La acumulación de sarro dental en encías y dientes es uno de los problemas orales más comunes entre la población. Es importante entender qué es el sarro, cómo se forma y cómo prevenir su aparición para mantener una buena salud bucal.
¿Qué es el Sarro Dental?
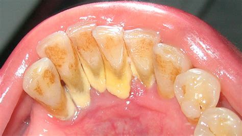
El sarro, también llamado cálculo o tártaro dental, es consecuencia del endurecimiento de la placa bacteriana. La placa bacteriana es una película que se deposita sobre los dientes y está compuesta de bacterias, saliva, restos de comida y células muertas. Aparece en todas las personas.
La placa dental va depositándose continuamente en los dientes, a lo largo del día y la noche. Incluso, después de cepillar los dientes, la placa se desarrolla en su superficie al cabo de unas 24 horas. Si la placa no se retira mediante el cepillado, después de aproximadamente 72 horas, comienza a endurecerse y se convierte en sarro al entrar en contacto con sales minerales presentes en la cavidad bucal.
El sarro está compuesto en su mayor parte (del 70 al 90%) por elementos inorgánicos ―sales minerales―, que se combinan con sustancias orgánicas como proteínas, carbohidratos y, en menor medida, lípidos. Estos restos pueden presentar una coloración que va desde un tono blanquecino, amarillento, hasta un color marrón en los casos más severos.

¿Qué Causa el Sarro?
Como acabamos de ver, la ausencia o deficiencia de higiene dental es la principal causa de formación del sarro: si no se retira periódicamente, la placa dental se acumula, endurece y mineraliza, lo que da lugar a la formación del sarro.
Factores de Riesgo
Además de una incorrecta higiene bucal, existen otros factores que propician la aparición del sarro. Entre ellos, se encuentran los siguientes:
- El consumo excesivo de alimentos o bebidas ricos en azúcar.
- El tabaquismo.
- El consumo excesivo de café, té o vino.
- El uso incorrecto o prolongado de algunos colutorios.
- La malposición o mala alineación de los dientes. Ello aumenta la dificultad de llevar a cabo una higiene adecuada y, por tanto, de retirar correctamente la placa dental.
- Factores genéticos que afectan a la saliva como el grado de acidez (pH).
- Producir una cantidad insuficiente de saliva debido al uso de medicamentos u otras condiciones médicas.
- Tener edad avanzada. Con el paso de los años, las encías pueden retraerse, lo que expone una mayor superficie dental a la acumulación de placa y a la formación de sarro.

Tipos de Sarro
En función de su localización, el sarro puede ser:
- Supragingival: Se acumula en la superficie visible de los dientes y encías.
- Subgingival: Se localiza por debajo de la línea de la encía, por lo que es más difícil de percibir.
Consecuencias del Sarro Dental
Si no se elimina correctamente la placa bacteriana y se forma sarro, pueden producirse, en función del tipo de bacterias predominantes, los siguientes problemas en la boca:
- Gingivitis: La placa y el sarro irritan e inflaman las encías, que se hinchan y sangran. Se pueden formar “bolsillos” en los que pueden proliferar bacterias.
- Periodontitis: Es una forma más severa de la enfermedad de las encías, en la que los ligamentos y el hueso que soportan el diente se destruyen. Con frecuencia, desencadena la pérdida de la pieza dental.
- Caries dentales: Son agujeros o cavidades que dañan la estructura del diente. Se producen cuando las bacterias presentes en la placa metabolizan los azúcares y producen ácidos capaces de disolver el esmalte con el paso del tiempo.
- Mal aliento (halitosis): Debido a menudo a una mala higiene oral, las bacterias presentes en la boca segregan compuestos de azufre que producen un olor desagradable. Puede ocurrir que el sarro no sea visible, pero que sí se perciba el mal aliento. Los “bolsillos” que se crean por la gingivitis y periodontitis acumulan bacterias y pueden incrementar la halitosis.
- Aumento de la sensibilidad en los dientes: Sobre todo al frío y/o al calor.
Además, los trastornos dentales pueden llegar a provocar una gran variedad de problemas de salud sistémicos como trastornos digestivos o enfermedades cardiovasculares, entre otros.
¿Cómo se Trata el Sarro?
No es posible eliminar el sarro con el cepillado. Una vez se ha formado, solamente el odontólogo puede retirarlo mediante una tratectomía, una limpieza dental que permite extraerlo mediante el uso de instrumentos especiales. Se trata de un procedimiento indoloro y que no requiere ningún tipo de anestesia, aunque puede resultar un poco molesto para personas con elevada sensibilidad dental; en este caso, puede emplearse un espray con un anestésico local para insensibilizar el área.
Asimismo, el sarro puede extraerse con un aparato que emite ultrasonidos que lo desintegran. En el caso de que el sarro se haya acumulado bajo las encías, es necesario realizar un curetaje o raspado dental. Este implica una limpieza más profunda, que sí suele requerir la aplicación de anestesia local.

Nº1 REMEDIO CASERO para ELIMINAR la PLACA, el SARRO y PREVENIR la CARIES
¿Cómo Prevenir la Formación de Sarro?
Con la finalidad de no tener que recurrir a tratamientos invasivos para la eliminación del sarro de los dientes, la mejor recomendación es prevenir su formación. Para reducir al mínimo la placa bacteriana y evitar así que se forme el sarro, es necesario limpiar todos días los dientes, la lengua, las encías, el paladar y el interior de las mejillas. En concreto, una higiene oral completa debe incluir los siguientes cuidados personales:
- Cepillarse los dientes cuidadosamente: Debe hacerse tras cada comida pero, sobre todo, es fundamental realizar un cepillado profundo antes de irse a dormir, cuando baja la producción de saliva y los movimientos de la lengua, ya que estos contribuyen a remover la placa bacteriana. Puede utilizarse un cepillo manual o eléctrico, aunque estos últimos han demostrado retirar la placa con mayor eficacia si cuentan con tecnología oscilatoria-rotatoria. En todo caso, se recomienda que el cepillo tenga cerdas suaves o medias y que el cabezal no sea demasiado grande para que llegue a todos los rincones de la boca.
- Cepillarse las encías: Tras los dientes, debe cepillarse con suavidad la dentadura a lo largo de la línea de las encías.
- Usar un dentífrico con flúor: El dentífrico que usemos para el cepillado debe incluir flúor en su fórmula, porque ayuda a prevenir las caries. También existe la opción de realizar enjuagues bucales fluorados tras el cepillado dental. En niños deben emplearse dentífricos adaptados a su edad en contenido de flúor.
- Limpiarse los espacios interdentales: Si existe espacio suficiente, debe emplearse un cepillo interproximal o, si no, hilo o seda dental. Ambos deben usarse al menos una vez al día, preferiblemente por la noche, con el fin de asegurar la limpieza de las caras laterales de los dientes y que no queden restos de comida entre ellos. También se puede emplear un irrigador de agua para eliminar los desechos que se encuentren entre los dientes y debajo de las encías. Es especialmente importante la limpieza con cepillo interproximal, seda o irrigador, en personas que lleven implantes o puentes, ya que los espacios entre los dientes y la retracción de las encías pueden favorecer la acumulación de placa en espacios difícilmente accesibles.
- Limpiarse la lengua: Debe frotarse suavemente hacia adelante usando el cepillo de dientes o un limpiador lingual, ya que en ella se acumulan un gran número de bacterias.
Además, los expertos recomiendan un examen rutinario de los dientes al menos una vez al año y una limpieza profesional cada seis o doce meses con el fin de eliminar el sarro, ya que este puede acumularse en los dientes incluso aunque se lleve a cabo en casa una buena higiene dental.

El Uso del Raspador de Lengua
El raspador de lengua es una herramienta de higiene oral que elimina bacterias, restos de comida y células muertas de la superficie de la lengua de forma más efectiva que el cepillado tradicional.
La lengua presenta una superficie irregular con miles de papilas gustativas que crean espacios perfectos para la acumulación de bacterias. Los estudios científicos demuestran que el raspador de lengua elimina hasta un 75% más de bacterias que el cepillado tradicional de la lengua.
Beneficios del Raspado de Lengua
- Combate la halitosis: La halitosis tiene su origen en el 80-90% de los casos en la cavidad oral, siendo la lengua la principal responsable.
- Mejora la percepción del sabor: Al eliminar la capa de bacterias y células muertas que cubre las papilas gustativas, el raspador permite que los sabores se perciban con mayor intensidad y claridad.
Cómo Limpiar Correctamente la Lengua
- Después de cepillarte los dientes, haz uso del raspador lingual.
- Seguidamente, pasa el raspador lingual desde la parte posterior de la lengua (lo más al fondo que puedas) y deslízalo hacía la parte anterior de la misma.
- Repite el proceso de raspar o cepillar la lengua varias veces, cubriendo toda su superficie.
Recuerda que la limpieza de la lengua es esencial para eliminar las bacterias que se acumulan en la superficie y causando mal aliento, caries y otras complicaciones dentales.

Mitos Sobre la Limpieza Dental Profesional
Existen varios mitos sobre la limpieza dental profesional que es importante desmentir:
- "La limpieza desgasta el esmalte": Esto es falso. La limpieza bucal profesional no daña el esmalte si la realiza un profesional cualificado.
- "La limpieza duele": También es falso que con una limpieza al año sea suficiente.
- "Con una limpieza al año es suficiente": Ni el mejor cepillo ni la pasta más avanzada sustituye una limpieza bucodental profesional. Por eso, lo ideal es combinar una rutina diaria eficaz con revisiones periódicas.
Remedios Caseros para el Sarro (Con Precaución)
Existen algunos remedios caseros que pueden ayudar a prevenir la acumulación de sarro, pero deben usarse con precaución y no sustituyen la limpieza profesional:
- Bicarbonato de sodio: Mezclar dos partes de bicarbonato con una parte de sal y un poco de agua. Usar para cepillar las zonas con sarro, pero enjuagar muy bien para evitar dañar el esmalte.
- Zumo de limón: Mezclar el zumo de medio limón con 150 ml de agua y usar para enjuagar la boca. Enjuagar muy bien después debido a la acidez del limón.
- Agua oxigenada: Mezclar 100 ml de agua con 30 ml de agua oxigenada y enjuagar la boca. Enjuagar bien después.
Es crucial recordar que estos remedios deben usarse con moderación y siempre complementar una buena higiene bucal diaria.
Conclusión
Mantener una buena higiene bucal es fundamental para prevenir la formación de sarro y evitar problemas dentales. Cepillarse los dientes correctamente, usar hilo dental, limpiar la lengua y visitar al dentista regularmente son pasos clave para una sonrisa saludable.