En este artículo, exploraremos los quistes maxilares, una lesión que requiere detección temprana para evitar complicaciones. Como dentista con años de experiencia, he atendido a muchos pacientes preocupados al encontrar un bulto o quiste en su boca. Es normal preguntarse: ¿son peligrosos los quistes en la boca? Quiero que sepas que la mayoría de los quistes bucales no representan un peligro grave, pero es importante entender qué son, por qué aparecen y cómo manejarlos adecuadamente.

¿Qué es un quiste bucal?
Un quiste bucal es una especie de saco o cavidad patológica que se forma en los tejidos de la boca. Está revestido por una membrana interna y contiene líquido, aire o material semisólido en su interior. A diferencia de las llagas o úlceras (que son heridas abiertas dolorosas), los quistes bucales suelen estar cerrados, son indoloros y permanecen como un bultito bajo la superficie de la mucosa.
Estos quistes en la boca pueden aparecer en distintas zonas: en la parte interna de los labios, en la lengua, el paladar, el suelo de la boca, la cara interna de las mejillas e incluso en las encías o en el hueso alrededor de los dientes. Por ejemplo, un quiste en la encía recibe el nombre de épulis, mientras que uno formado en el suelo de la boca se conoce como ránula.
En la mayoría de los casos, los quistes bucales son lesiones benignas. Esto quiere decir que, por sí mismos, no son cancerosos ni ponen en peligro tu vida. De hecho, según la enciclopedia médica MedlinePlus, los mucoceles suelen ser inofensivos y no causan dolor.
Causas de los Quistes Maxilares
¿Por qué aparecen los quistes en la boca? Existen varias causas por las que puede formarse un quiste en la boca, y a menudo están relacionadas con algún tipo de irritación, infección o cambio en los tejidos bucales.
- Infecciones dentales: La causa más frecuente de quistes odontogénicos es una infección crónica en un diente o en la encía. Por ejemplo, una caries profunda no tratada puede alcanzar la raíz del diente y producir una infección que el cuerpo encierra en un quiste, llamado quiste radicular. Otras infecciones, como enfermedades periodontales avanzadas, pueden dar lugar a quistes laterales en la encía, y a veces tras una extracción dental quedan quistes residuales en el hueso.
- Dientes retenidos o en erupción: Cuando un diente (muy comúnmente una muela del juicio) no logra salir correctamente y queda retenido dentro del hueso, se puede formar un quiste dentígero alrededor de su corona. Este tipo de quiste se desarrolla por acumulación de líquido durante el desarrollo del diente.
- Traumatismos y obstrucción de glándulas salivales: Un golpe, mordedura accidental o la presencia de un piercing oral pueden dañar o bloquear las glándulas salivales menores, causando la acumulación de mucosidad. Esto origina los llamados quistes mucosos o mucoceles, típicamente en el labio, la lengua o el interior de las mejillas.
- Otras causas: En ocasiones, ciertos quistes pueden tener origen congénito o formarse por desarrollo anormal de tejidos. Por ejemplo, existen quistes asociados a restos embrionarios o a glándulas (como los quistes de las glándulas salivales mayores). Sin embargo, estos casos son menos comunes.
Lo importante es que cualquier bulto inusual en la cavidad oral sea evaluado. Recuerda que no todas las tumoraciones en la cavidad oral son quistes benignos; algunas lesiones podrían ser de otra naturaleza (por ejemplo, lesiones blancas en la lengua por hongos o células alteradas).
Síntomas de un Quiste Maxilar
En muchos casos, los quistes bucales cursan sin síntomas evidentes de dolor. De hecho, suelen descubrirse porque la persona nota al tacto una protuberancia o bulto inusual en alguna parte de la boca.
- Bulto visible o palpable: Es el signo principal. Puedes notar una pequeña pelota o abultamiento bajo la mucosa. Por ejemplo, un mucocele en el labio se ve como un bultito blando de color transparente azulado o rosado.
- Ausencia de dolor: La mayoría de quistes bucales no duelen. Puedes tener un quiste bastante grande sin sentir dolor, a menos que esté infectado. Como indica MedlinePlus, normalmente no causan dolor, solo molestia por notar el bulto.
- Molestia, presión o sensibilidad: Aunque no haya dolor agudo, algunos pacientes refieren cierta molestia o presión en la zona del quiste, especialmente al masticar cerca de él o al rozarlo con la lengua. Si el quiste crece mucho, puede interferir en la masticación, el habla o la deglución (tragar).
- Inflamación o hinchazón: Cuando un quiste crece dentro del hueso maxilar (como un quiste dentígero o radicular grande), puede provocar una inflamación visible en la encía o incluso una leve hinchazón facial en la zona.
- Otros posibles efectos: En quistes dentales muy avanzados, puede haber desplazamiento de dientes vecinos (si el quiste erosiona hueso y expande su espacio). También podría presentarse mal aliento o sabor extraño si hay infección asociada.
Ten en cuenta que muchos de estos síntomas también pueden ser causados por otras patologías. Por ejemplo, un absceso dental (infección aguda) también produce un bulto en la encía con dolor intenso y pus. Esa bolita en la encía no es un quiste, sino una infección activa que requiere tratamiento urgente.
¿Es peligroso un quiste bucal?
Llegamos a la gran pregunta: ¿un quiste bucal representa un peligro para tu salud? En términos generales, la mayoría de los quistes en la boca no son peligrosos en el sentido de que no suponen una amenaza grave o inmediata. Como hemos comentado, suelen ser lesiones benignas que no hacen metástasis ni ponen en riesgo la vida. Por ejemplo, la Clínica Mayo señala que la mayoría de tumores y quistes mandibulares son benignos y no están relacionados con cáncer.
Ahora bien, “benigno” no es lo mismo que “no problemático”. Incluso un quiste benigno puede ocasionar complicaciones si se deja sin tratar.
- Crecimiento y daño local: Un quiste puede crecer lentamente con el tiempo. Si alcanza un tamaño grande, empezará a invadir o presionar los tejidos circundantes. Por ejemplo, un quiste odontogénico grande en la mandíbula puede erosionar el hueso maxilar, provocando pérdida de soporte en los dientes vecinos. También puede desplazar la posición de los dientes al “hacerles espacio” para expandirse.
- Infección secundaria: Aunque el quiste inicialmente se forme para contener una infección, ese saco puede infectarse nuevamente o favorecer que se acumule pus. Si un quiste benigno se sobreinfecta, podría transformarse en un absceso con dolor e hinchazón aguda. Incluso podrían formarse fístulas (canalitos de drenaje de pus) hacia la encía, indicando que la infección quiere salir.
- Malestar crónico: Un quiste sin tratar puede seguir ahí por meses o años. Aunque no duela, puede ser una fuente constante de molestia o preocupación. Algunos pacientes sienten ansiedad sabiendo que tienen “algo ahí”.
- Potencial de malignización (muy raro): Aquí es donde entra la duda de si un quiste podría volverse canceroso. La transformación maligna de un quiste bucal es extremadamente infrecuente, pero no imposible. En casos muy raros, un quiste de larga evolución podría degenerar en una neoplasia (por ejemplo, un carcinoma) o, más comúnmente, ser en realidad un quiste que ya era parte de un tumor desde el inicio. Por eso, si un quiste muestra un crecimiento muy rápido, cambios de color en la zona, sangrado, dolor persistente u otros signos inusuales, el dentista probablemente recomendará una biopsia o análisis patológico tras extirparlo.
Un quiste bucal típico no es peligroso ni maligno, pero ignorar por completo su presencia tampoco es buena idea. Mi recomendación profesional es siempre examinar y seguir de cerca cualquier quiste. Al remover quirúrgicamente un quiste, solemos enviar la muestra al laboratorio para confirmar al 100% que es benigno. De este modo, el paciente puede quedarse tranquilo.
Si has notado un quiste en tu boca, lo primero es mantener la calma. En la mayoría de los casos, no es una urgencia médica grave. Sin embargo, no debes ignorarlo por completo.
Tratamiento de los Quistes Maxilares
Si sospechas tener un quiste en la boca, es crucial buscar la atención de un cirujano maxilofacial para una evaluación y diagnóstico adecuados. En Clínica Birbe, ubicada en Barcelona, contamos con especialistas en esta área que pueden ofrecerte un plan de tratamiento personalizado.
El tratamiento varía según el tipo de lesión, su extensión y crecimiento. A continuación, se describen las opciones de tratamiento más comunes:
- Revisión y diagnóstico profesional: Agenda una visita con tu dentista para que evalúe el bulto. El odontólogo examinará la lesión; muchas veces con solo verla y palparla puede identificar de qué se trata. En otros casos solicitará radiografías (por ejemplo, una ortopantomografía) para ver quistes dentro del hueso o asociados a raíces dentales que no son visibles externamente.
- Observación (vigilancia activa): Si el quiste es pequeño, no duele y no molesta en absoluto, a veces se opta por simplemente observarlo durante un tiempo. Algunos quistes mucosos superficiales pueden romperse o reabsorberse solos con el paso de los días. Durante este periodo, es importante mantener una buena higiene oral y evitar manipular o morder la lesión. ¡No intentes pinchar ni reventar el quiste en casa! Hacerlo podría causar una infección o daño en el tejido.
- Drenaje o aspiración: Para quistes blandos llenos de líquido (como mucoceles molestos), el dentista puede realizar un drenaje simple. Consiste en pinchar la parte superior del quiste con una aguja estéril para vaciar su contenido. Esto suele hacerse con anestesia tópica o local mínima y es rápido. Muchas veces, tras drenar el líquido el quiste “desinflará” y la mucosa cicatrizará en unos días.
- Extirpación quirúrgica: Es el tratamiento definitivo para la mayoría de quistes bucales persistentes o de gran tamaño. No te asustes con la palabra “quirúrgico”: se trata de un procedimiento menor, que se realiza con anestesia local en el gabinete dental o por un cirujano oral. El especialista elimina el saco quístico por completo; suele tardar entre 20 y 40 minutos dependiendo del tamaño. Tras la cirugía, puede haber un leve edema (hinchazón) o molestia por unos días, controlable con analgésicos comunes y siguiendo las indicaciones de cuidado (higiene suave, enjuagues, etc.). Si el quiste estaba dentro del hueso, a veces es necesario hacer una pequeña apertura en el hueso para extraerlo; en casos complejos un cirujano maxilofacial podría intervenir. Lo positivo es que, una vez extirpado el quiste, el problema suele resolverse definitivamente.
- Tratamiento de la causa subyacente: Además de quitar el quiste, el dentista atenderá la causa original. Si el quiste se originó por una infección dental, probablemente será necesario hacer una endodoncia (tratamiento de conducto) o extraer el diente afectado para eliminar la infección de fondo. Si el quiste estaba asociado a una muela del juicio retenida, seguramente se aprovechará para extraer esa muela problemática junto con el quiste. De este modo se reduce la probabilidad de que el quiste vuelva a aparecer.
En general, el pronóstico es muy bueno. La mayoría de quistes bucales se pueden resolver con procedimientos sencillos y tienen baja tasa de complicaciones. Eso sí, es importante seguir las recomendaciones postoperatorias: mantener la zona limpia, tomar los medicamentos recetados (como antibióticos si hubiese infección) y acudir a los controles.
En el caso de quistes pequeños, solo con la endodoncia será suficiente para eliminarlo (tratamiento menos invasivo), en cambio hay otros casos en los que se debe realizar la cirugía apical o ambas intervenciones. En el caso de quistes extensos, de crecimiento rápido o que producen síntomas al paciente, la técnica que se realiza es la enucleación y consiste en eliminarlo en su totalidad (junto a la bolsa que lo encapsula) para que no vuelva a aparecer. Posteriormente, el quiste se analiza en el laboratorio.
Durante la intervención el cirujano extirpa el quiste maxilar, aplicando al paciente anestesia . Después de la extirpación, el cirujano debe limpiar exhaustivamente la cavidad quística para que la pieza dental no sufra ningún daño.
Recuperación Post-Quirúrgica
La operación de quiste mandibular normalmente conlleva un postoperatorio indoloro, aunque puede aparecer algún edema unos días después de la intervención. La inflamación variará dependiendo del tipo y del tamaño del quiste extirpado.
Durante el postoperatorio, es fundamental que el paciente lleve a cabo una higiene oral muy estricta, ya que tener una buena limpieza es lo más importante para evitar infecciones en la zona intervenida. Además, es crucial que el paciente siga las indicaciones y recomendaciones del cirujano, así como acudir a los controles postoperatorios para evitar cualquier contratiempo y, por supuesto, verificar que la recuperación sea satisfactoria.
En el caso de que durante la cirugía se haya tenido que extirpar algún diente, hueso y tejido habrá que esperar a que la zona regenere para proceder al implante de un nuevo diente.
Quistes y tumores maxilofaciales | Dra. Edurne Palacios, Hospital VOT Madrid
Prevención de Quistes Maxilares
No siempre es posible prevenir al 100% la aparición de un quiste bucal, pero sí podemos reducir el riesgo siguiendo buenos hábitos de salud oral.
- Mantén una higiene bucal rigurosa: Un boca limpia es menos propensa a infecciones. Cepíllate los dientes después de cada comida, usa hilo dental diariamente y complementa con colutorios (enjuagues) antibacterianos.
- Acude a revisiones odontológicas periódicas: Visita a tu dentista al menos una vez al año para un chequeo completo. Muchas lesiones quísticas se detectan en etapas tempranas mediante radiografías de control, antes de que causen molestias.
- Trata los problemas dentales a tiempo: No dejes que una caries avance ni que una infección de encía empeore. Acudir al dentista ante las primeras señales (dolor, inflamación, “granitos” de pus) previene que se formen quistes más adelante.
- Evita lesiones por hábitos orales: Si tienes la costumbre de morderte los labios o las mejillas, trata de controlarla porque ese traumatismo repetitivo favorece los quistes mucosos.
- Extracción de piezas retenidas cuando sea necesario: Como medida preventiva, tu dentista podría sugerir extraer las muelas del juicio que vienen mal posicionadas o incluidas en el hueso. Esto no solo reduce la posibilidad de quistes dentígeros, sino que previene otros problemas (infecciones recurrentes, daño a dientes adyacentes, etc.).
Con estas medidas, mantenemos la salud bucodental en buen estado y minimizamos las condiciones que pueden dar lugar a quistes.
Preguntas Frecuentes
¿Un quiste en la boca es cáncer?
No, en la gran mayoría de casos los quistes bucales son benignos y no corresponden a cáncer. Un quiste es básicamente una lesión encapsulada con líquido o material blando, mientras que un cáncer implica crecimiento descontrolado de células malignas.
Dicho esto, muy raramente un quiste podría estar asociado a un tumor. Por ello, los dentistas suelen analizar cualquier tejido quístico removido para descartar células cancerosas.
Si notas que tu quiste crece muy rápido, duele mucho o presenta ulceraciones/sangrado, acude al especialista prontamente para evaluarlo.
¿Duele un quiste en la boca?
Por lo general no duele. Los quistes en la boca suelen ser indoloros, especialmente los mucosos. Muchas personas ni se enteran de que tienen uno hasta que lo tocan con la lengua o el dentista lo encuentra en un examen.
Si hay dolor intenso, puede ser señal de que no se trata de un quiste sino de un absceso u otra afección.
¿Un quiste en la boca se va solo?
Algunos quistes bucales pequeños sí pueden reabsorberse o romperse espontáneamente. Por ejemplo, es común que un mucocele en el labio se reviente solo luego de unas semanas y desaparezca.
Sin embargo, no todos los quistes se van solos. Los quistes ligados a dientes (como un quiste radicular en el hueso) generalmente no desaparecerán sin tratamiento, ya que la causa (por ejemplo una infección dental) sigue presente.
Mi consejo es: si notas que en 2 semanas el bulto sigue igual, acude al dentista para que lo evalúe.
¿Es recomendable explotar un quiste en la boca?
No es recomendable. Nunca debes pinchar, cortar ni exprimir un quiste por tu cuenta. Hacerlo con elementos no estériles y sin conocimiento puede causarte una infección peor o una lesión en el tejido.
Hemos visto casos de pacientes que, al intentar explotar un quiste en casa, terminaron con una infección dolorosa o agravaron el problema.
Si el quiste realmente te molesta y crees que necesita drenaje, deja que sea un profesional quien lo haga con las debidas condiciones de asepsia.
¿Cuál es la diferencia entre un quiste y un absceso dental?
Aunque puedan parecer similares a simple vista (ambos pueden manifestarse como un bulto en la encía o zona de la boca), quiste y absceso son cosas distintas.
Un quiste dental es una cavidad crónica generalmente sin dolor, llena de líquido claro, que se forma alrededor de un foco irritativo o infeccioso encapsulado.
En cambio, un absceso dental es una infección aguda con acumulación de pus, que provoca dolor intenso, inflamación notable, enrojecimiento y a veces fiebre.
Un absceso es una urgencia que suele requerir drenaje inmediato y antibióticos, mientras que un quiste es meno...
Tipos de Quistes Maxilares
Los quistes maxilares pueden clasificarse en diferentes tipos según su origen y características:
- Quiste radicular: apical, lateral, residual.
- Quiste dentígero: se origina alrededor del diente antes de que salga.
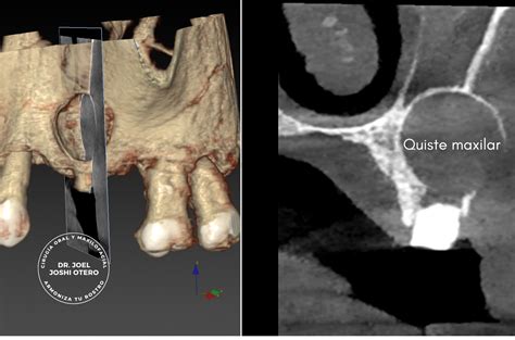
En la ortopantomografía (radiografía en 2D de toda la boca) el quiste maxilar se observa como una zona oscura y redondeada en forma de bolsa. Algunos quistes tienen una causa genética. Entre ellos están los relacionados con el desarrollo de los maxilares y los dientes en edades tempranas. Otros quistes derivan de caries profundas que han llegado al nervio.
En la imagen de la portada (corte de un TAC en 3D) se observa un quiste naso-palatino, uno de los más comunes de la cavidad oral.
Quistes maxilares malignos
Detectar un quiste maxilar maligno en la boca es difícil, ya que al principio no muestra síntomas o se confunde con un quiste benigno. Aunque la mayoría de los quistes dentales son benignos, existe una pequeña posibilidad de que estos puedan ser o convertirse en malignos (neoplasia).
Consideraciones Finales
El quiste maxilar es una patología que afecta a la cavidad oral y puede manifestarse como una protuberancia anormal en la región maxilar. Estos quistes son estructuras llenas de líquido que se desarrollan dentro del hueso maxilar, ubicado en la parte superior de la boca. Puede ser causado por diversas razones, aunque en muchos casos, su origen exacto puede ser difícil de determinar.
Es esencial estar atento a cualquier síntoma inusual y acudir al dentista si se sospecha la presencia de un quiste. En Clínica Belodonte llevamos a cabo distintos tratamientos en nuestro servicio de Cirugía Oral y Maxilofacial. Si quieres saber más acerca de ellos o quieres consultarnos tu caso, pídenos cita sin compromiso.

¿Cómo prevenir un quiste de boca?
En Clínica Birbe aconsejamos a nuestros pacientes mantener una buena salud bucodental y eliminar los cordales y otros dientes incluidos, para reducir la posibilidad de tener quistes y, también, otras patologías como caries, infecciones o deterioro de dientes y encías.
Sin duda, en Clínica Birbe contamos con un equipo de médicos y cirujanos que tienen la experiencia y los conocimientos necesarios para dar con la solución adecuada a cada problema. Estando ubicados en Barcelona, recibimos pacientes de todo el territorio nacional e internacional.
Tumores maxilares
Los tumores maxilares son lesiones relativamente raras que se desarrollan en el hueso del maxilar o en los tejidos blandos de la boca y la cara. Pueden variar en tamaño y gravedad. Generalmente estas lesiones no son cancerígenas aunque si pueden ser agresivas y desplazar y destruir el hueso, tejido y dientes que las rodean.
Ejemplos de tumores maxilares:
- Ameloblastoma: generalmente no es canceroso. Se produce en la mandíbula cerca de los molares.
- Granuloma central de células gigantes: son benignos y crecen en las células óseas.
- Odontoma: es el tumor benigno maxilar más común.
Si sospechas que puedes estar desarrollando un tumor maxilar o padeces alguno de los síntomas acude a tu especialista para cerciorarte de lo que ocurre.
La enucleación
La enucleación, tratamiento habitual de todos los quistes, consiste en la extirpación de una lesión despegándola del hueso. El cirujano que opera estos quistes suele ser un cirujano maxilofacial.
Síntomas de un quiste de boca
Una de las particularidades de un quiste de boca es que durante un tiempo puede no doler y, por este motivo, es difícil identificar esta enfermedad por parte del paciente. Los síntomas más comunes son: un abombamiento o infección de la estructura ósea, pérdida o disminución de la sensibilidad de los dientes y labio (parestesia), movilidad en los dientes y, en los casos más graves, una fractura patológica de la mandíbula.
Causas de un quiste de boca
Por lo general, las causas del quiste mandibular, puede tener relación con infecciones dentales, y algunos están relacionados con cambios genéticos o síndromes genéticos e incluso alteraciones metabólicas del calcio.
Tratamiento de quistes maxilares
En este caso las opciones de tratamiento varían según el tipo de lesión, la extensión y el crecimiento del quiste. No obstante, la cirugía suele ser la primera opción para combatir este tipo de lesión, y a menudo la única necesaria.
En el momento en el que la cavidad quística queda totalmente limpia, en la mayoría de los casos, no es necesario aplicar técnicas de regeneración ósea. No obstante, en ocasiones puntuales, esta extirpación puede incluir la extracción de algún diente, tejido y hueso maxilar cercano si también estuvieran dañados.