En la práctica odontológica moderna, la radiografía dental se ha convertido en una herramienta indispensable. Estas imágenes permiten a los odontólogos ver lo que a simple vista es imposible detectar, proporcionando una visión detallada de la estructura interna de los dientes, huesos y tejidos circundantes. Esto es crucial para el diagnóstico preciso de enfermedades y condiciones dentales, así como para la planificación de tratamientos efectivos. Desde la detección temprana de caries hasta la evaluación de problemas periodontales y la planificación de tratamientos de ortodoncia, las radiografías son fundamentales para ofrecer una atención de calidad a los pacientes.
Las radiografías dentales son imágenes obtenidas mediante el uso de rayos X, que permiten a los odontólogos ver las estructuras internas de la boca, como los dientes, huesos maxilares y tejidos circundantes. Este método de diagnóstico es fundamental en la odontología dado que ayuda a identificar problemas que no son visibles durante un examen clínico regular.
La tecnología de rayos X funciona emitiendo una pequeña cantidad de radiación que atraviesa el cuerpo del paciente y es capturada en una película especial o, en el caso de las radiografías digitales, en un sensor electrónico. Las distintas estructuras del cuerpo absorben los rayos X en diferentes grados: los dientes y huesos absorben más radiación y aparecen más blancos en la imagen resultante, mientras que los tejidos blandos y las cavidades absorben menos radiación y aparecen más oscuros.
Las radiografías dentales proporcionan información para poder realizar prevención, diagnóstico, pronóstico fundamentado y plan de tratamiento. Al ofrecer una visión detallada de la estructura interna de la boca, permiten diagnósticos precisos y una planificación de tratamientos efectiva, asegurando una atención de alta calidad para los pacientes.
En este artículo, hablaremos sobre la importancia de la radiografía en endodoncia. Reconocer los síntomas que indican la necesidad de una endodoncia es crucial para tratar el problema a tiempo y evitar complicaciones mayores.
¿Qué es una endodoncia dental? Fácil y rápido
Tipos de Radiografías Dentales
Se clasifican en dos grandes grupos, intraorales y extraorales.
Radiografías Intraorales
Las radiografías intraorales son aquellas en las que la película o el sensor se coloca dentro de la boca. Son las más comunes y detalladas, proporcionando una visión precisa de los dientes y las estructuras adyacentes.
Tipos de radiografías intraorales:
- Radiografías periapicales: Ofrecen una imagen completa del diente, desde la corona hasta la punta de la raíz y el hueso circundante.
- Radiografías interproximales o de aleta de mordida (bitewing): Permiten observar las coronas de los dientes superiores e inferiores en una misma imagen, enfocándose en las áreas de contacto entre dientes.
- Radiografía Oclusal: Muestran una vista amplia del maxilar o la mandíbula, lo que facilita la observación de dientes en desarrollo, fracturas o cuerpos extraños.
Existen diferentes tecnologías para obtener radiografías intraorales:
- Radiografías intraorales con película: Se utiliza una película sensible a los rayos X para obtener imágenes de los dientes, las raíces dentales y los tejidos óseos circundantes. Después de cada exposición, la película debe ser procesada (revelada) en un proceso químico que permite que la imagen latente se convierta en una imagen visible.
- Radiografía intraoral con placas de fósforo: Se utiliza tecnología digital para capturar y procesar imágenes. La imagen es leída mediante un escáner especial. Este escáner digitaliza la imagen almacenada en la placa y la transfiere a un sistema informático, donde puede ser visualizada, almacenada y procesada para su diagnóstico y análisis posterior.
- Sensores digitales de radiografía directa (DR): Son dispositivos electrónicos que capturan imágenes de rayos X y las convierten directamente en señales digitales. A diferencia de los sistemas convencionales, estos sensores no requieren ningún tipo de revelado físico ni escaneo posterior.
Los tamaños de las radiografías intraorales son prácticamente los mismos para las películas tradicionales, sensores digitales y placas de fósforo, la numeración de los dispositivos varía ligeramente dependiendo de la tecnología. Las películas tradicionales y las placas de fósforo comparten una numeración similar, mientras que los sensores digitales a menudo tienen una numeración diferente, pero en general, los tamaños corresponden a las mismas categorías de diagnóstico, como dientes anteriores, dientes posteriores y arcadas grandes.
Tamaños de películas tradicionales y placas de fósforo:
- Tamaño 0: Diseñado para niños pequeños.
- Tamaño 1: Adecuado para niños mayores y algunos adultos con bocas pequeñas.
- Tamaño 2: Tamaño estándar.
- Tamaño 3: Más largo que el tamaño 2.
Tamaños de sensores digitales:
- Sensor Tipo 0: Este tamaño es el más pequeño y se utiliza principalmente para pacientes pediátricos debido a sus bocas más pequeñas.
- Sensor Tipo 1: Este tamaño se utiliza para capturar imágenes de dientes anteriores en adultos.
- Sensor Tipo 2: Este es el tamaño más comúnmente utilizado tanto para niños mayores como para adultos.
- Sensor Tipo 3: Este tamaño no es tan comúnmente utilizado, pero es ideal para capturas bitewing extendidas.

Radiografías Extraorales
Las radiografías extraorales son técnicas de diagnóstico por imagen en odontología en las que el sensor o película radiográfica se coloca fuera de la boca del paciente. Es fundamental para los análisis cefalométricos que determinan la posición y alineación de los dientes, así como la relación entre los maxilares y el cráneo.

Equipamiento y Materiales para Radiografías Dentales
Para obtener radiografías de calidad, a parte de las películas o sensores, es fundamental contar con el equipamiento adecuado y los materiales complementarios. A continuación, se describen los elementos clave que garantizan una toma de imágenes radiográficas eficaz, segura y precisa.
- Máquina de Rayos X Dental: Es el equipo principal que emite los rayos X necesarios para crear las imágenes.
- Delantales de Plomo: Son utilizados por el paciente para proteger las áreas no irradiadas, como la zona abdominal, del impacto de los rayos X.
- Protectores de Tiroides: Son dispositivos de protección que se colocan alrededor del cuello del paciente para proteger la tiroides, una glándula particularmente sensible a la radiación.
- Posicionadores de radiografía: Son dispositivos utilizados para colocar y mantener la película o el sensor en la posición correcta dentro de la boca del paciente.
- Procesador de imágenes: En el caso de las radiografías digitales, un procesador de imágenes es necesario para visualizar y analizar las radiografías en una computadora.
- Revelado (en sistemas analógicos): Liquido revelador para el proceso de radiografías analógicas.
Radiografía Periapical en Endodoncia
Cuando hablamos del tratamiento de endodoncia, la radiografía más utilizada es la radiografía periapical. Esta radiografía nos ofrece una imagen completa del diente, desde la corona hasta la punta de la raíz y el hueso circundante.
La radiografía periapical es útil para:
- Confirmar el diagnóstico.
- Valorar la ubicación, forma, tamaño y dirección de las raíces y conductos radiculares.
- Calcular la longitud de trabajo antes de instrumentar.
- Localizar los conductos difíciles o revelar conductos no sospechados.
- Ayudar a localizar la pulpa calcificada coronalmente.
- Establecer la posición relativa de las estructuras.
- Valorar la obturación final de los conductos radiculares.
- Facilitar la localización de cuerpos extraños metálicos (limas, amalgama o postes interradiculares).
- Examinar la localización de fragmentos de diente o exceso de material de obturación.
- Identificar la extensión del daño en la raíz del diente y en el hueso circundante.
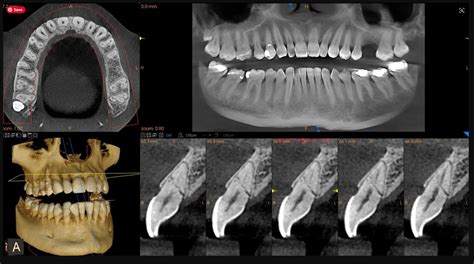
Tomografía Computarizada de Haz Cónico (CBCT)
La tomografía computarizada de haz cónico (CBCT) es una herramienta revolucionaria en el campo de la endodoncia, especialmente cuando se trata de detectar infecciones dentales y planificar tratamientos de conducto.
Beneficios de la CBCT en endodoncia:
- Permite un diagnóstico claro y preciso de conductos accesorios, reabsorciones, fracturas radiculares, poder ver la extensión calcificaciones, así como observar la proximidad de estructuras vitales.
- Está radiografía en tres dimensiones también permite valorar un traumatismo dentoalveolar (fracturas, luxaciones, desplazamientos dentales o ver el estado del proceso alveolar).
- Permite poder determinar la posible causa de un fracaso de la endodoncia, por ejemplo, pequeñas lesiones periapicales, si existen reabsorciones radiculares o fracturas de la raíz.
- Planificación precisa del tratamiento.
- Identificación de canales radiculares adicionales.
- Evaluación de fracturas radiculares.
- Reducción de riesgos y complicaciones.

Calidad de Imagen en Radiografías para Endodoncia
Es crucial que las radiografías utilizadas para el diagnóstico y la planificación de una endodoncia sean de la más alta calidad. Una radiografía incorrecta puede llevar a diagnósticos erróneos y a complicaciones durante el tratamiento.
Criterios de calidad de imagen:
- Calidad de imagen: Una radiografía debe ser clara, nítida y con un buen contraste entre las estructuras dentales. Con una imagen borrosa puede ser más complicado interpretar los detalles a la hora de realizar el diagnóstico.
- Posición del diente: El diente afectado debe estar centrado, ya que si no algunas áreas críticas podrían quedar fuera de la imagen y afectar al diagnóstico.
Cualquiera de estos errores puede afectar negativamente al tratamiento de endodoncia, ya que puede alterar el diagnóstico y ocasionar un tratamiento incompleto o poco eficaz.
Interpretación de Radiografías Dentales en Endodoncia
Para interpretar adecuadamente una radiografía es de interés seguir siempre una misma sistemática, por ejemplo: empezar por la corona, bajar por las raíces y observar los conductos y acabar por el hueso.
En la corona se puede observar, mediante la radiografía, el grado de destrucción por caries, el tamaño de las restauraciones, las protecciones pulpares, pulpotomías y las anomalías de desarrollo. En la raíz se podría ver calcificación radicular la cual es indicativos del envejecimiento pulpar.
En muchos pacientes, las endodoncias y las correspondientes obturaciones del sistema de conductos quedan reflejadas también en las radiografías. En este contexto, llaman la atención los repetidas desplazamientos de material de obturación en el receso alveolar o en otras zonas del seno maxilar en caso de sobreobturación en el sector posterosuperior.
Desde el punto de vista radiográfico, el sector posterior del maxilar es una «zona problemática», dado que en la radiografía panorámica y, sobre todo, en las radiografías intraorales pueden aparecer superpuestos numerosos puntos de referencia anatómicos de esta zona. Esto dificulta en muchos casos el diagnóstico de certeza y puede hacer que se pasen por alto hallazgos relevantes o que se interprete mal su envergadura. En este sentido, si se observan en las radiografías convencionales alteraciones que despiertan dudas, puede estar indicada la realización de una TVD.
Avances en Radiología Dental
La radiología dental ha avanzado significativamente en las últimas décadas, gracias a la adopción de tecnologías innovadoras que han transformado la obtención, procesamiento y análisis de imágenes. Destacan los sistemas digitales, que permiten obtener imágenes de alta resolución al instante, y las técnicas tridimensionales como la tomografía computarizada de haz cónico, que brindan una visión completa de las estructuras orales y maxilofaciales. La integración de software especializado y herramientas de inteligencia artificial ha facilitado la detección automática de patologías y una planificación más precisa de tratamientos complejos, como implantes y ortodoncia.
Tabla Resumen de Tipos de Radiografías Dentales y sus Usos
| Tipo de Radiografía | Descripción | Usos Principales |
|---|---|---|
| Periapical | Imagen completa del diente, desde la corona hasta la raíz. | Diagnóstico de problemas en la raíz, planificación de endodoncias. |
| Interproximal (Bitewing) | Muestra las coronas de los dientes superiores e inferiores. | Detección de caries interdentales. |
| Oclusal | Vista amplia del maxilar o la mandíbula. | Observación de dientes en desarrollo, fracturas. |
| CBCT | Imagen tridimensional de las estructuras orales y maxilofaciales. | Diagnóstico preciso de conductos accesorios, fracturas radiculares. |
tags: #radiografia #de #muela #con #endodoncia