La radiografía dental es una herramienta diagnóstica esencial en el sector de la odontología, permitiendo a los dentistas detectar problemas de salud dental que no se pueden ver a simple vista. Desde la primera radiografía dental, captada por el dentista alemán Otto Walkhoff, hasta las imágenes digitales actuales, la radiografía ha evolucionado considerablemente. Para realizar un buen diagnóstico, se debe disponer de todos los recursos posibles. Por esta razón, la radiografía ha evolucionado a lo largo de los años.
Existen varias modalidades de radiológica dental que se dividen en intraorales o extraorales en función de la patología o alteración que se quiera explorar.
Tipos de Radiografías Dentales
- Radiografía periapical: Se utiliza para examinar interproximales (entre los dientes) o problemas en las raíces. Se realiza dentro de la boca.
- Cefalometría o telerradiografía: Es la prueba tradicional para efectuar tratamientos de ortodoncia, proporcionando información de las estructuras óseas.
- Ortopantomografía: Es una exploración a la que más recurren los odontólogos para conocer el estado general de la boca. Es una prueba extraoral que a menudo se lleva a cabo en una primera visita en la clínica para identificar patologías y anomalías en raíces de dientes que todavía no han erupcionado, así como el hueso maxilar. También conocida como radiografía panorámica, es muy empleada en tratamientos dentales. Se trata de un tipo diferente de radiografía dental y se emplea para hacer un balance del estado general de los dientes y maxilares y para diagnosticar diferentes patologías. La imagen que se obtiene como resultado es una muestra completa de nuestra dentadura. Esto es muy útil para analizar el estado general de la boca del paciente. Generalmente, es la primera que se hace porque permite detectar infecciones, malformaciones o ausencia de piezas.
- TAC dental: Es la prueba de diagnóstico odontológico más completa que existe, ofreciendo imágenes tridimensionales de toda la boca del paciente para casos concretos.
La llegada de las imágenes en 3 dimensiones a los centros de salud oral ha supuesto una revolución porque permite realizar estudios diagnósticos de mayor precisión. Ambas son pruebas que se siguen utilizando, pero cada una tiene unas características propias. La mayor diferencia entre ellas es que las imágenes que se consiguen con la radiografía panorámica son en 2D mientras que el TAC dental es una técnica radiológica en 3D.
El Dr. Julián Pelarda cuenta las ventajas del TAC 3D | Club Dental
El TAC dental es un procedimiento de imagen para el diagnóstico radiológico que va mucho más allá de las radiografías convencionales.

¿Qué es el TAC Dental?
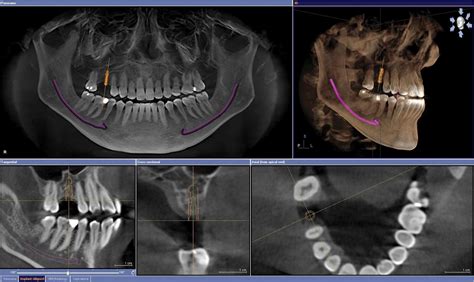
El CBCT o TAC dental es el último avance tecnológico en el campo de la radiografía dental. La tomografía computarizada dental de haz cónico (TC) es un equipo de rayos X que se utiliza en la odontología sobre todo en las áreas de implantología, cirugía maxilofacial, endodoncia y ortodoncia. Su principal diferencia respecto a las radiografías convencionales es, precisamente, su capacidad para obtener imágenes en 3D, lo que nos permite contar con una visión más completa y detallada de la anatomía dental y ósea de una persona. Se diferencia de una ortopantomografía en que la imagen es en 3D en vez de 2D dando mayor información espacial, lo que nos da datos mucho más útiles a la hora de hacer un buen diagnóstico.
El TAC dental es una prueba indolora y extraordinariamente rápida. En la práctica, el TAC dental supone un gran avance respecto a las radiografías panorámicas (también conocidas como ortopantomografías) convencionales.
Ventajas del TAC Dental
- Visión tridimensional precisa: El TAC dental permite observar diferentes secciones de la boca desde ángulos múltiples, lo que facilita la comprensión de la anatomía ósea y la disposición dental.
- Detección de enfermedades ocultas: Las imágenes 3D ofrecen una vista detallada de estructuras que podrían pasar desapercibidas en una radiografía tradicional.
- Diagnósticos y tratamientos más precisos y predecibles: el hecho de tener una representación tan fiable de la boca ayuda a que el dentista haga un diagnóstico adecuado y completo.
- Bajo nivel de radiación: otro de los beneficios del TAC dental es que emite una radiación muy baja, por lo que es una prueba segura siempre y cuando se realice correctamente. Por ello, es imprescindible que sea realizada únicamente por profesionales cualificados.
- La principal ventaja del TAC, por tanto, es la mejora y aumento de la precisión. Con las imágenes obtenidas, se puede elaborar un diagnóstico más acertado y planificar con mayor detalle el tratamiento o un diseño de sonrisa.
- Los resultados de un tratamiento mejoran exponencialmente si nos apoyamos de esta herramienta, y obtendremos un rendimiento más rápido y eficaz. Además, se trata de una prueba rápida, segura y sin complicaciones para el paciente. La exposición a la radiación es mínima y no produce dolor ni posibles efectos secundarios.
¿Cómo se Realiza el Procedimiento?
El CBCT o TAC dental se realiza de la misma forma que una ortopatomografia (radiografía de toda la boca). Para ello se utiliza un dispositivo de rayos X que da una vuelta alrededor de la cabeza del paciente mientras este permanece de pie. Como medidas de protección al paciente se le pone un chaleco de plomo. El proceso dura entre 30-60 segundos. Se le pedirá al paciente que se mantenga muy quieto cuando coloca su cabeza en el equipo mientras los rayos X y el detector giran alrededor de él unos 360 grados o menos. Deberá morder una pieza de plástico y mantenerse muy quieto.
Realizar un TAC dental es un procedimiento sencillo y rápido que no requiere preparación previa por parte del paciente. Al llegar a la clínica, el paciente es acomodado en la máquina de TAC, que consiste en un anillo que gira alrededor de la cabeza para capturar imágenes desde múltiples ángulos. Durante el proceso, el paciente debe permanecer inmóvil para asegurar la claridad de las imágenes. El proceso generalmente dura unos 10 segundos, y es completamente indoloro.
En el caso de las mujeres, antes de llevar a cabo la prueba se preguntará sobre la posibilidad de embarazo. El profesional encargado de realizar el TAC indicará a la persona cómo debe colocarse. Una vez que se encuentre en la posición correcta, el paciente deberá colocar la cabeza en un soporte, lo que ayudará a que permanezca inmóvil durante el procedimiento. Con el paciente correctamente colocado, se realizará el TAC dental. Es posible que, durante el escaneo, la máquina emita ligeros sonidos, como un ruido de click.
El TAC dental capta centenares de imágenes de todas las estructuras anatómicas de la boca: músculos, huesos, vasos sanguíneos y nervios. Desde el monitor, el odontólogo podrá estudiar en detalle la imagen final para establecer el diagnóstico del paciente y determinar el tratamiento a seguir.
Usos del TAC Dental
El TAC dental es una herramienta versátil que se utiliza en una amplia gama de aplicaciones diagnósticas en odontología. El TAC dental es una prueba diagnóstica que tiene diversos usos en el campo de la Odontología. Se suele utilizar en Implantología (disciplina de la Odontología encargada de la rehabilitación dental debido a la pérdida dentaria).
- Planificación de implantes dentales: El TAC 3D es invaluable para la planificación de implantes dentales. Permite medir con precisión el volumen y densidad del hueso disponible para garantizar una colocación adecuada del implante. Gracias a la precisión que ofrece el TAC dental, un implantólogo puede planificar con todo detalle la operación. El TAC es imprescindible antes de la colocación de implantes dentales. Se usa durante la fase de estudio para observar y analizar las estructuras óseas del paciente. El TAC dental nos da la opción de colocar “virtualmente” los implantes gracias a los diferentes software que existen. Esto nos asegura que a la hora de la intervención el cirujano sepa con mucha seguridad cual es lugar más apropiado. También nos facilita que en intervenciones más complejas la tasa de éxito aumente. El CBCT permite identificar la mejor vía para el acceso quirúrgico. Reduciendo así el riesgo de lesiones neurológicas, dentales. La prueba diagnóstica permite que se pueda estudiar la estructura ósea y así averiguar la posición exacta para colocar el implante en el hueso. El dentista podrá hacer en el ordenador cortes bi y tridimensionales de las imágenes que obtiene.
- Ortodoncia y cirugía ortognática: En ortodoncia, las imágenes 3D son clave para planificar tratamientos de alineación dental y corregir problemas en la estructura ósea de la mandíbula y el cráneo. En este caso, el TAC dental sirve para valorar la posición de dientes incluidos o supernumerarios. Y, hoy en día, cada vez se utiliza más en la planificación de los tratamientos de ortodoncia invisible y para valorar las posiciones reales de las raíces de los dientes.
- Análisis cefalométrico.
- Cirugía de dientes impactados.
- Extracción de las muelas del juicio: el TAC dental también sirve para valorar el proceso de erupción de las muelas del juicio. Gracias al TAC comprobamos su situación actual y las posibilidades de extracción. En procedimientos quirúrgicos, como la extracción de cordales (muelas del juicio) o cirugías maxilofaciales, el análisis en 3D permite a los cirujanos ver con detalle la ubicación exacta de las raíces y su relación con los nervios y senos nasales.
- Diagnóstico del desorden articular temporomandibular (TMJ).
- Evaluación de las mandíbulas, senos paranasales, canales nerviosos y cavidad nasal.
- Detección, medición y tratamiento de tumores de la mandíbula.
- Determinación de la estructura de huesos y de la orientación de los dientes.
- Localización del origen del dolor o patología.
- Cirugía reconstructiva.
- Localización de conductos dentales en endodoncia.
- Regeneración de hueso: dado que el TAC dental permite observar la estructura ósea del paciente, también sirve para valorar si dispone de suficiente cantidad de hueso para colocar un implante. Evaluación y regeneración de la estructura ósea: ayuda a determinar el tamaño del hueso y si es suficiente para llevar a cabo una intervención o, en su defecto, planificar la regeneración de este.
- Periodoncia: El tac permite visualizar en tres dimensiones por donde se sitúa el hueso, alrededor de los dientes. Por lo que permite diagnosticar problemas periodontales iniciales o avanzados. Muestra con gran precisión posibles defectos óseos.
- Odontología conservadora y endodoncia: la precisión del Tac nos permite detectar caries que no detectaríamos con radiografías convencionales, así como valorar la extensión real de estas. El análisis 3D también es una herramienta poderosa en endodoncia, donde los dentistas necesitan visualizar las raíces de los dientes con precisión para tratar infecciones o planificar procedimientos de endodoncia (tratamiento de conductos).
- Detección temprana de problemas: El TAC dental permite la detección de quistes, granulomas, tumores o fracturas ocultas que podrían pasar desapercibidos en radiografías convencionales.

Radiación en el TAC Dental
La radiación se mide en microsieverts. Hay que entender que por la mera existencia, todos los seres vivos del planeta recibimos un mínimo de radiación equivalente a 6 microsieverts (radiación cósmica).
La dosis de un estudio CBCT es al menos seis veces menor que la de una tomografía médica convencional. Esta diferencia se puede explicar por el tipo de tecnología que utiliza la tomografía de haz cónico. La emisión del haz es en forma de cono y la captura de la imagen dura entre 12-20 segundos. Solo se realiza una única rotación minimizando la dosis de radiación y el riesgo de repetición de tomas.
Aunque se basa en cientos de radiografías rápidas, el TAC dental es una prueba completamente segura para el paciente, que se expone a una dosis de radiación mínima.
Tabla Comparativa de Radiación
| Procedimiento Radiológico | Radiación (microsieverts) |
|---|---|
| Radiación cósmica diaria | 6 |
| CBCT (TAC Dental) | Aproximadamente la misma que dos ortopantomografías |
| Radiografía de tórax | 100 |
| Mamografía | 400 |
Podemos observar que el CBCT emite la misma radiación que dos ortopantomografías (radiografía de toda la boca).
tags: #radiografia #tac #dental