortopantomografía?
Además de detectar su presencia, la ortopantomografía permite evaluar su extensión.
En una radiografía panorámica se pueden ver todas las piezas dentales, incluyendo aquellas que aún no han erupcionado completamente.
Gracias a su capacidad para identificar una amplia gama de problemas dentales y maxilofaciales, las radiografías panorámicas son un pilar en la planificación y diagnóstico odontológico. En conjunto, una radiografía panorámica ofrece una visión detallada que permite diagnosticar diversas condiciones dentales, desde caries hasta problemas de las encías y anomalías en la posición de los dientes.
Algunas de las condiciones que se pueden detectar incluyen:
- Las caries que se forman entre los dientes o debajo de empastes antiguos pueden pasar desapercibidas durante un examen visual.
- La pérdida de hueso alrededor de los dientes, uno de los principales indicadores de la periodontitis, es fácilmente visible en una radiografía panorámica.
- Las radiografías panorámicas son especialmente útiles para diagnosticar dientes incluidos o retenidos, es decir, aquellos que no han erupcionado completamente o que están atrapados en el hueso.
- Esta técnica es especialmente útil para detectar quistes dentales, tumores benignos y otros problemas óseos que podrían pasar desapercibidos.
- Antes de iniciar un tratamiento ortodóncico, es fundamental tener una imagen completa de la disposición dental y ósea.
Como has podido comprobar a lo largo del artículo, la ortopantomografía es una prueba de gran utilidad a la hora de detectar cualquier afección dental. Esto último simplifica los tratamientos y mejora el pronóstico de cualquier patología. Facilita el diagnóstico y la planificación de los tratamientos: con esta radiografía, los diagnósticos son más precisos y los planes de tratamientos más adecuados y predecibles.
Preparación para una Ortopantomografía
Antes de hacer la ortopantomografía, es necesario que el paciente se retire cualquier elemento metálico que lleve en la cabeza, como pendientes o piercings. En algunos casos, es necesario que el paciente retire cualquier objeto metálico, como joyas o piercings, que puedan interferir con la radiografía. Se recomienda que llegue a su cita con ropa cómoda y evite llevar accesorios en la cabeza y el cuello, como pendientes, collares y piercings, que puedan interferir con la imagen.
Además, es aconsejable que los pacientes que utilizan dentaduras postizas, retenedores u otros aparatos removibles en la boca, los retiren antes del procedimiento.
Los pacientes deben informar sobre cualquier condición médica previa o medicamentos que estén tomando, ya que ciertas condiciones podrían afectar el procedimiento o la interpretación de las imágenes.
Los niños pueden someterse a una radiografía panorámica dental y, de hecho, este procedimiento puede ser muy útil para monitorear el desarrollo de la dentadura y detectar problemas ortodóncicos tempranamente. Es importante asegurarse de que el niño no lleve accesorios en la cabeza, como pasadores o diademas para el cabello, y que esté lo más cómodo posible para reducir la probabilidad de movimiento durante el procedimiento.

Seguridad y Contraindicaciones
Al no suponer riesgos, tampoco presenta contraindicaciones importantes. Tan solo es necesario que informen de su condición las mujeres embarazadas. No debemos realizarnos radiografías durante el embarazo. Si es necesaria realizar una prueba radiológica estando embarazada, se hará siempre cubriendo tu abdomen con un delantal de plomo.
Radiación en una Ortopantomografía
Con las radiografías digitales, actualmente, se ha podido reducir la cantidad de radiación así como el tiempo de exposición. La radiación que el paciente recibe cuando se realiza una radiografía se mide en sieverts (unidad de dosis efectiva). En una ortopantomografía el paciente recibe una dosis efectiva que puede oscilar entre 5,5 y 22 microsieverts, siendo el promedio global que recibe una persona de 2500 microsieverts al año.

Muchos pacientes que acuden a nuestra consulta son reacios a realizarse este tipo de radiografías por miedo a la radiación. Por esta razón no debemos tener miedo a realizarnos esta radiografía, ya que sus beneficios son infinitos comparados con los “perjuicios” por irradiación que son tan comentados por muchas personas.