Las encías retraídas son un problema común que puede tener consecuencias tanto estéticas como para la salud. Es crucial tratarlas a tiempo para evitar que estas repercusiones empeoren gradualmente. La enfermedad de la retracción de encías, conocida como recesión gingival, es una patología que progresa cuando no se trata adecuadamente. Tener las encías retraídas empeora la estética de nuestra sonrisa, haciendo parecer los dientes más grandes de lo normal.

¿Qué es la Retracción de Encías?
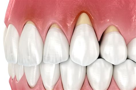
Las encías son los tejidos blandos que cubren los huesos de la boca y ayudan a sostener los dientes. La retracción de las encías se produce cuando el tejido gingival que rodea los dientes se desprende, dejando al descubierto la raíz del diente. Si no se trata, puede provocar sensibilidad, caries e incluso la pérdida del diente.
Causas de la Retracción de Encías
La retracción de las encías es un problema más frecuente de lo que a veces pensamos. Pero, ¿por qué se retraen las encías?, ¿a qué se debe la retracción de encías? Aquí hay algunas causas comunes:
- Excesiva fuerza en el cepillado: Cepillarse de manera agresiva puede comprometer el esmalte dental, debilitándolo y provocando la retracción de las encías. Un cepillado agresivo puede desgastar el esmalte de los dientes y provocar la retracción de las encías.
- Mala higiene bucodental: No cepillarse después de cada comida y no usar hilo dental favorece la acumulación de placa dental en la superficie dental, promoviendo su endurecimiento y formación de sarro. Debemos cepillarnos después de cada comida, es decir, mantener una higiene dental correcta y utilizar hilo dental para retirar cualquier trozo de alimento que haya quedado atrapado entre los dientes.
- Bruxismo o presión en los dientes: El rechinado o movimiento constante de los dientes, así como la presión aplicada, pueden ser demasiada presión para las encías, lo que podría generar alteraciones en nuestros tejidos periodontales.
- Consumo de tabaco: Fumar aumenta la posibilidad de padecer de enfermedades graves como la periodontitis, provocando retracción gingival y un riesgo alto de perder las piezas dentales.
- Malos hábitos orales no funcionales: Morderse las uñas o el uso de piercings pueden causar retracción de encías. También, suelen darse casos de retracción de encías en pacientes que tienen un piercing en la boca.
- Periodontitis: Se trata de una enfermedad periodontal grave que afecta directamente las encías, favoreciendo su pérdida y la formación de bolsas periodontales. La periodontitis hace que pierdas hueso. Por consiguiente, pierdes encías. Una característica de la retracción de encías por periodontitis es que afecta a toda la boca, a diferencia de otras causas como la ortodoncia o el cepillado agresivo que afectan solo a unos pocos dientes.
- Factores genéticos: Algunas personas están genéticamente predispuestas a tener encías sensibles y a sufrir retracción gingival.
- Cambios hormonales: Los cambios hormonales, como los que se producen durante la pubertad, el embarazo y la menopausia, pueden hacer que las encías se vuelvan más sensibles y propensas a la recesión.
- Abuso de alimentos y bebidas ácidas: Como cítricos y similares.
- Golpes o traumatismos.
Tratamientos para ENCÍAS RETRAÍDAS: ¿Hay solución? ¿Las encías se regeneran? ¿Cuál es su CAUSA?
¿Cómo saber si tengo Encías Retraídas?
La retracción de encías suele ser un problema que podemos apreciar si sabemos dónde mirar, especialmente en la raíz dental. ¿Has notado alguna vez que tus dientes parecen más largos de lo normal o sientes sensibilidad en la línea de las encías? La superficie que tiene la raíz no es esmalte (el esmalte solo está en la corona del diente) sino que es cemento. Y lo que ocurre es que al ser cemento, es mucho más poroso y no está preparado para estar en la cavidad oral. Aparte, cuando tienes retracción de la encía, por lo general, acumulas más sarro y te cuesta más trabajo cepillar. Por lo tanto, se te irrita la encía. Como se te irrita la encía, esta se te inflama más y al final, entras en un bucle.
Tratamientos para Encías Retraídas
Para tratar las encías retraídas se debe elaborar un diagnóstico detallado y bien estudiado, y es vital intervenir a tiempo. Los tratamientos pueden ser:
- Conservador: Incluye raspado y alisado radicular, antibióticos y colutorios.
- Quirúrgico: Se pueden llevar a cabo variadas intervenciones quirúrgicas, que fundamentalmente son de dos tipos:
- Estiramiento gingival: Se estira la encía hasta cubrir la raíz dental, para aquellos pacientes que aún conserven las papilas interdentarias.
- Microinjerto: Una minúscula porción de tejido del paladar se utiliza para cubrir la encía. Es una técnica que es sensible al operador, es decir, depende mucho de quien la realice el que se consigan mejores o peores resultados. Por eso es importante siempre acudir a un especialista en encías que esté acostumbrado a realizar este tipo de cirugías.

Geles para Regenerar las Encías
Un gel para regenerar las encías es un producto diseñado específicamente para ayudar a la recuperación y fortalecimiento del tejido gingival. Su objetivo principal es reparar, proteger y estimular la regeneración de las encías, especialmente en casos de irritación, inflamación o retracción. Estos geles suelen contener ingredientes activos que favorecen la cicatrización y la reducción de la inflamación, además de proporcionar una barrera protectora contra bacterias y agentes irritantes.
Algunos tipos de geles son:
- Perio-Aid: Este gel bucal bioadhesivo está formulado para desinfectar, reparar y regenerar los tejidos de la encía.
- Auromere: Es un gel pensado para el cuidado preventivo de las encías, especialmente aquellas que son sensibles o propensas a la irritación.
- Bexident encías: Este gel dentífrico combina acción antimicrobiana, antiséptica y antiinflamatoria, lo que lo convierte en una opción eficaz para el tratamiento de problemas gingivales.
Tratamientos Quirúrgicos Específicos
Si los tratamientos no quirúrgicos no son eficaces, puede ser necesario recurrir a tratamientos quirúrgicos. Algunos de estos son:
- Cirugía de injerto gingival: Consiste en tomar tejido del paladar o de otra fuente donante y adherirse a la zona afectada. Mediante esta técnica, es posible revestir la ‘raíz’ del diente que ha quedado excesivamente expuesta.
- Regeneración: Consiste en utilizar materiales especiales para regenerar el hueso y los tejidos que soportan los dientes.
- Cirugía de reducción de bolsas: Consiste en replegar el tejido gingival y eliminar las bacterias y la placa de la raíz del diente.

¿Las Encías pueden Regenerarse?
La respuesta corta es no. A diferencia de otros tejidos del cuerpo, como la piel, las encías no pueden regenerarse por sí solas una vez que han sufrido una retracción. Esto significa que, si la encía se ha retraído y ha dejado expuesta una mayor superficie del diente, no volverá a crecer de manera natural. Sin embargo, existen tratamientos específicos para frenar este proceso y recuperar el tejido gingival perdido.
Prevención de la Retracción de Encías
Para evitar una mayor recesión de las encías, es importante practicar una buena higiene bucal, que incluye cepillarse los dientes dos veces al día, usar hilo dental a diario y utilizar un enjuague bucal antiséptico.
La detección y el tratamiento precoces de las encías retraídas son importantes para evitar daños mayores y restaurar el tejido gingival. Si notas algún signo o síntoma de encías retraídas, es importante que te pongas en contacto con un profesional lo antes posible.