En el mundo de la odontología moderna, ver más allá de lo que el ojo humano puede percibir es fundamental para realizar diagnósticos precisos y tratamientos efectivos. Las radiografías dentales son una herramienta esencial para poder ver más allá de lo que el ojo humano alcanza. En este contexto, las radiografías dentales son una herramienta esencial para poder ver más allá de lo que el ojo humano alcanza.
En la práctica odontológica moderna, la radiografía dental se ha convertido en una herramienta indispensable. Estas imágenes permiten a los odontólogos ver lo que a simple vista es imposible detectar, proporcionando una visión detallada de la estructura interna de los dientes, huesos y tejidos circundantes. Esto es crucial para el diagnóstico preciso de enfermedades y condiciones dentales, así como para la planificación de tratamientos efectivos.
Las radiografías dentales son imágenes obtenidas mediante el uso de rayos X, que permiten a los odontólogos ver las estructuras internas de la boca, como los dientes, huesos maxilares y tejidos circundantes. Este método de diagnóstico es fundamental en la odontología dado que ayuda a identificar problemas que no son visibles durante un examen clínico regular.
En esta guía, exploraremos en detalle el fascinante mundo de la radiografía dental. Analizaremos los diferentes tipos de radiografías disponibles, explicando para qué se utiliza cada una y cómo contribuyen al diagnóstico y tratamiento de diversas condiciones dentales. También revisaremos los requisitos para realizar una radiografía dental, incluyendo el equipo y la preparación necesarios.
Existen varios tipos de radiografías dentales, que dan información diferente a cada paciente. Dependiendo de lo que queremos evaluar, utilizamos diferentes tipos de radiografías. Se clasifican en dos grandes grupos, intraorales y extraorales.
¿Qué es Radiolucido y Radiopaco en Una Radiografía dental? - Radiología Dental- Dx Radiográfico
Tipos de Radiografías Dentales
En nuestra clínica usamos diferentes tipos de radiografías como herramienta complementaria para el estudio en detalle y de forma personalizada los distintos casos o situaciones que se presentan en cada uno de nuestros pacientes. Nos ayuda a la hora de establecer un diagnóstico o en la planificación terapéutica, e incluso, en el control de distintos tratamientos o monitorización de patologías.
Existen diferentes tipos de radiografías dentales, cada una con su propia finalidad y beneficios. A continuación, exploraremos los tipos más comunes, sus características y usos específicos:
Radiografías Intraorales
Las radiografías intraorales son aquellas en las que la película o el sensor se coloca dentro de la boca. Son las más comunes y detalladas, proporcionando una visión precisa de los dientes y las estructuras adyacentes.

- Radiografía Periapical: Permite ver el diente completo, desde la corona hasta la raíz, incluyendo el hueso que lo rodea. Es una radiografía pequeña que aporta una imagen en dos dimensiones completa de uno o varios dientes y de los tejidos que lo rodean. Nos permite diagnosticar, entre otros problemas, caries, enfermedades de las encías o infecciones. Este tipo de imagen muestra un diente completo, desde la corona hasta la raíz y el hueso circundante. Su alta resolución permite identificar caries interproximales (entre los dientes), abscesos, cambios en el hueso debido a enfermedad periodontal y anomalías en la raíz del diente.
- Radiografías Interproximales o de Aleta de Mordida (Bitewing): Muestra los dientes posteriores superiores e inferiores en una misma imagen. Radiografía pequeña que se realiza con ayuda de un posicionador que se muerde y en la que vemos únicamente las coronas de aproximadamente tres o cuatro dientes superiores y tres o cuatro dientes inferiores. Permiten observar las coronas de los dientes superiores e inferiores en una misma imagen, enfocándose en las áreas de contacto entre dientes. Diseñadas específicamente para detectar caries entre los dientes (caries interproximales), las radiografías de aleta de mordida muestran las coronas de los dientes superiores e inferiores en una sola imagen. Estas radiografías son fundamentales en los chequeos periódicos, ya que permiten identificar caries en sus etapas iniciales, antes de que sean visibles a simple vista o causen síntomas.
- Radiografía Oclusal: Muestran una vista amplia del maxilar o la mandíbula, lo que facilita la observación de dientes en desarrollo, fracturas o cuerpos extraños. Muestran una vista amplia del maxilar o la mandíbula, lo que facilita la observación de dientes en desarrollo, fracturas o cuerpos extraños. Menos comunes pero igualmente importantes, las radiografías oclusales capturan imágenes ampliadas del piso de la boca o del paladar. Su nombre proviene de la técnica en la que el paciente “ocluye” o muerde directamente sobre la película radiográfica.
- Radiografías IOPA: Estas radiografías proporcionan imágenes más detalladas que otros tipos de radiografías y son útiles para estudiar la estructura radicular de un diente. A menudo se utilizan como preludio a las endodoncias u otros procedimientos.
Radiografías Extraorales
Las radiografías extraorales son técnicas de diagnóstico por imagen en odontología en las que el sensor o película radiográfica se coloca fuera de la boca del paciente.

- Ortopantomografía o Radiografía Panorámica: Aporta una imagen plana de la boca completa del paciente. Ofrece una vista general de toda la boca: dientes, mandíbulas, articulaciones, senos maxilares, etc. Es una forma excelente de ver toda la mandíbula y el maxilar, junto con sus estructuras asociadas. La radiografía panorámica ofrece una visión completa de toda la estructura bucal en una sola imagen: dientes superiores e inferiores, articulaciones temporomandibulares, senos maxilares y hasta parte de las fosas nasales. Este tipo de estudio es invaluable para evaluar la erupción dental en niños (especialmente las muelas del juicio), planificar tratamientos de brackets, detectar quistes o tumores, y evaluar traumatismos dentales. También es esencial en la planificación de implantes dentales, ya que muestra la cantidad y calidad del hueso disponible. Aportan mucha información y se usa en todas las ramas de la odontología. Por ejemplo, podemos estudiar de manera general el número de dientes presentes, su posición y su forma o, por el contrario, si hay dientes que aún no han erupcionado, nos ayuda a saber su grado de maduración o la trayectoria eruptiva que siguen, el espacio con el que cuentan para colocarse en su lugar, o si están ausentes retenidos o impactados. Nos permiten ver el número, tamaño y la forma de las raíces o detectar cualquier anomalía o lesión a este nivel si la hubiera. También, de forma genérica y sin mucho detalle, el nivel de hueso existente. Como último ejemplo, deciros que nos permite diagnosticar algunas caries, infecciones e incluso la presencia de sarro subgingival.
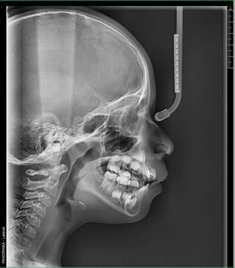
- Cefalometría o Telerradiografía: Prácticamente solo se usa para estudios previos a tratamientos de ortodoncia ya que permite analizar las relaciones entre diferentes estructuras óseas de la cara y cráneo y entre éstas y los dientes. Se utiliza principalmente en ortodoncia. Muestra la totalidad de la estructura facial y mandibular (arcadas superior e inferior, huesos maxilares, mandíbula y estructuras de soporte). Es un tipo de radiografía que, en el ámbito odontológico, prácticamente solo se usa en los estudios previos a una ortodoncia. Es fundamental para los análisis cefalométricos que determinan la posición y alineación de los dientes, así como la relación entre los maxilares y el cráneo.
- TAC Dental o Escáner: Aporta una imagen en tres dimensiones de los dientes y del hueso con un alto grado de detalle. Es la versión 3D de una radiografía y nos da una imagen en volumen. Muy similar a los escáneres que se acostumbran a usar en medicina, el TAC Dental toma cientos de imágenes desde diferentes ángulos de la boca del paciente. Estas radiografías son enviadas a un ordenador, que genera una imagen virtual en 3 dimensiones de la boca del paciente. Entre otras cosas, nos permite valorar de forma precisa la relación de los dientes con determinadas estructuras nerviosas, muy útil cuando hay algún problema en las muelas del juicio y hay que extraerlas; o el estudio de la cantidad de hueso exacta presente en anchura y altura, imprescindible por ejemplo para colocar un implante con seguridad.
- CBCT (Tomografía Computarizada de Haz Cónico): Representando lo más avanzado en imagenología dental, la CBCT proporciona imágenes tridimensionales de alta resolución de los maxilares, dientes, tejidos blandos, nervios y vasos sanguíneos. Puede utilizarse para identificar la pérdida ósea subyacente y los tumores.
Tamaños de Radiografías Intraorales
Los tamaños de las radiografías intraorales son prácticamente los mismos para las películas tradicionales, sensores digitales y placas de fósforo, la numeración de los dispositivos varía ligeramente dependiendo de la tecnología.
- Películas tradicionales y Placas de fosforo:
- Tamaño 0: Diseñado para niños pequeños.
- Tamaño 1: Adecuado para niños mayores y algunos adultos con bocas pequeñas.
- Tamaño 3: Más largo que el tamaño 2.
- Sensor:
- Sensor Tipo 0: Este tamaño es el más pequeño y se utiliza principalmente para pacientes pediátricos debido a sus bocas más pequeñas. También es útil en áreas muy reducidas donde los sensores de mayor tamaño no caben cómodamente.
- Sensor Tipo 1: Este tamaño se utiliza para capturar imágenes de dientes anteriores en adultos. Es una opción intermedia que proporciona un buen equilibrio entre comodidad y cobertura de la zona a radiografiar.
- Sensor Tipo 2: Este es el tamaño más comúnmente utilizado tanto para niños mayores como para adultos. Es el tamaño estándar y cubre la mayoría de las necesidades de diagnóstico intraoral, incluyendo periapicales y bitewings.
- Sensor Tipo 3: Este tamaño no es tan comúnmente utilizado, pero es ideal para capturas bitewing extendidas. Permite obtener más información de áreas más grandes en una sola imagen, lo que puede ser práctico para ciertos diagnósticos periodontales y detección de caries interproximales.
Equipamiento Necesario
Para obtener radiografías de calidad, a parte de las películas o sensores, es fundamental contar con el equipamiento adecuado y los materiales complementarios. A continuación, se describen los elementos clave que garantizan una toma de imágenes radiográficas eficaz, segura y precisa.
- Máquina de Rayos X Dental: Es el equipo principal que emite los rayos X necesarios para crear las imágenes.
- Delantales de Plomo: Son utilizados por el paciente para proteger las áreas no irradiadas, como la zona abdominal, del impacto de los rayos X. Están hechos de plomo o materiales equivalentes que bloquean eficazmente la radiación.
- Protectores de Tiroides: Son dispositivos de protección que se colocan alrededor del cuello del paciente para proteger la tiroides, una glándula particularmente sensible a la radiación.
- Posicionadores de radiografía: Son dispositivos utilizados para colocar y mantener la película o el sensor en la posición correcta dentro de la boca del paciente. Los posicionadores ayudan a garantizar que las imágenes sean precisas y reproducibles, reduciendo la necesidad de repetir las radiografías debido a errores de posicionamiento.
- Procesador de imágenes: En el caso de las radiografías digitales, un procesador de imágenes es necesario para visualizar y analizar las radiografías en una computadora.
- Revelado (en sistemas analógicos): Liquido revelador para el proceso de radiografías analógicas.
Importancia de las Radiografías Dentales
Las radiografías dentales son mucho más que simples imágenes; son una ventana al mundo oculto de la salud bucal. Al ofrecer una visión detallada de la estructura interna de la boca, permiten diagnósticos precisos y una planificación de tratamientos efectiva, asegurando una atención de alta calidad para los pacientes.
Desde la detección temprana de caries hasta la evaluación de problemas periodontales y la planificación de tratamientos de ortodoncia, las radiografías son fundamentales para ofrecer una atención de calidad a los pacientes.
Muchas condiciones dentales comienzan de manera silenciosa, sin síntomas evidentes hasta que alcanzan etapas avanzadas. Las radiografías permiten identificar caries entre los dientes, infecciones en las raíces, quistes o tumores en sus fases iniciales, cuando son más fáciles y menos costosos de tratar.
Desde una simple obturación hasta un complejo tratamiento de implantes, las radiografías proporcionan la información necesaria para realizar intervenciones con máxima precisión y seguridad.
Las radiografías no solo sirven para diagnosticar, sino también para monitorear la evolución de tratamientos y condiciones.
Avances en la Radiología Dental
La radiología dental ha avanzado significativamente en las últimas décadas, gracias a la adopción de tecnologías innovadoras que han transformado la obtención, procesamiento y análisis de imágenes. Destacan los sistemas digitales, que permiten obtener imágenes de alta resolución al instante, y las técnicas tridimensionales como la tomografía computarizada de haz cónico, que brindan una visión completa de las estructuras orales y maxilofaciales.
La integración de software especializado y herramientas de inteligencia artificial ha facilitado la detección automática de patologías y una planificación más precisa de tratamientos complejos, como implantes y ortodoncia.
Beneficios de las Radiografías Dentales
Las ventajas de las radiografías dentales son muchas, y no hay razón para evitarlas. Gracias a la tecnología de los rayos X, los dentistas pueden obtener una visión clara y precisa de la salud bucodental de sus pacientes. Este método diagnóstico ofrece una mirada profunda más allá de lo que es visible a simple vista, permitiendo detectar desde caries ocultas hasta problemas en la estructura ósea.
- Alta precisión y detalle: Proporcionan imágenes de alta resolución, lo que permite observar detalles minuciosos de los dientes, las raíces y las estructuras óseas circundantes.
- Detección temprana: Permiten a los dentistas realizar un diagnóstico completo y preciso. Son decisivas para la detección temprana de enfermedades orales que podrían pasar desapercibidas durante una inspección visual.
- Planificación de tratamientos: Constituyen una herramienta clave en la planificación de tratamientos complejos al ofrecer una imagen detallada de la estructura dental y ósea.
Seguridad de las Radiografías Dentales
Con los avances en tecnología dental y la implementación de protocolos de seguridad, las radiografías dentales se consideran seguras para la mayoría de las personas. Las precauciones estándar garantizan que la exposición a la radiación sea la mínima necesaria para obtener imágenes de calidad diagnóstica.
Es importante realizar un balance entre el diagnóstico necesario y la exposición mínima a la radiación. En el caso de las mujeres embarazadas o personas con condiciones de salud particulares, el dentista valorará cuidadosamente la necesidad de realizar las radiografías.
La cantidad de radiación recibida en una radiografía dental es muy baja, especialmente con las tecnologías modernas que focalizan la radiación y reducen el tiempo de exposición. Sin embargo, la seguridad es primordial, y por ello se utilizan medidas de protección como delantales de plomo y collares de tiroides, asegurando que la radiación sea lo más segura posible.
Los profesionales de la salud dental han sido formados para minimizar la exposición a la radiación en sus pacientes, y las radiografías se realizan solo cuando los beneficios superan cualquier posible riesgo.
Tabla Resumen de Tipos de Radiografías Dentales
| Tipo de Radiografía | Descripción | Usos Comunes |
|---|---|---|
| Periapical | Imagen completa del diente desde la corona hasta la raíz y el hueso circundante. | Detectar caries interproximales, abscesos y anomalías en la raíz. |
| Aleta de Mordida (Bitewing) | Muestra las coronas de los dientes superiores e inferiores en una sola imagen. | Detectar caries entre los dientes en etapas iniciales. |
| Panorámica | Vista general de toda la estructura bucal: dientes, mandíbulas, articulaciones, senos maxilares. | Evaluar la erupción dental, planificar tratamientos de ortodoncia y detectar quistes o tumores. |
| CBCT | Imágenes tridimensionales de alta resolución de los maxilares, dientes, tejidos blandos, nervios y vasos sanguíneos. | Planificación de implantes dentales y evaluación de problemas complejos. |
| Cefalometría | Muestra la estructura facial y mandibular, utilizada principalmente en ortodoncia. | Análisis cefalométricos para determinar la posición y alineación de los dientes. |
| Oclusal | Captura imágenes ampliadas del piso de la boca o del paladar. | Observación de dientes en desarrollo, fracturas o cuerpos extraños. |
tags: #radiografia #de #los #dientes